UNITED STATES
SECURITIES AND EXCHANGE COMMISSION
Washington, D.C. 20549
FORM 10-K
(Mark One)
☒ |
ANNUAL REPORT PURSUANT TO SECTION 13 OR 15(d) OF THE SECURITIES EXCHANGE ACT OF 1934 For the fiscal year ended December 31, 2024 |
OR
☐ |
TRANSITION REPORT PURSUANT TO SECTION 13 OR 15(d) OF THE SECURITIES EXCHANGE ACT OF 1934 For the transition period from __________ to __________ |
Commission File Number: 001-42490
MAZE THERAPEUTICS, INC.
(Exact name of registrant as specified in its charter)
Delaware |
|
82-2635018 |
(State or other jurisdiction of incorporation or organization) |
|
(I.R.S. Employer Identification No.) |
171 Oyster Point Blvd., Suite 300
South San Francisco, California 94080
(Address of principal executive offices, including zip code)
(650) 850-5070
(Registrant's telephone number, including area code)
Securities registered pursuant to Section 12(b) of the Act:
Title of each class |
|
Trading Symbol |
|
Name of each exchange on which registered |
Common Stock - par value $0.001 per share |
|
MAZE |
|
The Nasdaq Stock Market LLC |
Securities registered pursuant to Section 12(g) of the Act: None
Indicate by check mark if the registrant is a well-known seasoned issuer, as defined in Rule 405 of the Securities Act. YES ☐ NO ☒
Indicate by check mark if the registrant is not required to file reports pursuant to Section 13 or Section 15(d) of the Act. YES ☐ NO ☒
Indicate by check mark whether the registrant (1) has filed all reports required to be filed by Section 13 or 15(d) of the Securities Exchange Act of 1934 during the preceding 12 months (or for such shorter period that the registrant was required to file such reports), and (2) has been subject to such filing requirements for the past 90 days. YES ☐ NO ☒
Indicate by check mark whether the registrant has submitted electronically every Interactive Data File required to be submitted pursuant to Rule 405 of Regulation S-T (§232.405 of this chapter) during the preceding 12 months (or for such shorter period that the registrant was required to submit such files). YES ☐ NO ☐
Indicate by check mark whether the registrant is a large accelerated filer, an accelerated filer, a non-accelerated filer, a smaller reporting company, or an emerging growth company. See the definitions of "large accelerated filer," "accelerated filer," "smaller reporting company," and "emerging growth company" in Rule 12b-2 of the Exchange Act.
Large accelerated filer |
☐ |
|
Accelerated filer |
☐ |
Non-accelerated filer |
☒ |
|
Smaller reporting company |
☒ |
Emerging growth company |
☒ |
|
|
|
If an emerging growth company, indicate by check mark if the registrant has elected not to use the extended transition period for complying with any new or revised financial accounting standards provided pursuant to Section 13(a) of the Exchange Act. ☐
Indicate by check mark whether the registrant has filed a report on and attestation to its management’s assessment of the effectiveness of its internal control over financial reporting under Section 404(b) of the Sarbanes-Oxley Act (15 U.S.C. 7262(b)) by the registered public accounting firm that prepared or issued its audit report. ☐
If securities are registered pursuant to Section 12(b) of the Act, indicate by check mark whether the financial statements of the registrant included in the filing reflect the correction of an error to previously issued financial statements. ☐
Indicate by check mark whether any of those error corrections are restatements that required a recovery analysis of incentive-based compensation received by any of the registrant’s executive officers during the relevant recovery period pursuant to §240.10D-1(b). ☐
Indicate by check mark whether the registrant is a shell company (as defined in Rule 12b-2 of the Act). YES ☐ NO ☒
The registrant did not have a public float on the last business day of its most recently completed second fiscal quarter because there was no public market for the registrant’s common equity as of such date.
As of March 25, 2025, the registrant had 43,796,057 shares of common stock outstanding.
MAZE THERAPEUTICS, INC.
ANNUAL REPORT ON FORM 10-K
TABLE OF CONTENTS
|
|
|
Page Numbers |
|
|
|
|
|
|
4 |
|
|
4 |
||
|
42 |
||
|
93 |
||
|
93 |
||
|
94 |
||
|
94 |
||
|
94 |
||
|
|
|
|
|
|
95 |
|
|
Market for Registrant's Common Equity, Related Stockholder Matters, and Issuer |
95 |
|
|
|
||
|
96 |
||
|
Management's Discussion and Analysis of Financial Condition and Results of |
97 |
|
|
|
||
|
109 |
||
|
110 |
||
|
Changes in and Disagreements with Accountants on Accounting and Financial |
139 |
|
|
|
||
|
139 |
||
|
139 |
||
|
Disclosure Regarding Foreign Jurisdictions that Prevent Inspections |
139 |
|
|
|
|
|
|
|
140 |
|
|
140 |
||
|
148 |
||
|
Security Ownership of Certain Beneficial Owners and Management and Related |
162 |
|
|
|
||
|
Certain Relationships and Related Transactions, and Director Independence |
166 |
|
|
168 |
||
|
|
|
|
|
|
169 |
|
|
169 |
||
|
171 |
||
|
|
|
|
172 |
|||
Special note regarding forward-looking statements
This Annual Report on Form 10-K contains forward-looking statements within the meaning of Section 21E of the Securities Exchange Act of 1934, as amended, or the Exchange Act, and Section 27A of the Securities Act of 1933, as amended, or the Securities Act. In some cases, you can identify forward-looking statements by terms such as “believe,” “may,” “will,” “potentially,” “estimate,” “continue,” “anticipate,” “intend,” “could,” “would,” “project,” “plan,” “expect” and similar expressions that convey uncertainty of future events or outcomes, although not all forward-looking statements contain these words. These forward-looking statements are subject to a number of risks, uncertainties and assumptions, including those described in “Risk factors” and elsewhere in this Annual Report on Form 10-K. Moreover, we operate in a competitive and rapidly changing environment, and new risks emerge from time to time. It is not possible to predict all risks, nor can we assess the impact of all factors on our business or the extent to which any factor, or combination of factors, may cause actual results to differ materially from those contained in any forward-looking statements we may make. In light of these risks, uncertainties and assumptions, the forward-looking events and circumstances discussed in this Annual Report on Form 10-K may not occur and actual results could differ materially and adversely from those anticipated or implied in the forward-looking statements. The forward-looking statements in this Annual Report on Form 10-K include, among other things, statements about:
The forward-looking statements made in this Annual Report on Form 10-K relate only to events or information as of the date on which the statements are made in this Annual Report on Form 10-K. You should not rely upon forward-looking statements as predictions of future events. Although we believe that the expectations reflected in the forward-looking statements are reasonable, we cannot guarantee that the future results, levels of activity, performance or events and circumstances reflected in the forward-looking statements will be achieved or occur. We undertake no obligation to update publicly any forward-looking statements for any reason after the date of this Annual Report on Form 10-K to conform these statements to actual results or to changes in our expectations, except as required by law.
You should read this Annual Report on Form 10-K and the documents that we reference herein and have filed with the SEC as exhibits to this Annual Report on Form 10-K with the understanding that our actual future results, levels of activity, performance and events and circumstances may be materially different from what we expect.
2
Summary of Risk Factors
Our business is subject to a number of risks and uncertainties, including those highlighted in the section titled “Risk Factors”. Some of these risks include:
3
PART I
Item 1. Business
Overview
We are a clinical-stage biopharmaceutical company harnessing the power of human genetics to develop novel, small molecule precision medicines for patients living with renal, cardiovascular and related metabolic, or CVRM, diseases, including obesity. We are advancing a pipeline using our Compass platform, which allows us to identify and characterize genetic variants in disease and then link those variants to the biological pathways that drive disease in specific patient groups through a process we refer to as variant functionalization. Our Compass platform has been purpose-built to inform all phases of our drug discovery and development process through clinical trial design. We are currently advancing two wholly-owned lead programs, MZE829 and MZE782, each of which represents a novel precision medicine-based approach for chronic kidney disease, or CKD. Our goal is to bring novel precision medicines to patients with CVRM diseases, which is where we believe we can maximize our impact on human health.
CKD is a serious, progressive condition that affects approximately 37 million patients in the United States, where it is expected to be the fifth most prevalent chronic disease by 2040. Current treatments for CKD consider patients as falling into clinical categories and focus on slowing the progression of disease, but do not target the underlying genetic drivers of disease. Our lead programs are designed to phenocopy, or mimic, the protective effects of certain genetic variants that are associated with reduced disease burden and improved kidney function in distinct groups of CKD patients.
Our most advanced lead program, MZE829, is an oral, small molecule inhibitor of apolipoprotein L1, or APOL1, for the treatment of patients with APOL1 kidney disease, or AKD, which is estimated to affect over one million patients in the United States alone. Although the link between APOL1 variants and renal dysfunction has been known for over a decade, we have identified a new protective variant that underpins our therapeutic approach for MZE829 and may ultimately allow us to address a broader population of AKD than has previously been possible in the clinical setting. In October 2024, we reported results for our Phase 1 clinical trial of MZE829, in which we enrolled 111 healthy patients who received either single or multiple ascending doses of 20 mg to 480 mg of MZE829 administered daily. Treatment was well tolerated with no severe adverse events or serious adverse events reported in patients treated with single doses up to 480 mg and multiple doses of up to 350 mg daily for seven days. Dose-proportional pharmacokinetics, or PK, was observed with low variability (10-40%) across doses. We initiated a Phase 2 trial of MZE829 in November 2024, dosed our first patient in February 2025 and expect to report proof of concept data in the first quarter of 2026.
Our second lead program, MZE782, is an oral, small molecule inhibitor of the solute transporter SLC6A19, a novel CKD target, with the potential to address approximately five million of the CKD patients in the United States with inadequate responses to currently available CKD therapies. Beyond its use as a potential standalone therapy, MZE782 may also provide a significant benefit to patients in combination with standard of care, including as a complementary treatment to current approved regimens or as an alternative option for those patients who do not adequately respond to today’s standard of care. We initiated a Phase 1 clinical trial of MZE782 in September 2024 and expect to provide initial data from this trial in the second half of 2025.
In addition to CKD, we believe MZE782 may provide benefit to patients suffering from the genetically defined metabolic disease, phenylketonuria, or PKU. Following our ongoing Phase 1 trial of MZE782 in CKD, we plan to conduct a parallel Phase 2 clinical trial to explore MZE782 as a potential treatment of PKU.
Our Compass platform supports end-to-end variant identification and functionalization capabilities as well as advanced research tools and methodologies for drug development. We believe the process of variant functionalization, or understanding how genetic variants function to affect the course of disease, is a foundational aspect of precision medicine and one of the core capabilities that sets us apart from others in the field.
Our programs
Our Compass platform is the foundation for all our programs. Compass has generated three clinical stage programs in the past five years: MZE829 and MZE782, which we wholly own, and MZE001, which we partnered. In addition to these clinical stage programs, Compass has generated research programs that are being developed by us or by other biotechnology companies through exclusive licensing or spin-out arrangements.
4
Our clinical pipeline
Our wholly owned clinical pipeline consists of small molecule precision medicines for patients living with common diseases. We are focused on CVRM diseases, including obesity. MZE829 and MZE782 are our lead programs. In areas outside of our CVRM focus, we have an additional program in development, MZE001 in Pompe disease, through a partnership arrangement with Shionogi & Co., Ltd., or Shionogi.

Figure 1: Our clinical pipeline
Our research and partnered programs
In addition to our clinical pipeline, we have several earlier stage research programs. These include wholly owned small molecule programs within our CVRM core focus. Beyond our wholly owned portfolio, we have additional partnered programs, including ATXN2 and UNC13A, which are being developed for multiple diseases and amyotrophic lateral sclerosis, or ALS, respectively. ATXN2 and UNC13A are being developed by Neurocrine Biosciences, Inc. and Trace Neuroscience, Inc., respectively. Additionally, we formed a spin-out company, Broadwing, Bio, Inc., or Broadwing, to develop therapeutic candidates, including ANGPTL7, for treatment of ophthalmic diseases.
Our lead programs
Our most advanced lead program, MZE829, is an oral, small molecule inhibitor of APOL1 for the treatment of patients with AKD, a subset of CKD, including those with focal segmental glomerulosclerosis, or FSGS, estimated to affect over one million patients in the United States alone. Although the link between APOL1 variants and renal dysfunction has been known for over a decade, we have identified a new protective variant of the APOL1 gene, N264K. MZE829 is designed to phenocopy N264K and mimic its protective characteristics. Through our preclinical work in AKD, we have demonstrated MZE829’s potential as a disease modifying treatment for patients suffering from this disease. Preclinical in vivo studies demonstrated MZE829’s significant potency in a model of APOL1-induced kidney injury, suggesting the ability to address a broader population of AKD than has previously been possible in the clinical setting. Additionally, MZE829 has demonstrated the potential to stop or reverse critical features of kidney disease, specifically the breakdown of the kidney’s filtering system and loss of protein in urine, or proteinuria. In October 2024, we reported results for our Phase 1 clinical trial of MZE829, in which we enrolled 111 healthy patients who received either single or multiple ascending doses of 20 mg to 480 mg of MZE829 administered daily. Treatment was well tolerated with no severe adverse events or serious adverse events reported in patients with single doses up to 480 mg and multiple doses of up to 350 mg daily for seven days. Dose-proportional PK was observed with low variability (10-40%) across doses. We initiated a Phase 2 trial of MZE829 in November 2024, dosed our first patient in February 2025 and expect to report proof of concept data in the first quarter of 2026.
5
Our second most advanced lead program, MZE782, is an oral, small molecule that targets the solute transporter, SLC6A19, with the potential to address approximately five million of the CKD patients in the United States with inadequate responses to currently available CKD therapies. Beyond its use as a potential standalone therapy, MZE782 may also provide a significant benefit to patients in combination with standard of care, including as a complementary treatment to current approved regimens or as an alternative option for those patients who do not adequately respond to today’s standard of care. We identified SLC6A19 using non-public sets of matched, genetic and longitudinal clinical data and discovered a bidirectional allelic series with variants that either improve or worsen renal function. We then applied variant functionalization techniques to understand the characteristics of the naturally occurring protective variants and designed our proprietary small molecule to mimic their inhibitory effects. We plan to apply a non-invasive biomarker strategy in our Phase 1 trial to establish proof of mechanism and to select doses for a Phase 2 trial. We initiated our Phase 1 trial of MZE782 in September 2024 and expect to provide initial data from this trial in the second half of 2025.
In addition to CKD, we believe MZE782 may provide benefit to patients suffering from the genetically defined metabolic disease, phenylketonuria, or PKU. Following our ongoing Phase 1 trial of MZE782 in CKD, we plan to conduct a parallel Phase 2 clinical trial to explore MZE782 as a potential treatment of PKU.
Our early-stage research programs
In addition to our two lead programs, we have research efforts underway for next-generation assets for these indications. We are also exploring additional CVRM targets. We are focusing our early research efforts and evaluating genetic targets in CVRM, including obesity, driven in part by the emerging understanding of the interconnectivity of these common diseases affecting the heart and kidney through metabolic drivers, such as obesity.
Our partnered programs
Further, our Compass platform has also produced a pipeline across other therapeutic areas and modalities, including MZE001, our first clinical program that we developed for the treatment of patients with Pompe disease. Within approximately three years, MZE001 progressed from discovery to the clinic and demonstrated proof of mechanism in a Phase 1 trial, suggesting its potential as an oral therapy for the treatment of patients with Pompe disease and demonstrating the potential of our Compass platform. Given our focus on CVRM diseases, where we believe we can maximize our impact on human health, we strategically enter into partnerships with third parties to advance programs that address diseases outside of our core focus areas. In March 2024, following the completion of our Phase 1 trial, we exclusively licensed MZE001 to Shionogi for an upfront payment of $150 million and the potential for additional milestones and royalties. We have also exclusively licensed our ATXN2 and UNC13A programs to other biotechnology companies. Additionally, we formed a spin-out company, Broadwing, to develop therapeutic candidates, including ANGPTL7, for the treatment of ophthalmic diseases. As of December 31, 2024, we owned approximately 48% of the outstanding equity of Broadwing, and we expect our ownership to be significantly diluted upon the conversion of outstanding convertible notes issued by Broadwing. In August 2024, Broadwing granted an exclusive option to a biotechnology company to acquire the ANGPTL7 program. We believe our collaborations validate the potential of our Compass platform and our ability to generate new targets and assets of therapeutic interest across a wide range of indications and therapeutic areas.
Our approach to precision medicine: Compass platform
Our Compass platform and its associated methodologies give us the ability to aggregate matched, genetic, and longitudinal clinical data at scale to identify genes associated with disease, utilizing a combination of private and publicly-available paired clinical data. More importantly, this process uncovers genetic variants of these genes that provide insight into a therapeutic approach to the applicable target. Using machine learning and statistical modeling, variant functionalization tools, and traditional and computational drug discovery technologies, targets are then prioritized based on their roles in biological pathways, their roles as potential drivers of disease, and their structural properties. These insights ultimately inform our clinical development and patient selection strategies, which we believe have the potential to improve the overall likelihood of technical, regulatory and commercial success of our precision medicine candidates, although we cannot provide any assurance that the application of our Compass platform will result in the ultimate regulatory approval of any of our therapeutic candidates. The power of our Compass platform and its methodologies is best exhibited through our clinical and preclinical programs and multiple contributions to the scientific community over the past five years, including the publication in Nature and other leading scientific journals of genetic links and other scientific developments identified through our Compass platform.
6

Figure 2: The three phases of our Compass platform and key differentiating features
Our Compass platform follows a sequential, three phase workflow consisting of: (1) variant discovery, in which we analyze multiple large-scale genetic databases to identify relevant genetic variants; (2) variant to function, in which we demonstrate experimentally the link between genetic variants identified and the biology underpinning protection from disease; and (3) function to therapy, in which we develop the assays, models, molecules and data necessary to support advancing new small molecules into clinical development. This workflow creates an iterative learning loop that improves as we generate and analyze additional data.
A new era of precision medicine: Maze’s opportunity in CVRM diseases
Over the past 20 years, significant advances in human genetics and in the understanding of the biological processes underpinning disease have opened the door to a multitude of new potential therapeutic targets and treatment approaches, which we believe presents a unique opportunity for a new approach to precision medicine. More recently, the availability of matched, genetic and longitudinal clinical data and advanced computational methods to analyze these data has enabled the characterization of genetic variants that are strongly correlated with disease susceptibility and severity. Advancements in functional genomics have also provided new tools to help unravel how genetic variants impact disease progression from a mechanistic perspective. Nevertheless, the process of successfully translating genetic insights into effective precision medicines is a complex challenge that has inspired our mission as a company as well as our name, Maze Therapeutics.
Based on insights from our Compass platform, we design our therapeutic candidates to modulate the target of interest, either by mimicking the beneficial effects of certain protective variants or by blocking the unwanted activity associated with toxic variants, to address the underlying biological drivers of disease. Our process of designing precision medicines that take into account the genetic drivers of disease in defined patient groups parallels many of the foundational principles of precision oncology, which has revolutionized the treatment landscape in cancer, and, we believe, may help streamline our development efforts and increase our odds of clinical success.
Our team and investors
Our leadership team and board of directors have significant experience discovering, developing and commercializing therapies. Our existing shareholders include investors with renowned life sciences experience and a shared, dedicated goal of transforming the lives of patients by creating a leading precision medicine company in the CVRM disease spaces.
Jason Coloma, Ph.D., M.P.H., our Chief Executive Officer, brings over 20 years of life science leadership experience. He most recently operated as a venture partner at Third Rock Ventures, LLC, or Third Rock Ventures, during which time he served as the Chief Operating Officer of Maze before being appointed CEO.
Harold Bernstein, M.D., Ph.D., our President, Research & Development and Chief Medical Officer, brings over 30 years of experience in scientific research, translational medicine and clinical development. Dr.
7
Bernstein most recently was Chief Medical Officer and Head of Global Clinical Development at BioMarin Pharmaceuticals Inc. He previously served as Head of Translational Medicine at Vertex Pharmaceuticals Incorporated, or Vertex, and held roles of increasing responsibility at Merck and Co., Inc., including Head of Early Development for Cardiometabolic Diseases.
Atul Dandekar, our Chief Strategy and Business Officer, brings over 20 years of experience in strategy, clinical development and commercialization. Mr. Dandekar most recently was VP, Global Franchise Head for Ophthalmology at Genentech, Inc., or Genentech, and F. Hoffmann-La Roche AG, or Roche, and previously served as Senior Global Program Head in Neuroscience at Novartis AG.
Our strategy
We leverage our Compass platform to discover and develop precision medicines in subsets of diseases to achieve improved treatment outcomes for patients. Our focus on CVRM diseases, including obesity, is driven in part by the emerging understanding of the interconnectivity of these diseases. By focusing on these common diseases, we believe we can maximize our impact on human health. We actively explore indication expansion based on emerging genetics data and unmet medical need.
The core elements of our business strategy are to:
Background
Overview of precision medicine
Human evolution has given rise to significant genetic diversity worldwide. Because of population migrations and mixing, genetic drift, and founder effects, different populations carry distinct genetic variants. Certain of these variants increase an individual’s susceptibility to disease, while other variants can protect individuals from disease. Using the tools of modern human genetics, the scientific community is learning how variations in different genes may impact disease at an unprecedented pace.
8
Therapeutic targets supported by human genetic evidence are more likely to yield treatments that provide clinical benefit to patients. Precision medicine holds the promise of therapeutics specifically tailored to address the particular drivers of an individual patient’s disease state to optimize treatment outcome, but the realization of this promise through clinical implementation has proven elusive. Although more than 100,000 associations between particular genomic regions and specific diseases have been identified, developing medicines to target the drivers of a disease remains challenging. This is due to difficulties in selecting the most pharmacologically relevant genomic associations, difficulties in identifying the mechanism by which these genomic associations cause diseases and challenges in developing therapeutics for newly identified targets.
Addressing differences in response to treatment requires a more advanced understanding of and appreciation for the molecular complexity of disease. This is particularly true for common diseases, the complexity of which can be vast. A disease may involve thousands of genes across multiple cell types in different parts of the body. Because current clinical diagnostic technologies do not have the capability to assess change at such scale, current translational research or clinical practice cannot address disease complexity at this level.
We believe that we are pioneering the effort to translate genetic insights into therapeutic innovations by leveraging the technological convergence between biological sciences and information technology, and that our approach to drug discovery and development significantly mitigates its inherent risks with the key feature of variant functionalization. We leverage our Compass platform to discover and develop precision medicines in subsets of diseases to achieve improved treatment outcomes for patients. Our focus on CVRM diseases, including obesity, is driven in part by the emerging understanding of the interconnectivity of these diseases.
Overview of chronic kidney disease (CKD)
CKD is a serious, progressive condition characterized by the gradual loss of kidney function over time, posing significant health risks and economic burdens. CKD affects approximately 37 million patients in the United States, where it is expected to be the fifth most prevalent chronic disease by 2040, and an estimated 700 million patients worldwide. CKD manifests through various stages, culminating in end-stage renal disease, or ESRD, necessitating dialysis or kidney transplantation for survival. Current treatments for CKD consider patients as falling into clinical categories and focus on slowing disease progression, but do not target the underlying genetic drivers of disease.
In the early stages of CKD, most patients may not have symptoms. However, as kidney function gradually diminishes over time, health problems such as high blood pressure, anemia, muscle weakness and nerve damage, kidney failure and cardiovascular, or CV, disease may develop, leading to premature death. Once the disease progresses to ESRD, the only definitive treatment is kidney transplant, with dialysis serving as a bridge to transplant. As of 2018, the five-year survival rate for all people in the United States who started dialysis was under 50%, presenting a significant and urgent need for alternative treatments for CKD. In addition to the significant impacts on patients and their families, this disease has put a significant burden on the healthcare system in the United States, with more than 550,000 patients requiring dialysis and approximately 230,000 patients living with a kidney transplant. An estimated 14% of the United States population has CKD, with the Medicare program spending an outsized amount, more than 24% or $130 billion of total yearly expenditures, on patients with CKD.
Individuals of African ancestry are at significantly greater risk of developing ESRD than individuals of European ancestry, and account for approximately 33% of patients who experience kidney failure in the United States. The cumulative risk of ESRD is approximately 7.5% of Americans with African ancestry as compared to approximately 2% of Americans with European ancestry. Understanding the genetic drivers of this difference in CKD progression may accelerate the development of treatment strategies and reduce the excess burden.
CKD can also increase the risk of CV diseases, such as heart failure, or HF. Depending on the stage of CKD and the age of the patient, up to 50% of patients diagnosed with CKD will also experience HF. CKD patients who are more likely to develop HF typically have similar risk factors including diabetes, obesity, and hypertension. If CKD is identified and addressed early enough, treatment can help slow disease progression, preserve renal function and reduce CV complications, including HF.
Limitations of current CKD therapies
Despite advances in medical science, current treatments for CKD consider patients as falling into clinical categories and focus on slowing disease progression but do not target the underlying genetic drivers of disease.
In addition to lifestyle modifications, the standard of care for CKD includes three main categories of treatment:
9
Only 50% to 70% of CKD patients respond to lifestyle modification and standard of care treatment, and ultimately almost all CKD patients progress to ESRD. Furthermore, existing therapies are associated with adverse side effects and patients experience substantial healthcare costs. Given the escalating prevalence of CKD, and its profound impact on patient well-being and healthcare systems, there exists a critical and pressing need for innovative treatments capable of halting or reversing disease progression, improving patient outcomes, and mitigating the socioeconomic burden associated with CKD.
Our two lead wholly owned programs, MZE829 and MZE782, are novel precision medicine-based approaches for CKD that inhibit APOL1 and SLC6A19, respectively. Our CKD programs are designed to modulate these targets directly, either by mimicking the beneficial effects of certain protective variants or by blocking the unwanted activity associated with toxic variants, to address the underlying biological drivers of disease. We believe this approach has the potential to be disease modifying and ultimately lead to better treatment outcomes for patients living with CKD.
Overview of APOL1 kidney disease (AKD)
AKD is a life threatening, genetically driven form of CKD. People who have high-risk coding variants in both copies of the APOL1 gene have a heightened risk of developing CKD. Patients who develop AKD have one or both of the two high-risk variants of the APOL1 gene, G1 and G2, in both copies of their APOL1 gene, which can lead to kidney injury and interference with the kidney’s ability to filter harmful substances from the blood.

Figure 3: Prevalence of AKD and associated risk factors
The high-risk APOL1 gene variants are most prevalent in people of West African ancestry, including many who identify as Black, African American, Afro-Caribbean and Latina/Latino. These high-risk APOL1 gene variants likely evolved to protect individuals from Human African trypanosomiasis, or HAT, which causes sleeping sickness. HAT is endemic in sub-Saharan Africa and caused by protozoan parasites transmitted by infected tsetse fly bites. Without treatment, HAT is usually fatal.
In the United States, approximately six million, or 13%, of African Americans have mutations of both copies of the high-risk APOL1 gene variants, and are at risk for developing AKD. It is currently estimated that approximately 20%, or over one million, of those individuals have AKD.
10
APOL1 is a channel-forming innate immunity protein found in circulating high-density lipoproteins in humans and certain primates. In addition to circulating forms, APOL1 is also found locally in kidney endothelial cells and podocytes. Circulating APOL1 mediates resistance to infection from the parasite Trypanosoma brucei. The high-density lipoprotein particle binds to the cell membrane of the parasite, allowing for the uptake of APOL1, which forms a pH-gated cation channel in the membrane of the lysosome. The lysosome then swells and ruptures into the body of the parasite, resulting in its demise. The G1 and G2 variants of APOL1 evolved in response to parasites that became resistant to normal APOL1. However, individuals with two copies of the G1 and/or G2 variants were found to be at higher risk for developing CKD and progressing to ESRD.
Rare individuals lacking APOL1 altogether appear to have no higher risk of developing CKD than the general population, suggesting that AKD is the result of toxicity associated with the risk variants, rather than APOL1 inactivation. This observation also suggests that it may be safe to inhibit APOL1 activity to reduce the risk and progression of AKD.
AKD has various clinical presentations, including FSGS, hypertension-associated kidney disease, HIV-associated nephropathy and lupus nephritis. Published third-party studies and internal analysis also suggest that AKD may be responsible for increasing the likelihood of progression to ESRD in individuals with diabetes.
AKD represents a significant unmet medical need, as there are currently no approved therapies that address its underlying genetic causes or efficacious treatment options for individuals with high-risk APOL1 gene variants.
Third-party clinical trials evaluating the use of a small molecule APOL1 inhibitor have demonstrated a statistically significant and clinically meaningful reduction in proteinuria at 13 weeks compared to baseline in APOL1-mediated FSGS patients. All clinical trials to date have been limited to AKD patients in the nephrotic or sub-nephrotic range, who represent a small percentage of the AKD population, and have excluded patients with hypertensive kidney disease and diabetes, who make up the majority of AKD patients.
Role of SLC6A19 in kidney disease
SLC6A19 encodes the protein BoAT1, a sodium-dependent neutral amino acid transporter expressed primarily in the proximal tubule of the kidney and on the brush border of the small intestine. In the kidney, SLC6A19 plays a role in minimizing the excretion of amino acids in urine by transporting these key nutrients from the urine back into the bloodstream. We identified SLC6A19 as a potentially novel therapeutic target for CKD based the finding that loss-of-function variants in SLC6A19 were associated with improved renal function and protection from CKD.
As shown in Figure 4 below, while treatment strategies for patients with CKD have evolved with the use of RAAS inhibitors and more recently SGLT2 inhibitors and GLP-1 agonists, of the approximately 14 million CKD patients in the United States with clinical symptoms requiring treatment, only approximately 7 million are receiving treatment. Of these, we estimate that up to five million patients may have an inadequate response and could benefit from novel treatments. Additionally, we believe there is potential for SLC6A19-based therapies to be used either alone or in combination with other available treatment options in an even larger group of CKD patients.
11

Figure 4: Initial target CKD populations for MZE782 in the United States
Our lead programs for CKD: MZE829 and MZE782
Our wholly owned pipeline consists of small molecule precision medicines for patients living with CVRM diseases, including obesity. Our two lead wholly owned programs, MZE829 and MZE782, are novel precision medicine-based approaches for CKD that inhibit APOL1 and SLC6A19, respectively.
MZE829 for APOL1 kidney disease (AKD)
Our most advanced lead program, MZE829, is an oral, small molecule inhibitor of APOL1 that seeks to treat patients with AKD, a subset of CKD estimated to affect over one million patients in the United States alone. Our approach to treating AKD aims to block the ability of APOL1 to conduct current at the cell membrane. Based on compelling human genetics and functional genomics data derived from our Compass platform linking the role of the G1 and G2 APOL1 risk variants to CKD, along with a further understanding of APOL1’s function and clinical observation of its localization, we believe a pore-blocking strategy will reduce ion conductance in podocytes and thus reduce APOL1-associated renal toxicity.
While the genetic link between APOL1 and kidney disease has been well established, the mechanism by which it induces kidney injury remained unclear for over a decade. Through our Compass platform and the research we have conducted with our partners, we have identified the mechanism of a naturally occurring genetic variant of APOL1, called N264K. When present, this variant has been shown to reduce the conductance of ions through the APOL1 pore in the presence of the high-risk G1 and G2 APOL1 alleles, thereby suppressing the toxicity of APOL1 in kidney cells and reducing disease progression.
12
The genesis of our therapeutic hypothesis was based upon human genetics involving an individual from Ghana who developed an atypical trypanosome infection. Under normal circumstances, protections afforded by APOL1 would have prevented infection from this particular trypanosome. However, a third party’s sequencing of the APOL1 gene from this individual revealed that the genetic mutation responsible for N264K occurred in a separate part of the APOL1 gene from where the disease-driving mutations occur and established that the mutation resulted in the inability of APOL1 to direct the elimination of trypanosomes. This led us to consider whether the mechanism by which APOL1 promoted trypanosome lysis may also have a causal connection to toxicity in kidney disease. We tested the consequences of the N264K variant in cultured kidney cells, in which expression of the G1 and G2 APOL1 risk variants are toxic. When the risk variant of APOL1 was altered to contain the N264K variant, its toxicity in kidney cells was substantially reduced.
To further validate the finding, we conducted a cross-sectional analysis of 121,492 participants of African ancestry from the Million Veteran Program, or MVP, to determine if the presence of N264K modified the association between the G1 and G2 risk variants and CKD and ESRD. As depicted in Figure 5 below, the results showed a strong association between N264K and a statistically significant risk reduction (p < 0.001) of CKD (left) and ESRD (right) among carriers of the G1 and G2 risk variants. The results were further replicated by research from the Vanderbilt University Medical Center’s Biobank (BioVU; n= 14,386) and the National Institute of Health’s All of Us program (All of Us; n= 14,704), also reflected in Figure 5 below. A meta-analysis across all cohorts demonstrated a 57% reduced risk of CKD and an 81% reduced risk of ESRD in APOL1 high-risk patients carrying the N264K protective variant.

Figure 5: APOL1 N264K variant shown to protect against AKD (CKD) and ESRD
We then used human kidney cell models to demonstrate that the N264K mutation blocked APOL1 pore-forming function and ion conductance, and reduced toxicity of the APOL1 high-risk mutations (the G2 variant shown in Figure 6 below). We generated kidney cell lines in which expression of the toxic G2 APOL1 protein was induced with doxycycline. We then measured calcium ion flow into these cells using a calcium sensitive fluorescent protein. As demonstrated in the left panel below, an increase in calcium uptake occurred in cells where expression of the G2 variant was induced (G2, +Dox) but not in cells in which G2 was not expressed (G2, -Dox). This demonstrated that the G2 APOL1 variant can form an ion permeable pore in the plasma membrane of these cells. As shown in the right panel below, cells designed to express a version of toxic G2 APOL1 with the N264K mutation (G2 N264K) did not show evidence of increased ion flux in the presence of doxycycline. This demonstrated that the protective APOL1 variant N264K blocked G2 APOL1 dependent ion flux in a cell model as measured by calcium uptake, demonstrating that N264K acts by impairing APOL1 pore function. These data informed our therapeutic hypothesis for the treatment of AKD by phenocopying the effects of the N264K variant and blocking the unregulated ion flow that occurs in the presence of the high risk APOL1 variants, G1 and G2.
13

Figure 6: Protective N264K variant corrected ungated ion flux that occurs with G2 risk variant Discovery of MZE829
In order to validate the assertion that inhibition of pore function would limit toxicity, we conducted several small molecule screening campaigns. These screens resulted in our identification of several chemical series that were capable of blocking the influx of ions through APOL1. Kidney cells expressing APOL1 were exposed to pore-blocking molecules from our lead series at a range of concentrations at two different resting membrane potentials. Measurement of the current flowing through the APOL1 pore showed that these molecules inhibited the flow of current in a dose dependent manner.
Further, in studies to assess the ability of our lead compounds to protect against APOL1-mediated toxicity, human kidney cells expressing the G1 and G2 APOL1 risk variants were cultured in the presence and absence of our lead compounds. As the concentration of our lead series APOL1 inhibitor increased, the rate of kidney cell toxicity decreased and kidney cell viability percentage increased in a dose dependent manner.
Conducting the various in vitro and cell-based assays allowed us to evaluate potency and effect of APOL1 compounds. While these assays are informative, they are limited, artificially constructed systems, and often provide incomplete data on how the compounds may interact in a human setting. Because of these complexities, we believe a humanized in vivo mouse model measuring proteinuria reduction is the preferred surrogate for patient improvement. We conducted an in vivo experiment with our development candidate, MZE829, using a transgenic mouse model that simulates human disease with two copies of high-risk APOL1 alleles that drive high levels of proteinuria in response to an inflammatory stimulus driven by expression of interferon gamma.
Findings from this study demonstrated the potential of MZE829 to ameliorate disease manifestations of AKD, specifically proteinuria and the histopathological manifestations of kidney damage. In this study, we treated mice homozygous for a bacterial artificial chromosome, or BAC, transgene expressing the G2 APOL1 variant with interferon gamma to induce APOL1 expression in the kidney. This treatment led to G2 APOL1 upregulation and kidney injury that could be monitored by urinary albumin excretion or urinary albumin-creatinine ratio, or uACR. Mice were treated with interferon gamma and MZE829, and urine was collected from 24 through 48 hours after treatment. As shown in Figure 7 below, MZE829 dose dependently blocked APOL1 induced kidney injury in this translationally relevant G2 APOL1 BAC transgenic mouse model as measured by decreases in uACR.
14

Figure 7: MZE829 inhibited APOL1 dependent proteinuria, as measured by uACR, in a model of AKD
We also compared MZE829 to an independently synthesized sample of the publicly disclosed structure of inaxaplin, or VX-147, in this mouse model of AKD. Inaxaplin is an APOL1 function inhibitor currently in clinical development sponsored by Vertex. Different doses of MZE829 and the synthesis of inaxaplin were given to mice treated with interferon gamma. uACR and free plasma drug concentrations were determined for each dose group, and the exposure-response relationships for both compounds was analyzed as shown in Figure 8 below. The free plasma drug concentrations associated with a 50% reduction in uACR was approximately 100 times lower for MZE829 compared to the synthesis of inaxaplin. These data demonstrated that MZE829 was substantially more potent than our synthesis of inaxaplin in a translationally relevant animal model, and suggest that meaningful efficacy in the clinic may be achievable at lower levels of free drug. Therefore, we believe MZE829 may be more suitable for clinical exploration in a broader range of patients, with lower risk of off-target safety effects.

Figure 8: MZE829 was approximately 100 times more potent than an independently synthesized sample of inaxaplin in a mouse model of AKD
While the mouse model of AKD described above simulated acute onset and treatment of disease, we also developed additional models that more closely resemble chronic disease. In these models, mice harboring BAC transgenes with one copy each of both G1 and G2 were exposed to an adeno-associated virus chronically expressing interferon gamma to produce the manifestations of AKD in humans. Treatment after seven days of continuing interferon expression with a mouse-tool compound (MZ-302) with similar pharmacochemical characteristics to MZE829 demonstrated the ability to significantly reduce uACR in a dose-dependent manner, as shown in Figure 9 below, with almost complete reversal after three weeks of treatment.
15

Figure 9: Reversal of established proteinuria, as measured by uACR, by a Maze APOL1 inhibitor (MZ-302) in a chronic mouse model of AKD
Treatment also was shown to resolve kidney tissue abnormalities (disruption of glomeruli, or glomerulosclerosis as shown in insets) within the same time frame, as reflected in Figure 10 below. This demonstrated that in both acute and chronic mouse models of AKD, our specific and potent APOL1 inhibitors were able to both arrest and reverse disease, providing further validation of our therapeutic hypothesis.

Figure 10: Treatment with MZ-302, a Maze APOL1 inhibitor, significantly reduced glomerular scarring in a chronic mouse model of AKD
MZE829 clinical trials
We recently completed a Phase 1 randomized, placebo-controlled clinical trial evaluating MZE829 in 111 healthy volunteers, including 33 African American volunteers (25 of whom received MZE829 and 8 of whom received placebo), with single ascending dose, or SAD, and multiple ascending dose, or MAD, cohorts. The primary objective of the Phase 1 trial was to assess the safety and tolerability of single and multiple doses of MZE829 in healthy volunteers. The secondary objectives were to evaluate the food effect of a single dose of MZE829 and the pharmacokinetics of single and multiple doses of MZE829. As a part of the Phase 1 trial, we also investigated potential drug-drug interactions, or DDIs, to guide the use of standard-of care medicines in Phase 2.
16
MZE829 Phase 1 results
In October 2024, we reported the Phase 1 results from our Phase 1 trial in healthy volunteers. This first-in-human, randomized, placebo-controlled, single and multiple ascending dose trial was designed to evaluate the safety, PK, food effect, and potential DDIs based on CYP3A4 metabolism of orally administered MZE829 in healthy volunteers and enrolled 111 participants, including 33 African American patients. The Phase 1 trial cohorts consisted of: single dose (n=48); multiple doses (n=40); food effect dosed with 240 mg (n=8); DDI, dosed with 120 mg and itraconazole (n=7); and DDI, dosed with 240 mg and midazolam (n=8). As shown in Figure 11 below, in this trial, MZE829 was well tolerated at multiple doses up to 350 mg daily for seven days. MZE829 was also well tolerated at single doses up to 480 mg. At likely therapeutic dosing levels, all treatment-related adverse events were reported as mild. No serious adverse events were reported at any dose. In total, approximately 20% of patients receiving MZE829 reported any treatment-related adverse event, the majority of which were headache, as compared to 13% of patients receiving placebo. With respect to treatment-related adverse effects reported in three or fewer patients, approximately 20% of patients receiving MZE829 reported headache as a treatment-related adverse event as compared to 4% of patients receiving placebo. At the supratherapeutic dose of 480 mg, we observed mild and moderate treatment-related adverse events consisting of headache, nausea, vomiting and diarrhea (among the 480 mg split-dose cohort, n=3 across all three such events), and no severe adverse events were reported. Due to the tolerability issues reported for multiple patients, we stopped dosing at the 480 mg QD level after two doses.

Figure 11: MZE829 well-tolerated at multiple doses up to 350 mg QD x 7 days
As shown in Figure 12 below, dose-proportional PK was observed with low variability (10-40%) across doses and minimal urinary excretion (<1%). The observed half-life of MZE829 was approximately 15 hours, which supports the potential for MZE829 to be dosed once daily. Additionally, no clinically significant drug-drug interactions were identified, which we believe supports the ability for MZE829 to be administered together with standard of care medicines used in patients with AKD, including cyclosporine, tacrolimus and mycophenolate mofetil.
The results from our Phase 1 trial demonstrated that MZE829 was well tolerated and established the dosing regimen that we are taking into our Phase 2 trial in patients with AKD. Patients with the high risk APOL1 genotype and proteinuric kidney disease are currently being enrolled into our Phase 2 trial to reflect a broad spectrum of AKD patients.
17
Single Ascending Doses* |
|
Multiple Ascending Doses** |
|
|
|
|
|
|
* Note: Single doses up to 480 mg were also evaluated in the study. Due to inconsistent exposures, these data are not shown here. Evaluation of the same dose level administrated as split dose (2 hours apart) as well Day 1 exposures at 480 mg MAD cohort suggest the low exposures observed in the 480 mg single dose cohort were erroneous. LLOQ=2ng/ml. n=6/cohort
** Note: Dosing was discontinued in 480 mg QD cohort after second dose. These data are not shown here. LLOQ=2ng/ml. n=6/cohort
Figure 12: MZE829 had a linear PK with dose proportional increases in plasma exposure in 20 mg to 480 mg
Phase 2 trial design
Our Phase 2 clinical trial employs an open-label basket design that includes a range of clinical phenotypes, including those accompanied by type 2 diabetes, and moderate to severe forms of disease as determined by the level of proteinuria (at least 300 milligrams albumin per gram creatinine). It is a 12-week trial to evaluate the safety, efficacy and tolerability of MZE829 using uACR reduction in adults with CKD who have the APOL1 high-risk genotype (two copies of a high-risk APOL1 allele, G1 and/or G2). The trial is intended to initially consist of two cohorts. Both initial cohorts will simultaneously enroll participants aged 18 to 65 with CKD and uACR of at least 300 milligrams albumin per gram creatinine, who carry the APOL1 G1 and G2 mutations (G1/G1, G2/G2, G1/G2), meet estimated glomerular filtration rate, or eGFR, criteria of at least 25 mL/min/1.73m2 up to 90 mL/min/1.73m2, and have received stable doses of current standard of care treatment for CKD for at least eight weeks prior to screening. One cohort will be comprised of participants with CKD (including HTN-related CKD or FSGS) and concurrent type 2 diabetes. The second cohort will be comprised of participants with CKD diagnoses attributed to hypertension or FSGS with or without biopsy and without a known cause for CKD other than APOL1. We expect to enroll approximately 28 patients per cohort, with an option to explore additional doses. These first two cohorts are intended to include patients with a wide array of characteristics of CKD, including patients with more severe disease who have nephrotic range proteinuria and patients with more moderate disease who have lower levels of proteinuria. We further expect to expand into a third cohort of patients with FSGS, enrolling approximately 15 patients.
A once daily oral dose of 250 mg MZE829 will be administered to participants in both cohorts over a 12-week treatment period, which we expect to be in an efficacious dose range based on in vivo pharmacology models. The dose of 250 mg orally administered once daily is supported by the safety, tolerability, and PK profile observed in the Phase 1 trial and completed 13-week nonclinical toxicology studies.
Our Phase 2 evaluation of MZE829 clinical development will aim to address a larger population than current third-party clinical trials, as shown below in Figure 13, which are limited to patients in the nephrotic or sub-nephrotic range only, comprised of non-diabetic patients with FSGS and a small portion of patients with hypertensive nephropathy and heavy proteinuria.
18

Figure 13: Maze plans to explore an expanded population of AKD patients in the United States in clinical trials
Data from Phase 2 are intended to demonstrate proof of concept, with data expected in the first quarter of 2026, and provide appropriate criteria for selection of patient populations and dose range in a subsequent pivotal clinical program.
We intend to use reduction of proteinuria, as measured by the percentage of subjects with a 30% or greater reduction from baseline uACR at week 12, as well as safety and tolerability, as the primary endpoints for the Phase 2 trial. uACR is a sensitive measure of proteinuria in earlier stages of glomerular kidney disease, particularly in hypertension and diabetes, and has been used to assess risk of CV disease. Secondary endpoints will be the change in urine protein-creatinine ratio and an evaluation of MZE829 PK in the patient population. Exploratory endpoints will include change in eGFR, the Kidney Disease Quality of Life 36-item short form survey, and other biomarkers. With respect to the FSGS cohort, we are assessing the potential use of proteinuria and eGFR-based surrogate endpoints as advanced by the Proteinuria and GFR as Clinical Trial Endpoints in Focal Segmental Glomerulosclerosis, or PARASOL, initiative.
Patient identification and selection
We are using clinical genotyping to identify individuals who carry the APOL1 G1 and G2 mutations in connection with enrollment of our Phase 2 clinical trial. Additionally, the APOL1 G1 and G2 variants are included in most currently used standard genetic screening panels for kidney disease. We do not intend to genotype participants for the N264K variant as this is a rare finding and these individuals are unlikely to meet the criteria for AKD as they are relatively protected. We are currently exploring the development of an APOL1 G1/G2 companion diagnostic for commercialization. Various sponsors, including kidney societies, patient advocacy groups, academic programs and other biopharmaceutical companies, are currently conducting global genotyping efforts. These are promoted by the Kidney Health Initiative, a public-private partnership among the U.S. Food and Drug Administration, or FDA, the American Society of Nephrology, and other member organizations, including us. We believe that these genotyping efforts will increase as additional positive data and potential therapies become available. Additionally, in August 2024, we initiated a multicenter, clinical observational study to identify black and African American individuals who carry the APOL1 G1 and G2 mutations, and to explore kidney disease biomarkers in patients with proteinuric kidney disease.
19
MZE782 targeting SLC6A19 for CKD
We believe that MZE782, an oral, small molecule targeting the solute transporter, SLC6A19, has the potential to treat approximately five million of the CKD patients in the United States who have inadequate responses to currently available CKD therapies. Beyond its use as a potential standalone therapy, MZE782 may also provide a significant benefit to patients in combination with standard of care, including as a complementary treatment to current approved regimens, or as an alternative option for those patients who do not adequately respond to the current standard of care. We plan to apply a non-invasive biomarker strategy in our Phase 1 trial in healthy volunteers to establish proof of mechanism and select doses for a Phase 2 trial in CKD patients. We initiated a Phase 1 trial of MZE782 in September 2024 and expect to provide initial data from this trial in the second half of 2025.
Using our Compass platform, we identified SLC6A19 as a target through genetic association with a bidirectional allelic series that included genetic variants that either improve or worsen renal function. We then applied variant functionalization techniques to understand the characteristics of the naturally occurring protective variants, and designed a small molecule inhibitor to mimic those protective characteristics. Using computational tools integrated with established small molecule screening methods, we were able to identify a lead compound series. Cryo-EM structural analysis revealed a novel allosteric binding site that allowed for further optimization toward a lead compound. This approach facilitated the identification of our development candidate, MZE782, with a 250-fold increase in potency relative to earlier compounds in development.
Identification of SLC6A19 as a therapeutic target using our Compass platform
SLC6A19 emerged as a novel therapeutic target for the treatment of CKD based on our analyses of independent sets of human genetic data matched with longitudinal clinical data for kidney health. Through these analyses, we identified a link between loss-of-function variants in SLC6A19 with improved renal function and protection from CKD. As illustrated in Figure 14 below, SLC6A19 variants plotted by allele frequency on the X-axis were statistically significantly associated (p< 5x10-8 ) with improvement in kidney function (as measured by decreases in serum creatinine) on the Y-axis. One loss-of-function missense variant (D173N) had the largest beneficial effect on kidney function.

Figure 14: Analysis of matched clinical-genetic data from the UK Biobank prioritized novel CKD target SLC6A19
Analysis of the D173N loss-of-function variant and gain-of-function Expression Quantitative Trait Loci, or eQTLs, across the UK Biobank data set established a bidirectional allelic series (both protective and risk alleles) for kidney function. As shown in Figure 15 below, loss-of-function D173N variant was associated with decreased levels of serum creatinine and cystatin C, as well as increased eGFR, consistent with better kidney function. An eQTL that leads to higher levels of SLC6A19 expression was associated with increased levels of serum creatinine and cystatin C and lower eGFR, consistent with worse kidney function. Missense variants that decrease SLC6A19 activity and eQTLs that increase SLC6A19 activity have directionally opposite effects across multiple distinct biomarkers of kidney function supporting the model that loss of function in SLC6A19 protects from CKD.
20

Figure 15: SLC6A19 variants had bidirectional and consistent effects across biomarkers of renal function
Preclinical models of SLC6A19 inhibition
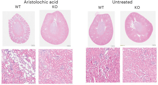
To gain further confidence in SLC6A19 as a relevant therapeutic target for improving kidney health, we generated a preclinical knockout mouse model to recapitulate the effects of the loss-of-function protective variants. As demonstrated in the histopathological images in Figure 16 below, the kidney from a representative wild type mouse (far left) showed marked damage, as indicated by vacuolization (excessive white spaces) in the kidney parenchyma along with breakdown of the normal architecture of glomeruli (the filtration units in the kidney) in response to treatment with the proximal tubule toxin, aristolochic acid, or AAI. In contrast, the kidney from a representative SLC6A19 knockout mouse (inner left) showed normal kidney parenchyma with healthy glomeruli in response to AAI treatment. This demonstrated protection of the kidney from AAI damage in mice that did not express SLC6A19.
Further, complete knockout of SLC6A19 in this model was well tolerated with normal kidney parenchyma (far right), and no impact on body weight, eGFR or other measures of kidney health, or function of other organs. In addition, Hartnup syndrome, a genetic disorder in which individuals are homozygous for loss-of-function mutations in SLC6A19, is characterized by benign loss of amino acids in urine. Patients with Hartnup syndrome can live healthy lives with appropriate dietary supplementation. Heterozygous Hartnup carriers are clinically normal without intervention. Together, these observations provide in vivo evidence that pharmacologic inhibition of SLC6A19 function could be well tolerated in patients with CKD and protect the kidney from injury.

Figure 16: Targeted genetic knockout of SLC6A19 in a preclinical model protected against AAI-induced kidney injury
21
Correlation of SLC6A19 inhibition with clinically meaningful effect
Individuals with one copy of the D173N variant displayed clinically meaningful protection of kidney function in the UK Biobank data set. Functionalization of this variant enabled us to estimate the degree of inhibition required for a clinically significant effect. SCL6A19 harboring the protective D173N variant and other variants associated with SLC6A19 loss-of-function were expressed in a Xenopus oocyte system. Introduction of the D173N mutation resulted in an approximately 50% decrease in transporter activity as measured by uptake of the neutral amino acid, leucine, a natural cargo for the transporter, compared to wild type SLC6A19. Because a protective effect on kidney function is seen in the presence of a single copy of the D173N variant, these data suggest that a clinically meaningful effect could be seen with as little as 50% inhibition of the target.
Discovery of MZE782
Based on our genetic analyses, loss-of-function variants were protective against kidney dysfunction in human beings against kidney injury in the preclinical AAI treatment model. As a result, we launched a drug discovery program to identify small molecule inhibitors of SLC6A19 function. Inhibitors of SLC6A19 were identified in a screen of 200,000 compounds in a cellular fluorometric membrane potential assay.
Several hit series were identified (potencies <10 µM), and the acquisition of dozens of Cryo-EM protein-ligand complex structures revealed that all compounds bound in a specific, cryptic allosteric pocket. Structurally enabled hybridization of the hit series and further optimization using a cellular radiometric leucine uptake assay produced compounds with potencies <500 nM. Further lead optimization benefited from the introduction of polarity which allowed for the best balance of potency and in vivo pharmacokinetic performance. Ultimately, our efforts resulted in MZE782, with an IC50 < 300 nM reflecting a ten-fold improvement in potency compared to the initial hit.
Development of translational biomarkers of SLC6A19 inhibition
Because SLC6A19 transports (and therefore, reabsorbs) neutral amino acids from the urine back into the bloodstream, the excretion of neutral amino acids in the urine should allow for the measure of SLC6A19 inhibition in the kidney. A mouse tool compound derived from in-house high throughput screens, which we refer to as MZ-401, was dosed at 100, 300 and 1000 milligrams per kilogram in a mouse model of phenylketonuria, Pahenu2, in which circulating levels of phenylalanine, or Phe, are elevated. Urine was collected for eight hours post-dose and urinary levels of Phe, glutamine, or Gln, and creatinine were determined by an LC-MS assay. As depicted in Figure 17 below, we observed dose dependent increases in urinary Phe (left) and Gln (right) normalized to creatinine. Although the levels of circulating Phe, but not Gln, are elevated in this specific mouse strain, we believe these data still confirm the utility of urinary excretion of neutral amino acids as a relevant pharmacodynamic measure with which to establish an exposure-response with SLC6A19 inhibition. MZ-401 induced dose dependent increases in urinary phenylalanine and glutamine, consistent with >50% target engagement based on genetic analysis of humans and mice.

Figure 17: A Maze SLC6A19 inhibitor (MZ-401) achieved a response consistent with >50% target engagement based on dose dependent increases in urinary neutral amino acids
22
MZE782 clinical development plans
In September 2024, we initiated a Phase 1 clinical trial evaluating MZE782 in healthy volunteers. The Phase 1 clinical trial is a randomized, double-blind, placebo-controlled single and multiple ascending dose study in approximately 112 healthy volunteers designed to evaluate safety, tolerability, PK and pharmacodynamics as measured by urinary excretion of known SLC6A19 cargo, e.g., neutral amino acids. This non-invasive biomarker is intended to inform dose selection and optimize the design of future clinical trials in patients. We expect to provide initial results of this clinical trial, including potential proof of mechanism utilizing these biomarkers, in the second half of 2025.
Beyond its use as a potential standalone therapy, MZE782 may also provide a significant benefit to patients in combination with standard of care, including as a complementary treatment to current approved regimens, or as an alternative option for those patients who do not adequately respond to the current standard of care.
Subject to receiving supporting data from Phase 1, our current plan is for Phase 2 to focus on CKD patients with inadequate response to the current standard of care. Our ongoing analysis of matched genetic-clinical-metabolomic data in CKD cohorts and exploration of metabolite profiles in these data sets as well as in our Phase 1 cohort may lead to potential approaches to further stratify patient sub-populations for our Phase 2 program. We also intend to explore effect on plasma phenylalanine, or Phe, levels in patients with PKU.
MZE782 targeting SLC6A19 for PKU
In addition to CKD, MZE782 may provide benefit to patients suffering from the genetically defined metabolic disease, phenylketonuria, or PKU. Following our ongoing Phase 1 trial of MZE782 in healthy volunteers, we plan to conduct a parallel Phase 2 patient trial to explore MZE782 potential for treatment of PKU.
PKU overview
PKU is an inherited metabolic disorder caused by mutations in the phenylalanine hydroxylase, or PAH gene, leading to a deficiency of the enzyme. As a result, Phe is insufficiently metabolized and toxic levels accumulate in the body.
PKU is a lifelong genetic disease diagnosed at birth by the routine neonatal blood spot test. There are several forms of PKU, ranging from mild to severe cases. Build-up of Phe in blood and tissues can cause neurological symptoms such as intellectual disability, behavioral abnormalities, and seizures. If left untreated, toxic levels of Phe in the blood can result in progressive and severe neurological impairment and neuropsychological complications. Current management includes adherence to a strict, low-Phe diet and dietary supplementation with other essential amino acids, as well as frequent monitoring of plasma Phe levels. Treatment with sapropterin (Kuvan) works for an estimated 20-75% of patients by enhancing the activity of PAH, especially in milder cases. A newer enzyme replacement therapy, or ERT, pegvaliase (Palynziq), is available for use in adults and achieves effective control of plasma Phe levels in up to 66% of patients, but carries a defined risk of anaphylaxis and injection site reactions. It is estimated that there are currently approximately 13,500 individuals diagnosed with PKU in the United States.
SLC6A19 for PKU
Since SLC6A19 is a sodium-dependent neutral amino acid transporter that mediates neutral amino acid resorption across the small intestine and renal proximal tubule, it is responsible for primary absorption of Phe from food in the intestine and kidney reabsorption of excreted Phe back into the bloodstream. We believe inhibiting SLC6A19 could help to both block Phe uptake in the gut and facilitate urinary excretion of excess Phe, and provide a potential therapy for patients with PKU independent of responsiveness to Kuvan or other PAH stimulators.
In mice and humans, loss of SLC6A19 limits neutral amino acid uptake resulting in fecal and urinary excretion. Mouse genetic experiments, both at Maze and in published literature, as well as recently third-party published clinical studies, suggest that inhibiting SLC6A19 using a small molecule is a viable approach for treating PKU.
MZE782 for PKU
For patients with PKU, MZE782 is being developed as an oral therapy designed to reduce plasma Phe levels by inhibiting intestinal uptake and promoting urinary excretion of Phe. MZE782 has the potential to be used as a monotherapy or in combination with standard of care. In contrast to current standard of care, SLC6A19 inhibition works by a novel mechanism and is independent of patient PAH levels or BH4 responsiveness, key signatures of current, non-ERT standard of care.
23
Based on our preclinical findings, MZE782 has the potential to be more potent than current standard of care with a potentially larger effect on reducing absorption of Phe in the gut and increasing excretion of Phe in urine. This supports the potential for MZE782 to significantly reduce levels of plasma Phe, and achieve normal plasma Phe levels in a majority of PKU patients, independent of their PAH mutation or responsiveness to PAH stimulation.
Preclinical data
To determine the potential effect of SLC6A19 inhibition on plasma Phe levels, MZ-401 was dosed at 100, 300 and 1000 milligrams per kilogram in a mouse model of phenylketonuria, or Pahenu2, in which circulating levels of Phe were elevated. Urine was collected for eight hours post-dose and plasma and urinary levels of Phe and urinary levels of creatinine were determined by an LC-MS assay. As depicted in Figure 18 below, we observed dose dependent decreases in plasma Phe (left) and increases in urinary Phe (right) normalized to creatinine.
This supports the mechanism of action of SLC6A19 inhibition in lowering plasma Phe levels in part by increasing urinary excretion of Phe.

Figure 18: A Maze SLC6A19 inhibitor (MZ-401) demonstrated dose-dependent lowering of plasma phenylalanine coincident with dose-dependent increases in urinary phenylalanine
Clinical trial design
The Phase 1 clinical trial currently underway is a randomized, double-blind, placebo-controlled single and multiple ascending dose study in healthy volunteers designed to evaluate safety, tolerability, PK and pharmacodynamics as measured by urinary excretion of known SLC6A19 cargo, including Phe.
Pending the results of our ongoing Phase 1 trial, we intend to explore the potential for MZE782 for the treatment of PKU in a Phase 2 clinical trial in patients with PKU. We expect the endpoints of the trial to include exploration of MZE782 effect on plasma Phe levels in patients with PKU, evaluation of the 28-day reduction in plasma Phe in patients with PKU, and evaluation of the percentage of PKU patients that achieve normal plasma Phe levels. We plan to finalize the trial design following Phase 1 trial results in healthy volunteers, which we expect in the second half of 2025. The findings from the Phase 1 trial will inform dose selection and design of our Phase 2 study in patients with PKU.
24
Additional CKD and CVRM research programs
In addition to our two lead programs in CKD, we are exploring additional targets that we have identified as potential next generation small molecule candidates. Using our Compass platform, we identified a CKD target through genetic association with a bidirectional allelic series that included genetic variants that either improve or worsen renal function, then applied variant functionalization techniques to understand the characteristics of the naturally occurring protective variants. Based on these analyses, we have initiated assay development for a high-throughput compound screen designed to identify a small molecule inhibitor to mimic those protective characteristics.
We have further identified an additional CVRM target through genetic analysis as described above, and are applying variant functionalization techniques to define the characteristics of the naturally occurring protective variants. We are currently scaling assays that we have developed to be used in a high-throughput screen to identify quality compounds that would serve as leads for further chemical optimization.
Other development opportunities including small molecule research in CVRM
We also have research efforts underway for our next-generation programs in common diseases. We are focusing our early research efforts and evaluating genetic targets in CVRM diseases, including obesity, driven in part by the emerging understanding of the interconnectivity of these common diseases affecting the heart and kidney through metabolic drivers, such as obesity. These research efforts include exploring complications of type 2 diabetes, non-central nervous system mechanisms of obesity, and myocardial dysfunction due to metabolic disease.
Patients who are more likely to develop CKD and other diseases such as heart failure, HF, typically have similar comorbidities, including obesity, and we believe our precision medicine approach through our Compass platform will allow for additional targets in these therapeutic areas. We aspire to ultimately guide the development of new medicines utilizing new genetic insights to identify valid targets and discover therapeutic agents designed to mimic the activity of protective genetic variants or correct the effects of toxic genetic variants. We expect that our commitment to a pragmatic development approach will improve the likelihood of success and patient impact.
In metabolism, we have identified a key set of potential targets to address obesity and are utilizing our statistical, computational and functional genomics research engine to explore non-central nervous system-driven mechanisms that affect body mass index and weight distribution. With our programs, we will look to complement the existing CKD therapy of GLP-1 receptor agonists, which are primarily driven by a central nervous system mechanism of action, and potentially address the unmet needs of patients who do not respond or cannot tolerate the current therapeutic options, or seek a maintenance option for ongoing weight control.
Our partnered programs
Using our Compass platform, we have validated targets and new therapeutic approaches targeting diseases outside of our core focus areas, including neurology, ophthalmology and rare diseases. We have entered into partnership arrangements with third parties with respect to several of these targets. These programs are not only sources of revenue, but also demonstrate the power of our Compass platform.
MZE001 for Pompe disease
Our first program to enter the clinic, MZE001, has the potential to be a novel therapeutic approach to treating Pompe disease. MZE001 is an investigational oral, small molecule inhibitor of muscle-specific glycogen synthase, or glycogen synthase 1, which is encoded by the gene glycogen synthase 1, aimed at reducing the glycogen concentration in muscles.
Pompe disease is a rare, inherited lysosomal storage disorder caused by mutations in the gene coding for acid alpha-glucosidase that can lead to the buildup of glycogen, a complex sugar, in skeletal, respiratory and cardiac muscle resulting in progressive weakness, HF and respiratory compromise. Shionogi, the licensee for this program, estimates that approximately 50,000 patients are living with Pompe disease worldwide.
25
The Compass platform enabled Maze to progress a therapeutic candidate, MZE001, from discovery to the clinic within approximately three years. Our Phase 1 first-in-human trial, which was completed in December 2022, demonstrated proof of mechanism in 129 healthy volunteers. This clinical trial was a randomized, double-blind, placebo-controlled, SAD and MAD study in healthy volunteers. The primary and secondary objectives, respectively, were to demonstrate the safety and tolerability, and evaluate the PK, of single and multiple doses of MZE001 in healthy adults. An exploratory objective was to evaluate biomarkers of glycogen metabolism to demonstrate proof of mechanism, i.e., that MZE001 treatment would result in a reduction in muscle glycogen. In the Phase 1 trial, MZE001 was well tolerated at all doses tested, with no serious adverse events observed. Importantly, the exploratory analyses showed that MZE001 inhibited the synthesis of muscle glycogen and reduced total muscle glycogen compared to placebo. We believe these data support MZE001’s potential as an oral therapy for the treatment of patients with Pompe disease. MZE001 has the potential to be used either as a monotherapy or as an add-on to ERT, the current standard of care.
In March 2024, we exclusively licensed MZE001 to Shionogi for the rights to develop and commercialize MZE001. Under the terms of the agreement, Shionogi acquired an exclusive, worldwide, sublicensable license to research, develop, manufacture and commercialize MZE001 as well as related compounds, know-how and intellectual property. Shionogi paid an upfront fee of $150 million, and we will be eligible to receive milestone payments based on development, regulatory and commercial achievements plus tiered royalties based upon future net sales.
Application of our Compass platform to advance MZE001
The buildup of glycogen in skeletal, respiratory and cardiac muscle tissues is the primary driver of disease progression in patients with Pompe disease. While ERT, the current standard of care, has brought significant benefit to patients, glycogen accumulation in muscle continues to allow the disease to progress, specifically impacting ambulation and respiratory function, and has been only partially effective at clearing toxic glycogen accumulation in these tissues.
Inhibition of muscle glycogen synthase is a form of substrate reduction therapy, which has the potential to decrease muscle glycogen synthesis and its subsequent accumulation. By leveraging large sources of matched, genetic and longitudinal clinical data with our Compass platform, we sought to address longstanding questions around safety and efficacy that previously precluded the development of a substrate reduction therapy, and designed MZE001 to address the therapeutic gap in current standard of care.
While glycogen synthase 1 has long been a therapeutic target of interest, there were two main challenges to previous drug targeting efforts. First, there were concerns about the unknown clinical safety implications of chronically lowering muscle glycogen levels. Second, glycogen synthase 1 is a complex protein, closely related to liver-specific glycogen synthase 2, which plays an important role in glucose control. While both enzymes are tetramers made up of two asymmetric dimers, their molecular structures were unknown. As a result, efforts to target glycogen synthase 1 without inhibiting glycogen synthase 2 had proven difficult. Through the use of our Compass platform, we were able to overcome both of these challenges.
First, our Compass platform provided insight into the impact of chronic reduction in muscle glycogen levels and identified a likely therapeutic window. PPP1R3A, a gene that encodes the protein phosphatase 1 regulatory subunit 3A, is a key regulatory protein in the glycogen metabolic pathway. A common variant in the PPP1R3A gene involving a frameshift mutation predicted to lead to a truncated form of the protein was previously identified in healthy European individuals. In a study using magnetic resonance spectroscopy in individuals with this PPP1R3A gene variant, those heterozygous for the mutation were found to have chronically lower levels of muscle glycogen, by as much as 65%. These individuals were not found to have any associated clinical abnormalities. We were able to confirm and expand on this finding using our Compass platform by analyzing a much larger data set of individuals with the PPP1R3A gene variant, including a small number of individuals homozygous for the PPP1R3A frameshift mutation. In both heterozygous and homozygous states, no clinically relevant differences in exercise capacity, cardiac function or glucose levels could be detected compared to reference control populations. These findings provided reassurance that a wide therapeutic index would support substrate reduction therapy for Pompe disease.
Second, our Compass platform used both novel chemical matter and advanced molecular visualization technologies, including Cryo-EM, to solve the molecular structure of glycogen synthase 1. This identified a previously cryptic allosteric binding site that ultimately informed the development of a potent and selective small molecule inhibitor, MZE001.
26
Neurology portfolio: ATXN2 and UNC13A
Overview of ALS
ALS is a progressive and fatal neurodegenerative disease primarily affecting the upper and lower motor neurons, ultimately resulting in the loss of muscle control. Gradual onset of progressive muscle weakness is the most common initial symptom, which leads to difficulty in speaking, chewing, swallowing and breathing. The time from first symptom to diagnosis is approximately 12 months with death, typically from neuromuscular respiratory failure, occurring within three to five years of symptom onset. Up to 50% of patients with ALS develop cognitive impairment associated with frontotemporal dementia, or FTD. The cumulative lifetime risk of ALS is about 1 in 400 and the incidence is one to two per 100,000 people per year, equating to about 5,760 to 6,400 new diagnoses annually. The total number of cases is approximately five per 100,000 people and the Center for Disease Control and Prevention estimates the prevalence of ALS in the United States is approximately 16,000 patients.
While many of the genetic drivers underlying ALS are known, a high variability in disease phenotype is observed. A small number of ALS patients live well beyond the three to five-year life expectancy. With differences in life expectancy not explained by the underlying mutations, genetic modifiers are likely present.
ATXN2 program
In earlier studies of model organisms, we identified ATXN2 as a genetic modifier whereby the inhibition was shown to limit the toxicity of a protein, TDP-43, found to be pathologically aggregated in up to 97% of all ALS patients. We subsequently validated the function of ATXN2 as a genetic modifier using our Compass platform. We utilized our functional genomics and human genetics tools to develop a microRNA gene therapy that targets ATXN2 to reduce aggregation of TDP-43.
In May 2024, we exclusively licensed our ATXN2 program to Neurocrine Biosciences, Inc. As consideration for such license, we received upfront payment, and we will be eligible to receive milestone payments upon the completion of certain regulatory, development and commercial achievements, as well as royalties based upon future annual net sales.
UNC13A program
Genome-wide association studies have established that single genetic traits, or variants, in the UNC13A gene are associated with ALS and FTD in humans, but how those variants increase the risk for disease was previously unknown. Maze and its partners uncovered a connection between genetic variation in UNC13A, a gene critical to the function of the nervous system, and the abnormal build-up of TDP-43, a hallmark molecular characteristic of ALS and FTD. These findings were published in Nature, and fill a long-standing gap in the understanding of how ALS and FTD, two serious neurodegenerative diseases that have no known cures or broadly effective treatments, develop. These findings were further validated in in vitro models that showed that removal of TDP-43 from the nucleus causes cryptic exons to form in UNC13A which, in turn, decreased the levels of the UNC13A protein. We built our Compass platform with the aim of finding genetic insights like this, which is a key step in translating such genetic insights into therapies for patients.
In April 2024, we exclusively licensed our UNC13A program to Trace Neurosicence, Inc. As consideration for such license, we received an upfront payment, and we will be eligible to receive milestone payments upon the completion of certain development, regulatory and commercial achievements, as well as royalties based upon future annual net sales.
Ophthalmology portfolio
Our work in ophthalmology is another example of the application of our Compass platform and variant functionalization at work, where we identified and characterized the genetic relevance of ANGPTL7 as a potential drug target for certain ophthalmic diseases like glaucoma. We identified certain genetic variants that enabled us to derive insight into how natural human genetic diversity correlates with the clinical diagnosis of glaucoma and with enhanced elevated or diminished reduced intraocular pressure, a risk factor for glaucoma and glaucoma risk. Next, we identified targets for therapeutic intervention with an established role in human biology. Out of these targets, we found multiple rare protein-altering variants in one putative target, the gene ANGPTL7, that were associated with lower IOP and reduced risk for glaucoma. In November 2020, together with Alloy Therapeutics, Inc., or Alloy, we created Broadwing, a spin-out company to develop antibody therapies for ANGPTL7 and another undisclosed target in ophthalmic diseases for geographic atrophy, targets that were genetically validated by our Compass platform. We made an initial cash and in-kind contributions, including facilities and operational services, to Broadwing in exchange for a 50% equity interest. Alloy contributed cash and its antibody discovery services for the other 50% equity interest. As of December 31, 2024, we owned approximately 48% of the outstanding equity of Broadwing, and we expect our ownership to be significantly diluted upon the conversion of outstanding convertible notes issued by Broadwing.
27
Our Compass platform
Our pipeline of precision medicine candidates is built upon our Compass platform. Our Compass platform supports end-to-end variant identification and functionalization capabilities and methodologies for drug development, and has been purpose-built to inform different phases of our drug discovery and development process through clinical trial design.
We believe variant functionalization, the process of understanding how genetic variants affect the function of a target protein, is a foundational aspect of precision medicine. Variant functionalization through our Compass platform allows us to elevate drug discovery tractability considerations as a component of target selection. Our approach to developing new, transformational therapies for CVRM diseases is premised on understanding how genetic variants impact the function of target proteins, which in turn provides insight into how best to modulate the identified target variant and an understanding of patient populations that will benefit. We believe this approach enables highly predictive identification and validation of those genetically supported targets that are most likely to have clinical relevance and actionability, thereby increasing the probability for clinical success and accelerating the expansion of our candidate pipeline.
In addition to variant functionalization, our Compass platform and its associated methodologies give us the ability to aggregate matched, genetic and longitudinal clinical datasets at scale to identify genes associated with disease, but more importantly, to determine how genetic variants of these genes provide insight into a therapeutic approach to the applicable target. Targets are then prioritized based on their roles in biological pathways, their roles as potential drivers of disease, and their structural properties, using machine learning and statistical modeling, variant functionalization tools, and traditional and computational drug discovery technologies. These insights ultimately inform our clinical development and patient selection strategies, which we believe have the potential to improve the overall likelihood of technical, regulatory and commercial success of our medicines, although we cannot provide any assurance that the application of our Compass platform will result in the ultimate regulatory approval of any of our therapeutic candidates. The power of our platform and its methodologies is best exhibited through our clinical and preclinical programs, and multiple contributions to the scientific community over the past five years, including the publication in Nature and other leading scientific journals of discoveries made through our Compass platform in the fields of human genetics, molecular biology and medicinal chemistry.
We have built and utilized the Compass platform upon the confluence of three ongoing advancements to gain an understanding of the relationship between genes, the protein products encoded by these genes, and specific, observable human characteristics, or traits and to translate these insights into innovative therapeutics. These trends are: the increasing availability of human genetic data paired with clinical data; the rapid evolution of experimental functional genomic technologies that can probe gene function and interactions between genes in parallel; and advances in computational power and speed that enable the integration and analysis of vast amounts of data.
In summary, the Compass platform provides us with a differentiated ability to: analyze and visualize the vast and proliferating volume of patient-level genetic data and paired clinical data worldwide with efficiency and speed, augmented with advanced data science tools and technologies; experimentally validate and characterize the linkages between specific genes and diseases identified through our data mining activities and the strategic application of advanced functional genomic technologies; and apply insights derived through variant functionalization and structure-based design to develop an optimal therapy for the intended target.
Competition
The pharmaceutical and biotechnology industries are characterized by rapidly advancing technologies, intense competition and a strong emphasis on intellectual property. While we believe that our Compass platform and our knowledge, experience and scientific resources provide us with competitive advantages, we face potential competition from major pharmaceutical and biotechnology companies, academic institutions, government agencies and private and public research institutions, among others.
Any therapeutic candidates that we or our partners successfully develop and commercialize may compete with existing therapies and new therapies that may become available in the future that are approved to treat the same indications for which we or our partners may obtain approval for our or their therapeutic candidates. It is also possible that we or our partners may face competition from other pharmaceutical approaches as well as other types of therapies. The key competitive factors affecting the success of all our programs, if approved, include, but are not limited to be their efficacy, safety, convenience, adoption by prescribers, price, level of generic competition, and availability of reimbursement.
We may face competition from companies developing therapies for CKD and related nephropathies, including but not limited to:
28
While there are currently no approved therapies for AKD, we are aware of companies advancing therapeutic candidates in clinical trials that target APOL1.
Our second most advanced lead program, MZE782, is a small molecule targeting SLC6A19, a novel target in CKD and PKU. While there are no currently approved therapies directly modulating SLC6A19, we may face competition from other companies pursuing programs targeting SLC6A19 or alternative approaches for renal indications.
Many of our current or potential competitors, either alone or with their collaboration partners, have significantly greater financial resources and expertise in research and development, manufacturing, preclinical testing, conducting clinical trials, obtaining regulatory approvals, and marketing approved products than we do. These competitors also compete with us in recruiting and retaining qualified scientific and management personnel and establishing clinical trial sites and patient registration for clinical trials, as well as in acquiring technologies complementary to, or necessary for, our programs. Mergers and acquisitions in the biopharmaceutical industries may result in even more resources being concentrated among a smaller number of our competitors. Smaller or early-stage companies may also prove to be significant competitors, particularly through partnership arrangements with large and established companies.
Further, precision medicine is a rapidly developing field, with increasing usage within the pharmaceutical and biotechnology industry of machine learning and AI technologies to analyze genetic data. While we believe our Compass platform has advantages over potential competitors based on our experience in variant functionalization, our access to genetic databases, and the length of time that we have been engaged in developing precision medicine, other companies may have greater resources or the ability to acquire more advanced technology to identify targets and may acquire access to the same genetic data that we utilize. We may not be able to keep up with the pace of innovation that is occurring in our field, and we may face increasing competition in developing precision medicines.
Our commercial opportunity could be reduced or eliminated if our competitors develop and commercialize products that are safer, more effective, have fewer or less severe side effects, are more convenient or are less expensive than any products that we may develop. Our competitors also may obtain FDA or other applicable regulatory approval for their products more rapidly than we may obtain approval for ours, which could result in our competitors establishing a strong market position before we are able to enter the market.
Intellectual property
Intellectual property is of vital importance in our field and in biotechnology generally. We seek to protect and enhance proprietary technologies, inventions, and improvements that are commercially important to the development of our business by seeking, maintaining, and defending intellectual property rights, including patent rights. We may also seek to rely on regulatory protection afforded through inclusion in expedited development and review, data exclusivity, market exclusivity and/or patent term extensions where available.
Our commercial success will depend in part on obtaining and maintaining patent protection of our current and future therapeutic candidates and the methods used to develop and manufacture them, as well as successfully defending our patents against third-party challenges, and operating without infringing on, misappropriating or otherwise violating the intellectual property and proprietary rights of others. The development of our therapeutic candidates is at a relatively early stage and as a consequence, our patent portfolio is also at an early stage. We cannot be sure that patents will be granted based on our currently pending patent applications or patent applications we may file in the future. Nor can we be sure that any of our granted patents or patents that may be granted to us in the future will be commercially useful in protecting our therapeutic candidates, technologies and processes. In addition, any patents that we may hold, whether owned or licensed, may be challenged, circumvented or invalidated by third parties.
The term of individual patents depends upon the law in the countries in which they are obtained. In most countries, including the United States, the term of a patent is 20 years from the earliest date of filing a non-provisional patent application, unless otherwise extended or adjusted. U.S. non-provisional applications and/or Patent Cooperation Treaty, or PCT, applications may be filed that claim priority to an earlier-filed patent application, provided that the earlier-filed patent application was filed within 12 months of the U.S. non-provisional or PCT filing date. The PCT system allows for the designation of PCT member states in which national or regional patent applications may later be pursued. A PCT application cannot mature into a patent until, among other things, one or more national or regional stage patent applications are filed within the applicable time limit, which is generally 30 or 31 months from the PCT application’s earliest priority date, depending on the jurisdiction.
29
The ability to obtain patent protection and the degree of such protection depends on several factors, including whether an invention is directed to patentable subject matter, the novelty and non-obviousness of the claimed invention, and the ability to satisfy the requirements of applicable patent laws, such as enablement and written description, in addition to other administrative requirements for obtaining a patent. In addition, the claim scope in a patent application may be significantly narrowed before a patent is issued, and the scope of issued claims can be reinterpreted or further altered even after patent issuance. Consequently, we may not obtain or maintain adequate patent protection for any of our proprietary technologies or current or future therapeutic candidates.
In addition to patent protection, we also rely on trade secrets, know-how, other proprietary information and continuing technological innovation to develop and maintain our competitive position. We seek to protect and maintain the confidentiality of trade secrets and other proprietary information to protect aspects of our business that are not amenable to, or that we do not consider appropriate for, patent protection. For example, we seek to preserve the integrity and confidentiality of our data and trade secrets by maintaining physical security of our premises and physical and electronic security of our information technology systems. However, such security measures may be breached and we may not have adequate remedies for such breaches. We also seek to protect our proprietary information and trade secrets by entering into confidentiality and invention assignment agreements with our employees, consultants and other parties who have access to such information. These agreements generally provide that all confidential information concerning our business or financial affairs developed or made known to the individual during the course of the individual’s relationship with us is to be kept confidential and not disclosed to third parties except in specific circumstances. Our agreements with employees also generally provide that all inventions conceived by the employee in the course of employment with us or from the employee’s use of our confidential information are our exclusive property. However, we cannot guarantee that we have entered into such agreements with each party that has or may have had access to our trade secrets or other proprietary information or has been involved in the development of intellectual property. Additionally, these agreements can be breached and we may not have adequate remedies for any such breach. Moreover, our trade secrets may otherwise become known or be independently discovered by competitors, and to the extent that our employees, consultants, contractors or partners use intellectual property or proprietary information owned by others in their work for us, disputes may arise as to our intellectual property rights. For all of these reasons, we may not be able to adequately protect proprietary information, trade secrets, know-how and inventions important to the development of our business.
The intellectual property positions of biotechnology companies like ours are generally uncertain and involve complex legal, scientific and factual questions. Our commercial success will also depend in part on avoiding infringing upon, misappropriating or otherwise violating the intellectual property and proprietary rights of third parties. Third-party patents could require us to alter our development or commercial strategies, or our products or processes, obtain licenses or cease certain activities. Our breach of any license agreements or our failure to obtain a license to proprietary rights required to develop or commercialize our future products may have a material adverse impact on us. For more information regarding the risks related to intellectual property, see “Risk factors—Risks related to intellectual property.”
Our policy is to seek patent protection for the technologies, inventions and improvements that we develop and that we consider important to the advancement of our business.
For our small molecule APOL1 program, as of March 15, 2025, we own patent families that cover composition of matter of our APOL1 compounds, including MZE829, methods of use, and processes. These patent families include one issued U.S. patent, three pending U.S. provisional patent applications, five pending PCT patent applications, two pending U.S. non-provisional patent applications, and over forty pending foreign patent applications in various jurisdictions including but not limited to Australia, Brazil, Canada, China, the European Patent Office, Hong Kong, Israel, India, Japan, Republic of Korea, Mexico, Russia, Saudi Arabia, Singapore, and Taiwan. Any currently issued patents or patents that may issue in the future from these applications in our APOL1 program are projected to expire between 2042 and 2046 unless extended or otherwise adjusted.
For our small molecule SLC6A19 program, as of March 15, 2025, we own patent families that cover composition of matter of our SLC6A19 compounds, including MZE782, methods of use, and processes. These patent families include eight pending U.S. provisional patent applications, four pending PCT patent applications, one pending U.S non-provisional patent application, and two pending foreign patent applications. Any currently issued patents or patents that may issue in the future from these applications in our SLC6A19 program are projected to expire between 2043 and 2046 unless extended or otherwise adjusted.
We have entered into three agreements to exclusively license or assign our patent portfolios associated with programs that are outside our areas of core focus. Pursuant to these agreements, we no longer have control of the prosecution of the issued patents and pending patent applications in each of these portfolios. We cannot guarantee that our licensees will successfully develop, obtain marketing authorization for, or commercialize products that would result in our receiving royalties pursuant to such license agreements.
30
We have exclusively licensed our GYS1 patent portfolio, which includes an issued U.S. patent covering MZE001, to Shionogi. At the time we entered into the License Agreement, our GYS1 patent portfolio included a pending U.S. non-provisional patent application, three pending PCT applications, and over twenty-five pending foreign patent applications in various jurisdictions including but not limited to Australia, Brazil, Canada, China, the European Patent Office, Hong Kong, Israel, India, Japan, Republic of Korea, Mexico, Russia, Saudi Arabia, Singapore, and Taiwan. The patent portfolio we licensed to Shionogi is directed to compositions of matter, uses and processes, and any currently issued patents or patents that may issue in the future in this portfolio are projected to expire between 2042 and 2043 unless extended or otherwise adjusted. Shionogi controls the prosecution of this patent portfolio. We have exclusively licensed our patent portfolio relating to our program for ATXN2 gene therapy to another biotechnology company who controls the prosecution of this portfolio. At the time we entered into this agreement, no patents had been issued. Our ATXN2 gene therapy patent portfolio included two pending non-provisional patent applications and over fifteen pending foreign patent applications in various jurisdictions. The ATXN2 gene therapy patent portfolio is directed to compositions of matter and uses, and any patents that may issue in the future in this portfolio are projected to expire between 2041 and 2042 unless extended or otherwise adjusted.
In addition to our owned and out-licensed patent portfolios described above, we assigned our UNC13A ASO patent portfolio in April 2024 to another biotechnology company.
Manufacturing
We do not have any clinical manufacturing facilities. We currently rely, and expect to continue to rely, on third party contract manufacturing organizations, or CMOs, including foreign CMOs, for clinical manufacturing of MZE829, MZE782 and our future therapeutic candidates, as well as for commercial manufacturing if our therapeutic candidates receive marketing approval.
We use multiple CMOs, including foreign CMOs, to manufacture our clinical-stage therapeutic candidates to conduct our clinical trials. As part of our strategy, we seek to develop or advance therapeutic candidates that can be produced cost-effectively at contract manufacturing facilities without the need for unusual manufacturing equipment. All of our current therapeutic candidates are small molecule drug products that we believe will require between 12 and 14 months to manufacture from initiation of drug substance manufacturing to completion of drug product, assuming we are able to obtain manufacturing slots with the appropriate CMOs.
We expect to enter into commercial supply agreements with commercial manufacturers prior to any potential approval of any of our therapeutic candidates. We believe our current CMOs are able to adequately support manufacturing for our current and planned clinical trials and additional CMOs may be onboarded at later stages of clinical development and commercialization.
To the extent any of our therapeutic candidates require companion diagnostics, which are assays or tests to identify an appropriate patient population, we generally rely, and expect to continue to rely, on third parties to manufacture such assays or tests.
Governmental regulation and product approval
Government authorities in the United States, at the federal, state and local level, and in other countries and jurisdictions, extensively regulate, among other things, the research, development, testing, manufacture, quality control, approval, packaging, storage, recordkeeping, labeling, advertising, promotion, distribution, marketing, post-approval monitoring and reporting, and import and export of pharmaceutical products. The processes for obtaining regulatory approvals in the United States and in foreign countries and jurisdictions, along with subsequent compliance with applicable statutes and regulations and other regulatory authorities, require the expenditure of substantial time and financial resources.
FDA approval process
In the United States, pharmaceutical products are subject to extensive regulation by the FDA. The Federal Food, Drug, and Cosmetic Act, or FDCA, and other federal and state statutes and regulations, govern, among other things, the research, development, testing, manufacture, storage, recordkeeping, approval, labeling, promotion and marketing, distribution, post-approval monitoring and reporting, sampling, and import and export of pharmaceutical products. Pharmaceutical products—such as small molecule drugs and biological products, or biologics—used for the prevention, treatment, or cure of a disease or condition of a human being are subject to regulation under the FDCA. Failure to comply with applicable United States requirements may subject a company to a variety of administrative or judicial sanctions, such as clinical hold, FDA refusal to approve pending new drug applications, or NDAs, warning or untitled letters, product recalls, product seizures, total or partial suspension of production or distribution, injunctions, fines, civil penalties, and criminal prosecution.
31
Pharmaceutical product development for a new product or certain changes to an approved product in the United States typically involves preclinical laboratory and animal tests, the submission to the FDA of an Investigational New Drug Application, or IND, which must become effective before clinical testing may commence, and adequate and well-controlled clinical trials to establish the safety and effectiveness of the drug for each indication for which FDA approval is sought. Satisfaction of FDA pre-market approval requirements typically takes many years and the actual time required may vary substantially based upon the type, complexity, and novelty of the product or disease.
Preclinical tests include laboratory evaluation of product chemistry, formulation, and toxicity, as well as animal trials to assess the characteristics and potential safety and efficacy of the product. The conduct of the preclinical tests must comply with federal regulations and requirements, including Good Laboratory Practices.
The results of preclinical testing are submitted to the FDA as part of an IND along with other information, including information about product chemistry, manufacturing and controls, and a proposed clinical trial protocol. Long-term nonclinical tests, such as tests of reproductive toxicity and carcinogenicity in animals, may continue after the IND is submitted. A 30-day waiting period after the submission of each IND is required prior to the commencement of clinical testing in humans. If the FDA has neither commented on nor questioned the IND within this 30-day period, the clinical trial proposed in the IND may begin. Clinical trials involve the administration of the investigational drug to healthy volunteers or patients under the supervision of a qualified investigator. Clinical trials must be conducted: (i) in compliance with federal regulations; (ii) in compliance with GCP, an international standard meant to protect the rights and health of patients and to define the roles of clinical trial sponsors, administrators, and monitors; as well as (iii) under protocols detailing the objectives of the trial, the parameters to be used in monitoring safety, and the effectiveness criteria to be evaluated. Each protocol involving testing on U.S. patients and subsequent protocol amendments must be submitted to the FDA as part of the IND.
The FDA may order the temporary or permanent discontinuation of a clinical trial at any time, or impose other sanctions, if it believes that the clinical trial either is not being conducted in accordance with FDA regulations or presents an unacceptable risk to the clinical trial patients. Imposition of a clinical hold may be full or partial. The study protocol and informed consent information for patients in clinical trials must also be submitted to an Institutional Review Board, or IRB, for approval. The IRB will also monitor the clinical trial until completed. The IRB may also require the clinical trial at the site to be halted, either temporarily or permanently, for failure to comply with the IRB’s requirements, or may impose other conditions. Additionally, some clinical trials are overseen by an independent group of qualified experts organized by the clinical trial sponsor, known as a data safety monitoring board or committee. This group provides authorization for whether a trial may move forward at designated checkpoints based on access to certain data from the trial.
Clinical trials to support NDAs for marketing approval are typically conducted in three sequential phases, but the phases may overlap. In Phase 1, the initial introduction of the drug into healthy human subjects or patients, the product is tested to assess safety, dosage tolerance, metabolism, PK, pharmacological actions, side effects associated with drug exposure, and to obtain early evidence of a treatment effect if possible. Phase 2 usually involves trials in a limited patient population to determine the effectiveness of the drug for a particular indication, determine optimal dose and regimen, and to identify common adverse effects and safety risks. If a compound demonstrates evidence of effectiveness and an acceptable safety profile in Phase 2 evaluations, Phase 3 trials are undertaken to obtain additional information about clinical effects and confirm efficacy and safety in a larger number of patients, typically at geographically dispersed clinical trial sites, to permit the FDA to evaluate the overall benefit-risk relationship of the drug and to provide adequate information for the labeling of the product. In most cases, the FDA requires two adequate and well-controlled Phase 3 clinical trials to demonstrate the safety and efficacy of the drug. In rare instances, a single Phase 3 trial may be sufficient when either (1) the trial is a large, multicenter trial demonstrating internal consistency and a statistically very persuasive finding of a clinically meaningful effect on mortality, irreversible morbidity or prevention of a disease with a potentially serious outcome and confirmation of the result in a second trial would be practically or ethically impossible or (2) the single trial is supported by other confirmatory evidence. Approval on the basis of a single trial may be subject to a requirement for additional post-approval studies.
In addition, the manufacturer of an investigational drug in a Phase 2 or Phase 3 clinical trial for a serious or life-threatening disease is required to make available, such as by posting on its website, its policy on evaluating and responding to requests for expanded access to such investigational drug.
32
After completion of the required clinical testing, an NDA is prepared and submitted to the FDA. FDA approval of the NDA is required before marketing and distribution of the product may begin in the United States. The NDA must include the results of all preclinical, clinical, and other testing and a compilation of data relating to the product’s pharmacology, chemistry, manufacture, and controls. The cost of preparing and submitting an NDA is substantial. The submission of most NDAs is additionally subject to a substantial application user fee. Under an approved NDA, the applicant is also subject to an annual program fee. These fees typically increase annually. The FDA has 60 days from its receipt of an NDA to determine whether the application will be filed based on the FDA’s determination that it is adequately organized and sufficiently complete to permit substantive review. Once the submission is filed, the FDA begins an in-depth review. The FDA has agreed to certain performance goals to complete the review of NDAs. Most applications are classified as Standard Review products that are reviewed within ten months of the date the FDA files the NDA; applications classified as Priority Review are reviewed within six months of the date the FDA files the NDA. An NDA can be classified for Priority Review when the FDA determines the drug has the potential to treat a serious or life-threatening condition and, if approved, would be a significant improvement in safety or effectiveness compared to available therapies. The review process for both standard and priority reviews may be extended by the FDA for three or more additional months to consider certain late-submitted information, or information intended to clarify information already provided in the NDA submission.
The FDA may also refer applications for novel drugs, as well as drug products that present difficult questions of safety or efficacy, to be reviewed by an advisory committee—typically a panel that includes clinicians, statisticians and other experts—for review, evaluation, and a recommendation as to whether the NDA should be approved. The FDA is not bound by the recommendation of an advisory committee, but generally follows such recommendations. Before approving an NDA, the FDA will typically inspect one or more clinical sites to assure compliance with GCP. Additionally, the FDA will inspect the facility or the facilities at which the drug product is manufactured. The FDA will not approve the product unless compliance with current good manufacturing practices, or cGMPs, is satisfactory and the NDA contains data that provide substantial evidence that the drug is safe and effective in the claimed indication.
After the FDA evaluates the NDA and completes any clinical and manufacturing site inspections, it issues either an approval letter or a complete response letter. A complete response letter generally outlines the deficiencies in the NDA submission and may require substantial additional testing, or information, in order for the FDA to reconsider the application for approval. If, or when, those deficiencies have been addressed to the FDA’s satisfaction in a resubmission of the NDA, the FDA will issue an approval letter. The FDA has committed to reviewing such resubmissions in two or six months depending on the type of information included. An approval letter authorizes commercial marketing and distribution of the drug with specific prescribing information for specific indications. As a condition of NDA approval, the FDA may require a Risk Evaluation and Mitigation Strategy, or REMS, to help ensure that the benefits of the drug outweigh the potential risks to patients. A REMS can include medication guides, communication plans for healthcare professionals, and elements to assure a product’s safe use, or ETASU. An ETASU can include, but is not limited to, special training or certification for prescribing or dispensing the product, dispensing the product only under certain circumstances, special monitoring, and the use of patient-specific registries. The requirement for a REMS can materially affect the potential market and profitability of the product. Moreover, the FDA may require substantial post-approval testing and surveillance to monitor the product’s safety or efficacy.
Once granted, product approvals may be withdrawn if compliance with regulatory standards is not maintained or problems are identified following initial marketing. Changes to some of the conditions established in an approved NDA, including changes in indications, product labeling, manufacturing processes or facilities, require submission and FDA approval of a new NDA, or supplement to an approved NDA, before the change can be implemented. An NDA supplement for a new indication typically requires clinical data similar to that in the original application, and the FDA uses the same procedures and actions in reviewing NDA supplements as it does in reviewing original NDAs.
Fast track designation and priority review
FDA is required to facilitate the development, and expedite the review, of drugs that are intended for the treatment of a serious or life-threatening disease or condition for which there is no effective treatment and which demonstrate the potential to address unmet medical needs for the condition. Fast track designation may be granted for products that are intended to treat a serious or life-threatening disease or condition for which there is no effective treatment and preclinical or clinical data demonstrate the potential to address unmet medical needs for the condition. Fast track designation applies to both the product and the specific indication for which it is being studied. Any product submitted to FDA for marketing, including under a fast track program, may be eligible for other types of FDA programs intended to expedite development and review, such as priority review.
Priority review may be granted for products that are intended to treat a serious or life-threatening condition and, if approved, would provide a significant improvement in safety and effectiveness compared to available therapies. FDA will attempt to direct additional resources to the evaluation of an application designated for priority review in an effort to facilitate the review.
33
Accelerated approval
Accelerated approval may be granted for a product that is intended to treat a serious or life-threatening condition and that generally provides a meaningful therapeutic advantage to patients over existing treatments. A product eligible for accelerated approval may be approved on the basis of either a surrogate endpoint that is reasonably likely to predict clinical benefit, or on a clinical endpoint that can be measured earlier than irreversible morbidity or mortality, that is reasonably likely to predict an effect on irreversible morbidity or mortality or other clinical benefit, taking into account the severity, rarity or prevalence of the condition and the availability or lack of alternative treatments. In clinical trials, a surrogate endpoint is a measurement of laboratory or clinical signs of a disease or condition that substitutes for a direct measurement of how a patient feels, functions, or survives. The accelerated approval pathway is most often used in settings in which the course of a disease is long and an extended period of time is required to measure the intended clinical benefit of a product, even if the effect on the surrogate or intermediate clinical endpoint occurs rapidly. Thus, accelerated approval has been used extensively in the development and approval of products for treatment of a variety of cancers in which the goal of therapy is generally to improve survival or decrease morbidity and the duration of the typical disease course requires lengthy and sometimes large studies to demonstrate a clinical or survival benefit. The accelerated approval pathway is contingent on a sponsor’s agreement to conduct additional post-approval confirmatory studies to verify and describe the product’s clinical benefit. The FDA must specify conditions for the post-approval study which may include details regarding enrollment targets, the study protocol and study milestones. These confirmatory trials must be completed with due diligence and the FDA may require that the trial be designed, initiated, and/or fully enrolled prior to submission of the application or approval. Sponsors are also required to submit regular reports regarding the progress of conducting these post-approval studies. Failure to conduct required post-approval studies in accordance with FDA’s conditions and with due diligence, or submit the progress reports as well as failure to confirm a clinical benefit during post-marketing studies, would allow the FDA to undertake enforcement action or withdraw the product from the market on an expedited basis. All promotional materials for product candidates approved under accelerated approval regulations are subject to prior review by the FDA.
Disclosure of clinical trial information
Sponsors of clinical trials of FDA-regulated products, including drugs, are required to register and disclose certain clinical trial information on the website www.clinicaltrials.gov. Information related to the product, patient population, phase of investigation, trial sites and investigators, and other aspects of a clinical trial are then made public as part of the registration. Sponsors are also obligated to disclose the results of their clinical trials after completion. Disclosure of the results of clinical trials can be delayed in certain circumstances for up to two years after the date of completion of the trial. Competitors may use this publicly available information to gain knowledge regarding the progress of clinical development programs as well as clinical trial design.
Pediatric information
Under the Pediatric Research Equity Act, or PREA, NDAs or supplements to NDAs must contain data to assess the safety and effectiveness of the drug for the claimed indications in all relevant pediatric subpopulations and to support dosing and administration for each pediatric subpopulation for which the drug is safe and effective. The FDA may grant full or partial waivers, or deferrals, for submission of data. Unless otherwise required by regulation, PREA does not apply to any drug with orphan product designation except a product with a new active ingredient that is a molecularly targeted cancer product intended for the treatment of an adult cancer and directed at a molecular target determined by FDA to be substantially relevant to the growth or progression of a pediatric cancer that is subject to an NDA submitted on or after August 18, 2020.
The Best Pharmaceuticals for Children Act, or BPCA, provides a six-month extension of any exclusivity-patent or non-patent-for a drug if certain conditions are met. Conditions for exclusivity include the FDA’s determination that information relating to the use of a new drug in the pediatric population may produce health benefits in that population, FDA making a written request for pediatric studies, and the applicant agreeing to perform, and reporting on, the requested studies within the statutory timeframe. Applications under the BPCA are treated as priority applications, with all of the benefits that designation confers.
Post-approval requirements
Once an NDA is approved, a product will be subject to certain post-approval requirements. For instance, the FDA closely regulates the post-approval marketing and promotion of drugs, including standards and regulations for direct-to-consumer advertising, off-label promotion, industry-sponsored scientific and educational activities and promotional activities involving the Internet. Drugs may be marketed only for the approved indications and in accordance with the provisions of the approved labeling.
Adverse event reporting and submission of periodic safety summary reports are required following FDA approval of an NDA. The FDA also may require post-marketing testing, known as Phase 4 testing, REMS, and surveillance to monitor the effects of an approved product, or the FDA may place conditions on an approval that could restrict the distribution or use of the product. In addition, quality control, drug manufacture, packaging, and labeling procedures must continue to conform to cGMPs after approval.
34
Drugs manufacturers and certain of their subcontractors are required to register their establishments with the FDA and certain state agencies. Registration with the FDA subjects entities to periodic unannounced inspections by the FDA, during which the agency inspects a drug’s manufacturing facilities to assess compliance with cGMPs. Accordingly, manufacturers must continue to expend time, money, and effort in the areas of production and quality-control to maintain compliance with cGMPs. Regulatory authorities may withdraw product approvals or request product recalls if a company fails to comply with required regulatory standards, if it encounters problems following initial marketing, or if previously unrecognized problems are subsequently discovered.
The Hatch-Waxman amendments
Orange book listing
Under the Drug Price Competition and Patent Term Restoration Act of 1984, commonly referred to as the Hatch Waxman Amendments, NDA applicants are required to identify to FDA each patent whose claims cover the applicant’s drug or approved method of using the drug. Upon approval of a drug, the applicant must update its listing of patents to the FDA in timely fashion and each of the patents listed in the application for the drug is then published in the FDA’s Approved Drug Products with Therapeutic Equivalence Evaluations, commonly known as the Orange Book.
Drugs listed in the Orange Book can, in turn, be cited by potential generic competitors in support of approval of an abbreviated NDA, or ANDA. An ANDA provides for marketing of a drug product that has the same active ingredient(s), strength, route of administration, and dosage form as the listed drug and has been shown through bioequivalence testing to be therapeutically equivalent to the listed drug. An approved ANDA product is considered to be therapeutically equivalent to the listed drug. Other than the requirement for bioequivalence testing, ANDA applicants are not required to conduct, or submit results of, preclinical or clinical tests to prove the safety or effectiveness of their drug product. Drugs approved under the ANDA pathway are commonly referred to as “generic equivalents” to the listed drug and can often be substituted by pharmacists under prescriptions written for the original listed drug pursuant to each state’s laws on drug substitution.
The ANDA applicant is required to certify to the FDA concerning any patents identified for the reference listed drug in the Orange Book. Specifically, the applicant must certify to each patent in one of the following ways: (i) the required patent information has not been filed; (ii) the listed patent has expired; (iii) the listed patent has not expired but will expire on a particular date and approval is sought after patent expiration; or (iv) the listed patent is invalid, unenforceable or will not be infringed by the new product. A certification that the new product will not infringe the already approved product’s listed patents, or that such patents are invalid or unenforceable, is called a Paragraph IV certification. For patents listed that claim an approved method of use, under certain circumstances the ANDA applicant may also elect to submit a statement certifying that its proposed ANDA label does not contain (or carves out) any language regarding the patented method-of-use rather than certify to a listed method-of-use patent, which is called a Section VIII statement. If the applicant does not challenge the listed patents through a Paragraph IV certification, the ANDA application will not be approved until all the listed patents claiming the referenced product have expired. If the ANDA applicant has provided a Paragraph IV certification to the FDA, the applicant must also send notice of the Paragraph IV certification to the NDA-holder and patentee(s) once the ANDA has been accepted for filing by the FDA (referred to as the “notice letter”). The NDA and patent holders may then initiate a patent infringement lawsuit in response to the notice letter. The filing of a patent infringement lawsuit within 45 days of the receipt of a Paragraph IV certification automatically prevents the FDA from approving the ANDA until the earlier of 30 months from the date the notice letter is received, expiration of the patent, the date of a settlement order or consent decree signed and entered by the court stating that the patent that is the subject of the certification is invalid or not infringed, or a decision in the patent case that is favorable to the ANDA applicant.
The ANDA application also will not be approved until any applicable non-patent exclusivity listed in the Orange Book for the referenced product has expired. In some instances, an ANDA applicant may receive approval prior to expiration of certain non-patent exclusivity if the applicant seeks, and FDA permits, the omission of such exclusivity-protected information from the ANDA prescribing information.
Exclusivity
Upon NDA approval of a new chemical entity, or NCE, which is a drug that contains no active moiety that has been approved by FDA in any other NDA, that drug receives five years of marketing exclusivity during which FDA cannot receive any ANDA seeking approval of a generic version of that drug unless the application contains a Paragraph IV certification, in which case the application may be submitted one year prior to expiration of the NCE exclusivity. If there is no listed patent in the Orange Book, there may not be a Paragraph IV certification, and, thus, no ANDA for a generic version of the drug may be filed before the expiration of the exclusivity period.
35
Certain changes to an approved drug, such as the approval of a new indication, the approval of a new strength, and the approval of a new condition of use, are associated with a three-year period of exclusivity from the date of approval during which FDA cannot approve an ANDA for a generic drug that includes the change. In some instances, an ANDA applicant may receive approval prior to expiration of the three-year exclusivity if the applicant seeks, and FDA permits, the omission of such exclusivity-protected information from the ANDA package insert.
Patent term extension
The Hatch Waxman Amendments permit a patent term extension as compensation for patent term lost during the FDA regulatory review process. Patent term extension, however, cannot extend the remaining term of a patent beyond a total of 14 years from the product’s approval date. After NDA approval, owners of relevant drug patents may apply for the extension. The allowable patent term extension depends on a number of factors and is on a case by case basis, generally calculated as half of the drug’s testing phase (the time between IND application and NDA submission) and all of the review phase (the time between NDA submission and approval) that occurs after patent issuance up to a maximum of five years and subject to the 14 year cap. The time can be reduced for any time FDA determines that the applicant did not pursue approval with due diligence.
The United States Patent and Trademark Office, or USPTO, in consultation with the FDA, reviews and approves the application for any patent term extension or restoration. However, the USPTO may not grant an extension because of, for example, an applicant failing to exercise due diligence during the testing phase or regulatory review process, failing to apply within applicable deadlines, failing to apply prior to expiration of relevant patents or otherwise failing to satisfy applicable requirements. Moreover, the applicable time period or the scope of patent protection afforded could be less than requested.
The total patent term after the extension may not extend the remaining term of a patent beyond a total of 14 years from the date of product approval, only one patent may be extended and only those claims covering the approved drug, a method for using it, or a method for manufacturing it may be enforced during the extension period. The application for the extension must be submitted prior to the expiration of the patent, and for patents that might expire during the application phase, the patent owner may request an interim patent extension. An interim patent extension increases the patent term by up to one year and may be renewed up to four times. For each interim patent extension granted, the post-approval patent extension is reduced by one year. The director of the USPTO must determine that approval of the drug covered by the patent for which a patent extension is being sought is likely. Interim patent extensions are not available for a drug for which an NDA has not been submitted.
FDA approval and regulation of companion diagnostics
If safe and effective use of a therapeutic product depends on an in vitro diagnostic, then the FDA generally will require approval or clearance of that diagnostic, known as a companion diagnostic, before or at the same time that the FDA approves the product. In August 2014, the FDA issued final guidance clarifying the requirements that will apply to approval of therapeutic products and in vitro companion diagnostics. According to the guidance, if FDA determines that a companion diagnostic device is essential to the safe and effective use of a new therapeutic product or indication, FDA generally will not approve the therapeutic product or new therapeutic product indication if the companion diagnostic device is not approved or cleared for that indication.
Approval or clearance of the companion diagnostic device will ensure that the device has been adequately evaluated and has adequate performance characteristics in the intended population. The review of in vitro companion diagnostics in conjunction with the review of a therapeutic product will, therefore, likely involve coordination of review by CDER and the FDA’s Office of In Vitro Diagnostics and Radiological Health.
Under the FDCA, in vitro diagnostics, including companion diagnostics, are regulated as medical devices. In the United States, the FDCA and its implementing regulations, and other federal and state statutes and regulations govern, among other things, medical device design and development, preclinical and clinical testing, premarket clearance or approval, registration and listing, manufacturing, labeling, storage, advertising and promotion, sales and distribution, export and import, and post-market surveillance. Unless an exemption applies, diagnostic tests require marketing clearance or approval from the FDA prior to commercial distribution. The two primary types of FDA marketing authorization applicable to a medical device are premarket notification, also called 510(k) clearance, and premarket approval, or PMA. The vast majority of companion diagnostics require PMA approval.
36
The PMA process, including the gathering of clinical and preclinical data and the submission to and review by the FDA, can take several years or longer. It involves a rigorous premarket review during which the applicant must prepare and provide the FDA with reasonable assurance of the device’s safety and effectiveness and information about the device and its components regarding, among other things, device design, manufacturing and labeling. PMA applications are subject to an application fee. In addition, PMAs for certain devices must generally include the results from extensive preclinical and adequate and well-controlled clinical trials to establish the safety and effectiveness of the device for each indication for which FDA approval is sought. In particular, for a diagnostic, a PMA application typically requires data regarding analytical and clinical validation studies. As part of the PMA review, the FDA will typically inspect the manufacturer’s facilities for compliance with the Quality System Regulation, or QSR, which imposes elaborate testing, control, documentation and other quality assurance requirements.
PMA approval is not guaranteed, and the FDA may ultimately issue a not approvable letter to a PMA submission based on deficiencies in the application and require additional clinical trial or other data that may be expensive and time-consuming to generate and that can substantially delay approval. If the FDA’s evaluation of the PMA application is favorable, the FDA typically issues an approvable letter requiring the applicant’s agreement to specific conditions, such as changes in labeling, or specific additional information, such as submission of final labeling, in order to secure final approval of the PMA. If the FDA’s evaluation of the PMA or manufacturing facilities is not favorable, the FDA will deny approval of the PMA or issue a not approvable letter. A not approvable letter will outline the deficiencies in the application and, where practical, will identify what is necessary to make the PMA approvable. The FDA may also determine that additional clinical trials are necessary, in which case the PMA approval may be delayed for several months or years while the trials are conducted and then the data submitted in an amendment to the PMA. If the FDA concludes that the applicable criteria have been met, the FDA will issue a PMA for the approved indications, which can be more limited than those originally sought by the applicant. The PMA can include post-approval conditions that the FDA believes necessary to ensure the safety and effectiveness of the device, including, among other things, restrictions on labeling, promotion, sale and distribution. Once granted, PMA approval may be withdrawn by the FDA if compliance with post approval requirements, conditions of approval or other regulatory standards are not maintained, or problems are identified following initial marketing.
After a device is placed on the market, it remains subject to significant regulatory requirements. Medical devices may be marketed only for the uses and indications for which they are cleared or approved. Device manufacturers must also register their establishments and list their devices with the FDA. A medical device manufacturer’s manufacturing processes and those of its suppliers are required to comply with the applicable portions of the QSR, which cover the methods and documentation of the design, testing, production, processes, controls, quality assurance, labeling, packaging and shipping of medical devices. Domestic and foreign facility records and manufacturing processes are subject to periodic unscheduled inspections by the FDA.
Other U.S. healthcare laws and compliance requirements
In the United States, pharmaceutical and biotechnology company activities are potentially subject to regulation by various federal, state and local authorities in addition to the FDA, including but not limited to, the Centers for Medicare & Medicaid Services, or CMS, other divisions of the U.S. Department of Health and Human Services, or HHS, (e.g., the Office of Inspector General and the Office for Civil Rights), the U.S. Department of Justice, or DOJ, and individual U.S. Attorney offices within the DOJ, and state and local governments. For example, sales, marketing and scientific/educational grant programs, may have to comply with the anti-fraud and abuse provisions of the Social Security Act, the federal false claims laws, the privacy and security provisions of the federal Health Insurance Portability and Accountability Act of 1996, or HIPAA, and similar state laws, each as amended, as applicable.
The federal Anti-Kickback Statute prohibits, among other things, any person or entity, from knowingly and willfully offering, paying, soliciting or receiving any remuneration, directly or indirectly, overtly or covertly, in cash or in kind, to induce or in return for purchasing, leasing, ordering, recommending or arranging for the purchase, lease or order of any item or service reimbursable under Medicare, Medicaid or other federal healthcare programs. The term remuneration has been interpreted broadly to include anything of value. The Anti-Kickback Statute has been interpreted to apply to arrangements between pharmaceutical manufacturers on one hand and prescribers, purchasers, and/or formulary managers on the other. There are a number of statutory exceptions and regulatory safe harbors protecting some common activities from prosecution. The exceptions and safe harbors are drawn narrowly and practices that involve remuneration that may be alleged to be intended to induce prescribing, purchasing or recommending may be subject to scrutiny if they do not qualify for an exception or safe harbor. Failure to meet all of the requirements of a particular applicable statutory exception or regulatory safe harbor does not make the conduct per se illegal under the Anti-Kickback Statute. Instead, the legality of the arrangement will be evaluated on a case-by-case basis based on a cumulative review of all of its facts and circumstances. Practices may not in all cases meet all of the criteria for protection under a statutory exception or regulatory safe harbor. In addition, the statutory exceptions and regulatory safe harbors are subject to change.
37
Additionally, the intent standard under the Anti-Kickback Statute was amended by the ACA, to a stricter standard such that a person or entity no longer needs to have actual knowledge of the statute or specific intent to violate it in order to have committed a violation. In addition, the ACA codified case law that a claim including items or services resulting from a violation of the federal Anti-Kickback Statute constitutes a false or fraudulent claim for purposes of the federal False Claims Act (discussed below).
The civil monetary penalties statute imposes penalties against any person or entity who, among other things, is determined to have presented or caused to be presented a claim to a federal health program that the person knows or should know is for an item or service that was not provided as claimed or is false or fraudulent.
Federal false claims laws, including the federal civil False Claims Act, prohibit, among other things, any person or entity from knowingly presenting, or causing to be presented, a false claim for payment to, or approval by, the federal government or knowingly making, using, or causing to be made or used a false record or statement material to a false or fraudulent claim to the federal government. As a result of a modification made by the Fraud Enforcement and Recovery Act of 2009, a claim includes “any request or demand” for money or property presented to the U.S. government. In addition, manufacturers can be held liable under the civil False Claims Act even when they do not submit claims directly to government payors if they are deemed to “cause” the submission of false or fraudulent claims. Pharmaceutical and other healthcare companies have been prosecuted under these laws for, among other things, allegedly providing free product to customers with the expectation that the customers would bill federal programs for the product. Other companies have been prosecuted for causing false claims to be submitted because of the companies’ marketing of the product for unapproved, and thus generally non-reimbursable, uses and purportedly concealing price concessions in the pricing information submitted to the government for government price reporting purposes.
HIPAA created additional federal criminal statutes that prohibit knowingly and willfully executing, or attempting to execute, a scheme to defraud or to obtain, by means of false or fraudulent pretenses, representations or promises, any money or property owned by, or under the control or custody of, any healthcare benefit program, including private third-party payors and knowingly and willfully falsifying, concealing or covering up by trick, scheme or device, a material fact or making any materially false, fictitious or fraudulent statement in connection with the delivery of or payment for healthcare benefits, items or services. Similar to the Anti-Kickback Statute, a person or entity does not need to have actual knowledge of the statute or specific intent to violate it in order to have committed a violation.
Also, many states have similar fraud and abuse statutes or regulations that apply to items and services reimbursed under Medicaid and other state programs, or, in several states, apply regardless of the payor.
Data privacy and security regulations by both the federal government and the states in which business is conducted may also be applicable. HIPAA, as amended by the Health Information Technology for Economic and Clinical Health Act, or HITECH, and its implementing regulations, imposes among other things, certain requirements relating to the privacy, security, transmission and breach of individually identifiable health information. HIPAA requires covered entities to limit the use and disclosure of protected health information to specifically authorized situations, and requires covered entities to implement security measures to protect health information that they maintain in electronic form. Among other things, HITECH made HIPAA’s security standards directly applicable to business associates, independent contractors or agents of covered entities that receive or obtain protected health information in connection with providing a service on behalf of a covered entity. HITECH also created four new tiers of civil monetary penalties, amended HIPAA to make civil and criminal penalties directly applicable to business associates, and gave state attorneys general new authority to file civil actions for damages or injunctions in federal courts to enforce the federal HIPAA laws and seek attorneys’ fees and costs associated with pursuing federal civil actions.
In addition, certain states have also adopted data privacy and security laws and regulations, which govern the processing of health-related and other personal information. Such laws and regulations will be subject to interpretation by various courts and other governmental authorities, thus creating potentially complex compliance issues. For example, CCPA, imposes obligations on businesses that meet certain thresholds that process the personal information of California residents (including employees based in California). These obligations include, but are not limited to, providing specific disclosures in privacy notices and affording California residents certain rights related to their personal information, including the ability to opt-out of certain sales of personal information. The CCPA provides for a private right of action for certain data breaches, which may increase the likelihood of, and risks associated with, data breach litigation. Although the CCPA exempts some data processed in the context of clinical trials, the CCPA could increase compliance costs and potential liability. The 2020 amendments to the CCPA also created the California Privacy Protection Agency, a new enforcement agency whose sole responsibility is to enforce the CCPA and is empowered to create new CCPA regulations. Other states have also passed comprehensive privacy laws, and similar laws are being considered in several other states, as well as at the local and federal levels, including discussion in the U.S. of a new comprehensive federal data privacy law. In addition to government activity and private rights of actions provided by some of the state privacy laws, privacy advocacy groups and technology and other industries are considering various new, additional or different self-regulatory standards that may place additional burdens on companies.
38
Internationally, many countries have privacy and data protection laws that create potentially complex compliance issues . For example, the EU GDPR and UK GDPR impose strict requirements for processing the personal data of individuals, including, for example, requirements to establish a legal basis for processing, higher standards for obtaining consent from individuals to process their personal data, more robust disclosures to individuals and a strengthened individual data rights regime, requirements to implement safeguards to protect the security and confidentiality of personal data that requires the adoption of administrative, physical and technical safeguards, shortened timelines for data breach notifications to appropriate data protection authorities or data subjects, limitations on retention and secondary use of information, increased requirements pertaining to health data, regulation of the transferring of personal data across jurisdiction and additional obligations when third-party processors are contracted in connection with the processing of the personal data. EU member states are tasked under the EU GDPR to enact, and have enacted, certain implementing legislation that adds to and/or further interprets the EU GDPR requirements and potentially extends the obligations and potential liability for failing to meet such obligations. Under the EU GDPR, government regulators may impose temporary or definitive bans on data processing, as well as fines of up to €20 million or 4% of annual global revenue, whichever is greater. Such fines would be in addition to (i) the rights of individuals to sue for damages in respect of any data privacy breach which causes them to suffer harm, (ii) the right of individual member states to impose additional sanctions over and above the administrative fines specified in the GDPR and (iii) the ability of supervisory authorities to impose orders requiring companies to modify their practices.
Additionally, the federal Physician Payments Sunshine Act within the ACA, and its implementing regulations, require that certain manufacturers of drugs, devices, biological and medical supplies for which payment is available under Medicare, Medicaid or the Children’s Health Insurance Program (with certain exceptions) report annually to CMS information related to certain payments or other transfers of value made or distributed to physicians (defined to include doctors, dentists, optometrists, podiatrists and chiropractors) and teaching hospitals, or to entities or individuals at the request of, or designated on behalf of, the physicians and teaching hospitals and to report annually certain ownership and investment interests held by physicians and their immediate family members. Manufacturers are also required to report such information regarding its relationships with physician assistants, nurse practitioners, clinical nurse specialists, certified registered nurse anesthetists, anesthesiologist assistants and certified nurse midwives during the previous year.
Commercial distribution of products requires compliance with state laws that require the registration of manufacturers and wholesale distributors of drug in a state, including, in certain states, manufacturers and distributors who ship products into the state even if such manufacturers or distributors have no place of business within the state. Some states also impose requirements on manufacturers and distributors to establish the pedigree of product in the chain of distribution, including some states that require manufacturers and others to adopt new technology capable of tracking and tracing product as it moves through the distribution chain. In addition, several states have enacted legislation requiring pharmaceutical and biotechnology companies to establish marketing compliance programs, file periodic reports with the state, make periodic public disclosures on sales, marketing, pricing, clinical trials and other activities, and/or register their sales representatives, as well as to prohibit pharmacies and other healthcare entities from providing certain physician prescribing data to pharmaceutical and biotechnology companies for use in sales and marketing, and to prohibit certain other sales and marketing practices. Certain local jurisdictions also require drug manufacturers to report information related to payments and other transfers of value to physicians and other healthcare providers or marketing expenditures. Sales and marketing activities are also potentially subject to federal and state consumer protection and unfair competition laws.
Violation of any of the federal and state healthcare laws described above or any other governmental regulations may result in penalties, including without limitation, significant civil, criminal and/or administrative penalties, damages, fines, disgorgement, exclusion from participation in government programs, such as Medicare and Medicaid, imprisonment, injunctions, private “qui tam” actions brought by individual whistleblowers in the name of the government, refusal to enter into government contracts, oversight monitoring, contractual damages, reputational harm, administrative burdens, diminished profits and future earnings.
39
Coverage, pricing and reimbursement
Significant uncertainty exists as to the coverage and reimbursement status of any product candidates for which regulatory approval is obtained. In the United States and markets in other countries, sales of any products for which regulatory approval is received for commercial sale will depend, in part, on the extent to which third-party payors provide coverage, and establish adequate reimbursement levels for such products. In the United States, third-party payors include federal and state healthcare programs, private managed care providers, health insurers and other organizations. The process for determining whether a third-party payor will provide coverage for a product may be separate from the process for setting the price of a product or for establishing the reimbursement rate that such a payor will pay for the product. Third-party payors may limit coverage to specific products on an approved list, also known as a formulary, which might not include all of the FDA-approved products for a particular indication. Third-party payors are increasingly challenging the price, examining the medical necessity and reviewing the cost-effectiveness of medical products, therapies and services, in addition to questioning their safety and efficacy. Expensive pharmaco-economic studies may need to be conducted in order to demonstrate the medical necessity and cost-effectiveness of product candidates, in addition to the costs required to obtain the FDA approvals. Product candidates may not be considered medically necessary or cost-effective. A payor’s decision to provide coverage for a product does not imply that an adequate reimbursement rate will be approved. Further, one payor’s determination to provide coverage for a product does not assure that other payors will also provide coverage for the product. Adequate third-party reimbursement may not be available to enable the maintenance of price levels sufficient to realize an appropriate return on investment in product development.
Different pricing and reimbursement schemes exist in other countries. In the EU, governments influence the price of pharmaceutical products through their pricing and reimbursement rules and control of national health care systems that fund a large part of the cost of those products to consumers. Some jurisdictions operate positive and negative list systems under which products may only be marketed once a reimbursement price has been agreed. To obtain reimbursement or pricing approval, some of these countries may require the completion of clinical trials that compare the cost-effectiveness of a particular product candidate to currently available therapies. Other member states allow companies to fix their own prices for medicines, but monitor and control company profits. The downward pressure on health care costs has become very intense. As a result, increasingly high barriers are being erected to the entry of new products. In addition, in some countries, cross-border imports from low-priced markets exert a commercial pressure on pricing within a country.
The marketability of any product candidates for which regulatory approval is received for commercial sale may suffer if the government and other third-party payors fail to provide coverage and adequate reimbursement. In addition, emphasis on managed care in the United States has increased and is expected to continue to increase the pressure on healthcare pricing. Coverage policies and third-party reimbursement rates may change at any time. Even if favorable coverage and reimbursement status is attained for one or more products for which regulatory approval is received, less favorable coverage policies and reimbursement rates may be implemented in the future.
40
Healthcare reform
Healthcare reforms that have been adopted, and that may be adopted in the future, could result in further reductions in coverage and levels of reimbursement for pharmaceutical products, increases in rebates payable under U.S. government rebate programs and additional downward pressure on pharmaceutical product prices. Healthcare reform proposals recently culminated in the enactment of the Inflation Reduction Act, which will eliminate, beginning in 2025, the coverage gap under Medicare Part D by significantly lowering the enrollee maximum out-of-pocket cost and requiring manufacturers to subsidize, through a newly established manufacturer discount program, 10% of Part D enrollees’ prescription costs for brand drugs below the out-of-pocket limit, and 20% once the out-of-pocket limit has been reached. The Inflation Reduction Act will also allow HHS to directly negotiate the selling price of a statutorily specified number of drugs each year that CMS reimburses under Medicare Part B and Part D. The negotiated price may not exceed a statutory ceiling price. Only high-expenditure single-source drugs that have been approved for at least 7 years (11 years for biologics) can qualify for negotiation, with the negotiated price taking effect two years after the selection year. For 2026, the first year in which negotiated prices become effective, CMS selected 10 high-cost Medicare Part D drugs in 2023, negotiations began in 2024, and the negotiated maximum fair price for each product has been announced. CMS has selected 15 additional Medicare Part D drugs for negotiated maximum fair pricing in 2027. For 2028, an additional 15 drugs, which may be covered under either Medicare Part B or Part D, will be selected, and for 2029 and subsequent years, 20 Part B or Part D drugs will be selected. A drug or biological product that has an orphan drug designation for only one rare disease or condition will be excluded from the Inflation Reduction Act’s price negotiation requirements, but loses that exclusion if it has designations for more than one rare disease or condition, or if is approved for an indication that is not within that single designated rare disease or condition, unless such additional designation or such disqualifying approvals are withdrawn by the time CMS evaluates the drug for selection for negotiation. The Inflation Reduction Act also imposes rebates on Medicare Part B and Part D drugs whose prices have increased at a rate greater than the rate of inflation. The Inflation Reduction Act permits the Secretary of HHS to implement many of these provisions through guidance, as opposed to regulation, for the initial years. Manufacturers that fail to comply with the Inflation Reduction Act may be subject to various penalties, some significant, including civil monetary penalties. The Inflation Reduction Act also extends enhanced subsidies for individuals purchasing health insurance coverage in ACA marketplaces through plan year 2025. These provisions are taking effect progressively starting in 2023, although they may be subject to legal challenges. For example, the provisions related to the negotiation of selling prices of high-expenditure single-source drugs and biologics have been challenged in multiple lawsuits. Thus, while it is unclear how the Inflation Reduction Act will be implemented, it will likely have a significant impact on the pharmaceutical industry and the pricing of pharmaceutical products, particularly pharmaceutical products indicated for prevalent conditions. It is unclear to what extent other statutory, regulatory, and administrative initiatives will be enacted and implemented in the future.
Employees and human capital resources
As of December 31, 2024, we had 125 employees, all of whom were full-time and 98 of whom were engaged in research and development activities. Approximately 53 of our employees hold Ph.D. or M.D. degrees. None of our employees are represented by labor unions or covered by collective bargaining agreements. We consider our relationship with our employees to be an asset.
Our human capital resources objectives include, as applicable, identifying, recruiting, retaining, incentivizing and integrating our existing and new employees, advisors and consultants. It is important that we not only attract and retain the best and brightest diverse talent, but also ensure they remain engaged and can thrive in an environment that is committed to helping them grow, succeed and contribute directly to achieving our purpose. The principal purposes of our equity and cash incentive plans are to attract, retain and motivate personnel through the granting of stock-based and cash-based compensation awards in order to increase the success of our Company by motivating such individuals to perform to the best of their abilities in the furtherance of our objectives. We also strive to foster career growth and internal mobility by providing a broad range of training, mentoring and other development opportunities.
Corporate information
We were incorporated under the laws of the State of Delaware on August 29, 2017, originally under the name Genetic Modifiers NewCo, Inc. We changed our name on July 5, 2018 to Modulus Therapeutics, Inc. and on September 25, 2018, to Maze Therapeutics, Inc.
Our principal executive offices are located at 171 Oyster Point Blvd., Suite 300, South San Francisco, California 94080, and our telephone number is (650) 850-5070. Our website address is www.mazetx.com.
We file annual, quarterly and current reports, proxy statements and other documents with the Securities and Exchange Commission, or SEC, under the Securities Exchange Act. The SEC maintains an Internet website that contains reports, proxy and information statements, and other information regarding issuers, including us, that we file electronically with the SEC. The public can obtain any documents that we file with the SEC at www.sec.gov. Copies of each of our filings with the SEC can also be viewed and downloaded free of charge at our website, www.mazetx.com, after the reports and amendments are electronically filed with or furnished to the SEC.
41
Also available on our website is information relating to our corporate governance and our Board, including our Corporate Governance Guidelines; our Code of Business Conduct; and our Board Committee Charters. We will provide any of the foregoing information without charge upon written request to our Corporate Secretary.
We use our Investor Relations website (http://ir.mazetx.com) as a means of disclosing material non-public information and for complying with our disclosure obligations under Regulation FD promulgated by the SEC. These disclosures are included in the “news and events” section of our website. Accordingly, investors should monitor this portion of our website, in addition to following our press releases, SEC filings and public conference calls and webcasts.
The information contained on our website does not constitute, and shall not be deemed to constitute, a part of this Annual Report on Form 10-K, or any other report we file with, or furnish to, the SEC. Our references to the URLs for websites are intended to be inactive textual references only.
The mark “Maze Therapeutics,” the Maze logo, “Maze Compass” and all product names are our registered or common law trademarks. All other service marks, trademarks and trade names appearing in this Annual Report on Form 10-K are the property of their respective owners. Solely for convenience, the trademarks and tradenames referred to in this Annual Report on Form 10-K appear without the ® and ™ symbols, but those references are not intended to indicate, in any way, that we will not assert, to the fullest extent under applicable law, our rights, or the right of the applicable licensor to these trademarks and tradenames.
Item 1A. Risk Factors
Investing in our common stock involves a high degree of risk. Before making your decision to invest in shares of our common stock, you should carefully consider the risks described below, together with the other information contained in this Annual Report on Form 10-K, including in the sections titled “Special note regarding forward-looking statements” and “Management’s discussion and analysis of financial condition and results of operations” and in our financial statements and the related notes included elsewhere in this Annual Report on Form 10-K. The risks and uncertainties described below are not the only ones we face. Additional risks and uncertainties that we are unaware of or that we deem immaterial may also become important factors that adversely affect our business. We cannot assure you that any of the events discussed below will not occur. These events could have a material and adverse impact on our business, financial condition, results of operations and prospects. If that were to happen, the trading price of our common stock could decline, and you could lose all or part of your investment.
Risks related to our limited operating history, financial position and need for capital
We are a clinical-stage biopharmaceutical company with a limited operating history, which may make it difficult to evaluate the success of our business to date and to assess our future viability. Since our inception, we have incurred significant operating losses and have not generated any product revenue. We expect to incur continued losses for the foreseeable future and may never achieve or maintain profitability.
Investment in drug development is a highly speculative undertaking and involves a substantial degree of risk. We are a clinical-stage biopharmaceutical company with a limited operating history. Our lead programs are still in early clinical and preclinical development, and we are subject to the risks of failure inherent in the development of therapeutic candidates based on novel technologies. We have not yet demonstrated an ability to successfully overcome many of the risks and uncertainties frequently encountered by companies in new and rapidly evolving fields, particularly in the biotechnology industry. Furthermore, we do not expect to generate any product revenue from commercial sales for the foreseeable future, and we expect to continue to incur significant operating losses for the foreseeable future due to the cost of clinical trials, preclinical studies, research and development, and the regulatory approval process of our therapeutic candidates. For the years ended December 31, 2024 and 2023, we incurred net income of $52.2 million and a net loss of $100.4 million, respectively. As of December 31, 2024, we had an accumulated deficit of $358.4 million. We expect to continue to incur significant research and development and other expenses related to our ongoing operations.
42
Since our inception, we have focused substantially all of our efforts and financial resources on research and development activities for our programs and on establishing arrangements and collaborations with third parties for the development of our therapeutic candidates. To date, we have not generated any product revenue from product sales and have financed our operations primarily through sales of our equity and convertible promissory notes, as well as one-time, nonrefundable, upfront licensing payments.
Our prior losses, combined with expected future losses, have had, and will continue to have, an adverse effect on our stockholders’ equity and working capital. We expect our research and development expenses to significantly increase in connection with clinical trials for our lead programs, MZE829 and MZE782, further development of our Maze Compass platform, or our Compass platform, planned preclinical studies, IND filings and clinical trials for future therapeutic candidates. We will also incur substantial additional expenses as we seek to expand our intellectual property portfolio, including through potential in-licensing opportunities, and hire additional personnel as we scale up our operations. We expect to incur additional costs associated with operating as a public company. As a result, we expect to continue to incur significant and increasing operating losses for the foreseeable future. Because of the numerous risks and uncertainties associated with developing pharmaceutical products, we are unable to predict the extent of any future losses or when we will become profitable, if at all.
Our ability to become profitable depends upon our ability to generate revenue. To date, we have not generated any revenue apart from upfront licensing payments, and we do not know when, or if, we will generate any sales, milestone, or royalty revenue. We do not expect to generate additional significant revenue from licensing arrangements in the near term. We do not expect to generate significant revenue unless and until we obtain marketing approval for, and begin to sell, our therapeutic candidates.
To become and remain profitable, we must succeed in designing, developing and eventually commercializing products that generate significant revenue. This will require us to be successful in a range of challenging activities, including therapeutic candidate selection, preclinical testing and clinical trials of our therapeutic candidates, continuing to discover and develop additional therapeutic candidates, establishing arrangements with third parties for the manufacture of preclinical and clinical supplies, obtaining regulatory approval for any therapeutic candidates that successfully complete clinical trials, manufacturing, marketing and selling any products for which we may obtain marketing approval and obtaining coverage and adequate reimbursement from government and third-party payors for any such products. We are only in the preliminary stages of development and clinical trials, and we may never succeed in these activities and, even if we do, may never generate revenues that are significant enough to achieve profitability or meet outside expectations for our profitability.
Because of the numerous risks and uncertainties associated with pharmaceutical development, we are unable to accurately predict the timing or amount of increased expenses we will incur or when, or if, we will be able to achieve profitability. If we decide to or are required by the U.S. Food and Drug Administration, or FDA, or regulatory authorities in other jurisdictions to perform preclinical studies or clinical trials in addition to those currently expected, or if there are any delays in establishing appropriate manufacturing arrangements for, in initiating clinical trials or preclinical studies for, or in the development of any of our therapeutic candidates, our expenses could increase materially and profitability could be further delayed.
Even if we do achieve profitability, we may not be able to sustain or increase profitability on a quarterly or annual basis. We expect our financial condition and operating results to fluctuate significantly from quarter-to-quarter and year-to-year due to a variety of factors, many of which are beyond our control. Accordingly, you should not rely upon the results of any quarterly or annual periods as indications of future operating performance. Our failure to become and remain profitable would depress the value of our company and could impair our ability to raise capital, expand our business, maintain our research and development efforts, diversify our product offerings or even continue our operations. A decline in the value of our company could also cause you to lose all or part of your investment.
We will require substantial additional capital to finance our operations and achieve our goals. If we are unable to raise capital when needed or on terms acceptable to us, we may be forced to delay, reduce or eliminate our research or product development programs, any future commercialization efforts or other operations.
Developing pharmaceutical products, including conducting clinical trials and preclinical studies, is a very time-consuming, expensive and uncertain process that takes years to complete. Our operations have consumed substantial amounts of cash since inception, and we expect our expenses to increase substantially in connection with our ongoing research and development activities, particularly as we advance our developmental programs, advance our current clinical trial and preclinical studies, commence additional clinical trials and preclinical studies and expand the breadth of our Compass platform. In addition, even if we obtain marketing approval for any of our therapeutic candidates, we expect to incur significant commercialization expenses related to product manufacturing, marketing, sales and distribution. We expect to incur additional costs associated with operating as a public company. Accordingly, we will need to obtain substantial additional capital in connection with our continuing operations. Adequate additional financing may not be available to us on favorable terms, or at all. In addition, we may seek additional capital due to favorable market conditions or strategic considerations even if we believe we have sufficient funds for our current or future operating plans.
43
If we are unable to raise capital when needed or on favorable terms, we could be forced to delay, reduce or eliminate our clinical and preclinical development, research and development programs, our commercialization plans or other operations.
As of December 31, 2024, our cash and cash equivalents were $196.8 million. Based on our current operating plan, we believe our existing cash and cash equivalents as of December 31, 2024, together with the net proceeds of approximately $127.8 million from our initial public offering completed in February 2025, will enable us to fund our operating expenses and capital expenditure requirements for at least one year from the date of this Annual Report on Form 10-K. We have based this estimate on assumptions that may prove to be wrong, and we could use our capital resources sooner than we currently expect. Changes beyond our control may occur that would cause us to use our available capital before that time, including changes in and progress of our development activities and changes in regulation. Our future capital requirements will depend on many factors, including, but not limited to:
44
We will require additional capital for our research and development programs. Our ability to raise additional funds will be dependent on financial, economic and market conditions, geopolitical issues and other factors, over which we may have limited or no control. If adequate funds are not available on commercially acceptable terms when needed, we may be forced to delay, reduce or terminate our research and development activities of all or part of our research programs or therapeutic candidates or we may be unable to take advantage of future business opportunities. Furthermore, any additional capital-raising efforts may divert our management from their day-to-day activities, which may adversely affect our ability to develop and commercialize our current and future therapeutic candidates, if approved. Changing circumstances, some of which may be beyond our control, could cause us to consume capital significantly faster than we currently anticipate, and we may need to seek additional funds sooner than planned.
Raising additional capital may cause dilution to our stockholders, restrict our operations or require us to relinquish rights to our technologies or therapeutic candidates.
Until such time, if ever, as we can generate substantial product revenue, we expect to finance our cash needs through a combination of equity offerings, debt financings, collaborations, strategic alliances and marketing, distribution or licensing arrangements. In addition, we may seek additional capital due to favorable market conditions or strategic considerations, even if we believe we have sufficient funds for our current or future operating plans. To the extent that we raise additional capital through the sale of equity or convertible debt securities, your ownership interest will be diluted, and the terms of these securities may include liquidation or other preferences that adversely affect your rights as a common stockholder. Debt financing and preferred equity financing, if available, may involve agreements that include covenants limiting or restricting our ability to take specific actions, such as incurring additional debt, making acquisitions or capital expenditures or declaring dividends.
If we raise additional funds through collaborations, strategic alliances or marketing, distribution or licensing arrangements with third parties, we may have to relinquish valuable rights to our technologies, future revenue streams, research programs or therapeutic candidates, including granting licenses to our technologies, on terms that may not be favorable to us. If we are unable to raise additional funds through equity or debt financings or other arrangements when needed, we may be required to delay, limit, reduce or terminate our research, product development or future commercialization efforts or grant rights to third parties to develop and market therapeutic candidates that we would otherwise prefer to develop and market ourselves.
Our loan and security agreement provides our lender with a first priority lien against substantially all of our assets, except for intellectual property, and contains restrictive and financial covenants that may limit our operating flexibility.
Our loan and security agreement, dated June 27, 2022, between us and Banc of California (f/k/a Pacific Western Bank), as amended as of the date hereof, or the Loan Agreement, is a line of credit secured by a lien covering substantially all of our personal property, excluding intellectual property.
The Loan Agreement contains customary representations and warranties, events of default and affirmative and negative covenants, including covenants that limit or restrict our ability to, among other things, dispose of assets, make changes to our business, management, ownership or business locations, merge or consolidate, incur additional indebtedness, pay dividends or other distributions or repurchase equity, make investments and certain capital expenditures, and enter into certain transactions with affiliates, in each case subject to certain exceptions. Our ability to comply with these and other covenants is dependent on several factors, some of which are beyond our control.
While we have not drawn on the Loan Agreement to date, the restrictions and covenants in the Loan Agreement, as well as those contained in any future debt financing agreements that we may enter into, may restrict our ability to finance our operations and engage in, expand or otherwise pursue our business activities and strategies. Our ability to comply with these covenants and restrictions may be affected by events beyond our control, and breaches of these covenants and restrictions could result in a default under the Loan Agreement or under any future financing agreements that we may enter into, which would give our lenders the right to terminate their commitments to provide loans and to declare all borrowings outstanding, together with accrued and unpaid interest and fees, to be immediately due and payable.
Further, the interest rate for any future term loan drawn under the Loan Agreement will be based on the published prime rate, a floating rate, subject to a maximum rate equal to the greater of (i) 0.75% above the published prime rate as then in effect and (ii) 4.50%. The Federal Reserve has raised, and may in the future further raise, interest rates to combat the effects of recent high inflation. An increase in the prime rate resulting in interest rates above the set minimum rate would increase our debt service obligations, which could have a negative impact on our cash flow, financial position or operating results, or result in increased borrowing costs in the future.
45
Risks related to discovery and development of our therapeutic candidates
We are early in our development efforts and highly dependent on the success of our lead programs. If we are unable to commercialize our therapeutic candidates or experience significant delays in doing so, our business will be materially harmed.
Our therapeutic candidates are in early stages of development. We do not have any products that are approved for sale in any jurisdiction. We initiated a Phase 2 trial of MZE829, our most advanced lead program, in November 2024, dosed our first patient in February 2025 and expect to report proof of concept data in the first quarter of 2026. We initiated a Phase 1 clinical trial of our second lead program, MZE782, in September 2024. Our other programs are at an early research stage, with no therapeutic candidates identified. Our research programs may not result in viable therapeutic candidates for some time, if ever, and our therapeutic candidates in development may not achieve success in our current or any future clinical trials, or obtain regulatory approval.
Our ability to generate product revenues, which may not occur for many years, if ever, will depend heavily on the successful development and eventual commercialization of our therapeutic candidates. The success of our therapeutic candidates will depend on several factors, including, but not limited to:
46
Many of these factors are beyond our control, and it is possible that none of our therapeutic candidates will ever obtain regulatory approval, even if we expend substantial time and resources seeking such approval. Even if we do obtain regulatory approval, it is possible that one or more of these factors could cause significant delays or an inability to successfully commercialize our therapeutic candidates, which would materially harm our business.
Additionally, clinical or regulatory setbacks to other companies developing similar products or within adjacent fields, may impact the clinical development of and regulatory pathway for our current or future therapeutic candidates, or may negatively impact the perceptions of value or risk of our technologies.
Preclinical and clinical drug development is a lengthy and expensive process, with uncertain timelines and outcomes. If preclinical studies or clinical trials of our therapeutic candidates are prolonged or delayed, we may be unable to obtain required regulatory approvals, and therefore be unable to commercialize our therapeutic candidates or any of our future therapeutic candidates on a timely basis or at all.
We have limited experience designing and implementing clinical trials. We initiated a Phase 2 trial of MZE829, our most advanced lead program, in November 2024, dosed our first patient in February 2025 and expect to report proof of concept data in the first quarter of 2026. We initiated a Phase 1 clinical trial of MZE782 in September 2024. Failure to design any one of our clinical trials adequately, or incorrect assumptions about the design of the trial, could adversely affect the ability to initiate the trial, enroll patients, complete the trial, or use the clinical trial’s results to support an application for regulatory approval, as well as lead to increased or unexpected costs.
Our programs are in the early stages of development, and the risk of failure is high. Our programs may fail to identify potential therapeutic candidates for clinical development for a number of reasons. We are unable to predict when or if our programs will lead to therapeutic candidates or when or if our therapeutic candidates will prove effective and safe in humans or will obtain marketing approval. Before obtaining marketing approval from regulatory authorities for the sale of any of our therapeutic candidates, we must complete preclinical development and then conduct extensive clinical trials to demonstrate the safety and efficacy of our therapeutic candidates in humans. Our potential therapeutic candidates may be shown to have harmful side effects in animal model studies, may not show promising signals of therapeutic effect in such experiments or studies, or may have other characteristics that may make the therapeutic candidates impractical to manufacture, unmarketable, or unlikely to receive marketing approval.
We are currently focused on advancing the development of our lead programs, MZE829 and MZE782; however, even with significant investment of time and funding to advance these therapeutic candidates, we cannot guarantee that our clinical and preclinical development efforts will be successful. The start or end of a clinical trial may be delayed or halted due to delays in or failure to obtain regulatory approval to commence the trial, delays in or failure to reach agreement on acceptable terms with prospective clinical research organizations, or CROs, or clinical trial sites, delays in or failure to obtain Institutional Review Board, or IRB, approval at each site, changing regulatory requirements, manufacturing challenges, clinical sites or CROs deviating from the trial protocol or failing to comply with regulatory requirements or meet contractual obligations, slower than anticipated patient enrollment, changing standards of care, availability or prevalence of use of a comparative therapeutic or required prior therapy, clinical outcomes, failure of patients to complete the trial or return for post-treatment follow-up, or financial constraints. Delays or difficulties in patient enrollment or difficulties in retaining trial participants can result in increased costs, longer development times, requirements to manufacture additional drug supply, or termination of a clinical trial.
Clinical trials of a new therapeutic candidate require the enrollment of a sufficient number of patients, which may include patients who are suffering from the disease the therapeutic candidate is intended to treat and who meet other eligibility criteria, which may require genetic testing of prospective patients. Rates of patient enrollment are affected by many factors, including the size of the patient population, the eligibility criteria for the clinical trial, the age and condition of the patients, the stage and severity of disease, the nature of the protocol, the proximity of patients to clinical sites, and the availability of effective treatments or competing academic and other clinical trials for the relevant disease.
A therapeutic candidate can unexpectedly fail at any stage of preclinical and clinical development. The historical failure rate for therapeutic candidates is high due to scientific feasibility, safety, efficacy, changing standards of medical care, and other variables. The novelty of our Compass platform may mean our failure rates are higher than historical norms. We will have to conduct additional trials in our proposed indications to support any future regulatory submissions. A number of companies in the biopharmaceutical industry have suffered significant setbacks in advanced clinical trials due to lack of efficacy or adverse safety profiles despite promising results in earlier, smaller clinical trials. Moreover, clinical data are often susceptible to varying interpretations and analyses. We do not know whether our clinical trials will demonstrate consistent or adequate efficacy and safety with respect to the proposed indication for use that is sufficient to receive regulatory approval or market our therapeutic candidates. To the extent that the results of the clinical trials are not satisfactory to the FDA or foreign regulatory agencies for supporting a marketing application, we may be required to expend significant resources, which may not be available to us, to conduct additional clinical trials in support of potential approval of our therapeutic candidates.
47
We, the FDA, an IRB, an independent ethics committee, or EC, or other applicable regulatory authorities may suspend clinical trials of a therapeutic candidate at any time for various reasons, including a belief that subjects participating in such trials are being exposed to unacceptable health risks or adverse side effects. Similarly, an IRB or EC may suspend a clinical trial at a particular trial site. We may not have the financial resources to continue development of, or to enter into collaborations for, a therapeutic candidate if we experience any problems or other unforeseen events delaying or preventing clinical development or regulatory approval of, or our ability to commercialize, therapeutic candidates, including:
If we are impacted by one or more of these factors and are unable to remediate the issue in a timely manner or at all, then we could experience significant delays or an inability to successfully obtain regulatory approvals for our therapeutic candidates. Without regulatory approval, we will be unable to commercialize our therapeutic candidates, which would materially harm our business and potentially make it impossible to continue our operations.
Results of preclinical studies or early-stage clinical trials of any therapeutic candidates may not be predictive of the results of future preclinical studies or clinical trials.
Clinical testing is expensive, difficult to design and implement, can take many years to complete and is uncertain as to the outcome. A failure of one or more clinical trials can occur at any stage of testing. The outcome of preclinical testing and early clinical trials may not be predictive of the success of later preclinical studies or clinical trials or of clinical trials of the same therapeutic candidates in other indications, and interim or preliminary results of a clinical trial do not necessarily predict final results. For example, even if successful, the results of our preclinical studies of our lead programs may not be predictive of the results of outcomes in subsequent clinical trials on human subjects. Later-stage clinical trials could differ in significant ways from early-stage clinical trials, including changes to inclusion and exclusion criteria, efficacy endpoints, dosing regimen and statistical design.
48
If we encounter delays or difficulties enrolling patients in our clinical trials and/or retaining patients in clinical trials, our clinical development activities could be delayed or otherwise adversely affected.
We may experience difficulties in patient enrollment in our clinical trials for a variety of external reasons beyond our control, including supply chain disruptions, staffing shortages and other business and economic disruptions resulting from geopolitical actions, including war and terrorism, natural disasters, including earthquakes, typhoons, floods and fires, as well as other disruptions resulting from the impact of public health factors, including pandemics or other health crises, business disruptions of our strategic partners, third-party manufacturers, suppliers and other third parties upon which we rely. Our therapeutic candidates are developed using a precision medicine approach intended to identify specific genetic targets amenable to therapeutic intervention in CVRM diseases. As a result, the potential population of patients eligible for enrollment in our clinical trials will be smaller than the population eligible for enrollment in trials targeting the entire population with the disease, and it may be difficult to identify and enroll adequate numbers of patients in our trials. For example, our therapeutic candidate MZE829 is targeted to treat kidney disease associated with genetic variations in the APOL1 gene, which are most prevalent in people of West African ancestry, including many who identify as Black, African American, Afro-Caribbean and Latina/Latino, which narrows the patient population eligible for enrollment in these trials.
In addition, the eligibility criteria of our clinical trials will further limit the pool of available trial participants. For our therapeutic candidate MZE829, we depend on and expect to perform genetic screening in order to identify candidates with the applicable genetic variations for our clinical trials. As we expect future therapeutic candidates to also target specific genetic subgroups of common conditions, as identified through our Compass platform, it is likely that future therapeutic candidates will also require identification of patients with the applicable genotype, which will require genetic screening and further costs and timing delays in identifying patients eligible for our clinical trials. Genetic screening could involve more time consuming, costly and invasive procedures than patients may be willing to accept. If patients are not willing to undergo genetic screening, or any other eligibility criteria we have for our clinical trials, it would lead to greater costs and/or timing delays for us in order to identify eligible and the necessary patients for our clinical trials. The timely completion of clinical trials in accordance with their protocols depends, among other things, on our ability to enroll a sufficient number of eligible patients who remain in the trial until completion of treatment and adequate follow-up. In general, the enrollment and retention of patients depends on many factors, including, but not limited to:
In addition, our clinical trials will compete with other clinical trials for therapeutic candidates that are in the same therapeutic areas as our therapeutic candidates, and this competition will reduce the number and types of patients available to or retained by us because patients who might have opted to enroll in our trials may instead opt to enroll in a trial being conducted by one or more of our competitors. Other biopharmaceutical companies are currently conducting clinical trials, and may in the future conduct clinical trials, that compete for the same patient population as us. Since the number of qualified clinical investigation sites is limited, and often associated with a small number of academic centers, we expect to conduct some of our clinical trials at the same clinical trial sites that some of our competitors use, which will reduce the number of patients who are available for our clinical trials at such clinical trial sites. Unanticipated geopolitical events in countries where we may seek to have clinical trial sites could also negatively impact our ability to enroll or retain patients in our trials.
49
Our therapeutic candidates may cause undesirable side effects or have other properties that could halt their clinical development, prevent their regulatory approval, require expansion of the trial size, limit their commercial potential, or result in significant negative consequences.
If serious adverse events or undesirable side effects arise, we could be required to suspend, delay, or halt our clinical trials. Additionally, serious adverse events or undesirable side effects could cause regulatory authorities to deny approval or require us to limit development of that therapeutic candidate to certain uses or subpopulations in which the undesirable side effects or other characteristics are less prevalent, less severe or more acceptable from a risk-benefit perspective. Undesirable side effects could also result in an expansion in the size of our clinical trials, increasing the expected costs and timeline of our clinical trials. Side effects that are observed during trials, whether treatment related or not, could also affect patient recruitment for future trials or the ability of enrolled patients to complete the trial or result in potential product liability claims. Many compounds that initially show promise in clinical or preclinical testing are later found to cause undesirable or unexpected side effects that prevent further development of the compound.
Further, if serious adverse events or undesirable side effects are identified during development or after approval and are determined to be attributed to any of our therapeutic candidates, we may be required to develop Risk Evaluation and Mitigation Strategies, or REMS, to ensure that the benefits of treatment with such therapeutic candidate outweigh the risks for each potential patient. A REMS may include, among other things, a communication plan to health care practitioners, patient education, extensive patient monitoring or distribution systems and other processes that would make our therapeutic candidate more restricted or costly to distribute to patients.
Our two lead programs are intended to treat chronic kidney disease, or CKD, which is a progressive condition associated with severe and often life-threatening co-morbidities. Clinical trials that involve patients with significant co-morbidities are associated with increased risks as such participants may be particularly susceptible to safety and toxicity risks. In addition, these side effects may not be appropriately recognized or managed by the treating medical staff, as safety and toxicity monitoring may be complicated and difficult to manage, which could result in patient death or other significant issues. Additionally, it can be difficult to determine if the serious adverse or unexpected side effects were caused by our therapeutic candidate or another factor, especially in subjects who may suffer from other medical conditions and take other medications.
Any of these occurrences may materially harm our business, financial condition and prospects.
We may not be successful in applying our Compass platform to identify targets with therapeutic potential or to discover and develop safe, effective or commercially viable therapeutic candidates.
We use our Compass platform to identify and prioritize potential drug targets, to assess the likelihood that we can develop a therapeutic candidate that interacts with the applicable target to elicit the desired therapeutic effect, and to transition these insights efficiently into well-supported therapeutic candidates. We believe our use of our Compass platform, which identifies and prioritizes targets using statistical modeling, variant functionalization tools, and traditional and computational drug discovery technologies, augmented with machine learning and artificial intelligence, or AI, increases our likelihood of producing therapies that provide meaningful clinical benefit, but past success in identifying potential therapeutic candidates does not assure similar future success with our other programs. We may not succeed in applying our Compass platform to identify targets or promising therapeutic candidates in the future. We therefore cannot provide any assurance that we will be able to successfully identify additional therapeutic candidates or advance any of our programs or future therapeutic candidates into clinical development, nor can we provide any assurance whether the application of our Compass platform will result in the ultimate regulatory approval of any of our therapeutic candidates.
Efforts to identify, acquire or in-license, and then develop therapeutic candidates require substantial technical, financial and human resources, whether or not any therapeutic candidates are ultimately identified. We apply our Compass platform to discover potential genetic targets for which we may be able to develop precision therapeutic candidates. Our efforts may initially show promise in identifying potential targets linked to diseases or conditions, yet fail to yield therapeutic candidates for clinical development or regulatory approval for many reasons, including the following:
50
Certain of the diseases we, or which our partners, seek to treat have low prevalence and/or have available therapies, and it may be difficult for us or our partners to identify patients with these diseases or face competition in the recruitment of these limited groups of patients, which may lead to difficulties in enrolling clinical trials.
Genetically defined diseases generally, and especially some of those which our out-licensed programs target, including Pompe disease, have low prevalence and incidence. This could pose obstacles to the timely recruitment, enrollment and retention of a sufficient number of eligible patients into our partners’ trials or limit a therapeutic candidate’s commercial potential, and thus the milestone payments and royalties we would receive for those licenses. Other companies have ongoing clinical trials for therapeutic candidates that treat the same indications as our wholly owned and our out-licensed therapeutic candidates, and patients who otherwise would be eligible for our or our partners’ planned clinical trials instead may enroll in clinical trials of our competitors’ therapeutic candidates. In addition, where there are currently available therapies or if our competitors’ therapeutic candidates gain regulatory approval and become commercially available, patients may be reluctant to enroll in a clinical trial. As more companies begin to focus attention and resources on therapeutic candidates to treat the same indications as the ones we have out-licensed, our licensees may experience delays or be unable to successfully recruit and enroll a sufficient number of eligible patients in their clinical trials.
Our licensees’ inability to enroll a sufficient number of patients with these diseases into their planned clinical trials would result in significant delays and could cause them to not initiate or abandon one or more clinical trials altogether, potentially depriving us of milestone payments and royalties potentially associated with these licenses.
We may experience delays in commencing and completing, or ultimately be unable to complete, the development and/or commercialization of our therapeutic candidates.
Before we can initiate clinical trials of a therapeutic candidate in any indication, we must submit the results of preclinical studies to the FDA or to comparable foreign authorities, along with other information, including information about the therapeutic candidate’s chemistry, manufacturing and controls, and our proposed clinical trial protocol, as part of an IND or comparable foreign regulatory filings.
The FDA may require us to conduct additional preclinical studies for any therapeutic candidate before it allows us to initiate clinical trials under any IND, which may lead to additional delays and increase the costs of our preclinical development programs.
Any delays in the commencement or completion of preclinical studies or clinical trials could significantly affect our development costs. We may experience numerous unforeseen events during, or as a result of, preclinical studies or clinical trials that could delay or prevent our ability to obtain marketing approval or commercialize our therapeutic candidates, including, but not limited to:
51
Delays, including delays caused by the above factors and other factors described in this “Risk factors” section, can be costly and could negatively affect our ability to complete preclinical studies or clinical trials or obtain timely marketing approvals. We do not know whether any of our planned preclinical studies or clinical trials will begin on or be completed on a timely basis, or at all. For example, the FDA may place a partial or full clinical hold on any of our clinical trials for a variety of reasons, including safety concerns and noncompliance with regulatory requirements. If we are not able to complete successful clinical trials, we will not be able to obtain regulatory approval and will not be able to commercialize our therapeutic candidates.
Significant preclinical or clinical trial delays also could shorten any periods during which we may have the exclusive right to commercialize our therapeutic candidates or allow our competitors to bring products to market before we do, which may impair our ability to successfully commercialize our therapeutic candidates and harm our business and results of operations.
We may expend our limited resources to pursue a particular therapeutic candidate or indication and fail to capitalize on therapeutic candidates or indications that may be more profitable or for which there is a greater likelihood of success.
Because we have limited financial and managerial resources, we focus on research programs and therapeutic candidates that we identify for specific indications. As a result, we may forego or delay pursuit of opportunities with other therapeutic candidates or for other indications that later prove to have greater commercial potential. Our resource allocation decisions and spending on current and future research and development programs may not yield any commercially viable products or profitable market opportunities, which may adversely affect our business, financial condition, results of operations and prospects. If we do not accurately evaluate the commercial potential or target market for a particular therapeutic candidate, we may relinquish valuable rights to that therapeutic candidate through collaboration, licensing or other royalty collaborations or arrangements in cases in which it would have been more advantageous for us to retain sole development and commercialization rights to such therapeutic candidate.
If ethical and other concerns surrounding the use of genetic information become widespread, there may be limitations on our ability to access genetic information for our Compass platform.
One of the pillars of our Compass platform is our ability to access and aggregate numerous and varied genomic and phenotypic data collections, particularly those that pair genetic and clinical data. Genetic testing to provide this data has given rise to ethical questions and controversies regarding confidentiality and the appropriate uses of the resulting information. For these reasons, governmental authorities may call for limits on or regulate the use of genetic data, including by limiting the compilation of genetic information or prohibiting testing for genetic predisposition to various conditions, particularly for those that have no known cure. Some of the major data sources of genetic and clinical data for our Compass platform derive from publicly funded and managed databases. One of our key objectives is to continue to augment our access to diverse sources of genetic information from multiple population groups. If our access to these additional sources of human genetic data becomes restricted, due to governmental limitations or otherwise, the capability of our Compass platform may be reduced, and we may be unable to continue to recognize the benefits of our Compass platform on our expected timeframe, or at all, which would have a negative effect on our business or financial condition.
Interim, topline and preliminary data from preclinical studies and clinical trials that we or our partners announce or publish from time to time may change as more patient data become available and are subject to audit and verification procedures that could result in material changes in the final data.
From time to time, we or our partners may make public interim, topline or preliminary data from our or their preclinical studies and clinical trials that are based on a preliminary analysis of then-available data, of which, the results, related findings and conclusions are subject to change following a more comprehensive review of the data or accumulation of additional data. Interim, topline or preliminary data from clinical trials that we or our partners may complete are subject to the risk that one or more of the clinical outcomes may materially change as patient enrollment continues and more patient data become available. Interim, preliminary or topline data also remain subject to audit and verification procedures that may result in the final data being materially different from the interim, preliminary or topline data that were previously made public. As a result, interim, topline and preliminary data should be viewed with caution until the final data are available. Adverse differences between interim, topline or preliminary data and final data could significantly harm our reputation and business, financial condition, results of operations and prospects.
52
Further, regulatory agencies, may not accept or agree with our assumptions, estimates, calculations, analyses or conclusions, or may interpret or weigh the importance of data differently, which could impact the value of the particular program, the approvability or commercialization of the particular drug candidate, and our company in general. If the interim, topline, or preliminary data that we report differ from actual results, or if others, including regulatory authorities, disagree with the conclusions reached, our ability to obtain approval of, and commercialize, any of our current or future therapeutic candidates may be harmed, which could harm our business, financial condition, results of operations and prospects.
If we do not achieve our projected development goals in the time frames we announce or expect, the development of our therapeutic candidates may be delayed and, as a result, our stock price may decline.
From time to time, we estimate the timing of the anticipated accomplishment of various scientific, clinical, regulatory and other therapeutic development goals, which we sometimes refer to as milestones. These milestones may include the commencement or completion of preclinical studies and clinical trials and the submission of regulatory filings. From time to time, we may publicly announce the expected timing of some of these milestones. All of these milestones are and will be based on numerous assumptions, estimates, calculations, conclusions, or analyses. The actual timing of these milestones can vary dramatically compared to our assumptions and estimates, in some cases for reasons beyond our control. If we do not meet these milestones as publicly announced, or at all, the commercialization of our therapeutics may be delayed or never achieved, which could harm our business, financial condition, results of operations and prospects and may cause our stock price to decline.
Risks related to our reliance on third parties
Our Compass platform relies on access to high quality data repositories with paired genetic and clinical data and loss of such access, or the inability to use such data, could have a material adverse effect on our business, financial condition, results of operations and prospects.
We rely on non-exclusive access to third-party data sources of genetic and paired clinical data for our Compass platform, including, among others, the University of Helsinki, Queen Mary University, the UK Biobank, Biobank Japan and the Million Veteran Program, as well as specialized databases such as the Chronic Renal Insufficiency Cohort which is managed by the National Institute for Diabetic, Digestive and Kidney Diseases and other genetic data sets we have acquired or may acquire access to in the future. Our ability to access data from these and similar sources is vital to all phases of our Compass platform, including target identification and variant functionalization.
For the most part, we do not control the quantity or type of data that is stored in genetic data repositories, and we may only have access to summary level or aggregate data. Some institutions only provide access to their data for limited purposes, or will require us to make results publicly available. We cannot guarantee that our access to any particular source of genetic or paired clinical data will be available in the future, or that the data that is available will meet the needs of our business strategy or our Compass platform.
We pay substantial membership fees to access certain genetic data repositories. Our memberships provide us with certain preferred access to non-public data, as well as some oversight of the biobanks through membership in the steering committees for these organizations. Most of the other members of these consortiums are larger and better resourced than we are. Any termination of our arrangements with these organizations would require us to rely more heavily on less well-developed resources or require us to invest in finding alternative, and potentially more costly, genetic data resources, if such resources are available at all, and could delay or impair our research and development efforts.
Furthermore, while any loss of access to these or similar genetic data repositories may not directly impact the development of our lead programs, we cannot predict the effects such loss could have on our preclinical and clinical studies and development efforts and our ability to discover and develop additional therapeutic candidates, or optimize our future clinical trials.
While we have not identified any licenses that are required to conduct our genomics work to date, we may in the future identify a third-party technology we need to license to expand or continue to operate our Compass platform. For example, certain aspects of our Compass platform make use of CRISPR Cas9 technology at the early research stages, and while the patent coverage of such technology remains uncertain, certain institutions that have rights in CRISPR Cas9 patents have sought and may in the future seek to obtain license fees from biotechnology companies like ours. If we were unable to license or otherwise obtain access to such technology on reasonable terms or at all, and we were required to cease operation of our Compass platform, it would have a material adverse effect on our business, results of operations, financial condition and prospects.
53
We have entered, and may in the future enter, into strategic collaborations, transactions and licensing partnerships for research, development or commercialization of our programs, including our first therapeutic candidate MZE001, and we may not be able to realize the full value of these partnerships or our partnered programs.
Our Compass platform has identified, and may identify in the future, genetic targets and therapeutic candidates outside of our core area of focus in CVRM diseases. Our business strategy includes seeking strategic collaborations to advance these targets. For example, in 2024, we granted exclusive licenses to advance two programs related to targets we were pursuing in amyotrophic lateral sclerosis, or ALS— ATXN2 and UNC13A—to other biotechnology companies, as well as an exclusive license with a pharmaceutical partner, Shionogi & Co., Ltd., or Shionogi, to advance our first clinical stage therapeutic candidate, MZE001.
We may face significant competition in seeking appropriate strategic partners, and negotiating partnership or collaboration terms that are favorable to us, and the negotiation process may be time-consuming and complex. Moreover, we may not be successful in our efforts to establish a strategic partnership or other alternative arrangements for our programs and therapeutic candidates because they may be deemed to be at too early of a stage of development for collaborative effort and third parties may not view our therapeutic candidates as having the requisite potential to obtain marketing approval. Certain kinds of strategic transactions, including exclusive licenses, may be subject to potential government review, including by antitrust agencies such as the U.S. Federal Trade Commission, or FTC, which can add substantially to the time and expense of completing a transaction. For example, in 2023, the FTC conducted an investigation of our proposed exclusive license of the MZE001 program to Genzyme Corporation, a subsidiary of Sanofi, and ultimately filed an action to enjoin the transaction based upon allegations that the Genzyme license would substantially lessen competition among pharmaceutical treatments for Pompe disease. If we are unable to license or collaborate on our programs, we may have to curtail the development of the therapeutic candidate for which we are seeking a partner, reduce or delay its development program or one or more of our other development programs, increase our expenditures and undertake development activities at our own expense, or accept terms that are for a lower value than we believe the asset is worth.
In our arrangements with third parties, we have limited control over the amount and timing of resources that our partners dedicate to the development or commercialization of our therapeutic candidates. Our ability to generate revenues from these arrangements will depend on our partners’ abilities and efforts to successfully perform the functions assigned to them in these arrangements to meet regulatory and development milestones, and if a product is approved, to commercialize it.
Partnerships involving development and commercialization of our therapeutic candidates, including our existing exclusive license to Shionogi, pose numerous risks to us, including the following:
54
Failure to recognize the benefit of strategic collaborations or partnerships we have entered or may enter in the future could adversely affect our business, financial condition, results of operations and prospects.
We face risks associated with new companies we may create, such as joint ventures and spin-outs.
Part of our business model includes creating business partnerships and new corporate entities to develop and potentially commercialize therapeutic targets identified through our Compass platform that are outside of our core area of expertise. For example, in 2020, we formed a spin-out company with Alloy Therapeutics, Inc., or Alloy, to develop antibody therapies for ANGPTL7 and another undisclosed target in ophthalmic diseases. Going forward, we may create or acquire interests in more joint venture enterprises, spin-outs, and other entities to execute our business strategy. These business collaborations involve risks that our partners may:
We will not be able to fully control all aspects of the operations of these partnerships or entities, and we may not have full visibility or control over the operations of these enterprises, including their business decisions, compliance practices or their filing, maintenance, protection and enforcement of intellectual property rights, among others. For example, although we have certain opt-in rights to jointly develop and commercialize certain therapeutic candidates developed through our spin-out company with Alloy, we do not have the power to control the operations of Alloy, which owns the applicable programs and therapeutic candidates and the associated intellectual property rights. In addition, if these entities seek further financing, we may be required to contribute additional cash to maintain our equity stake in these entities or our equity stake may be diluted and our investment impaired.
Our present partnerships or spin outs may not be successful. We may have disputes or encounter other problems with respect to our present or future partners, and our agreements may not be effective or enforceable in resolving these disputes. We may not be able to resolve such disputes and solve such problems in a timely manner or on favorable economic terms, or at all. Any failure by us to address these potential disputes or conflicts of interest effectively could have a material adverse effect on our business, prospects, financial condition, results of operations or cash flows.
We rely on third parties to conduct current and future clinical trials, and those third parties may not perform satisfactorily or at all, including failing to meet deadlines for completing such trials, failing to satisfy legal or regulatory requirements or terminating the relationship.
We rely, and expect to continue to rely, on third-party CROs to conduct any current and future clinical trials for our therapeutic candidates. We currently do not plan to conduct any clinical trials independently. Agreements with these CROs might terminate for a variety of reasons, including for their failure to perform. Entry into alternative arrangements, if necessary, could significantly delay our product development activities.
Our reliance on these CROs for research and development activities will reduce our control over these activities but will not relieve us of our responsibilities. For example, we will remain responsible for ensuring that each of our clinical trials is conducted in accordance with the general investigational plan and protocols in the applicable IND. Moreover, the FDA requires compliance with standards, commonly referred to as good clinical practices for conducting, recording and reporting the results of clinical trials to assure that data and reported results are credible and accurate and that the rights, integrity and confidentiality of trial participants are protected, and we will be responsible for ensuring our clinical trials are conducted in compliance with applicable laws and regulation, including good clinical practices.
55
If these CROs do not successfully carry out their contractual duties, meet expected deadlines or conduct the clinical trials in accordance with regulatory requirements or our stated protocols, we will not be able to obtain, or may be delayed in obtaining, marketing approvals for our therapeutic candidates and will not be able to, or may be delayed in our efforts to, successfully commercialize our therapeutic candidates, which may adversely affect our business, financial condition, results of operations and prospects.
We rely on third parties to manufacture our clinical product supplies and therapeutic candidates and we may not be able to obtain adequate supplies at a reasonable cost or in a timely way.
The process of manufacturing pharmaceutical products is complex and highly regulated. We do not have any manufacturing facilities or plans to establish manufacturing capabilities in the near future. We rely, and expect to continue to rely, on third parties, including foreign manufacturers, for the manufacture of our therapeutic candidates for preclinical and clinical testing, development purposes, to support regulatory application submissions, as well as for commercial manufacture if any of our therapeutic candidates obtain marketing approval. This reliance on third parties increases the risk that we will not have sufficient quantities of our therapeutic candidates or such quantities at an acceptable cost or quality, which could delay, prevent or impair our development or commercialization efforts. In addition, global health crises or geopolitical conflict may result in disruptions to the operations or an extended shutdown of certain businesses, which could include certain of our contract manufacturers. Further, as our therapeutic candidates are developed through preclinical studies to late-stage clinical trials towards approval and commercialization, we are likely to alter various aspects of the development program, such as manufacturing methods, to optimize processes and results, which may result in additional cost or delay.
We have only limited supply arrangements in place with respect to our therapeutic candidates, and these arrangements do not extend to Phase 3 clinical or commercial supply. We acquire many key materials on a purchase order basis. As a result, we may not have long-term committed arrangements with respect to aspects of our therapeutic candidates and other materials. We will need to establish one or more agreements with third parties to develop and scale up the drug manufacturing process, conduct testing, and generate data to support a regulatory submission, and may be unable to do so on favorable terms. If we obtain marketing approval for any of our therapeutic candidates, we will need to establish an agreement for commercial manufacture with a third party.
Even if we are able to establish agreements with third-party manufacturers, reliance on third-party manufacturers entails additional risks, including, but not limited to:
Third-party manufacturers may not be able to comply with current good manufacturing practice, or cGMP, regulations or similar regulatory requirements outside of the United States. If the FDA determines that our contract manufacturing organizations, or CMOs, are not in compliance with FDA laws and regulations, including those governing cGMPs, the FDA may not approve an NDA until the deficiencies are corrected or we replace the manufacturer in our application with a manufacturer that is in compliance. Moreover, our failure, or the failure of our third-party manufacturers and suppliers, to comply with applicable regulations could result in sanctions being imposed on us, including clinical holds, fines, injunctions, civil penalties, seizures or recalls of therapeutic candidates, operating restrictions and criminal prosecutions, any of which could significantly and adversely affect supplies of our products. In addition, approved products and the facilities at which they are manufactured are required to maintain ongoing compliance with extensive FDA requirements and the requirements of other similar agencies, including ensuring that quality control and manufacturing procedures conform to cGMP requirements. As such, our CMOs are subject to continual review and periodic inspections to assess compliance with cGMPs. Furthermore, although we do not have day-to-day control over the operations of our CMOs, we are responsible for ensuring compliance with applicable laws and regulations, including cGMPs.
56
Further, we rely on third parties located in China for some of our contract manufacturing, and we expect to continue to use such third-party manufacturers for such purposes. For any activities conducted in China, we are exposed to the possibility of product supply disruption and increased costs in the event of changes in the policies of the United States or Chinese governments, political unrest or unstable economic conditions in China. In addition, certain Chinese biotechnology companies may become subject to trade restrictions, sanctions, other regulatory requirements, or proposed legislation by the U.S. government, which could restrict or even prohibit our ability to work with such entities, thereby potentially disrupting the supply of material to us. For example, the BIOSECURE Act that was passed by the U.S. House of Representatives, as well as a substantially similar bill proposed in the U.S. Senate, target U.S. government contracts, grants and loans for entities that use equipment and services from certain named Chinese biotechnology companies. Given the current uncertain political and legislative environment, it is unclear what form the BIOSECURE Act will take and whether or when it will be enacted into law. If enacted as passed by the House of Representatives, the BIOSECURE Act would, among other things, prohibit U.S. federal agencies from entering into or renewing any contract with any entity that uses biotechnology equipment or services produced or provided by a “biotechnology company of concern” to perform that contract. The BIOSECURE Act defines a “biotechnology company of concern” to include WuXi Apptec and its affiliates, collectively, WuXi, and provides that additional companies may be designated as “biotechnology companies of concern.” The version of the bill passed by the House of Representatives includes a “grandfathering” provision that provides that the BIOSECURE Act’s prohibitions will not apply to pre-existing contracts and agreements entered into prior to the legislation’s effective date until 2032. We are currently parties to agreements with WuXi, pursuant to which WuXi provides development and manufacturing services to us. If these bills become law, or similar laws are passed, we may be restricted in our ability to work with WuXi and other Chinese biotechnology manufacturing companies to the extent we would contract with, or otherwise receive funding from, the U.S. government. As a result, we may need to seek alternative CMO relationships, but we expect that the grandfathering provision will provide adequate time to identify and execute agreements with alternative CMOs. While we believe we will be able to identify and contract with such alternative CMOs, we cannot predict the terms of any such alternative arrangement nor what actions may ultimately be taken with respect to trade relations between the United States and China or other countries, what products and services may be subject to such actions or what actions may be taken by China or the other countries in retaliation. In addition to the BIOSECURE ACT, any unfavorable government policies on international trade, such as export controls, capital controls or tariffs, new legislation or regulations, renegotiation of existing trade agreements, or any retaliatory trade actions due to recent or future trade tension, may impede, delay, limit, or increase the cost of manufacturing our therapeutic candidates. Such events could result in our clinical or commercial supply of drug, packaging and other services being interrupted or limited, which could harm our business.
In addition, our third-party manufacturers and suppliers are subject to numerous environmental, health and safety laws and regulations, including those governing the handling, use, storage, treatment and disposal of waste products, and failure to comply with such laws and regulations could result in significant costs associated with civil or criminal fines and penalties for such third parties. Based on the severity of regulatory actions that may be brought against these third parties in the future, our clinical or commercial supply of drug and packaging and other services could be interrupted or limited, which could harm our business.
Any performance failure on the part of our existing or future manufacturers could delay clinical development or marketing approval. We do not currently have arrangements in place for redundant supply or a second source for bulk drug substance. If our current CMOs for preclinical and clinical testing cannot perform as agreed, we may be required to replace such CMOs. Although we believe that there are several potential alternative manufacturers who could manufacture our therapeutic candidates, we may incur added costs and delays in identifying and qualifying any such replacement manufacturer or be able to reach agreement with any alternative manufacturer. Further, our third-party manufacturers may experience manufacturing or shipping difficulties due to resource constraints or as a result of natural disasters, labor disputes, unstable political environments, or global health crises. If our current third-party manufacturers cannot perform as agreed, we may be required to replace such manufacturers and we may be unable to replace them on a timely basis or at all.
Our current and anticipated future dependence upon others for the manufacture of our therapeutic candidates may adversely affect our future profit margins and our ability to commercialize any products that obtain marketing approval on a timely and competitive basis.
57
Our reliance on third parties requires us to share certain of our trade secrets, which increases the possibility that a competitor or other third party will discover them or that our trade secrets will be misappropriated or disclosed.
Our reliance on third parties may require us to share certain of our proprietary technology and confidential information, including trade secrets, with them. We seek to protect our proprietary technology, in part, by entering into confidentiality agreements, and, if applicable, material transfer agreements, collaborative research agreements, consulting agreements or other similar agreements with our partners, advisors, employees and consultants prior to beginning research or disclosing proprietary information. These agreements typically limit the rights of the third parties to use or disclose our confidential information, including our trade secrets. Despite the contractual provisions employed when working with third parties, the need to share trade secrets and other confidential information increases the risk that such trade secrets become known by our competitors or other third parties, are intentionally or inadvertently incorporated into the technology of others or are disclosed or used in violation of these agreements. Given that our proprietary position is based, in part, on our know-how and trade secrets and despite our efforts to protect our trade secrets, a competitor’s or other third party’s discovery of our proprietary technology and confidential information or other unauthorized use or disclosure of such technology or information would impair our competitive position and may have a material adverse effect on our business, financial condition, results of operations and prospects.
Risks related to government regulation
The FDA regulatory approval process is lengthy and time-consuming.
The research, testing, manufacturing, labeling, approval, selling, import, export, marketing and distribution of our therapeutic candidates are subject to extensive regulation by the FDA and other regulatory authorities in the United States. Our current lead programs, MZE829 and MZE782, are both small molecules and will be regulated as drugs. We are not permitted to market any drug in the United States until we receive approval of the respective NDA. We have not previously submitted an NDA to the FDA or made similar submissions to comparable foreign regulatory agencies. An NDA must include extensive preclinical and clinical data and supporting information to establish the therapeutic candidate’s safety and effectiveness for each desired indication, which takes many years to collect through clinical and preclinical testing of the therapeutic candidate and is subject to a high failure rate. Further, the NDA must also include significant information regarding the chemistry, manufacturing, and controls for the product, including storage and handling of the product. The manufacturing facility is also required to maintain a compliance status acceptable to the FDA. In addition, even if such clinical trials are successfully completed, we cannot guarantee that the FDA or comparable foreign regulatory agencies will interpret the results as we do, and more trials could be required before we submit an NDA, or other foreign marketing application. Further, the FDA may call an advisory committee meeting to discuss the product and its intended use, as well as scientific and regulatory issues related to the product and the NDA, which may further delay approval of our therapeutic candidates or lead to restrictions on their intended use.
We, as a company, have limited experience in submitting INDs in the United States and we do not have experience in obtaining regulatory approval to initiate clinical trials in any other jurisdiction. Nor do we have experience in manufacturing or in quality assurance in order to market our therapeutic candidates in the United States or in any other jurisdiction.
We have limited experience in submitting INDs in the United States and we do not have experience in obtaining regulatory approval to initiate clinical trials in any other jurisdiction. Nor do we have experience in manufacturing or in quality assurance in order to market a drug and we expect to rely on third-party CROs, CMOs or other third-party consultants or vendors to assist us in this process. Our inexperience may result in failure or delay in obtaining permission to initiate clinical trials or in obtaining marketing approval for our therapeutic candidates. If we are unable to obtain regulatory and marketing approval for our therapeutic candidates, or experience significant delays in our efforts to do so, our business could be substantially harmed.
Our failure to obtain marketing approval in foreign jurisdictions would prevent our therapeutic candidates from being marketed abroad, and any approval we are granted for our therapeutic candidates in the United States would not assure approval of therapeutic candidates in foreign jurisdictions.
In order to market and sell our products in any jurisdiction outside the United States, we must obtain separate marketing approvals and comply with numerous and varying regulatory requirements. The approval procedure varies among countries and can involve additional testing. The time required to obtain approval may differ substantially from that required to obtain FDA approval. The regulatory approval process outside the United States generally includes all of the risks associated with obtaining FDA approval. In addition, in many countries outside the United States, it is required that the product be approved for reimbursement before such product can be approved for sale in that country. We may not obtain approvals from regulatory authorities outside the United States on a timely basis, if at all. Approval by the FDA does not ensure approval by regulatory authorities in other countries or jurisdictions, and approval by one regulatory authority outside the United States does not ensure approval by regulatory authorities in other countries or jurisdictions or by the FDA. We may not be able to submit for marketing approvals and may not receive necessary approvals to commercialize our products in any market.
58
If we decide to pursue a fast track designation by the FDA, it may not lead to a faster development or regulatory review or approval process.
Some of our therapeutic candidates may be intended to treat serious or life-threatening conditions and may demonstrate the potential to address an unmet medical need for such conditions, and as such they would be eligible for expedited processes within the FDA such as fast track designation. The FDA has broad discretion whether or not to grant such designation, so even if we believe a particular therapeutic candidate is eligible for this designation, we cannot guarantee that the FDA would decide to grant it. Even if we do receive fast track designation, we may not experience a faster development process, review or approval. The FDA may withdraw Fast Track designation if it believes that the designation is no longer supported by data from our clinical development program.
If we decide to pursue accelerated approval for any of our therapeutic candidates, it may not lead to a faster regulatory review or approval process and does not increase the likelihood that our therapeutic candidates will receive marketing approval.
As part of our business strategy, we may pursue accelerated approval for one or more of our therapeutic candidates. Under the FDA’s accelerated approval program, the FDA may approve a drug for a serious or life-threatening illness that provides meaningful product benefit to patients over existing treatments based upon a surrogate endpoint that is reasonably likely to predict clinical benefit, or on a clinical endpoint that can be measured earlier than irreversible morbidity or mortality, that is reasonably likely to predict an effect on irreversible morbidity or mortality or other clinical benefit, taking into account the severity, rarity, or prevalence of the condition and the availability or lack of alternative treatments. We may seek accelerated approval for one or more of our therapeutic candidates on the basis of a surrogate endpoint that we believe is reasonably likely to predict clinical benefit.
If any of our therapeutic candidates receive accelerated approval from the FDA, we will be required to undergo one or more confirmatory clinical trials. If such a therapeutic candidate fails to meet its safety and efficacy endpoints in such confirmatory clinical trials, the FDA may withdraw the accelerated approval.
Recently, the accelerated approval pathway has come under scrutiny within the FDA and by Congress. The FDA has put increased focus on ensuring that confirmatory studies are conducted with diligence and, ultimately, that such studies confirm clinical benefit. In addition, the enactment of the Food and Drug Omnibus Reform Act, or FDORA, included provisions related to the accelerated approval pathway. Pursuant to FDORA, the FDA is authorized to require a post-approval study to be underway prior to approval or within a specified time period following approval. FDORA also requires the FDA to specify conditions of any required post-approval study and requires sponsors to submit progress reports for required post-approval studies and any conditions required by the FDA. FDORA enables the FDA to initiate enforcement action for the failure to conduct with due diligence a required post-approval study, including a failure to meet any required conditions specified by the FDA or to submit timely reports.
There is no assurance that any therapeutic candidate will successfully advance through its confirmatory clinical trial(s). Therefore, even if a therapeutic candidate receives accelerated approval from the FDA, such approval may be withdrawn at a later date.
Even if we, or any of our partners, obtain marketing approval for our therapeutic candidates, the terms of approvals, ongoing regulation of our product, including enforcement of post-marketing requirements by regulatory agencies or other post-approval restrictions, may require the expenditure of substantial resources, which could materially impair our ability to generate revenue. If we, or any of our partners or manufacturers, fail to comply with all regulatory requirements or experience unanticipated problems with our products, when and if any of them are approved, we could be subject to substantial penalties, including withdrawal of our product from the market.
Any therapeutic candidate for which we, or any partners obtain marketing approval, as well as the manufacturing processes, post-approval clinical data, labeling, advertising and promotional activities for such product, will be subject to continual requirements of and review by the FDA and other regulatory authorities. These requirements include, but are not limited to, restrictions governing promotion of an approved product, submissions of safety and other post-marketing information and reports, registration and listing requirements, cGMP requirements relating to manufacturing, quality control, quality assurance and corresponding maintenance of records and documents, and requirements regarding drug distribution and the distribution of samples to physicians and recordkeeping.
For instance, even if marketing approval of a product is granted, the FDA may impose requirements for costly post-marketing studies or clinical trials and surveillance to monitor the safety or efficacy of a product, including the adoption and implementation of a REMS.
59
We, or any of our partners, must also comply with requirements concerning advertising and promotion for any of our therapeutic candidates for which we or they obtain marketing approval. Promotional communications with respect to prescription drugs are subject to a variety of legal and regulatory restrictions and must be consistent with the information in the therapeutic candidate’s approved labeling. Thus, we, and any partners, will not be able to promote any products we develop for indications or uses for which they are not approved.
In addition, manufacturers of approved products and those manufacturers’ facilities are required to ensure that quality control and manufacturing procedures conform to cGMPs, which include requirements relating to quality control and quality assurance as well as the corresponding maintenance of records and documentation and reporting requirements. We, our third-party manufacturers, and any partners and their third-party manufacturers, and our CMOs would be subject to periodic unannounced inspections by the FDA to monitor and ensure compliance with cGMPs.
Accordingly, assuming we, or any partners, obtain marketing approval for one or more of our therapeutic candidates, we, any partners and our CMOs will continue to expend time, money and effort in all areas of regulatory compliance, including manufacturing, production, product surveillance and quality control. If we are not able to comply with post-approval regulatory requirements, we could have the marketing approvals for our products withdrawn by regulatory authorities and our ability to market any future products could be limited, which could adversely affect our ability to achieve or sustain profitability. As a result, the cost of compliance with post-approval regulations may have a negative effect on our operating results and financial condition.
The FDA as well as other federal and state agencies, including the U.S. Department of Justice, enforce and closely regulate compliance with all requirements governing drug products, including those requirements pertaining to marketing and promotion of drugs in accordance with the provisions of the approved labeling and manufacturing of products in accordance with cGMP requirements. For example, the FDA and other agencies actively enforce the laws and regulations prohibiting the promotion of off-label uses, and a company that is found to have improperly promoted off-label uses may be subject to significant liability. Violations of such requirements may lead to investigations alleging violations of the Federal Food, Drug, and Cosmetic Act and other statutes, including the False Claims Act and other federal and state healthcare fraud and abuse laws as well as state consumer protection laws. Our failure to comply with all regulatory requirements, and later discovery of previously unknown adverse events or other problems with our products, manufacturers or manufacturing processes, may yield various results, including:
Non-compliance by us or any future partner with regulatory requirements, including safety monitoring or pharmacovigilance, and with requirements related to the development of our products can also result in significant financial penalties.
60
If generic versions of our small molecule therapeutic candidates are approved, our revenue and results of operations would be adversely affected.
The Drug Price Competition and Patent Term Restoration Act of 1984, commonly known as the Hatch-Waxman Amendments, permits the FDA to approve abbreviated NDAs, or ANDAs, for generic versions of small molecule branded drugs. We refer to this process as the ANDA process. The ANDA process permits a competitor to obtain marketing approval for a drug with the same active ingredient as a branded drug but does not generally require the conduct and submission of clinical efficacy studies for the generic product. In place of such clinical studies, an ANDA applicant usually needs only to submit data demonstrating that its product is bioequivalent to the branded product. The Hatch-Waxman Amendments require an ANDA applicant seeking FDA approval of its proposed generic product prior to the expiration of any patents we may list in the FDA’s Approved Drug Products with Therapeutic Equivalence Evaluations (commonly known as the Orange Book) to certify that the applicant believes that our patents are invalid or will not be infringed by the manufacture, use or sale of the drug for which the application has been submitted (a Paragraph IV certification) and notify us of such certification (a Paragraph IV notice).
Pursuant to the Hatch-Waxman Amendments, with regard to a drug that has received five years of marketing exclusivity as a result of being a new chemical entity, or NCE, FDA cannot receive any ANDA seeking approval of a generic version of that drug during the five-year period of exclusivity unless the application contains a Paragraph IV certification, in which case the application may be submitted one year prior to expiration of the NCE exclusivity. Accordingly, potential competitors will be permitted to submit ANDA applications for proposed generic versions of any small molecule products for which we obtain approval four or five years from the date of such approval was granted.
Upon receipt of a Paragraph IV notice, the Hatch-Waxman Amendments allow us, with proper basis, to bring an action for patent infringement against the ANDA filer, asking that the proposed generic product not be approved until after our patents expire. If we commence a lawsuit within 45 days from receipt of the paragraph IV notice, the Hatch-Waxman Amendments provide a 30-month stay, during which time the FDA cannot finally approve the ANDA application. If the litigation is resolved in favor of the ANDA applicant during the 30-month stay period, the stay will be lifted and the FDA may approve the ANDA if it is otherwise ready for approval. The discovery, trial and appeals process in such a lawsuit is costly, time consuming, and may result in generic competition if the ANDA applicant prevails.
Our current and future relationships with customers and third-party payors may be subject to applicable anti-kickback, fraud and abuse, transparency, health privacy, and other healthcare laws and regulations, which could expose us to significant penalties, including criminal, civil, and administrative penalties, contractual damages, reputational harm and diminished profits and future earnings.
Healthcare providers, including physicians, and third-party payors will play a primary role in the recommendation and prescription of any therapeutic candidates for which we obtain marketing approval. Our current and future arrangements with such healthcare providers, third-party payors and customers may expose us to broadly applicable fraud and abuse and other healthcare laws and regulations that may constrain the business or financial arrangements and relationships through which we research, as well as, market, sell and distribute any products for which we obtain marketing approval. Restrictions under applicable federal and state healthcare laws and regulations that may be applicable to our business include the following:
61
Efforts to ensure that our business arrangements with third parties will comply with applicable healthcare laws and regulations will involve substantial costs. It is possible that governmental authorities will conclude that our business practices may not comply with current or future statutes, regulations or case law involving applicable fraud and abuse or other healthcare laws and regulations. If our operations are found to be in violation of any of these laws or any other governmental regulations that may apply to us, we may be subject to significant civil, criminal and administrative penalties, damages, fines, disgorgement, imprisonment, exclusion from government funded healthcare programs, such as Medicare and Medicaid and other federal healthcare programs, contractual damages, reputational harm, diminished profits and future earnings, additional integrity reporting and oversight obligations, and the curtailment or restructuring of our operations, any of which could adversely affect our ability to operate our business and our results of operations. If any of the physicians or other healthcare providers or entities with whom we expect to do business is found to be not in compliance with applicable laws, they may be subject to significant criminal, civil and administrative sanctions, including exclusions from government funded healthcare programs, which could have a material adverse effect on our business, results of operations, financial condition and prospects.
Recently enacted and future legislation may increase the difficulty and cost for us to obtain marketing approval of and commercialize our therapeutic candidates and may affect pricing and third-party payment for our therapeutic candidates and decrease the prices we may obtain.
In the United States and some foreign jurisdictions, there have been a number of legislative and regulatory changes and proposed changes regarding the healthcare system that could, among other things, prevent or delay marketing approval of our therapeutic candidates, restrict or regulate post-approval activities and affect pricing and third-party payment for our therapeutic candidates, which could negatively affect our ability to profitably sell any therapeutic candidates for which we obtain marketing approval.
Legislative and regulatory proposals have been made to expand post-approval requirements and restrict sales and promotional activities for pharmaceutical products. We cannot be sure whether additional legislative changes will be enacted, or whether the FDA regulations, guidance or interpretations will be changed, or what the impact of such changes on the marketing approvals of our therapeutic candidates, if any, may be. In addition, increased scrutiny by the U.S. Congress of the FDA’s approval process may significantly delay or prevent marketing approval, as well as subject us to more stringent product labeling and post-marketing testing and other requirements.
In addition, there has been heightened governmental scrutiny recently over the manner in which drug manufacturers set prices for their marketed products, which has resulted in several Congressional inquiries and proposed and enacted federal and state legislation designed to, among other things, bring more transparency to product pricing, review the relationship between pricing and manufacturer patient programs, and reform government program reimbursement methodologies for drug products.
62
Several healthcare reform initiatives culminated in the enactment of the Inflation Reduction Act in August 2022, which allows, among other things, the Department of Health and Human Services, or HHS, to negotiate the selling price of a statutorily specified number of drugs and biologics each year that the Centers for Medicare & Medicaid Services, or CMS, reimburses under Medicare Part B and Part D. The negotiated price may not exceed a statutory ceiling price. Only high-expenditure single-source drugs that have been approved for at least 7 years (11 years for single-source biologics) can qualify for negotiation, with the negotiated price taking effect two years after the selection year. For 2026, the first year in which negotiated prices become effective, CMS selected 10 high-cost Medicare Part D drugs in 2023, negotiations began in 2024, and the negotiated maximum fair price for each drug has been announced. CMS has selected 15 additional Medicare Part D drugs for negotiated maximum fair pricing in 2027. For 2028, up to an additional 15 drugs, which may be covered under either Medicare Part B or Part D, will be selected, and for 2029 and subsequent years, up to 20 additional Part B or Part D drugs will be selected. A drug or biological product that has an orphan drug designation for only one rare disease or condition will be excluded from the Inflation Reduction Act’s price negotiation requirements, but loses that exclusion if it has designations for more than one rare disease or condition, or if is approved for an indication that is not within that single designated rare disease or condition, unless such additional designation or such disqualifying approvals are withdrawn by the time CMS evaluates the drug for selection for negotiation. The Inflation Reduction Act also imposes rebates on Medicare Part B and Part D drugs whose prices have increased at a rate greater than the rate of inflation. In addition, the law eliminates the “donut hole” under Medicare Part D beginning in 2025 by significantly lowering the beneficiary maximum out-of-pocket cost and establishing a new manufacturer discount program, which requires manufacturers, in order for their drugs to be covered by Medicare Part D, to provide statutorily defined discounts on their brand (NDA) drugs dispensed to Part D enrollees. The Inflation Reduction Act also extends enhanced subsidies for individuals purchasing health insurance coverage in ACA marketplaces through plan year 2025. The Inflation Reduction Act permits the Secretary of HHS to implement many of these provisions through guidance, as opposed to regulation, for the initial years. Manufacturers that fail to comply with the Inflation Reduction Act may be subject to various penalties, some significant, including civil monetary penalties. These provisions are taking effect progressively starting in 2023, although they may be subject to legal challenges. For example, the provisions related to the negotiation of selling prices of high-expenditure single-source drugs and biologics have been challenged in multiple lawsuits. Thus, it is unclear how the Inflation Reduction Act will be implemented but it will likely have a significant impact on the pharmaceutical industry and the pricing of our products and therapeutic candidates. The adoption of restrictive price controls in new jurisdictions, more restrictive controls in existing jurisdictions or the failure to obtain or maintain timely or adequate pricing could also adversely impact revenue. We expect pricing pressures will continue globally.
In addition, at the state level, individual states have increasingly passed legislation and implemented regulations designed to control pharmaceutical and biological product pricing, including price or patient reimbursement constraints, discounts, restrictions on certain product access and marketing cost disclosure and transparency measures, and, in some cases, designed to encourage importation from other countries and bulk purchasing.
We expect that additional state and federal healthcare reform measures may be adopted in the future. Such reform measures may result in more rigorous coverage criteria and in additional downward pressure on the price that we receive for any approved product. The implementation of cost containment measures or other healthcare reforms may prevent us from being able to generate revenue, attain profitability, or commercialize our products.
Legislative and regulatory proposals have been made to expand post-approval requirements and restrict sales and promotional activities for pharmaceutical products. We cannot be sure whether additional legislative changes will be enacted, or whether the FDA regulations, guidance or interpretations will be changed, or what the impact of such changes on the marketing approvals of our therapeutic candidates, if any, may be. In addition, increased scrutiny by the U.S. Congress of the FDA’s approval process may significantly delay or prevent marketing approval, as well as subject us to more stringent product labeling and post-marketing testing and other requirements.
Disruptions at the FDA and other government agencies caused by funding shortages or global health concerns could hinder their ability to hire, retain, or deploy key leadership and other personnel, or otherwise prevent new or modified products from being developed, approved, or commercialized in a timely manner or at all, which could negatively impact our business.
The ability of the FDA to review and approve new products can be affected by a variety of factors, including government budget and funding levels, statutory, regulatory, and policy changes, the FDA’s ability to hire and retain key personnel and accept the payment of user fees, and other events that may otherwise affect the FDA’s ability to perform routine functions. In addition, government funding of other government agencies that fund research and development activities is subject to the political process, which is inherently fluid and unpredictable. Disruptions at the FDA and other agencies may also slow the time necessary for new therapeutic candidates to be reviewed and/or approved by necessary government agencies, which may adversely affect our business, financial condition, results of operations and prospects. For example, over the last several years, the U.S. government has shut down several times and certain regulatory agencies, such as the FDA, have had to furlough critical FDA employees and stop critical activities.
63
Our research and development activities could be affected or delayed as a result of possible restrictions on animal testing.
Certain laws and regulations require us to test our therapeutic candidates on animals before initiating clinical trials involving humans. Animal testing activities have been the subject of controversy and adverse publicity. Animal rights groups and other organizations and individuals have attempted to stop animal testing activities by pressing for legislation and regulation in these areas and by disrupting these activities through protests and other means. To the extent the activities of these groups are successful, our research and development activities may be interrupted, delayed, or become more expensive.
Even if we are able to commercialize a drug candidate, coverage and adequate reimbursement may not be available or such drug candidate may become subject to unfavorable pricing regulations or third-party coverage and reimbursement policies, which would harm our business.
The regulations that govern regulatory approvals, pricing, and reimbursement for drug products vary widely from country to country. Some countries require approval of the sale price of a drug product before it can be marketed or may require us or our partners to conduct clinical trials that compare the cost-effectiveness of our therapeutic candidates to other therapies to obtain reimbursement or pricing approval. In many countries, the pricing review period begins after regulatory approval is granted. In some foreign markets, prescription drug product pricing remains subject to continuing governmental control even after initial approval is granted. As a result, we might obtain regulatory approval for a drug in a particular country, but then be subject to price regulations that delay our commercial launch of the drug, possibly for lengthy time periods, and negatively impact the revenue we are able to generate from the sale of the drug in that country. If reimbursement of our products is unavailable or limited in scope or amount, or if pricing is set at unsatisfactory levels, our business could be harmed. Political, economic and regulatory developments may further complicate pricing negotiations, and pricing negotiations may continue after reimbursement has been obtained. Reference pricing used by various EU member states, and parallel trade, such as arbitrage between low-priced and high-priced member states, can further reduce prices. There can be no assurance that any country that has price controls or reimbursement limitations for pharmaceutical products will allow favorable reimbursement and pricing arrangements for any of our products, if approved in those countries. Adverse pricing limitations may hinder our ability to recoup our investment in one or more therapeutic candidates, even if any of our current or future therapeutic candidates obtain regulatory approval.
Our ability to commercialize any drugs successfully also will depend in part on the extent to which coverage and adequate reimbursement for these drugs and related treatments will be available from third-party payors, such as government authorities, private health insurers, and other organizations. Even if we succeed in bringing one or more drugs to market, these drugs may not be considered cost-effective, and the amount reimbursed for any drugs may be insufficient to allow us to sell our drugs on a competitive basis. Moreover, in the United States, no uniform policy requirement for coverage and reimbursement for drugs exists among third-party payors, which may result in significant variations in coverage and reimbursement from payor to payor. Even if favorable coverage and reimbursement status is attained for one or more drug products for which we receive regulatory approval, less favorable coverage policies and reimbursement rates may be implemented in the future. If the price we are able to charge for any drugs we develop, or the coverage and reimbursement provided for such drugs, is inadequate in light of our development and other costs, our return on investment could be affected adversely.
Laws and regulations governing any international operations we may have in the future may preclude us from developing, manufacturing and selling certain therapeutic candidates outside of the United States and require us to develop and implement costly compliance programs.
If we expand our operations outside of the United States, we must dedicate additional resources to comply with numerous laws and regulations in each jurisdiction in which we plan to operate. The Foreign Corrupt Practices Act, or FCPA, prohibits any U.S. individual or business from paying, offering, authorizing payment or offering anything of value, directly or indirectly, to any foreign official, political party or candidate for the purpose of influencing any act or decision of such third party in order to assist the individual or business in obtaining or retaining business. The FCPA also obligates companies whose securities are listed in the United States to comply with certain accounting provisions requiring the company to maintain books and records that accurately and fairly reflect all transactions of the company, including international subsidiaries, and to devise and maintain an adequate system of internal accounting controls for international operations.
Compliance with the FCPA is expensive and difficult, particularly in countries in which corruption is a recognized problem. In addition, the FCPA presents particular challenges in the pharmaceutical industry, because, in many countries, hospitals are operated by the government, and doctors and other hospital employees are considered foreign officials. Certain payments to hospitals in connection with clinical trials and other work have been deemed to be improper payments to government officials and have led to FCPA enforcement actions.
64
Various laws, regulations and executive orders also restrict the use and dissemination outside of the United States, or the sharing with certain non-U.S. nationals, of information classified for national security purposes, as well as certain products and technical data relating to those products. If we expand our presence outside of the United States, it will require us to dedicate additional resources to comply with these laws, and these laws may preclude us from developing, manufacturing or selling certain therapeutic candidates outside of the United States, which could limit our growth potential and increase our development costs.
Failure to comply with laws governing international business practices may result in substantial civil and criminal penalties and suspension or debarment from government contracting. The Securities and Exchange Commission, or the SEC, also may suspend or bar issuers from trading securities on U.S. exchanges for violations of the FCPA’s accounting provisions.
If we, or any third-party contractors we engage, fail to comply with environmental, health and safety laws and regulations, we could become subject to fines or penalties or incur costs that could harm our business.
We and our third-party contractors are subject to numerous foreign, federal, state and local environmental, health and safety laws and regulations, including those governing laboratory procedures and the handling, use, storage, treatment and disposal of hazardous materials and wastes. Our operations involve the use of hazardous and flammable materials, including chemicals and radioactive and biological materials. Our operations also produce hazardous waste products. We generally contract with third parties for the disposal of these materials and wastes. We cannot eliminate the risk of contamination, discharge or injury from these materials. In the event of contamination, discharge or injury resulting from our use of hazardous materials, we could be held liable for any resulting damages, and any liability could exceed our resources, including any available insurance. We could be subject to civil damages and criminal penalties in the event of an improper or unauthorized release of, or exposure of individuals to, hazardous materials. Further, it is possible that the materials we use could contaminate another party’s property. In addition, claimants may sue us for injury or contamination that results from our use or the use by third parties of these materials, and our liability may exceed our total assets and our ability to pay the liability.
In addition, our leasing and operation of real property may subject us to liability pursuant to certain of these laws or regulations. Under existing U.S. environmental laws and regulations, current or previous owners or operators of real property and entities that disposed or arranged for the disposal of hazardous substances may be held strictly, jointly and severally liable for the cost of investigating or remediating contamination caused by hazardous substance releases, even if they did not know of and were not responsible for the releases.
We could incur significant costs and liabilities which may adversely affect our financial condition and operating results for failure to comply with such laws and regulations, including, among other things, civil or criminal fines and penalties, property damage and personal injury claims, costs associated with upgrades to our facilities or changes to our operating procedures, or injunctions limiting or altering our operations.
Although we maintain liability insurance to cover us for costs and expenses we may incur due to injuries to our employees, this insurance may not provide adequate coverage against potential liabilities. We do not maintain insurance for environmental liability, including claims that may arise from pollution from chemical, radioactive or biological materials, or toxic tort claims that may be asserted against us in connection with our storage or disposal of biological, hazardous or radioactive materials. Our partners may also be working with various types of hazardous materials in connection with our collaborations.
In addition, we may incur substantial costs in order to comply with current or future environmental, health and safety laws and regulations. These current or future laws and regulations, which are becoming increasingly more stringent, may impair our research, development or production efforts. Our failure to comply with these laws and regulations also may result in substantial fines, penalties or other sanctions.
65
We are subject to certain U.S. and certain foreign anti-corruption, anti-money laundering, export control, sanctions and other trade laws and regulations. We can face serious consequences for violations.
U.S. and foreign anti-corruption, anti-money laundering, export control, sanctions and other trade laws and regulations prohibit, among other things, companies and their employees, agents, CROs, CMOs, legal counsel, accountants, consultants, contractors and other partners from authorizing, promising, offering, providing, soliciting, or receiving directly or indirectly, corrupt or improper payments or anything else of value to or from recipients in the public or private sector. Violations of these laws can result in substantial criminal fines and civil penalties, imprisonment, the loss of trade privileges, debarment, tax reassessments, breach of contract and fraud litigation, reputational harm and other consequences. We have and expect to continue to have direct or indirect interactions with officials and employees of government agencies or government-affiliated hospitals, universities and other organizations. We also expect our non-U.S. activities, including those in China, to increase over time. We expect to continue to rely on third parties for research, preclinical studies and clinical trials and/or to obtain necessary permits, licenses, patent registrations and other marketing approvals. We can be held liable for the corrupt or other illegal activities of our personnel, agents, or partners, even if we do not explicitly authorize or have prior knowledge of such activities.
Any violations of the laws and regulations described above may result in substantial civil and criminal fines and penalties, imprisonment, the loss of export or import privileges, debarment, tax reassessments, breach of contract and fraud litigation, reputational harm and other consequences.
We are, and may in the future be, subject to stringent and changing obligations related to data privacy and security. Our actual or perceived failure to comply with such obligations could lead to regulatory investigations or actions; litigation; fines and penalties; disruptions of our business operations; reputational harm; loss of revenue or profits; loss of customers or sales; and other adverse business consequences.
In the ordinary course of business, we collect, receive, store, generate, use, transfer, disclose, make accessible, protect, secure, dispose of, transmit, share and otherwise process (which we refer to as process or processing) certain personal information and other sensitive information, including our proprietary and confidential business data, trade secrets, employee data, intellectual property, data we or our CROs collect about trial participants in connection with clinical trials, and other sensitive data. The global data protection landscape is rapidly evolving and we are and may increasingly become subject to numerous data privacy and security obligations, such as various state, federal and foreign laws, regulations, guidance, directives, industry standards, external and internal privacy and security policies, contractual requirements and other obligations that govern the processing of sensitive or confidential information by us and on our behalf, and we may be subject to new or additional data protection laws and regulations and face increased scrutiny from regulators as our business grows. The legislative and regulatory landscape for data privacy and security continues to evolve in jurisdictions worldwide, and there has been an increasing focus on these issues with the potential to affect our business, financial condition, results of operations and prospects.
Various federal, state, local and foreign legislative and regulatory bodies, or self-regulatory organizations, may expand current laws, rules or regulations, enact new laws, rules or regulations or issue revised rules or guidance regarding data privacy and security that could result in regulatory investigations, fines or injunctions, as well as civil claims including class actions, and reputational damage. Implementation standards, interpretation, and enforcement practices are likely to remain uncertain for the foreseeable future, and we cannot yet determine the impact future laws, regulations, standards, or perception of their requirements may have on our business. This evolution may create uncertainty in our business, affect our ability to operate in certain jurisdictions or to process personal information, necessitate the acceptance of more onerous obligations in our contracts, result in liability or impose additional costs on us. The cost of compliance with these laws, regulations and standards is high and is likely to increase in the future. Any failure or perceived failure by us to comply with federal, state or foreign laws or regulations, our internal or external policies and procedures or our contracts governing our processing of personal information could result in negative publicity, government investigations and enforcement actions, claims by third parties and damage to our reputation, any of which could have a material adverse effect on our business, financial condition, results of operations and prospects.
In the United States, federal, state, and local governments have enacted numerous data privacy and security laws, including data breach notification laws, data privacy laws, and other similar laws. For example, all 50 states and the District of Columbia have enacted breach notification laws that may require us to notify patients, customers, employees or regulators in the event of unauthorized access to or disclosure of personal or confidential information experienced by us or our service providers. These laws are not consistent, and compliance in the event of a widespread data breach is difficult and may be costly. Moreover, HIPAA, as amended by HITECH, imposes among other things, certain requirements relating to the privacy, security, transmission, and breach of individually identifiable health information. We may obtain health information from third parties (including research institutions from which we obtain clinical trial data) that are subject to privacy and security requirements under HIPAA. Depending on the facts and circumstances, we could be subject to significant penalties if we violate HIPAA.
66
Certain states have also adopted comparable privacy and security laws and regulations, which govern the processing of health-related and other personal information. Such laws and regulations will be subject to interpretation by various courts and other governmental authorities, thus creating potentially complex compliance issues for us and our future customers and strategic partners. For example, the California Consumer Privacy Act of 2018 (as amended by the California Privacy Rights Act of 2020), or CCPA, imposes obligations on businesses that meet certain thresholds that process the personal information of California residents (including employees based in California). These obligations include, but are not limited to, providing specific disclosures in privacy notices and affording California residents certain rights related to their personal information, which includes a private right of action for certain data breaches. Although the CCPA exempts some data processed in the context of clinical trials, the CCPA could increase compliance costs and potential liability. The 2020 amendments to the CCPA also created the California Privacy Protection Agency, a new enforcement agency whose sole responsibility is to enforce the CCPA and is empowered to create new CCPA regulations. Other states, such as Virginia, Indiana, Oregon, Texas, Tennessee, Montana, Iowa, Delaware, Connecticut, Utah, Washington and Colorado, have also passed comprehensive privacy laws, and similar laws are being considered in several other states, as well as at the federal and local levels. In addition to government activity and private rights of actions provided by some of the state privacy laws, privacy advocacy groups and technology and other industries are considering various new, additional or different self-regulatory standards that may place additional burdens on us.
Around the world, many countries have privacy and data protection laws that create potentially complex compliance issues for us, our future customers, and strategic partners. For example, outside the United States, the EU’s General Data Protection Regulation, or EU GDPR, and the United Kingdom’s GDPR, or UK GDPR, impose strict requirements for processing the personal data of individuals. For example, under the EU GDPR, government regulators may impose temporary or definitive bans on data processing, as well as fines of up to €20 million or 4% of annual global revenue, whichever is greater. Such fines would be in addition to (i) the rights of individuals to sue for damages in respect of any data privacy breach which causes them to suffer harm, (ii) the right of individual member states to impose additional sanctions over and above the administrative fines specified in the GDPR and (iii) the ability of supervisory authorities to impose orders requiring companies to modify their practices. If we are found not to be compliant with the GDPR or similar requirements, we may be subject to significant fines and the risk of civil litigation. Among other requirements, the GDPR and UK GDPR (and certain other foreign jurisdictions) regulate the cross-border transfer of personal data, which could make it more difficult to transfer information across jurisdictions (such as transferring or receiving personal data that originates in the EU or the United Kingdom to countries such as the United States which are not considered by the EU or United Kingdom to provide adequate protection of personal data). In October 2022, the EU-U.S. Data Privacy Framework, or EU-U.S. DPF, was implemented, and the European Commission adopted an adequacy decision on July 10, 2023 that set conditions for personal data transfers from the EU to certified companies in the United States without additional safeguards in place. However, this decision will likely face legal challenges and ultimately may be invalidated by the Court of Justice of the EU. On October 12, 2023, a UK-U.S. Data Bridge came into force to operate as an extension of the EU-U.S. DPF to facilitate transfers of personal data between the United Kingdom and certified entities in the United States. Such Data Bridge could not only be challenged, but also may be affected by any challenges to the EU-U.S. DPF. Furthermore, in June 2021, the European Commission adopted new standard contractual clauses under the GDPR for transfers of personal data outside the European Economic Area to countries that the European Commission has not deemed to provide an adequate level of protection for such personal data. While we strive to adhere to all requirements to transfer information across jurisdictions using safeguards endorsed by government guidance (such as using the Standard Contractual Clauses approved by the European Commission), we must still adapt to changing guidance and will follow any anticipated litigation closely. As the regulatory guidance and enforcement landscape in relation to data transfers continue to develop, we could suffer additional costs, complaints and/or regulatory investigations or fines; we may have to stop using certain tools and vendors and make other operational changes; we may have to implement revised standard contractual clauses for existing arrangements within required time frames; and/or it could adversely affect our business, financial condition, results of operations and prospects.
Any such changes in the law related to the use of personal information or data could compromise our ability to develop an adequate marketing strategy and pursue our growth strategy effectively or even prevent us from providing certain products in jurisdictions in which we currently operate or may operate in the future. Complying with these numerous, complex, conflicting, and often changing regulations is expensive and difficult, and failure to comply with any data privacy or security laws, whether by us, one of our CROs, CMOs, partners or another third party, which may adversely affect our business, financial condition, results of operations and prospects., financial condition, results of operations and prospects, including but not limited to: investigation costs; material fines and penalties; compensatory, special, punitive and statutory damages; litigation; consent orders regarding our privacy and security practices; requirements that we provide notices, credit monitoring services and/or credit restoration services or other relevant services to impacted individuals; adverse actions against our licenses to do business; reputational damage; and injunctive relief.
67
In addition to data privacy and security laws, we are also bound by other contractual obligations related to data privacy and security that could prove to be more burdensome as laws and regulations evolve. We may also be contractually required to indemnify and hold harmless third parties from the costs or consequences of non-compliance with any laws, rules and regulations or other legal obligations relating to privacy or any inadvertent or unauthorized use or disclosure of data that we store or handle as part of operating our business. Any of these events could adversely affect our reputation, business, or financial condition, including but not limited to: loss of customers; interruptions or stoppages in our business operations (including clinical trials); inability to process personal information or to operate in certain jurisdictions; limited ability to develop or commercialize our products; expenditure of time and resources to defend any claim or inquiry; adverse publicity; or substantial changes to our business model or operations.
We cannot assure you that our CROs, CMOs or other third-party service providers with access to our or our suppliers’, manufacturers’, clinical trial participants’ and employees’ sensitive information in relation to which we are responsible will not breach contractual obligations imposed by us, or that they will not experience data security incidents, which could have a corresponding effect on our business, including putting us in breach of our obligations under privacy laws and regulations and/or which could in turn adversely affect our business, financial condition, results of operations and prospects. We cannot assure you that our contractual measures and our own privacy and security-related safeguards will protect us from the risks associated with the third-party processing of such information. Any of the foregoing could adversely affect our business, financial condition, results of operations and prospects.
Although we endeavor to comply with our public statements and documentation regarding our handling of personal information, we may at times fail to do so or be perceived to have failed to do so. Our publication of our privacy policies and other statements we publish that provide promises and assurances about privacy and security can subject us to potential state and federal action if they are found to be deceptive, unfair or misrepresentative of our actual practices. Any actual or perceived failure by us to comply with federal, state or foreign laws, rules or regulations, industry standards, contractual or other legal obligations, or any actual, perceived or suspected cybersecurity incident, whether or not resulting in unauthorized access to, or acquisition, release or transfer of personal information or other data, may result in enforcement actions and prosecutions, private litigation, significant fines, penalties and censure, claims for damages by customers and other affected individuals, regulatory inquiries and investigations or adverse publicity and could cause our customers to lose trust in us, any of which could adversely affect our business, financial condition, results of operations and prospects.
Risks related to commercialization of our therapeutic candidates
We face significant competition in an environment of rapid technological change and there is a possibility that our competitors may achieve regulatory approval before us or develop therapies or technologies that are more advanced or effective than ours, which may harm our business and financial condition, and our ability to successfully market or commercialize our therapeutic candidates.
The pharmaceutical and biotechnology industries are characterized by rapidly advancing technologies, intense competition and a strong emphasis on intellectual property. While we believe that our platform and our knowledge, experience and scientific resources provide us with competitive advantages, we face potential competition from major pharmaceutical and biotechnology companies, academic institutions, government agencies and private and public research institutions, among others.
Any therapeutic candidates that we or our partners successfully develop and commercialize may compete with existing therapies and new therapies that may become available in the future that are approved to treat the same indications for which we or they may obtain approval for our therapeutic candidates. It is also possible that we or our partners may face competition from other pharmaceutical approaches as well as other types of therapies. The key competitive factors affecting the success of all our programs, if approved, include, but are not limited to their efficacy, safety, convenience, adoption by prescribers, price, level of generic competition, and availability of reimbursement.
We may face competition from companies developing therapies for CKD and related nephropathies, including but not limited to established therapies including renin-angiotensin-aldosterone system, or RAAS, inhibitors, SGLT2 inhibitors and glucagon-like peptide 1, or GLP-1 agonists, as well as novel mechanisms such as therapies being developed by various companies targeting different pathways implicated in CKD progression.
While there are currently no approved therapies for APOL1 kidney disease, or AKD, we are aware of companies advancing therapeutic candidates in clinical trials that target APOL1.
Our second most advanced lead program, MZE782, is a small molecule targeting SLC6A19, a novel target in CKD and PKU. While there are no currently approved therapies directly modulating SLC6A19, we may face competition from other companies pursuing programs targeting SLC6A19 or alternative approaches for renal and metabolic indications.
Many of our current or potential competitors, either alone or with their collaboration partners, have significantly greater financial resources and expertise in research and development, manufacturing, preclinical testing, conducting clinical trials, obtaining regulatory approvals, and marketing approved products than we do.
68
These competitors also compete with us in recruiting and retaining qualified scientific and management personnel and establishing clinical trial sites and patient registration for clinical trials, as well as in acquiring technologies complementary to, or necessary for, our programs. Mergers and acquisitions in the biopharmaceutical industries may result in even more resources being concentrated among a smaller number of our competitors. Smaller or early-stage companies may also prove to be significant competitors, particularly through collaborative arrangements with large and established companies.
Further, precision medicine is a rapidly developing field, with increasing usage within the pharmaceutical and biotechnology industry of machine learning and AI technologies to analyze genetic data. While we believe our Compass platform has advantages over potential competitors based on our experience in variant functionalization, our access to genetic databases, and the length of time that we have been engaged in developing precision medicine, other companies may have greater resources or the ability to acquire more advanced technology to identify targets and may acquire access to the same genetic data that we utilize. We may not be able to keep up with the pace of innovation that is occurring in our field, and we may face increasing competition in developing precision medicines.
Our commercial opportunity could be reduced or eliminated if our competitors develop and commercialize products that are safer, more effective, have fewer or less severe side effects, are more convenient or are less expensive than any products that we may develop. Our competitors also may obtain FDA or other applicable regulatory approval for their products more rapidly than we may obtain approval for ours, which could result in our competitors establishing a strong market position before we are able to enter the market.
Even if our Compass platform is effective as a research tool, we may be unable to develop or commercialize new drugs, therapies or other products based on discoveries from our Compass platform.
Even if our Compass platform performs its intended functions, we may be unable to use the discoveries resulting from the platform to produce new therapies. Despite recent scientific advances in the life sciences and our improved understanding of biology, the roles of genes and proteins and their involvement in diseases and in other life processes is not well understood. Therefore, notwithstanding any potential promising results in earlier studies or clinical trials, we may face significant setbacks in current or future studies or clinical trials. If we are unable to use our platform discoveries platform to develop and market new drugs or therapies, our business may fail or we may never become profitable.
We, or the third parties we rely on, may be unable to develop the diagnostic tests or clinical assays to successfully advance our therapeutic candidates through clinical trials or commercialization.
Some or all of our therapeutic candidates may require companion diagnostic tests for clinical trials or commercialization. If we are unable to successfully develop the applicable companion diagnostic tests, experience significant delays in doing so, or rely on third parties in the development of such companion diagnostic tests, or if we are required by the FDA to obtain approval of a companion diagnostic test in connection with approval of any of our therapeutic candidates, and we do not obtain or face delays in obtaining FDA approval of a companion diagnostic test, the full commercial potential of our therapeutic candidates and our ability to generate revenue will be materially impaired.
Our approach to drug discovery and developing therapeutic candidates relies on human genetics and functional genomics to identify targets for therapeutic intervention as well as predictive biomarkers to evaluate the effects of our therapeutic candidates. For those therapeutic candidates that advance to clinical trials, predictive biomarkers, such as a specific genetic screen, may become necessary for subject selection and thus may require the incorporation of a diagnostic test, or companion diagnostic, into our clinical trial design. If required, we may engage one or more third-party partners to co-develop the necessary companion diagnostic.
69
If safe and effective use of any of our therapeutic candidates depends on a companion diagnostic test, then the FDA generally will require approval or clearance of that companion diagnostic, before or at the same time that the FDA approves our therapeutic candidates, if at all. According to FDA guidance, if the FDA determines that a companion diagnostic device is essential to the safe and effective use of a novel therapeutic product or indication, the FDA generally will not approve the therapeutic product or new therapeutic product indication if the companion diagnostic is not also approved or cleared for that indication. If a satisfactory companion diagnostic is not commercially available, we may be required to create or obtain one that would be subject to regulatory approval requirements. In the past, FDA has issued guidance on the development of companion diagnostics generally as well as for specific disease categories. We will continue to evaluate the impact of FDA guidance on our companion diagnostic development and strategy. This guidance and any future guidance or policies from the FDA and other regulatory authorities may impact our development of a companion diagnostic for our therapeutic candidates and result in delays in regulatory approval. We may be required to conduct additional studies or clinical trials to support a broader claim. Also, to the extent other approved diagnostics are able to broaden their labeling claims to include our approved drug products, we may be forced to abandon our companion diagnostic development plans or we may not be able to compete effectively upon approval, which could adversely impact our ability to generate revenue from the sale of our approved products and our business, financial condition, results of operations and prospects.
We expect to rely on third parties for the design, development and manufacture of companion diagnostic tests for our therapeutic candidates that require such tests. If the FDA, EMA or a comparable regulatory authority requires approval of a companion diagnostic for any of our therapeutic candidates, whether before or after the therapeutic candidate obtains marketing approval, we, and/or future partners, may encounter difficulties in developing and obtaining approval for such therapeutic candidate. If we or our third-party partners experience any delay in developing or obtaining regulatory approval of a companion diagnostic, we may be unable to enroll enough patients in future clinical trials, the development of our therapeutic candidates may be adversely affected or we may not obtain marketing approval, and we may not realize the full commercial potential of our therapeutic candidates.
We currently have no marketing and sales organization and have no experience as a company in commercializing products, and we may need to invest significant resources to develop these capabilities. If we are unable to establish marketing and sales capabilities or enter into agreements with third parties to market and sell our products, we may not be able to generate product revenue.
We do not have a sales or marketing infrastructure and have no experience in the sale, marketing or distribution of biopharmaceutical products. To achieve commercial success for any therapeutic candidate for which we obtain marketing approval, we will need to establish sales, marketing and distribution capabilities, either by ourselves or through collaboration or other arrangements with third parties.
There are risks involved with establishing our own sales and marketing capabilities. For example, recruiting and training a sales force is expensive and time-consuming and could delay any product launch. If the commercial launch of a therapeutic candidate for which we recruit a sales force and establish marketing capabilities is delayed or does not occur for any reason, we would have incurred these commercialization expenses prematurely or unnecessarily. These efforts may be costly, and our investment would be lost if we cannot retain or reposition our sales and marketing personnel.
Factors that may inhibit our efforts to commercialize our products on our own include, but not limited to:
If we are unable to establish our own sales and marketing capabilities, our revenue from product sales and our profitability, if any, are likely to be lower than if we ourselves were to market and sell any products that we develop. In addition, we may not be successful in entering into arrangements with third parties to market and sell our therapeutic candidates or may be unable to do so on terms that are acceptable to us. Any of these third parties may fail to devote the necessary resources and attention to sell and market our products effectively. If we do not establish sales and marketing capabilities successfully, either on our own or in collaboration with third parties, we will not be successful in commercializing our therapeutic candidates.
70
Even if any of our therapeutic candidates receives marketing approval, it may fail to achieve the degree of market acceptance by physicians, patients, third-party payors and others in the medical community necessary for commercial success.
If any of our therapeutic candidates receives marketing approval, it may nonetheless fail to gain sufficient market acceptance by physicians, patients, third-party payors and others in the medical community necessary for commercial success. If our therapeutic candidates do not achieve an adequate level of acceptance, we may not generate significant product revenues and we may not become profitable. The degree of market acceptance of our therapeutic candidates, if approved for commercial sale, will depend on a number of factors, including:
Even if our therapeutic candidates were to display a favorable efficacy and safety profile in preclinical studies and clinical trials, market acceptance of such therapeutic candidates will not be fully known until after they are launched.
Product liability lawsuits against us could cause us to incur substantial liabilities and to limit commercialization of any therapeutic candidates that we may develop alone or with partners.
Clinical development does not always fully characterize the safety and efficacy profile of a new medicine, and it is always possible that a drug or biologic, even after regulatory approval, may exhibit unforeseen side effects. We face an inherent risk of product liability exposure related to the testing of our therapeutic candidates in human clinical trials and will face an even greater risk if we commercialize any products that we may develop. If we cannot successfully defend ourselves against any claims that our therapeutic candidates caused injuries, we will incur substantial liabilities. Regardless of merit or eventual outcome, liability claims may result in:
71
As a clinical-stage company, we currently hold product liability insurance coverage for our clinical trials. Insurance coverage is increasingly expensive. We may not be able to maintain insurance coverage at a reasonable cost or in an amount adequate to satisfy any liability that may arise. A successful product liability claim or series of claims brought against us could decrease our cash and could adversely affect our business, financial condition, results of operations and prospects.
Our estimated market opportunities for our therapeutic candidates are subject to numerous uncertainties and may prove to be inaccurate. If we have overestimated the size of our market opportunities, our future growth may be limited.
Our estimated addressable markets and market opportunities for our therapeutic candidates are based on a variety of inputs, including data published by third parties, our own market insights and internal market intelligence, and internally generated data and assumptions. We have not independently verified any third-party information and cannot be assured of its accuracy or completeness. Market opportunity estimates, whether obtained or derived from third-party sources or developed internally, are subject to significant uncertainty and are based on assumptions and estimates that may prove not to be accurate, particularly given the relatively early stage of our therapeutic candidates. Although we believe our market opportunity estimates are reasonable, such information is inherently imprecise. In addition, our assumptions and estimates of market opportunities are necessarily subject to a high degree of uncertainty and risk due to a variety of factors, including but not limited to those described in this Annual Report on Form 10-K. If this third-party or internally generated data prove to be inaccurate or if we make errors in our assumptions based on that data, or if the facts underlying our assumptions change over time, our actual market may be more limited than we estimate it to be. In addition, these inaccuracies or errors may cause us to misallocate capital and other critical business resources, which could harm our business. The estimates of our market opportunities included in this Annual Report on Form 10-K should not be taken as indicative of our ability to grow our business.
Moreover, prices for novel approved treatments must often be set high in order to recover the sponsor’s development and manufacturing costs, fund additional research and achieve profitability, and we may be unable to obtain the price necessary to achieve these things. We may also need to fund patient support programs upon the marketing of a therapeutic candidate, which would negatively affect the revenue of a therapeutic candidate. We may be unable to maintain or obtain sufficient therapy sales volumes at a price high enough to justify our development efforts and our sales, marketing and manufacturing expenses.
Risks related to our business operations
Our future success depends on our ability to retain key employees, to engage advisors and consultants and to attract, retain and motivate qualified personnel.
Our ability to compete in the highly competitive biotechnology and pharmaceutical industries depends upon our ability to attract, motivate and retain highly qualified managerial, scientific and medical personnel. We are highly dependent on the development and management expertise of our scientific founders who are leading researchers in genetics and bioinformatics, as well as the other principal members of our management, scientific and clinical team. We currently do not maintain key person insurance on these individuals. Although we have entered into employment agreements with our executive officers, each of them may terminate their employment with us at any time.
Moreover, we might not be able to attract or retain qualified management and other key personnel in the future due to the intense competition for qualified personnel among biotechnology, pharmaceutical and other businesses, particularly in the San Francisco Bay Area where we are headquartered, and we may be required to expend significant financial resources in our employee recruitment and retention efforts. Many pharmaceutical companies with whom we compete for qualified personnel have greater financial and other resources, different risk profiles and longer operating histories in the industry than we do. They also may provide candidates with more diverse opportunities and better chances for career advancement. If we are not able to attract and retain the necessary personnel to accomplish our business objectives, we may experience constraints that will harm our ability to implement our business strategy and achieve our business objectives.
In addition, we have scientific and clinical advisors and consultants who assist us in formulating our development and clinical strategies. These advisors and consultants are not our employees and may have commitments to, or consulting or advisory contracts with, other entities that may limit their availability to us. In addition, our advisors and consultants may have arrangements with other companies to assist those companies in developing products or technologies that may compete with ours.
72
We will need to grow our organization, and we may experience difficulties in managing this growth, which could disrupt our operations.
As our development and commercialization plans and strategies develop, and in connection with our recent transition into operating as a public company, we expect to expand our employee base for managerial, operational, financial and other resources. In addition, we have limited experience in clinical development and, as our therapeutic candidates enter and advance through preclinical studies and clinical trials, we will need to expand our development, regulatory and manufacturing capabilities or contract with other organizations to provide these capabilities for us. We have to manage additional relationships with partners, suppliers and other organizations as part of our ongoing and anticipated clinical trials, and we expect to continue to have to manage additional relationships with partners, suppliers and other organizations in the future. Our ability to manage our operations and future growth will require us to continue to improve our operational, financial and management controls, reporting systems and procedures. We may not be able to implement improvements to our management information and control systems in an efficient or timely manner and may discover deficiencies in existing systems and controls. In addition, we may need to expand our facilities, including laboratory operations, and may be unable to do so on commercially reasonable terms, or at all. Our inability to successfully manage our growth and expand our operations could have a material and adverse effect on our business, financial condition, results of operations and prospects.
Our current or future employees, clinical trial investigators, CROs, CMOs, consultants, vendors and partners may engage in misconduct or other improper activities, including non-compliance with regulatory requirements, violations of regulatory standards, and insider trading.
We are exposed to the risk of misconduct by our current or future employees, clinical trial investigators, CROs, CMOs, consultants, vendors and partners. Misconduct by these parties could include fraud or intentional, reckless and/or negligent conduct or disclosure of unauthorized activities to us that violates: (i) FDA regulations or those of comparable foreign regulatory agencies, (ii) manufacturing or clinical standards, (iii) federal and state health and data privacy, security, fraud and abuse, government price reporting, transparency reporting requirements, and other healthcare laws and regulations in the United States and abroad, (iv) sexual harassment and other workplace misconduct, or (v) laws that require the true, complete and accurate reporting of financial information or data. Such misconduct could also involve the improper use of information obtained in the course of clinical trials, which could result in regulatory sanctions and cause serious harm to our reputation, or improper or unauthorized use of AI or machine learnings tools that result in the disclosure of confidential information or reliance on inaccurate information.
We have adopted a code of conduct applicable to all of our employees, as well as a disclosure program and other applicable policies and procedures, but it is not always possible to identify and deter employee misconduct, and the precautions we take to detect and prevent this activity may not be effective in controlling unknown or unmanaged risks or losses or in protecting us from governmental investigations or other actions or lawsuits stemming from a failure to comply with laws or regulations. If any actions are instituted against us, and we are not successful in defending ourselves or asserting our rights, such actions could adversely affect our ability to operate our business and our results of operations, including the imposition of significant civil, criminal and administrative penalties, damages, fines, disgorgement, imprisonment, exclusion from government funded healthcare programs, contractual damages, reputational harm, diminished profits and future earnings, additional integrity reporting and oversight obligations, and the curtailment or restructuring of our operations.
Our business is dependent on the integrity of information technology systems and failure of such systems could disrupt our business.
Like most companies, we depend on the efficient and uninterrupted operation of our information technology and communications systems and those of our third-party vendors, contractors or consultants. Such systems may fail or suffer security breaches, cyberattacks, loss or leakage of data and other disruptions, which could cause adverse consequences resulting from such compromise, including but not limited to regulatory investigations or actions; litigation; fines and penalties; disruptions of our business operations; reputational harm; loss of revenue or profits; and other adverse consequences.
We, and third parties on whom we depend, are increasingly dependent on information technology systems, infrastructure and data to operate our and their businesses. In the ordinary course of business, we process confidential information (including but not limited to intellectual property, proprietary business data and patient data). It is critical that we do so in a secure manner to maintain the confidentiality and integrity of such confidential information. We also have outsourced elements of our information technology systems and operations to third parties, and as a result we rely on and manage a number of third-party vendors and other contractors and consultants who have access to and process our confidential information.
73
Although we are still in the process of implementing our internal security controls, policies and other measures, we take steps designed to detect, mitigate, and remediate vulnerabilities in our information systems (such as our hardware and/or software, including that of third parties upon which we rely). We may not, however, detect and remediate all such vulnerabilities including on a timely basis. Further, we may experience delays in developing and deploying remedial measures and patches designed to address identified vulnerabilities. Despite the implementation of these security measures, our information technology systems and those of our third-party vendors and other contractors and consultants have been in the past and may be in the future potentially vulnerable to breakdown or other damage or interruption from service interruptions, system malfunction, accidents by our employees or third-party service providers, natural disasters, terrorism, war, global pandemics, and telecommunication and electrical failures. We may also experience security incidents from inadvertent or intentional actions by our employees, third-party vendors, contractors, consultants, business partners and/or other third parties, including theft, fraud or unauthorized access to or use of our information technology systems, or attack or damage from hacking, cyberattacks or supply chain attacks by malicious third parties and sophisticated nation-state and nation-state-supported actors (including the deployment of harmful computer viruses and malware, ransomware, denial or degradation-of-service attacks, phishing attacks and other social engineering and other means to affect service reliability and threaten the confidentiality, integrity and availability of information), which may compromise our system infrastructure, or that of our third-party vendors and other contractors and consultants, impede our ability to conduct business, delay our financial reporting or lead to data leakage.
While we have a security consultant provide annual assessments on our systems vulnerabilities, the risk of a security incident or disruption, particularly through cyberattacks or cyber intrusion, including by computer hackers, foreign governments and cyber terrorists, has generally increased as the number, intensity, and sophistication of attempted attacks and intrusions from around the world have increased. We may not be able to anticipate all types of security threats, nor implement preventive measures effective against all such security threats. The techniques used by cyber criminals change frequently, may not be recognized until launched and can originate from a wide variety of sources, including outside groups such as external service providers, organized crime affiliates, terrorist organizations, or hostile foreign governments or agencies. Cyberattacks or security incidents could remain undetected for an extended period, which could potentially result in significant harm to our information technology systems, as well as unauthorized access to the information stored on and transmitted by our information technology systems. Even if identified, the full extent of a cyberattack or security incident may not be determined immediately and we may be unable to adequately investigate or remediate incidents or breaches due to attackers increasingly using tools and techniques that are designed to circumvent controls, to avoid detection, and to remove or obfuscate forensic evidence. Moreover, recovery of our information technology systems may be additionally hampered where we have outsourced the operation of information technology systems and information storage to third parties. Any breach, loss or compromise of confidential information may also subject us to liability, government enforcement actions (for example, investigations, fines, penalties, audits, and inspections); breach notification and additional reporting requirements and/or oversight; restrictions on processing sensitive information (including personal data); litigation (including class action litigation); indemnification obligations; negative publicity; reputational harm; monetary fund diversions; diversion of management attention; interruptions in our operations (including availability of data); financial loss; and other similar harms. Security incidents and attendant consequences may prevent or cause customers to stop using our products, deter new customers from using our products, and negatively impact our ability to grow and operate our business. If the information technology systems of our third-party vendors and other contractors and consultants become subject to disruptions or security incidents, we may have insufficient recourse against such third parties and we may have to expend significant resources to mitigate the impact of such an event, and to develop and implement protections to prevent future events of this nature from occurring.
Further, remote work has become more common and has increased risks to our information technology systems and data, as more of our employees utilize network connections, computers and devices outside our premises or network, including working at home, while in transit and in public locations.
Significant disruptions of our information technology systems or those of our third-party vendors and other contractors and consultants, or security breaches could result in the loss, misappropriation and/or unauthorized access, use, or disclosure of, or the prevention of access to, confidential information (including trade secrets or other intellectual property or proprietary business information) and claims by our counterparties that we have failed to comply with legal or contractual obligations, which could result in financial, legal, business, and reputational harm to us.
There can be no assurance that the limitations of liability in our contracts would be enforceable or adequate to protect us from liabilities and damage and we may not have adequate insurance coverage to cover losses, or all types of costs, expenses and losses, we could incur with respect to security breaches or disruptions. The successful assertion of one or more large claims against us that exceeds our available insurance coverage, or results in changes to our insurance policies (including premium increases or the imposition of large deductible or co-insurance requirements), could have an adverse effect on our business. In addition, we cannot be sure that our existing insurance coverage and coverage for errors and omissions will continue to be available on acceptable terms or that our insurers will not deny coverage as to any future claim.
74
We utilize third-party open source software, and any failure to comply with the terms of one or more of these open source software licenses could adversely affect our business, subject us to litigation, or create potential liability.
Our Compass platform utilizes software licensed by third parties under any one or more open source licenses, including the Apache 2.0 License, MIT, BSD variants, and others, and we expect to continue to incorporate open source software in our business in the future. We cannot ensure that we have effectively monitored our use of open source software, or validated the quality or source of such software, or that we are in compliance with the terms of the applicable open source licenses or our current policies and procedures.
Companies that incorporate open source software into their products have, from time to time, faced claims challenging the use of open source software and compliance with open source license terms. We could be subject to similar suits by parties claiming ownership of what we believe to be open source software or claiming non-compliance with open source licensing terms, which could result in litigation that may cause us to be required to disclose our proprietary source code based on our modifications of open source code, incur expenses and be liable for damages and such litigation could distract our personnel from their normal responsibilities.
Furthermore, there are an increasing number of open source software license types, almost none of which have been interpreted by U.S. or foreign courts, and there is a risk that such licenses to which we are subject to could be construed in a manner that imposes unanticipated conditions or restrictions on our ability to market or provide our products or services. If we are held to have breached or failed to fully comply with any of the terms and conditions of an open-source software license, we could face claims for breach of contract, intellectual property infringement or misappropriation or other liability, or be required to seek costly licenses from third parties that may not be available on commercially reasonable terms, or at all. By the terms of certain open source licenses, we could be required to release the source code of our proprietary software, and to make our proprietary software available under open source licenses, if we combine our proprietary software with open source software in a certain manner. In the event that portions of our proprietary software are determined to be subject to an open source license, we could be required to publicly release the affected portions of our source code, re-engineer all or a portion of our Compass platform, or otherwise be limited in the licensing of our Compass platform, each of which could reduce or eliminate the value of our Compass platform. Disclosing our proprietary source code could allow our competitors to create similar products with lower development effort and time, which would materially and adversely affect our business, financial condition, results of operations and prospects. Furthermore, any such re-engineering or other remedial efforts could require significant additional research and development resources, and we may not be able to successfully complete any such re-engineering or other remedial efforts.
Further, in addition to risks related to license requirements, use of certain open source software carries greater technical and legal risks than does the use of third-party commercial software. For example, open source software is generally provided without any representations, indemnity, support or warranties or other contractual protections regarding infringement or the quality of the code, including the existence of security vulnerabilities. In addition, certain open source licenses require that source code for software programs that interact with such open source software be made available to the public at no cost and that any modifications or derivative works to such open source software continue to be licensed under the same terms as the open source software license. To the extent that our Compass platform depends upon the successful operation of open source software, any undetected errors or defects in open source software that we use could prevent the deployment or impair the functionality of our systems and injure our reputation. In addition, the public availability of such software may make it easier for others to compromise our Compass platform. Any of the foregoing risks could materially and adversely affect our business, financial condition and results of operations.
The use of new and evolving technologies, such as AI in our operations may require us to expend material resources and may present risks and challenges that can impact our business, including by posing security and other risks to our confidential information, proprietary information and personal information, any of which may result in reputational harm and liability, or otherwise adversely affect our business.
We incorporate AI solutions, including machine learning, into our Compass platform. There are significant risks involved in utilizing AI and no assurance can be provided that the usage of AI will enhance our business or assist our business in becoming more efficient or profitable. The use of certain AI technology can give rise to intellectual property risks, including compromising the privacy and security of our proprietary technologies and leading to claims of intellectual property infringement, misappropriation or other violation. In addition, AI may have errors or inadequacies that are not easily detectable. If the data used to train AI or the content, analyses, or recommendations that AI applications assist in producing are or are alleged to be deficient, inaccurate, incomplete, overbroad or biased, our business, financial condition, and results of operations may be adversely affected.
75
Additionally, we expect to see increasing government and supranational regulation and ethical concerns related to AI use, which may also significantly increase the burden and cost of research, development and compliance in this area. The rapid evolution of AI will require the application of significant resources to design, develop, test and maintain our technology and products to help ensure that AI is implemented in accordance with applicable laws and regulations and in a socially responsible manner and to minimize any real or perceived unintended harmful impacts. The legal landscape and subsequent legal protection for the use of AI remains uncertain, and development of the law in this area could impact our ability to enforce our proprietary rights or protect against infringing uses. If we do not have sufficient rights to use the data on which AI relies or to the outputs produced by AI applications, we may incur liability through the violation of certain laws, third-party privacy or other rights or contracts to which we are a party.
Our third-party vendors, contractors and consultants may also incorporate AI tools into their own offerings, and the providers of these AI tools may not meet existing or rapidly evolving regulatory or industry standards, including with respect to intellectual property, privacy and data security. Further, bad actors around the world use increasingly sophisticated methods, including the use of AI, to engage in illegal activities involving the theft and misuse of personal information, confidential information and intellectual property. Any of these effects could damage our reputation, result in the loss of valuable property and information, cause us to breach applicable laws and regulations, and adversely impact our business.
Our ability to use our net operating loss and certain other tax attributes may be limited.
We have incurred substantial losses during our history and do not expect to become profitable in the near future, and we may never achieve profitability. Unused federal net operating losses generated in tax years beginning after December 31, 2017 will not expire and may be carried forward indefinitely but the deductibility of such federal net operating losses in taxable years beginning after December 31, 2020 is limited to 80% of current year taxable income. In addition, both our current and our future unused losses and other tax attributes (such as research credits) may be subject to limitation under Sections 382 and 383 of the U.S. Internal Revenue Code of 1986, as amended, or the Code, if we undergo, or have undergone, an “ownership change,” generally defined as a greater than 50 percentage point change (by value) in our equity ownership by certain stockholders over a three-year period. As of December 31, 2024, we had a Section 382 study prepared which covered the period from inception through December 2024. The study concluded that several ownership changes occurred since the inception of the Company. However, it was determined that the annual available NOLs under Section 382 will be sufficient to utilize in their entirety prior to their respective expiration years. It is possible that we may undergo additional ownership changes in the future, including as a result of the issuance of common stock pursuant to our initial public offering completed in February 2025 or future transactions or events that may be outside of our control. As a result, even if we attain profitability, our ability to use our pre-change net operating loss carryforwards and other pre-change tax attributes (such as research tax credits) to offset our post-change income or taxes may be limited. Similar provisions of state tax law may also apply to limit our use of accumulated state tax attributes. In addition, at the state level, there may be periods during which the use of net operating losses is suspended or otherwise limited, which could accelerate or permanently increase state taxes owed. As a result of the foregoing, even if we attain profitability, we may be unable to use all or a material portion of our net operating losses and other tax attributes, which could adversely affect our future cash flows.
We may engage in strategic transactions that could impact our liquidity, increase our expenses and present significant distractions to our management.
From time to time, we may consider strategic transactions, such as acquisitions of companies, businesses or assets, joint ventures and spin-outs. Additional potential transactions that we may consider include a variety of different business arrangements, including spin-offs, strategic partnerships, restructurings, divestitures, business combinations and investments. Any such transaction may require us to incur non-recurring or other charges, may increase our near term or long-term expenditures and may pose significant integration challenges or disrupt our management or business, which could adversely affect our operations and financial results. For example, these transactions may entail numerous operational and financial risks, including, but not limited to:
76
Unfavorable global economic conditions could adversely affect our business, financial condition, results of operations and prospects, which could lead to a decline in our stock price.
Our results of operations and stock price could be adversely affected by general conditions in the global economy and in the global financial markets. For example, a global financial crisis or uncertainty with respect to federal regulations could cause extreme volatility and disruptions in the capital and credit markets. Similarly, increased volatility in interest, inflation and tariff rates and the debt and equity markets, instability in the global banking system, global health crises and pandemics and geopolitical conflict could cause significant instability and disruptions in the capital and credit markets. A severe or prolonged economic downturn could result in a variety of risks to our business, including weakened demand for our therapeutic candidates and in our ability to raise additional capital when needed on acceptable terms, if at all. A weak or declining economy also could strain our partners and our suppliers, possibly resulting in development or supply disruption. We cannot anticipate all of the ways in which the foregoing, and the current economic climate and financial market conditions generally, could adversely impact our business.
Risks related to intellectual property
Our success depends in part on our and our partners’ ability to obtain, maintain, enforce and protect our intellectual property and proprietary rights. It is difficult and costly to protect our intellectual property rights and technologies, and we may not be able to ensure their protection. If we are unable to adequately protect our technologies or obtain and maintain patent protection for our technologies and products or if the scope of the patent protection obtained is not sufficiently broad, our competitors could develop and commercialize technologies and products similar or identical to ours, and our ability to successfully commercialize our technologies and products may be impaired.
Our commercial success will depend in large part on our and our partners’ obtaining, maintaining, enforcing and protecting patent, trademark, trade secret and other intellectual property and proprietary protection in the United States and other countries for our technologies. Our proprietary technologies include our Compass platform, genetic targets identified by our Compass platform, machine learning used by our Compass platform, our methods for developing and testing our therapeutic candidates, our therapeutic candidates themselves, and any therapeutic compounds, molecules or agents related to such therapeutic targets, including their respective components, formulations, combination therapies, methods used to manufacture them and methods of treatment. Our commercial success will also depend, in large part, on successfully defending our trademarks, trade secrets, owned patents and patent applications and other intellectual property rights against third-party challenges. We seek to protect our intellectual property position by, among other methods, filing patent applications in the United States and abroad related to our technologies, inventions and improvements that are important to the development and implementation of our business. We also rely on trade secrets, know-how and continuing technological innovation to develop and maintain our intellectual property position. Our ability to stop unauthorized third parties from making, using, selling, offering to sell, importing or otherwise commercializing our technologies or therapeutic candidates is dependent upon the extent to which we have rights under valid and enforceable patents, trade secrets or other intellectual property or proprietary rights that cover these activities. If we or our current or future partners are unable to secure and maintain patent, trade secret or other intellectual property or proprietary protection for any technologies or therapeutic candidates we or they develop, or if the scope of the protection secured is not sufficiently broad, our competitors could develop and commercialize technologies or therapeutic candidates similar or identical to ours, and our ability to commercialize any technologies or therapeutic candidates we or our partners may develop or to otherwise compete effectively may be adversely affected.
We have filed patent applications, both in the United States and internationally, protecting our inventions related to our MZE829 and MZE782 candidates as well as our out-licensed programs. Our MZE001 patent portfolio has been exclusively out-licensed to Shionogi, who also has the exclusive right to make decisions regarding the prosecution and enforcement of patents or patent applications within that portfolio. Our ATXN2 and UNC13A patent portfolios have been exclusively licensed or assigned, respectively, to other biotechnology companies, who have the exclusive right to make decisions regarding the prosecution and enforcement of those respective portfolios.
77
A provisional patent application is not eligible to become an issued patent until, among other things, we file a non-provisional patent application within 12 months of filing such provisional application. If we fail to do so, we may lose our priority date with respect to the provisional patent application and any patent protection on the inventions disclosed in the provisional patent application. The PCT system allows a single application to be filed within 12 months of the original priority date of the patent application, and for the designation of all of the PCT member states in which national patent applications can later be pursued based on the international patent application filed under the PCT. A PCT application is not eligible to become an issued patent until, among other things, we file one or more national stage patent applications within the applicable time limit, which is generally 30 or 31 months from the PCT application’s earliest priority date, depending on the jurisdiction, in the countries in which we seek patent protection. If we fail to file a national phase application in a PCT member state, we may lose our priority date in that member state with respect to the subject matter disclosed in the PCT application, as well as any patent protection in that member state on the inventions disclosed in the PCT application. While we generally intend to timely file non-provisional and national phase patent applications, as applicable, we cannot predict whether any of our current or future patent applications relating to any therapeutic targets, therapeutic candidates or technologies we have identified or may identify in the future will result in the issuance of patents that effectively protect our therapeutic targets, therapeutic candidates or technologies. If we or our partners do not successfully obtain patent protection, or, even if we or they do obtain patent protection, if the scope of the patent protection obtained with respect to any therapeutic target, therapeutic candidate and technology is not sufficiently broad, we or our partners may be unable to prevent others from using our technology or from developing or commercializing technology and products similar or identical to ours or our partners’.
The patenting process is expensive and time-consuming, and we and our current or future partners may not be able to file and prosecute all necessary or desirable patent applications at a reasonable cost or in a timely manner. In addition, we or our partners may not pursue or obtain patent protection in all relevant jurisdictions, particularly in markets where translation costs are high. It is also possible that we or our partners will fail to identify patentable aspects of our or their research and development output before it is too late to obtain patent protection. Although we seek to enter into non-disclosure and confidentiality agreements with parties who have access to confidential or patentable aspects of our research and development output, such as our employees, consultants, independent contractors, advisors, CMOs, CROs, hospitals, independent treatment centers, suppliers, partners and other third parties, any of these parties may breach the agreements and disclose such output before a patent application is filed, thereby jeopardizing our ability to seek patent protection. In addition, publications of discoveries in the scientific literature often lag behind the actual discoveries, and patent applications in the United States and other jurisdictions are typically not published until 18 months after filing, or in some cases not at all. Therefore, we cannot be certain that we were the first to make the inventions claimed in our current or future patent applications, or that we were the first to file for patent protection of such inventions. Moreover, in circumstances, including with respect to our exclusive out-licensing or assignment of our MZE001, ATXN2 and UNC13A patent portfolios, where we do not have the right to control the preparation, filing, prosecution, maintenance, defense or enforcement of patents or patent applications covering technologies that we currently, or may in the future, license from or license to third parties, we will be reliant on our licensors or licensees to do so. If our partners are not fully cooperative or disagree with us as to the preparation, filing, prosecution, maintenance, defense or enforcement of any licensed patent rights, such patent rights could be compromised.
The patent position of biotechnology and pharmaceutical companies generally is highly uncertain, involves complex legal and factual questions, and has been the subject of much litigation in recent years. As a result, the issuance, scope, validity, enforceability, and commercial value of our patent rights are highly uncertain. Our pending and future patent applications, if any, may not result in issued patents. Moreover, the coverage claimed in a patent application can be significantly reduced before the patent is issued, and its scope can be reinterpreted after issuance. Even if patent applications we license or own currently or in the future issue as patents, they may not issue in a form that will provide us with any meaningful protection, prevent competitors or other third parties from competing with us, or otherwise provide us with any competitive advantage. Any patents that we may own or in -license may be challenged, narrowed, circumvented, or invalidated by third parties. Consequently, we do not know whether any of our therapeutic candidates or technologies will be protectable or remain protected by valid and enforceable patents. In addition, any future patents we obtain may not be sufficiently broad to prevent others from using our technologies or from developing competing therapeutic candidates in a non-infringing manner. In addition, given the amount of time required for the development, testing, and regulatory review of new therapeutic candidates, patents protecting such candidates might expire before or shortly after such candidates are commercialized. As a result, our patent rights may not provide us with sufficient rights to exclude others from commercializing products similar or identical to ours.
78
The issuance of a patent is not conclusive as to its inventorship, scope, validity, or enforceability, and any patents we may own or in-license in the future may be challenged in the courts or patent offices in the United States and abroad. We may be subject to a third-party pre-issuance submission of prior art to the United States Patent and Trademark Office, or USPTO, or become involved in opposition, derivation, revocation, reexamination, post-grant review, inter partes review or interference proceedings challenging our patent rights or the patent rights of others. An adverse determination in any such submission, proceeding or litigation could reduce the scope of, invalidate, or hold unenforceable, our patent rights, allow third parties to commercialize our technologies or products and compete directly with us, without payment to us, or result in our inability to manufacture or commercialize products without infringing third-party patent rights. Moreover, we may have to participate in interference proceedings declared by the USPTO to determine priority of invention or in post-grant challenge proceedings, such as oppositions in a foreign patent office, that challenge priority of invention or other features of patentability. Such challenges may result in loss of patent rights, loss of exclusivity, or in patent claims being narrowed, invalidated, or held unenforceable, which could limit our ability to stop others from using or commercializing similar or identical technologies and products, or limit the duration of the patent protection of our technologies and therapeutic candidates. Such proceedings also may result in substantial cost and require significant time from our scientists and management, even if the eventual outcome is favorable to us.
Moreover, some of the patents and patent applications we may own or in-license in the future may be co-owned with third parties. If we are unable to obtain an exclusive license to any such third-party co-owners’ interest in such patents or patent applications, such co-owners may be able to license their rights to other third parties, including our competitors, and our competitors could market competing products and technologies. In addition, we may need the cooperation of any such co-owners of our patents in order to enforce such patents against third parties, and such cooperation may not be provided to us. Any of the foregoing could have a material adverse effect on our competitive position, business, financial conditions, results of operations, and prospects.
Changes to the patent law in the United States and other jurisdictions could diminish the value of patents in general, thereby impairing our ability to protect our products.
As is the case with other biopharmaceutical companies, our success may be heavily dependent on intellectual property, particularly patents. Obtaining and enforcing patents in the biopharmaceutical industry involves both technological and legal complexity and is therefore costly, time consuming and inherently uncertain. Changes in either the patent laws or interpretation of the patent laws in the United States or other jurisdictions could increase the uncertainties and costs surrounding the prosecution of patent applications and the enforcement or defense of issued patents. For example, the Leahy-Smith America Invents Act, or the Leahy-Smith Act, which was signed into law in September 2011, made a number of significant changes to U.S. patent law, affecting the way patent applications are prosecuted, redefining prior art and providing more efficient and cost-effective avenues for competitors to challenge the validity of patents. In addition, the Leahy-Smith Act has transformed the U.S. patent system from a “first-to-invent” system to a “first-to-file” system in which, assuming that other requirements for patentability are met, the first inventor to file a patent application will be entitled to the patent on an invention regardless of whether a third party was the first to invent the claimed invention. The first-to-file provisions require patent applicants such as us to be cognizant of the time from invention to filing of a patent application and be diligent in filing patent applications. However, circumstances could prevent us from promptly filing patent applications on our inventions. Similar legislation could make it more difficult to obtain patent protection for our inventions and increase the uncertainties and costs surrounding the prosecution of our or our future collaboration partners’ patent applications and the enforcement or defense of our or our future collaboration partners’ issued patents, if any, all of which could harm our business, results of operations, financial condition and prospects.
In addition, the patent positions of companies in the development and commercialization of biologics and pharmaceuticals are particularly uncertain. The U.S. Supreme Court has ruled on several patent cases in recent years, either narrowing the scope of patent protection available in certain circumstances or weakening the rights of patent owners in certain situations. This combination of events has created uncertainty with respect to the validity and enforceability of patents, once obtained. Additionally, there have been recent proposals for additional changes to the patent laws of the United States and other countries that, if adopted, could impact our ability to enforce our intellectual property. Depending on future actions by the U.S. Congress, the U.S. courts, the USPTO and the relevant law-making bodies in other countries, the laws and regulations governing patents could change in unpredictable ways that could have a material adverse effect on and weaken our ability to obtain and enforce new patents and patents that we or our collaboration partners might obtain in the future.
79
We may not be able to protect our intellectual property rights throughout the world.
Although we have issued patents in the United States and pending patent applications in the United States and other countries, filing, prosecuting, maintaining, enforcing and defending patents in all countries throughout the world would be prohibitively expensive, and our intellectual property rights in some countries outside the United States can be less extensive than those in the United States. In addition, the laws of some foreign countries do not protect intellectual property rights to the same extent as federal and state laws in the United States. Consequently, we may not be able to prevent third parties from practicing our inventions in all countries outside the United States or from selling or importing products made using our inventions in and into the United States or other jurisdictions. Competitors may use our technologies in jurisdictions where we have not obtained patent protection to develop their own products and, further, may export otherwise infringing products to territories where we have patent protection, but enforcement is not as strong as that in the United States. These products may compete with our therapeutic candidates, and our patents, the patents of our current and future partners, or other intellectual property rights may not be effective or sufficient to prevent them from competing.
Many companies have encountered significant problems in protecting and defending intellectual property rights in foreign jurisdictions. The legal systems of many foreign countries do not favor the enforcement of patents and other intellectual property protection, which could make it difficult for us to stop the infringement of our patents or our partners’ patents or marketing of competing products in violation of our proprietary rights. Proceedings to enforce our patent rights in foreign jurisdictions could result in substantial costs and divert our efforts and attention from other aspects of our business, could put our patents or the patents of our partners at risk of being invalidated or interpreted narrowly and our patent applications or the patent applications of our partners at risk of not issuing and could provoke third parties to assert claims against us. We may not prevail in any lawsuits that we initiate, and the damages or other remedies awarded, if any, may not be commercially meaningful.
Accordingly, our efforts to enforce our intellectual property rights around the world may be inadequate to obtain a significant commercial advantage from the intellectual property that we develop or license.
Many countries have compulsory licensing laws under which a patent owner may be compelled to grant licenses to third parties. In addition, many countries limit the enforceability of patents against government agencies or government contractors. In these countries, the patent owner may have limited remedies, which could materially diminish the value of such patent. If we or our partners are forced to grant a license to third parties with respect to any patents relevant to our business, our competitive position may be impaired, and our business, financial condition, results of operations and prospects may be adversely affected.
If we are sued for infringing, misappropriating or otherwise violating intellectual property or proprietary rights of third parties, such litigation or disputes could be costly and time-consuming and could prevent or delay us from developing or commercializing our therapeutic candidates.
Our commercial success depends, in part, on our ability to develop, manufacture, market and sell our therapeutic candidates and use our technologies without infringing, misappropriating or otherwise violating the intellectual property and other proprietary rights of third parties. If any third-party patents, patent applications or other intellectual or proprietary rights are enforced against us and found to be valid, enforceable and cover our therapeutic candidates or their compositions, methods of use or manufacturing, third parties owning such intellectual or proprietary rights could seek an injunction prohibiting our ability to develop, manufacture, market and sell our therapeutic candidates and technologies, or we may be required to pay damages, which could be substantial, and we would not be free to manufacture, use or market our therapeutic candidates or to do so without obtaining a license, which may not be available on commercially reasonable terms, or at all.
80
We may in the future become party to, or threatened with, adversarial proceedings or litigation regarding intellectual property or proprietary rights with respect to our therapeutic candidates and technologies we use in our business. Our competitors or other third parties may assert infringement, misappropriation or other claims against us alleging, for example, that our therapeutic candidates or technologies we use in our business are covered by their patents. We cannot be certain that we do not infringe existing patents or that we will not infringe patents that may be granted in the future. Our competitors in both the United States and abroad, many of which have substantially greater resources and have made substantial investments in patent portfolios and competing technologies, may have applied for or obtained or may in the future apply for or obtain, patents that will prevent, limit or otherwise interfere with our ability to make, use and sell, if approved, our therapeutic candidates. As the biotechnology and pharmaceutical industries expand and more patents are issued, and as we gain greater visibility and market exposure as a public company, the risk increases that our existing therapeutic candidates and any other therapeutic candidates that we may develop or technologies we use in our business may be subject to claims of infringement of the patent rights of third parties. Furthermore, because patent applications can take many years to issue and may be confidential for 18 months or more after filing, and because patent claims can be revised before issuance, there may be applications now pending which may later result in issued patents that may be infringed by the manufacture, use or sale of our therapeutic candidates or technologies we use in our business. If a patent holder believes our therapeutic candidates or technologies we use in our business infringe on its patent rights, the patent holder may sue us even if we have received patent protection for our therapeutic candidates or technologies.
There is a substantial amount of intellectual property litigation in the biotechnology and pharmaceutical industries, and we may become party to, or threatened with, litigation or other adversarial proceedings regarding intellectual property or proprietary rights with respect to our therapeutic candidates and technologies, including interference proceedings or post-grant challenges before the USPTO. Third parties may also assert infringement, misappropriation or other claims against us based on existing or future intellectual property or proprietary rights. The outcome of intellectual property litigation and other disputes is subject to uncertainties that cannot be adequately quantified in advance. The pharmaceutical and biotechnology industries have produced a significant number of patents, and it may not always be clear to industry participants, including us, which patents cover various types of technologies, products or methods of using or manufacturing products. The coverage of patents is subject to interpretation by the courts, and the interpretation is not always uniform. Our analysis of these issues, including interpreting the relevance or the scope of claims in a patent or a pending application, determining applicability of such claims to our technologies or therapeutic candidates, predicting whether a third party’s pending patent application will issue with claims of relevant scope, and determining the expiration date of any patent in the United States or abroad that we consider relevant to our therapeutic candidates may be incorrect, which may negatively impact our ability to develop, manufacture, use and market our therapeutic candidates or technologies.
If we were sued for patent infringement, we would need to demonstrate that our therapeutic candidates, technologies or methods of use, manufacturing or other applicable activities either do not infringe the patent claims of the relevant patent or that the patent claims are invalid or unenforceable, and we may not be successful in doing so. Proving invalidity or unenforceability may be difficult. For example, in the United States, proving invalidity requires a showing of clear and convincing evidence to overcome the presumption of validity enjoyed by issued patents. Even if we believe third-party intellectual property claims are without merit, there is no assurance that a court would find in our favor on questions of infringement, validity, enforceability or priority. In addition, we may not have sufficient resources to bring these actions to a successful conclusion.
If we are found to infringe, misappropriate or otherwise violate a third party’s intellectual property or proprietary rights and we are unsuccessful in demonstrating that such intellectual property or proprietary rights are invalid or unenforceable, we could be forced, including by court order, to cease developing, manufacturing, using or commercializing the infringing therapeutic candidate or technology. Alternatively, we may be required to obtain a license from such third party in order to use the infringing technology and continue developing, manufacturing or marketing the infringing therapeutic candidate. However, we may not be able to obtain any required license on commercially reasonable terms or at all. Even if we were able to obtain such a license, it could be granted on non-exclusive terms, thereby giving our competitors and other third parties access to the same technologies licensed to us, and it could require us to make substantial licensing, royalty and other payments. In addition, we could be found liable for significant monetary damages, including treble damages and attorneys’ fees if we are found to have willfully infringed such third-party patent rights. A finding of infringement could prevent us from commercializing our therapeutic candidates or force us to cease some of our business operations, which could materially harm our business. Claims that we have misappropriated the confidential information or trade secrets of third parties could have a similar negative impact on our business, financial condition, results of operations and prospects.
81
Intellectual property litigation could cause us to spend substantial resources and distract our personnel from their normal responsibilities.
Litigation and other legal proceedings relating to intellectual property claims, with or without merit, are unpredictable and generally expensive and time consuming and are likely to divert significant resources from our core business, including distracting our technical and management personnel from their normal responsibilities. Furthermore, because of the substantial amount of discovery required in connection with intellectual property litigation, there is a risk that some of our confidential information could be compromised by disclosure during this type of litigation. In addition, there could be public announcements of the results of hearings, motions or other interim proceedings or developments and if securities analysts or investors perceive these results to be negative, it could have a substantial adverse effect on the price of our common stock. Moreover, such litigation or proceedings could substantially increase our operating losses and reduce the resources available for development activities or any future sales, marketing or distribution activities.
We may not have sufficient financial or other resources to adequately conduct such litigation or proceedings. Some of our competitors may be able to sustain the costs of such litigation or proceedings more effectively than we can because of their greater financial resources and more mature and developed intellectual property portfolios. Accordingly, despite our efforts, we may not be able to prevent third parties from infringing upon, misappropriating or otherwise violating or from successfully challenging our intellectual property rights. Uncertainties resulting from the initiation and continuation of patent litigation or other proceedings could have a material adverse effect on our ability to compete in the marketplace.
We may be subject to claims by third parties asserting that we, or our employees or consultants have misappropriated their intellectual property, or claiming ownership of what we regard as our own intellectual property.
Some of our employees and consultants are currently or have been previously employed at universities or research institutions, or at other biotechnology or pharmaceutical companies, including our competitors or potential competitors. These employees and consultants may have executed proprietary rights, non-disclosure and non-competition agreements, or similar agreements, in connection with such other current or previous employment. Although we try to ensure that our employees and consultants do not use the proprietary information or know-how of others in their work for us, we may be subject to claims that we or these individuals have used or disclosed intellectual property, including trade secrets or other proprietary information, of third parties. Litigation may be necessary to defend against such claims. If we fail in defending any such claims, in addition to paying monetary damages, we may lose valuable intellectual property or personnel or sustain damages. Such intellectual property could be awarded to a third party, and we could be required to obtain a license from such third party to develop and commercialize our therapeutic candidates or technologies. Such a license may not be available on commercially reasonable terms or at all and may not be exclusive to us. Even if we are successful in defending against such claims, litigation could result in substantial costs and be a distraction to our management. Any of the foregoing would have a material adverse effect on our business, financial condition, results of operations and prospects.
While it is our policy to require our employees, consultants and contractors who may be involved in the conception or development of intellectual property to execute agreements assigning such intellectual property to us, we may be unsuccessful in executing such an agreement with each party who, in fact, conceives or develops intellectual property that we regard as our own, which may result in claims by or against us related to the ownership of such intellectual property. In addition, such agreements may not be self-executing and the intellectual property subject to such agreements may not be assigned to us without additional assignments being executed, and we may fail to obtain such additional assignments. Any invention assignment agreements we have with third parties, employees, consultants or contractors may be breached, and it may be difficult or impossible to enforce them. In addition, we have several sponsored research agreements relating to our research and development efforts with various academic institutions. Some of these academic institutions may not have intellectual property assignments or similar agreements with their employees and consultants, or may not permit their employees to assign intellectual property outside the academic institution, which may result in claims by or against us related to ownership of any intellectual property. Accordingly, we may be forced to bring claims against third parties, or defend claims that they may bring against us, to determine the ownership of what we regard as our intellectual property. If we fail in prosecuting or defending any such claims, in addition to paying monetary damages, we may lose valuable intellectual property. Even if we are successful in prosecuting or defending against such claims, litigation could result in substantial costs and be a distraction to our senior management and scientific personnel, which would have a material adverse effect on our business, financial condition, results of operations and prospects.
82
Obtaining and maintaining patent protection depends on compliance with various procedural, documentary, fee payment and other requirements imposed by governmental patent offices, and any future patent protection could be reduced or eliminated for noncompliance with these requirements.
Periodic maintenance fees, renewal fees, annuity fees and various other government fees on issued patents and patent applications are due to be paid to the USPTO and patent offices in foreign countries in several stages over the lifetime of the patent. In addition, the USPTO and patent offices in foreign countries require compliance with a number of procedural, documentary, fee payment and other requirements during the patent application process. We may rely on partners to pay these fees due to U.S. and non-U.S. patent agencies and to comply with other requirements with respect to licensed patents and patent applications. While an inadvertent lapse may, in some jurisdictions and under certain circumstances, be cured by payment of a late fee or by other means in accordance with the applicable rules, there are situations in which noncompliance can result in abandonment or lapse of the patent or patent application, resulting in partial or complete and irrevocable loss of a patent or patent rights in the relevant jurisdiction. Noncompliance events that could result in abandonment or lapse of a patent or patent application include, but are not limited to, failure to respond to official actions within prescribed time limits, non-payment of fees and failure to properly legalize and submit formal documents. In such an event, our competitors and other third parties might be able to enter the market with similar or identical products or technologies, which would have a material adverse effect on our business, financial condition, results of operations and prospects.
If we are unable to protect the confidentiality of our trade secrets, the value of our therapeutic candidates and technologies could be materially adversely affected and our business would be harmed.
In addition to the protection afforded by patents, we rely upon trade secrets, know-how and continuing technological innovation to develop and maintain our competitive position. We seek to protect our proprietary know-how and trade secrets in part by entering into non-disclosure and confidentiality agreements with parties who have access to such knowledge, such as our employees, consultants, independent contractors, advisors, CMOs, CROs, suppliers, partners and other third parties. However, we cannot guarantee that we have entered into such agreements with each party that may have or have had access to our proprietary know-how or trade secrets. Additionally, our confidentiality agreements and other contractual protections may not be adequate to protect our intellectual property from unauthorized disclosure, third-party infringement or misappropriation (such as a cybersecurity breach). Any party with whom we have executed such an agreement may breach that agreement and disclose our proprietary information, including our trade secrets, and we may not be able to obtain adequate remedies for such breaches. Enforcing a claim that a party illegally disclosed or misappropriated a trade secret is difficult, expensive and time-consuming, and the outcome is unpredictable.
In addition, some courts in the United States and certain foreign jurisdictions are less willing or unwilling to protect trade secrets. Even if we are successful in protecting the confidentiality of our trade secrets, others may independently develop the same information or technology, or may be able to discern or reverse engineer our proprietary information or technology from public sources of information. Additionally, though our agreements with third parties typically restrict their ability to publish data potentially relating to our trade secrets, our agreements may contain certain limited publication rights. If any of our trade secrets were to be lawfully obtained or independently developed by a competitor or other third party, we would have no right to prevent such third party, or those to whom they communicate such technology or information, from using that technology or information to compete with us, which could harm our competitive position. If any of our trade secrets were to be disclosed to or independently developed by a competitor or other third party, our business, financial condition, results of operations and prospects could be materially harmed.
If we fail to comply with our obligations in any agreements under which we may license intellectual property rights to or from third parties or otherwise experience disruptions to our business relationships with our current partners or any future licensors, we could lose license rights that are important to our business.
We have and may in the future from time to time enter into license or collaboration agreements with third parties to advance our research or allow commercialization of therapeutic candidates. Such agreements may impose numerous obligations, such as development, diligence, payment, commercialization, non-compete, funding, milestone, royalty, sublicensing, patent prosecution, enforcement and other obligations on us and may require us to meet development timelines, or to exercise commercially reasonable efforts to develop and commercialize licensed products, in order to maintain the licenses. In spite of our best efforts, our current partners or any future licensors might conclude that we have materially breached any of our license agreements and might therefore terminate the license agreements, thereby removing or limiting our ability to develop and commercialize products and technologies covered by these license agreements.
Any termination of these licenses, or if the underlying patents fail to provide the intended exclusivity, could result in the loss of significant rights and could harm our ability to commercialize our therapeutic candidates, and competitors or other third parties would have the freedom to seek regulatory approval of, and to market, products identical to ours and we may be required to cease our development and commercialization of certain of our therapeutic candidates.
83
Disputes may also arise between us and our current partners or any future licensors regarding intellectual property subject to a license agreement, including, but not limited to:
The agreements under which we may license intellectual property or technology from third parties are likely to be complex, and certain provisions in such agreements may be susceptible to multiple interpretations. The resolution of any contract interpretation disagreement that may arise could narrow what we believe to be the scope of our rights to the relevant intellectual property or technology, or increase what we believe to be our financial or other obligations under the relevant agreement, either of which could have a material adverse effect on our business, financial condition, results of operations and prospects. Moreover, if disputes over intellectual property that we may license prevent or impair our ability to maintain future licensing arrangements on acceptable terms, we may be unable to successfully develop and commercialize the affected therapeutic candidates. Any of the foregoing could have a material adverse effect on our business, financial condition, results of operations and prospects.
If we cannot acquire or license rights to use technologies on reasonable terms or at all, we may not be able to commercialize our current or any future products or technologies.
In the future, we may identify third-party intellectual property and technology we may need to license in order to engage in our business, including to develop or commercialize new products or technologies, and the growth of our business may depend in part on our ability to acquire, in-license or use this technology. However, such licenses may not be available to us on acceptable terms or at all. The licensing or acquisition of third-party intellectual property rights is a competitive area, and several more established companies may pursue strategies to license or acquire third-party intellectual property rights that we may consider attractive or necessary. These established companies may have a competitive advantage over us due to their size, capital resources and greater development or commercialization capabilities. In addition, companies that perceive us to be a competitor may be unwilling to assign or license rights to us. Even if such licenses are available, we may be required to pay the licensor in return for the use of such licensor’s technology, including up-front payments, ongoing maintenance fees, payments based on certain milestones such as development and regulatory events and sales volumes, or royalties. In addition, such licenses may be non-exclusive, which could give our competitors and other third parties access to the same intellectual property licensed to us. Moreover, we could encounter delays in the introduction of products while we attempt to develop alternatives. Failure to obtain any of these licenses on favorable terms could prevent us from commercializing our current and any future therapeutic candidates and technologies. Any of the foregoing could have a material adverse effect on our business, financial condition, results of operations and prospects.
84
If we do not obtain patent term extension and data exclusivity for any therapeutic candidates we may develop, our business may be materially harmed.
Depending upon the timing, duration and specifics of any FDA marketing approval of any therapeutic candidates we may develop, one or more of our U.S. patents, if issued, may be eligible for limited patent term extension under the Drug Price Competition and Patent Term Restoration Action of 1984, or the Hatch-Waxman Amendments. The Hatch-Waxman Amendments permit a patent extension term of up to five years as compensation for patent term lost during the FDA regulatory review process, although the amount of available extension to any specific patent eligible for patent term extension depends on a variety of factors, including the date on which the patent issues and certain dates related to the regulatory review period. A patent term extension cannot extend the remaining term of a patent beyond a total of 14 years from the date of product approval, only one patent may be extended and only those claims covering the approved drug, a method for using it, or a method for manufacturing it may be extended. However, we may not be granted an extension because of, for example, failing to exercise due diligence during the testing phase or regulatory review process, failing to apply within applicable deadlines, failing to apply prior to expiration of relevant patents, or otherwise failing to satisfy applicable requirements. Moreover, the applicable time period or the scope of patent protection afforded could be less than we request. To the extent we have in-licensed any U.S. patents, we may not have control over the patent term extension process and may rely on our partners to obtain a patent term extension. Moreover, under the agreements pursuant to which we out-license or assign our MZE001, ATXN2 and UNC13A patent portfolios, the applicable licensees have the sole right to apply for patent term extensions with respect to the licensed patents and patent applications. If we or our partners are unable to obtain patent term extension or if the term of any such extension is less than we request, our competitors may obtain approval of competing products following our patent expiration, and our business, financial condition, results of operations and prospects could be materially harmed.
We may become involved in lawsuits to protect or enforce any patents we may own or in-license in the future, which could be expensive, time consuming and unsuccessful and any patents we may own or in-license in the future covering our therapeutic candidates could be found invalid or unenforceable if challenged in courts or patents offices.
Competitors and other third parties may infringe, misappropriate or otherwise violate our intellectual property rights. To counter infringement, misappropriation or other violations, we may be required to file infringement, misappropriation or other claims in order to enforce our intellectual property rights, which can be expensive and time-consuming and divert the time and attention of our management and business and scientific personnel. In addition, many of our adversaries in these proceedings may have the ability to dedicate substantially greater resources to prosecuting these legal actions than we can. Our ability to enforce our patents or other intellectual property rights depends on our ability to detect infringement. It may be difficult to detect infringers who do not advertise the components or methods that are used in connection with their products and services. Moreover, it may be difficult or impossible to obtain evidence of infringement in a third party’s product or service.
We may not prevail in any lawsuits that we initiate and the damages or other remedies awarded if we were to prevail may not be commercially meaningful. In such a proceeding, a court may decide that an asserted patent is not valid or is unenforceable, or may refuse to stop the other party from using the technology at issue on the grounds that the asserted patent or other intellectual property right does not cover the third-party technology in question. An adverse result in any litigation or defense proceedings could put one or more asserted patents at risk of being invalidated or interpreted narrowly and could put related patent applications at risk of not issuing.
If we were to initiate legal proceedings against a third party to enforce a patent we may own or in-license in the future covering one or more of our therapeutic candidates, the defendant could counterclaim that the patent covering our therapeutic candidate is invalid and/or unenforceable. In patent litigation in the United States or elsewhere, defendant counterclaims challenging the validity, enforceability or scope of asserted patents are commonplace. Grounds for a validity challenge could be an alleged failure to meet any of several statutory requirements, including lack of subject matter eligibility, lack of novelty, obviousness, lack of adequate written description or non-enablement. Grounds for an unenforceability assertion could be an allegation that someone connected with prosecution of the patent withheld relevant information from the USPTO or any other applicable patent office, or made a misleading statement during prosecution. Third parties may also raise similar validity claims before the USPTO in post-grant proceedings such as reexaminations, inter partes review or post-grant review, or oppositions or similar proceedings in foreign patent offices, in parallel with litigation or even outside the context of litigation. Such proceedings could result in the revocation of, cancellation of, or amendment to our patents in such a way that they no longer cover our therapeutic candidates or technology. The outcome following legal assertions of invalidity and unenforceability is unpredictable. With respect to the validity question, for example, we cannot be certain that there is no invalidating prior art of which we and the patent examiner were unaware during prosecution. If a defendant were to prevail on a legal assertion of invalidity and/or unenforceability, we would lose at least part, and perhaps all, of the patent protection on our current or future therapeutic candidates. Such a loss of patent protection would have a material adverse impact on our business.
85
In addition, interference, derivation or other proceedings provoked by third parties or brought by us or declared by the USPTO may be necessary to determine the priority of inventions with respect to our current or future patents or patent applications. An unfavorable outcome could require us to cease using the related technology or to attempt to license rights to it from the prevailing party. Our business could be harmed if the prevailing party does not offer us a license on commercially reasonable terms or at all, or if a non-exclusive license is offered and our competitors or other third parties gain access to the same technology.
Our defense of litigation or interference, derivation or other proceedings may fail and, even if successful, may result in substantial costs and distract our management and other employees. Even if we establish infringement, the court may decide not to grant an injunction against further infringing activity and instead award only monetary damages, which may or may not be an adequate remedy. Any of the foregoing could have a material adverse effect on our financial condition, results of operations and prospects.
If our trademarks and trade names are not adequately protected, then we may not be able to build name recognition in our markets of interest and our business may be adversely affected.
We intend to use registered or unregistered trademarks or trade names to brand and market ourselves and our products. We may design or create new trademarks and apply to register them, but our trademark applications may not be approved in the United States or any other relevant jurisdiction. Our trademarks and trade names may be challenged, infringed, circumvented, declared generic, lapsed or determined to be infringing on or dilutive of other marks. Third parties may oppose or attempt to cancel our trademark applications or trademarks, or otherwise challenge our use of the trademarks. In the event that our trademarks are successfully challenged, we could be forced to rebrand our products, which could result in loss of brand recognition and could require us to devote resources to advertising and marketing new brands. Competitors or other parties in our industry may adopt trademarks or trade names similar to ours, thereby impeding our ability to build brand identity and possibly leading to market confusion. In addition, third parties may infringe our trademarks and we may not have adequate resources to enforce our trademark rights. If we attempt to enforce our trademarks and assert trademark infringement claims, a court may determine that the marks we have asserted are invalid or unenforceable, or that the party against whom we have asserted trademark infringement has superior rights to the marks in question. In this case, we could ultimately be forced to cease use of such trademarks. Over the long term, if we are unable to establish name recognition based on our trademarks and trade names, then we may not be able to compete effectively and our business may be adversely affected.
Intellectual property rights do not necessarily address all potential commercial or competitive threats.
The degree of future protection afforded by our intellectual property rights is uncertain because intellectual property rights have limitations and may not adequately protect our business or permit us to maintain our competitive advantage. For example:
86
Should any of these events occur, they could have a material adverse effect on our business, financial condition, results of operations and prospects.
Risks related to our common stock
The market price of our common stock may be highly volatile, and you could lose all or part of your investment.
The market price of our common stock may be highly volatile and subject to wide fluctuations in response to various factors, some of which are outside of our control. The market price for our common stock may be influenced by many factors, including the other risks described in this “Risk factors” section and the following:
87
In addition, the stock market in general, and the markets for pharmaceutical, biopharmaceutical and biotechnology stocks in particular, have experienced extreme price and volume fluctuations that have been often unrelated or disproportionate to the operating performance of the issuer. Furthermore, the trading price of our common stock may be adversely affected by third parties trying to drive down the market price. Short sellers and others, some of whom post anonymously on social media, may be positioned to profit if our stock declines and their activities can negatively affect our stock price. These broad market and industry factors may seriously harm the market price of our common stock, regardless of our actual operating performance. The realization of any of the above risks or any of a broad range of other risks, including those described in this “Risk factors” section, could have a dramatic and adverse impact on the market price of our common stock.
In the past, securities class action litigation has often been brought against public companies following declines in the market price of their securities. This risk is especially relevant for biopharmaceutical companies, which have experienced significant stock price volatility in recent years. If we face such litigation, it could result in substantial costs and a diversion of management’s attention and our resources, which could harm our business.
If securities or industry analysts do not publish research or reports about our business, or if they issue an adverse or misleading opinion regarding our company, our common stock price and trading volume could decline.
The trading market for our common stock will be influenced by the research and reports that industry or securities analysts publish about us or our business. If any of the analysts who cover us issue an adverse or misleading opinion regarding us, our business model, our intellectual property or our stock performance, or if our current or future clinical trials, preclinical studies and operating results fail to meet the expectations of analysts, our stock price would likely decline. If one or more of such analysts cease coverage of us or fail to publish reports on us regularly, we could lose visibility in the financial markets, which in turn could cause a decline in our stock price or trading volume.
Our principal stockholders and management own a significant percentage of our stock and will be able to exert significant control over matters subject to stockholder approval.
Based on the beneficial ownership of our common stock as of February 28, 2025, our executive officers, directors, holders of 5% or more of our capital stock and their respective affiliates beneficially owned 61.9% of our voting stock. As a result, these stockholders, if acting together, will continue to have influence over the outcome of corporate actions requiring stockholder approval, including the election of directors, amendment of our organizational documents, any merger, consolidation or sale of all or substantially all of our assets and any other significant corporate transaction. The interests of these stockholders may not be the same as or may even conflict with your interests. For example, these stockholders could delay or prevent a change of control of our company, even if such a change of control would benefit our other stockholders, which could deprive our stockholders of an opportunity to receive a premium for their common stock as part of a sale of our company or our assets and might affect the prevailing market price of our common stock.
Our disclosure controls and procedures may not prevent or detect all errors or acts of fraud.
We are subject to the periodic reporting requirements of the Exchange Act of 1934, as amended, or the Exchange Act. We designed our disclosure controls and procedures to reasonably assure that information we must disclose in reports we file or submit under the Exchange Act is accumulated and communicated to management, and recorded, processed, summarized and reported within the time periods specified in the rules and forms of the SEC. We believe that any disclosure controls and procedures or internal controls and procedures, no matter how well-conceived and operated, can provide only reasonable, not absolute, assurance that the objectives of the control system are met.
These inherent limitations include the realities that judgments in decision-making can be faulty, and that breakdowns can occur because of simple error or mistake. For example, our directors or executive officers could inadvertently fail to disclose a new relationship or arrangement causing us to fail to make any related-party transaction disclosures. Additionally, controls can be circumvented by the individual acts of some persons, by collusion of two or more people or by an unauthorized override of the controls.
88
Accordingly, because of the inherent limitations in our control system, misstatements due to error or fraud may occur and not be detected.
Anti-takeover provisions in our charter documents and under Delaware law could prevent or delay an acquisition of us, which may be beneficial to our stockholders, and may prevent attempts by our stockholders to replace or remove our current management.
Our restated certificate of incorporation and our restated bylaws contain provisions that could delay or prevent a change in control of our company. These provisions could also make it difficult for stockholders to elect directors who are not nominated by current members of our board of directors or take other corporate actions, including effecting changes in our management. These provisions:
In addition, Section 203 of the Delaware General Corporation Law, or DGCL, may discourage, delay or prevent a change in control of our company. Section 203 imposes certain restrictions on mergers, business combinations and other transactions between us and holders of 15% or more of our common stock.
The exclusive forum provisions in our organizational documents may limit a stockholder’s ability to bring a claim in a judicial forum that it finds favorable for disputes with us or any of our directors, officers, or other employees, which may discourage lawsuits with respect to such claims.
Our restated certificate of incorporation, to the fullest extent permitted by law, provides that the Court of Chancery of the State of Delaware is the exclusive forum for: any derivative action or proceeding brought on our behalf; any action asserting a breach of fiduciary duty; any action asserting a claim against us arising pursuant to the DGCL, our restated certificate of incorporation, or our restated bylaws; or any action asserting a claim against us that is governed by the internal affairs doctrine. This exclusive forum provision does not apply to suits brought to enforce a duty or liability created by the Exchange Act. It could apply, however, to a suit that falls within one or more of the categories enumerated in the exclusive forum provision.
This choice of forum provision may limit a stockholder’s ability to bring a claim in a judicial forum that it finds favorable for disputes with us or any of our directors, officers, or other employees, which may discourage lawsuits with respect to such claims. Alternatively, if a court were to find the choice of forum provisions contained in our restated certificate of incorporation to be inapplicable or unenforceable in an action, we may incur additional costs associated with resolving such action in other jurisdictions, which could harm our business, results of operations and financial condition.
Section 22 of the Securities Act creates concurrent jurisdiction for federal and state courts over all claims brought to enforce any duty or liability created by the Securities Act or the rules and regulations thereunder. Our restated certificate of incorporation provides that the federal district courts of the United States is, to the fullest extent permitted by law, the exclusive forum for resolving any complaint asserting a cause of action arising under the Securities Act, or the Federal Forum Provision, including for all causes of action asserted against any defendant named in such complaint. For the avoidance of doubt, this provision is intended to benefit and may be enforced by us, directors, officers, other employees, agents, and the underwriters to any offering giving rise to such complaint, and any other professional person or entity whose profession gives authority to a statement made by that person or entity and who has prepared or certified any part of the documents underlying the offering. Our decision to adopt a Federal Forum Provision followed a decision by the Supreme Court of the State of Delaware holding that such provisions are facially valid under Delaware law.
89
While federal or other state courts may not follow the holding of the Delaware Supreme Court or may determine that the Federal Forum Provision should be enforced in a particular case, application of the Federal Forum Provision means that suits brought by our stockholders to enforce any duty or liability created by the Securities Act must be brought in federal court and cannot be brought in state court, and our stockholders cannot waive compliance with the federal securities laws and the rules and regulations thereunder.
Section 27 of the Exchange Act creates exclusive federal jurisdiction over all claims brought to enforce any duty or liability created by the Exchange Act or the rules and regulations thereunder. In addition, neither the exclusive forum provision nor the Federal Forum Provision applies to suits brought to enforce any duty or liability created by the Exchange Act. Accordingly, actions by our stockholders to enforce any duty or liability created by the Exchange Act or the rules and regulations thereunder must be brought in federal court, and our stockholders cannot waive compliance with the federal securities laws and the rules and regulations thereunder.
Any person or entity purchasing or otherwise acquiring or holding any interest in any of our securities shall be deemed to have notice of and consented to our exclusive forum provisions, including the Federal Forum Provision. These provisions may limit a stockholders’ ability to bring a claim, and may result in increased costs for a stockholder to bring such a claim, in a judicial forum of their choosing for disputes with us or our directors, officers, other employees or agents, which may discourage lawsuits against us and our directors, officers, other employees or agents.
Because we do not anticipate paying any cash dividends on our capital stock in the foreseeable future, capital appreciation, if any, will be your sole source of gain.
We have never declared or paid cash dividends on our capital stock. We currently intend to retain all of our future earnings, if any, to finance the growth and development, operation and expansion of our business and do not anticipate declaring or paying any cash dividends for the foreseeable future. As a result, capital appreciation, if any, of our common stock will be your sole source of gain for the foreseeable future.
General risk factors
We will incur increased costs as a result of operating as a public company, and our management will be required to devote substantial time to new compliance initiatives and corporate governance practices.
As a public company, and particularly after we are no longer an EGC or SRC, we will incur significant legal, accounting and other expenses that we did not incur as a private company. The Sarbanes-Oxley Act of 2002, as amended, or the Sarbanes-Oxley Act, the Dodd-Frank Wall Street Reform and Consumer Protection Act, the listing requirements of the Nasdaq Stock Market, LLC, or Nasdaq, and other applicable securities rules and regulations impose various requirements on public companies, including establishment and maintenance of effective disclosure and financial controls and corporate governance practices. Our management and other personnel need to devote a substantial amount of time to these compliance initiatives. Moreover, we expect these rules and regulations to substantially increase our legal and financial compliance costs and to make some activities more time consuming and costly. For example, we expect that these rules and regulations may make it more difficult and more expensive for us to obtain director and officer liability insurance and we may be required to incur substantial costs to maintain sufficient coverage. We cannot predict or estimate the amount or timing of additional costs we may incur to respond to these requirements. The impact of these requirements could also make it more difficult for us to attract and retain qualified persons to serve on our board of directors, our board committees or as executive officers. The increased costs may require us to reduce costs in other areas of our business or increase the prices of our products once commercialized. Moreover, these rules and regulations are often subject to varying interpretations, in many cases due to their lack of specificity, and, as a result, their application in practice may evolve over time as new guidance is provided by regulatory and governing bodies. This could result in continuing uncertainty regarding compliance matters and higher costs necessitated by ongoing revisions to disclosure and governance practices.
We are an “EGC” and a “SRC” and we cannot be certain if the reduced reporting requirements applicable to EGCs or SRCs will make our common stock less attractive to investors.
We are an “EGC” as defined in the JOBS Act. For as long as we continue to be an EGC, we may take advantage of exemptions from various reporting requirements that are applicable to other public companies that are not EGCs, including (i) not being required to comply with the auditor attestation requirements of the Sarbanes-Oxley Act, (ii) reduced disclosure obligations regarding executive compensation in this Annual Report on Form 10-K and our periodic reports and proxy statements and (iii) exemptions from the requirements of holding nonbinding advisory stockholder votes on executive compensation and stockholder approval of any golden parachute payments not approved previously. In addition, as an EGC, we are only required to provide two years of audited financial statements and two years of selected financial data in this Annual Report on Form 10-K.
90
We could be an EGC for up to five fiscal years following the completion of our initial public offering; provided, however, certain circumstances could cause us to lose that status earlier, including if we are deemed to be a “large accelerated filer,” which occurs when the market value of our common stock that is held by non-affiliates equals or exceeds $700 million, if we have total annual gross revenue of $1.235 billion or more, or if we issue more than $1.0 billion in non-convertible debt during any three-year period before that time.
Under the JOBS Act, EGCs can also delay adopting new or revised accounting standards until such time as those standards apply to private companies. We have elected to take advantage of the benefits of this extended transition period. Our financial statements may therefore not be comparable to those of companies that comply with such new or revised accounting standards. Until the date that we are no longer an “EGC” or affirmatively and irrevocably opt out of the exemption provided by Section 7(a)(2)(B) of the Securities Act, upon issuance of a new or revised accounting standard that applies to our financial statements and that has a different effective date for public and private companies, we will disclose the date on which adoption is required for non-EGCs and the date on which we will adopt the recently issued accounting standard.
We are also a “SRC.” We may continue to be a SRC if either (i) the market value of our stock held by non-affiliates is less than $250.0 million or (ii) our annual revenue is less than $100.0 million during the most recently completed fiscal year and the market value of our stock held by non-affiliates is less than $700.0 million. If we are a SRC at the time we cease to be an EGC, we may continue to rely on the same exemptions from certain disclosure requirements, including not being required to comply with the auditor attestation requirements of Section 404 of the Sarbanes-Oxley Act, reduced disclosure obligations regarding executive compensation and the option to present only the two most recent fiscal years of audited financial statements in our Annual Report on Form 10-K. We cannot predict if investors will find our common stock less attractive if we choose to rely on these exemptions. If some investors find our common stock less attractive as a result, there may be a less active trading market for our common stock and our share price may be more volatile.
We may be subject to securities litigation, which is expensive and could divert management attention.
The market price of our common stock may be volatile. The stock market in general, and Nasdaq-listed and biopharmaceutical companies in particular, have experienced extreme price and volume fluctuations that have often been unrelated or disproportionate to the operating performance of these companies. In the past, companies that have experienced volatility in the market price of their stock have been subject to securities class action litigation. We may be the target of this type of litigation in the future. Securities litigation against us could result in substantial costs and divert our management’s attention from other business concerns, which could seriously harm our business.
Unstable market and economic conditions and adverse developments affecting the financial services industry, such as actual events or concerns involving liquidity, defaults or nonperformance by financial institutions or transactional counterparties, could adversely affect our current and projected business operations, and its financial condition and results of operations.
From time to time, the global credit and financial markets have experienced extreme volatility and disruptions, including severely diminished liquidity and credit availability, declines in consumer confidence, declines in economic growth, increases in unemployment rates and uncertainty about economic stability. The financial markets and the global economy may also be adversely affected by the current or anticipated impact of tariffs, inflation, a potential recession, uncertainty with respect to federal policy, regulations and employment, including those affecting healthcare regulatory bodies such HHS, CDC and FDA, among others, military conflict, terrorism or other geopolitical events. Sanctions or tariffs imposed by the United States and other countries in response to such matters may also adversely impact the financial markets and the global economy, and any economic countermeasures by the affected countries or others could exacerbate market and economic instability. In addition, adverse developments that affect financial institutions, such as events involving liquidity that are rumored or actual, have in the past and may in the future lead to market-wide liquidity problems. For example, in March 2023, Silicon Valley Bank was closed by the California Department of Financial Protection and Innovation, which appointed the Federal Deposit Insurance Corporation as receiver. The closure of any additional national or regional commercial banks could lead to further economic instability. Although The Department of the Treasury, the Federal Reserve and the FDIC have taken steps to mitigate these risks, widespread demands for customer withdrawals or other liquidity needs of financial institutions for immediately liquidity may still occur in the future.
Although we have not experienced any adverse impact to our liquidity or to our current and projected business operations, financial condition or results of operations, uncertainty remains over liquidity concerns in the broader financial services industry, and our business, our business partners, or industry as a whole may be adversely impacted in ways that we cannot predict at this time. Inflation and fluctuating interest rates have led to a decline in the trading value of previously issued government securities with interest rates below current market interest rates.
91
In addition, if any of our suppliers or other parties with whom we conduct business are unable to access funds pursuant to such instruments or lending arrangements with any financial institution, such parties’ ability to pay their obligations to us or to enter into new commercial arrangements requiring additional payments to us could be adversely affected.
Changes in tax laws or regulations that are applied adversely to us may have a material adverse effect on our business, cash flows, financial condition or results of operations.
New income, sales, use or other tax laws, statutes, rules, or regulations could be enacted at any time, which may adversely affect our business, financial condition, results of operations and prospects. Further, existing tax laws, statutes, rules, or regulations could be interpreted, changed, modified or applied adversely to us. Future changes in corporate tax rates, the realization of net deferred tax assets relating to our operations, the taxation of foreign earnings, and the deductibility of expenses could have a material impact on the value of our deferred tax assets, could result in significant one-time charges, and could increase our future U.S. tax expense. For example, for tax years beginning after December 31, 2021, current law requires taxpayers to capitalize and amortize certain research and development expenditures over five years if incurred in the United States and fifteen years if incurred in foreign jurisdictions, rather than deducting them concurrently. Although there have been legislative proposals to repeal or defer the capitalization requirement to later years, there can be no assurance that the provision will be repealed or otherwise modified.
If we fail to maintain proper and effective internal controls over financial reporting, our ability to produce accurate and timely financial statements could be impaired.
Pursuant to Section 404 of the Sarbanes-Oxley Act, our management will be required to report upon the effectiveness of our internal control over financial reporting beginning with the annual report for our fiscal year ending December 31, 2025. When we lose our status as an “EGC” or “SRC” and become an “accelerated filer” or a “large accelerated filer,” our independent registered public accounting firm will be required to attest to the effectiveness of our internal control over financial reporting. The rules governing the standards that must be met for management to assess our internal control over financial reporting are complex and require significant documentation, testing, and possible remediation. To achieve compliance with Section 404 within the prescribed period, we will be engaged in a process to document and evaluate our internal control over financial reporting, which is both costly and challenging. In this regard, we will need to continue to dedicate internal resources, potentially engage outside consultants and adopt a detailed work plan to assess and document the adequacy of internal control over financial reporting, continue steps to improve control processes as appropriate, validate through testing that controls are functioning as documented and implement a continuous reporting and improvement process for internal control over financial reporting. This process will be time-consuming, costly and complicated.
There may be material weaknesses or significant deficiencies in our internal control over financial reporting in the future. Any failure to maintain internal control over financial reporting could severely inhibit our ability to accurately report our financial condition, results of operations, or cash flows. If we are unable to conclude that our internal control over financial reporting is effective, or if our independent registered public accounting firm determines we have a material weakness or significant deficiency in our internal control over financial reporting, investors may lose confidence in the accuracy and completeness of our financial reports, the market price of our common stock could decline, and we could be subject to sanctions or investigations by Nasdaq, the SEC, or other regulatory authorities. Failure to remedy any material weakness in our internal control over financial reporting, or to implement or maintain other effective control systems required of public companies, could also restrict our future access to the capital markets.
We, or the third parties upon whom we depend, may be adversely affected by earthquakes, fires, power shortages or other natural disasters our business continuity and disaster recovery plans may not provide adequate protection or coverage.
Our current operations are primarily located in the San Francisco Bay Area. Any unplanned event, such as earthquake, flood, fire, explosion, extreme weather condition, epidemic, power shortage, telecommunication failure or other natural or man-made accident or incident that results in our being unable to fully utilize our facilities, or the manufacturing facilities of our third-party contract manufacturers, may have a material and adverse effect on our ability to operate our business, particularly on a daily basis, and have significant negative consequences on our financial and operating conditions. Loss of access to these facilities may result in increased costs, delays in the development of our therapeutic candidates or interruption of our business operations, and have a material adverse effect on our business, financial condition, results of operations and prospects. If a natural disaster, power outage or other event occurred that prevented us from using all or a significant portion of our headquarters, that damaged critical infrastructure such as our research facilities or the manufacturing facilities of our third-party contract manufacturers, or that otherwise disrupted operations, it may be difficult or, in certain cases, impossible, for us to continue our business for a substantial period of time. Our disaster recovery and business continuity plans may prove inadequate in the event of a serious disaster or similar event. We may incur substantial expenses as a result of the limited nature of our disaster recovery and business continuity plans, which could have a material adverse effect on our business, financial condition, results of operation and prospects. As part of our risk management policy, we maintain insurance coverage at levels that we believe are appropriate for our business. However, in the event of an accident or incident at these facilities, we cannot assure you that the amounts of insurance will be sufficient to satisfy any damages and losses. If our facilities, or the manufacturing facilities of our third-party contract manufacturers, are unable to operate because of an accident, incident or for any other reason, even for a short period of time, any or all of our research and development programs may be harmed.
92
Any such business interruption could have a material and adverse effect on our business, financial condition, results of operations and prospects.
Item 1B. Unresolved Staff Comments
None.
Item 1C. Cybersecurity
We recognize the critical importance of cybersecurity in our overall enterprise risk management program. We have developed and implemented a comprehensive and cross-functional cybersecurity risk management program intended to protect the confidentiality, security, and availability of the information we collect and store by identifying, preventing, and mitigating cybersecurity threats and effectively responding to cybersecurity incidents. Our board of directors and management team monitor and evaluate cybersecurity risk on an ongoing basis.
Risk Management and Strategy
Our cybersecurity risk management program is focused on the following key areas:
We engage in the periodic assessment and testing of our policies, standards, processes and practices that are designed to address cybersecurity threats and incidents. These efforts include a wide range of activities, including audits, assessments, threat modeling, vulnerability testing and other exercises focused on evaluating the effectiveness of our cybersecurity measures and planning. Additionally, we regularly engage third parties to perform assessments on our cybersecurity measures, including information security maturity assessments, audits and independent reviews of our information security control environment and operating effectiveness. The results of such assessments, audits and reviews are reported to our audit committee, and we adjust our cybersecurity policies, standards, processes and practices as necessary based on the information provided by these assessments, audits and reviews.
Although we are subject to ongoing and evolving cybersecurity threats, we are not aware of any cybersecurity threats, that have materially affected or are likely to affect us, including our business strategy, results of operations or financial condition. If we were to experience a material cybersecurity incident in the future, such incident may have a material effect, including on our business strategy, operating results, or financial condition.
93
For more information regarding cybersecurity risks that we face and potential impacts on our business related thereto, see the “Risk Factors” disclosures in Item 1A of this Annual Report on Form 10-K.
Governance
Our board of directors, in coordination with our audit committee, oversees our enterprise risk management program, including cybersecurity risk management. On a regular basis, our audit committee discusses our cybersecurity risk management program with our Head of IT and other senior leaders. Our audit committee receives regular reports from our Head of IT on cybersecurity and information technology, including recent developments, evolving standards, vulnerability assessments, third-party and independent reviews, the threat environment, technology trends and information security considerations arising with respect to our peers and third parties. Our full board of directors receives reports from our audit committee on its cybersecurity risk management activities and updates from our management team on our cybersecurity risk management.
Our management team, including our Head of IT and our Senior Vice President, Finance, has primary responsibility for developing and managing our overall cybersecurity risk management program. Our Head of IT supervises our internal cybersecurity personnel and our third-party cybersecurity vendors and consultants. Our management team has over 20 years of experience managing risks, including cybersecurity risks, at biotechnology companies and interacting with boards, and our Head of IT has served in various roles in information technology and information security for over 20 years.
Our Head of IT works collaboratively across the company to implement a program designed to protect our information systems from cybersecurity threats and to promptly respond to any cybersecurity incidents in accordance with our incident response and recovery plans. To facilitate the success of our cybersecurity risk management program, cross-functional teams throughout the company are deployed to address cybersecurity threats and to respond to cybersecurity incidents. Through ongoing communications with these teams, the Head of IT monitors the prevention, detection, escalation, mitigation and remediation of cybersecurity threats and incidents in real time and reports such threats and incidents to our audit committee when appropriate.
Item 2. Properties
Our corporate headquarters is located at 171 Oyster Point Blvd., Suite 300, South San Francisco, California, where we lease and occupy approximately 67,000 square feet of office and laboratory space. Our lease, entered into on September 27, 2019 expires in November 2030 with an option to extend the lease term for an additional period of eight years.
We believe our existing facility is sufficient for our needs for the foreseeable future. To meet the future needs of our business, we may lease additional or alternate space, and we believe suitable additional or alternative space will be available in the future on commercially reasonable terms.
Item 3. Legal Proceedings
From time to time, we may become involved in litigation or other legal proceedings arising in the ordinary course of business. We are not currently a party to any litigation or legal proceedings that, in the opinion of our management, are probable to have a material adverse effect on our business. Regardless of outcome, litigation can have an adverse impact on our business, financial condition, results of operations and prospects because of defense and settlement costs, diversion of management resources, negative publicity and reputational harm.
Item 4. Mine Safety Disclosures Item 5.
Not applicable.
94
PART II
Market for Registrant's Common Equity, Related Stockholder Matters, and Issuer Purchases of Equity Securities
Market for Registrant's Common Equity
Our common stock began trading on the Nasdaq Global Market on January 31, 2025, and trades under the symbol “MAZE.” Prior to January 31, 2025, there was no public market for our common stock.
On March 25, 2025, there were approximately 210 holders of record of our common stock. Certain shares are held in “street” name and accordingly, the number of beneficial owners of such shares is not known or included in the foregoing number.
Dividend Policy
We have never declared or paid cash dividends on our common stock. We currently intend to retain all available funds and any future earnings for use in the operation of our business and do not anticipate paying any cash dividends on our common stock in the foreseeable future. Any future determination to declare dividends will be made at the discretion of our board of directors and will depend on our financial condition, operating results, capital requirements, general business conditions and other factors that our board of directors may deem relevant. In addition, the terms of the Loan Agreement place restrictions on our ability to pay cash dividends on our capital stock.
Securities Authorized for Issuance under Equity Compensation Plans
Information about our equity compensation plans is incorporated herein by reference to Item 12 of Part III of this Annual Report on Form 10-K.
Recent Repurchases of Equity Securities.
None.
Unregistered Sale of Securities.
In November 2024, we issued 54,394,445 shares of our Series D Preferred Stock in a private placement pursuant to Regulation D under the Securities Act, or the Series D Financing, which automatically converted into 5,641,987 shares of our common stock upon the closing of our initial public offering.
We issued $24.5 million and $16.2 million of convertible promissory notes to certain accredited investors in 2024 and 2023, respectively, which converted into an aggregate of 39,395,572 shares of our Series D-1 Preferred Stock in November 2024, which then automatically converted into 4,086,247 shares of our common stock upon the closing of our initial public offering in February 2025. These transactions were exempt from registration requirements of the Securities Act in reliance upon Section 4(a)(2) of the Securities Act or Regulation D promulgated under the Securities Act.
Use of Initial Public Offering Proceeds.
On January 30, 2025, our registration statement on Form S-1 (File No 333-284164) relating to our initial public offering of common stock was declared effective by the U.S. Securities and Exchange Commission, or the SEC. Upon the closing of the initial public offering on February 3, 2025, we issued 8,750,000 shares of common stock at a public offering price of $16.00 per share, resulting in net proceeds of approximately $127.8 million, after deducting underwriting discounts, commissions and other payable offering expenses of approximately $12.2 million. J.P. Morgan Securities LLC, TD Securities (USA) LLC, Leerink Partners LLC and Guggenheim Securities, LLC acted as joint book-running managers for the offering. None of the expenses associated with our initial public offering were paid, directly or indirectly, to any of our directors or officers, any persons owning 10% or more of any class of equity securities, or to any of our affiliates.
There has been no material change in the planned use of proceeds from the initial public offering as described in the prospectus filed with the SEC pursuant to Rule 424(b)(4) under the Securities Act on January 31, 2025.
Issuer Stock Repurchases.
None.
95
Item 6. [Reserved]
96
Item 7. Management's Discussion and Analysis of Financial Condition and Results of Operations
You should read the following discussion and analysis of our financial condition and results of operations together with our financial statements and related notes included elsewhere in this Annual Report on Form 10-K. This discussion contains forward-looking statements based upon our current plans and expectations that involve risks, uncertainties and assumptions, including those described in the section entitled “Special note regarding forward-looking statements.” Our actual results and the timing of selected events could differ materially from those discussed in these forward-looking statements. Factors that could cause or contribute to such differences include, but are not limited to, those identified below and those set forth under the section entitled “Risk factors.”
Overview
We are a clinical-stage biopharmaceutical company harnessing the power of human genetics to develop novel, small molecule precision medicines for patients living with renal, cardiovascular and related metabolic, or CVRM diseases, including obesity. We are advancing a pipeline using our Compass platform, which allows us to identify and characterize genetic variants in disease and then link those variants to the biological pathways that drive disease in specific patient groups through a process we refer to as variant functionalization. Our Compass platform has been purpose-built to inform all phases of our drug discovery and development process through clinical trial design. We are currently advancing two wholly owned lead programs, MZE829 and MZE782, each of which represents a novel precision medicine-based approach. Our goal is to bring novel precision medicines to patients with CVRM diseases, which is where we believe we can maximize our impact on human health.
Since our inception, we have focused substantially all of our efforts and financial resources on research and development activities for our programs and on establishing arrangements and collaborations with third parties for the development of our therapeutic candidates. To date, we have not generated any revenue from product sales and we do not expect to generate any revenue from commercial sales for the foreseeable future. Except for the one-time, nonrefundable upfront payments we received pursuant to the license agreements we entered into with several biotechnology companies in 2024, including the exclusive license agreement with Shionogi & Company, Ltd., or Shionogi, we expect to continue incurring significant operating losses for the foreseeable future due to the cost of research and development, clinical trials, preclinical studies and the regulatory approval process for our therapeutic candidates.
Other than the net income of $52.2 million we recorded for the year ended December 31, 2024 as a result of license revenue recognized under our license agreements, we have incurred significant net losses and negative cash flows from operations since our inception. During the years ended December 31, 2024 and 2023, we incurred net income of $52.2 million and a net loss of $100.4 million, respectively. As of December 31, 2024, we had an accumulated deficit of $358.4 million and do not expect positive cash flows from operations in the foreseeable future. We expect to continue incurring significant expenses and increasing losses for the foreseeable future. Our net losses may fluctuate significantly from period to period, depending on the timing of and expenditures on our planned research and development activities, as well as upon revenue from our license agreements. We expect our research and development expenses to significantly increase in connection with the conduct of planned clinical trials for our lead programs, MZE829 and MZE782, further development of our Compass platform, planned preclinical studies, and potential Investigational New Drug Applications, or INDs and clinical trials for future therapeutic candidates. We will also incur substantial additional expenses as we seek to expand our intellectual property portfolio, including through potential in-licensing opportunities, and hire additional personnel as we scale up our operations. In addition, we expect to incur additional costs associated with operating as a public company.
As of December 31, 2024, we had cash and cash equivalents of $196.8 million. Since our inception, we have financed our operations primarily through issuances of our equity, license agreements with biotechnology companies and issuances of convertible promissory notes. During the twelve months ended December 31, 2024, we received one-time, nonrefundable upfront payments of $167.5 million in the aggregate from our three license agreements, including our exclusive license agreement with Shionogi. In November 2024, we completed the sale and issuance of 54,394,445 shares of our Series D redeemable convertible preferred stock, or Series D Preferred Stock, at an offering price of $1.3792 per share, resulting in gross proceeds of $75.0 million, or Series D Financing. In February 2025, we completed our initial public offering, pursuant to which we issued and sold an aggregate of 8,750,000 shares of our common stock at an initial public offering price of $16.00 per share, resulting in gross proceeds of $140.0 million.
We will require substantial additional capital to develop our therapeutic candidates and fund operations for the foreseeable future. Until such time as we can generate sufficient revenue from product sales, if ever, we expect to finance our operations through a combination of public or private equity offerings, debt financings, collaborations and licensing arrangements. We are party to a loan and security agreement that provides us with a line of credit of up to $50.0 million. To date, we have not drawn down any funds from this debt facility and do not currently intend to do so. Adequate additional financing may not be available to us on favorable terms, or at all. In addition, we may seek additional capital due to favorable market conditions or strategic considerations even if we believe we have sufficient funds for our current or future operating plans. If we are unable to raise capital when needed or on favorable terms, we could be forced to delay, reduce or eliminate our clinical and preclinical development, research and development programs, our commercialization plans or other operations.
97
The amount and timing of our future funding requirements will depend on many factors including the pace and results of our development efforts. We cannot assure you that we will ever be profitable or generate positive cash flows from operating activities.
We selectively pursue strategic collaborations related to the development of certain targets, therapeutic programs, or disease areas where we believe third-party expertise or resources could be beneficial. In 2020, we formed a spin-out company, Broadwing Bio LLC, or Broadwing, with Alloy Therapeutics, Inc, or Alloy, to develop therapeutic antibody therapies for ANGPTL7 and another undisclosed target in ophthalmic diseases, informed by our Compass platform. As of December 31, 2024, we owned approximately 48% of the outstanding equity of Broadwing, and we expect our ownership to be significantly diluted upon the conversion of outstanding convertible notes issued by Broadwing. We retain certain opt-in rights to jointly develop and commercialize certain therapeutic candidates developed through Broadwing with Alloy. We are not involved in the development of Broadwing’s therapeutic candidate.
Exclusive license agreement
Exclusive license agreement with Shionogi
In March 2024, we entered into an exclusive license agreement, or the License Agreement, with Shionogi, pursuant to which we granted Shionogi an exclusive, worldwide, sublicensable license to research, develop, manufacture and commercialize MZE001 and certain other small molecule compounds modulating glycogen synthase 1, or the Licensed Products. As consideration for the licensed rights and the transfer of know-how and materials, we received an upfront payment of $150 million, which is the only payment we have received under the License Agreement to date. The License Agreement also requires that Shionogi pay us up to $275 million in the aggregate in milestone payments upon the completion of certain clinical and regulatory milestones and up to $330 million in the aggregate in milestone payments if certain sales milestones are achieved. The License Agreement also requires that Shionogi pay us tiered royalties ranging from percentages in the low double-digits to twenty on net sales of Licensed Products, subject to certain deductions.
The License Agreement will expire on a Licensed-Product by Licensed-Product and country-by-country basis upon the expiration of the royalty term for such Licensed Product, which will be the latest of the date when there are no remaining valid claims covering the applicable Licensed Product, the expiration of regulatory exclusivity for the applicable Licensed Product, or 11 years after the first commercial sale of the applicable Licensed Product, subject to earlier termination by the parties. As of December 31, 2024, we estimate that the last patent right for the only currently issued patent licensed under the License Agreement will expire in 2042, without giving effect to any potential patent term extensions, patent term adjustments, or future patents that may or may not issue with respect to the Licensed Products. Upon expiration of the License Agreement, the licenses granted to Shionogi will become fully paid-up, perpetual, irrevocable and royalty-free. Shionogi may terminate the License Agreement for convenience following a notice period and either party may terminate the License Agreement for bankruptcy or an uncured material breach. Upon termination of the License Agreement by Shionogi for convenience or by us for Shionogi’s bankruptcy or uncured material breach, Shionogi will grant us a non-exclusive, worldwide license under certain patent rights and know-how controlled by Shionogi as of the effective date of termination, solely as necessary to research, develop, manufacture and commercialize the Licensed Products in any field, and Shionogi will assign to us all regulatory materials and regulatory approvals relating to the Licensed Products. In consideration for these reversion rights, we would be required to pay to Shionogi reversion royalties on any sales of the Licensed Products determined based on the stage of clinical development of the applicable Licensed Product at the time of termination, ranging from percentages in the low-to-mid single digits if termination occurs on or after the achievement of certain Phase 2 clinical trial milestones and high single digit to mid-teens if termination occurs on or after the achievement of certain Phase 3 clinical milestones. Our obligation to pay these reversion royalties would expire on a Licensed-Product by Licensed-Product and country-by-country basis upon the latest of the date when there are no remaining valid claims covering the applicable Licensed Product, the expiration of regulatory exclusivity for the applicable Licensed Product, or ten years after the first commercial sale of the applicable Licensed Product.
Components of results of operations
License revenue
We recognize revenue from the various license agreements we have entered into as the identified performance obligations under these arrangements are satisfied. We are also eligible to receive future non-refundable, non-creditable milestone payments upon the achievement of certain development, regulatory, and commercial milestones. Additionally, we are also eligible to receive certain royalties on net sales of products developed under the license agreements.
98
Operating expenses
Our operating expenses since inception have consisted solely of research and development expenses and general and administrative expenses.
Research and development expenses
Our research and development expenses consist primarily of external and internal expenses incurred in connection with our research activities and preclinical and clinical development programs. These expenses include, but are not limited to:
We recognize research and development expenses as they are incurred. Nonrefundable advance payments for goods or services that will be used or rendered for future research and development activities are capitalized and expensed as the goods are delivered or the related services are performed. We have not historically disclosed our direct costs between our clinical programs and our preclinical programs.
Additionally, our internal costs, employees and infrastructure are not directly tied to any one program and are deployed across multiple programs. As such, we do not track indirect costs on a specific program basis.
At this time, we cannot reasonably estimate or know the nature, timing, and estimated costs of the efforts that will be necessary to complete the development of, and obtain regulatory approval for, MZE829, MZE782 and any of our other potential therapeutic candidates.
Our research and development expenses may vary significantly based on a variety of factors, such as:
A change in the outcome of any of these and other variables with respect to the development of any of our therapeutic candidates could significantly change the costs and timing associated with the development of such therapeutic candidate. We expect that our research and development expenses will continue to increase substantially for the foreseeable future as we continue to identify and develop potential additional therapeutic candidates and as our existing therapeutic candidates, including MZE829 and MZE782, move into later stages of clinical development, which typically have higher development costs than those in earlier stages of clinical development or preclinical development due to the increased size and duration of later-stage clinical trials.
99
The process of conducting the necessary preclinical and clinical research and development to obtain regulatory approval is costly and time-consuming and the successful development of our therapeutic candidates is highly uncertain. The actual probability of success for our therapeutic candidates may be affected by a variety of factors. We may never succeed in achieving regulatory approval for any of our therapeutic candidates. Further, a number of factors, including those outside of our control, could adversely impact the timing and duration of our therapeutic candidates’ development, which could increase our research and development expenses.
General and administrative expenses
General and administrative expenses consist primarily of personnel-related costs, including salaries, bonuses, benefits, and stock-based compensation expense, for personnel in executive, finance, accounting, corporate development, and other administrative functions. General and administrative expenses also include legal fees, professional fees paid for accounting, auditing, consulting, tax, and investor relations services, insurance costs, and facility costs not otherwise included in research and development expenses, and, subsequent to December 31, 2024, will include public company expenses such as costs associated with compliance with the rules and regulations of the Securities and Exchange Commission, or SEC, and Nasdaq.
We expect that our general and administrative expenses will continue to increase significantly in the foreseeable future as additional administrative personnel and services are required to manage these functions of a public company and as our pipeline of therapeutic candidates expands.
Interest and other income, net
Interest and other income, net consists of interest income earned on our cash and cash equivalents, interest expense, foreign currency re-measurement and transaction gains and losses. We expect interest income to increase as a result of the one-time, nonrefundable upfront payments of $167.5 million in the aggregate that we received pursuant to the license agreements we entered into with several biotechnology companies in 2024, including the exclusive license agreement with Shionogi, the receipt of $70.8 million in net proceeds from the Series D Financing that we completed in November 2024, and the receipt of net proceeds of approximately $127.8 million from our initial public offering completed in February 2025. However, interest income may vary each reporting period depending on our average cash deposits, money market fund balances, and other investment balances during the period and prevailing market interest rates. We expect foreign currency gains and losses to vary each reporting period depending on the fluctuations in foreign currency exchange rates.
Change in fair value of convertible promissory notes
We issued $24.5 million and $16.2 million of convertible promissory notes during the years ended December 31, 2024 and 2023, respectively, for a total of $40.7 million aggregate principal amount of convertible promissory notes. The convertible promissory notes issued from December 2023 through early 2024 contained automatic conversion features triggered upon a qualified preferred stock financing or a qualified public offering. We elected to apply the fair value option, as per Accounting Standards Codification, or ASC, Section 825-10, to the outstanding convertible promissory notes issued. As such, the convertible promissory notes were recognized at fair value with changes in fair value recognized in the statements of operations and comprehensive income (loss). The fair value of the convertible promissory notes was $20.1 million as of December 31, 2023. We recorded a loss of $3.8 million, reflecting the change in the fair value of the convertible promissory notes in the statements of operations and comprehensive income (loss) for the year ended December 31, 2023. The impact of interest expense on the convertible promissory notes is included within the changes in fair value. In connection with the Series D Preferred Stock offering that we completed in November 2024, which was a qualified preferred stock financing pursuant to the terms of the convertible promissory notes, the outstanding convertible promissory notes automatically converted into 39,395,572 shares of Series D-1 Preferred Stock, or Series D-1 Preferred Stock, at a conversion price of $1.10336 per share. We remeasured the fair value of the convertible promissory notes immediately before they converted to Series D-1 Preferred Stock, resulting in a fair value of $53.4 million, and recorded an additional loss of $8.8 million, reflecting the change in the fair value of the convertible promissory notes in the statements of operations and comprehensive income (loss) for the year ended December 31, 2024.
100
Results of operations
Comparisons of the years ended December 31, 2024 and 2023
|
|
Year ended December 31, |
|
|
|
|
||||||
|
|
2024 |
|
|
2023 |
|
|
Change |
|
|||
|
|
(in thousands) |
|
|||||||||
License revenue |
|
$ |
167,500 |
|
|
$ |
— |
|
|
$ |
167,500 |
|
|
|
|
|
|
|
|
|
|
|
|||
Operating expenses: |
|
|
|
|
|
|
|
|
|
|||
Research and development |
|
|
83,496 |
|
|
|
73,945 |
|
|
$ |
9,551 |
|
General and administrative |
|
|
26,418 |
|
|
|
24,606 |
|
|
|
1,812 |
|
Total operating expenses |
|
|
109,914 |
|
|
|
98,551 |
|
|
|
11,363 |
|
Income (loss) from operations |
|
|
57,586 |
|
|
|
(98,551 |
) |
|
|
156,137 |
|
Interest and other income, net |
|
|
4,654 |
|
|
|
1,966 |
|
|
|
2,688 |
|
Change in fair value of convertible promissory notes |
|
|
(8,837 |
) |
|
|
(3,830 |
) |
|
|
(5,007 |
) |
Income (loss) before income tax expense |
|
$ |
53,403 |
|
|
$ |
(100,415 |
) |
|
$ |
153,818 |
|
Income tax expense |
|
|
(1,172 |
) |
|
|
— |
|
|
|
(1,172 |
) |
Net income (loss) and comprehensive income (loss) |
|
$ |
52,231 |
|
|
$ |
(100,415 |
) |
|
$ |
152,646 |
|
License revenue
We recognized a total of $167.5 million of license revenue for the year ended December 31, 2024. License revenue primarily related to the License Agreement with Shionogi, wherein we received an upfront payment of $150.0 million in exchange for the transfer of the license, know-how, and materials related to the research, development, manufacture and commercialization of MZE001 and certain other small molecule compounds modulating glycogen synthase 1. License revenue also included amounts related to the exclusive license agreement with Trace Neuroscience, Inc., or Trace, wherein we received an upfront payment of $15.0 million in exchange for the transfer of the license, know-how, and materials related to the research, development, manufacture and commercialization of a discovery research program targeting UNC13A for the treatment of amyotrophic lateral sclerosis, or ALS, and $2.5 million related to the exclusive license agreement with Neurocrine Biosciences, Inc., or Neurocrine, for the transfer of the license, know-how and materials related to a discovery research program targeting ATXN2. We recognized no license revenue during the year ended December 31, 2023.
Research and development expenses
Research and development expenses were $83.5 million for the year ended December 31, 2024 compared to $73.9 million for the year ended December 31, 2023. The increase of $9.6 million was primarily due to an increase of $6.8 million in clinical trial expenses which were higher in fiscal year 2024 based on the progression of our Phase 1 clinical trial for MZE829 that was initiated in December 2023, initiation of our Phase 1 clinical trial for MZE782 in September 2024 and start up activities for our Phase 2 clinical trial for MZE829 that we initiated in November 2024. The increase also reflects higher outside research and development services of $3.0 million primarily related to preclinical studies for MZE782 and higher personnel-related costs of $0.4 million. The increase was partially offset by a decrease of $0.5 million in manufacturing expenses primarily related to costs incurred in 2023 for the manufacture of clinical supply for the MZE001 program that we licensed to Shionogi in March 2024.
|
|
Year ended December 31, |
|
|
|
|
||||||
|
|
2024 |
|
|
2023 |
|
|
Change |
|
|||
|
|
(in thousands) |
|
|||||||||
Personnel-related costs |
|
$ |
34,548 |
|
|
$ |
34,140 |
|
|
$ |
408 |
|
Outside research and development services |
|
|
14,458 |
|
|
|
11,455 |
|
|
|
3,003 |
|
Clinical trial expenses |
|
|
10,511 |
|
|
|
3,664 |
|
|
|
6,847 |
|
Manufacturing expenses |
|
|
3,606 |
|
|
|
4,061 |
|
|
|
(455 |
) |
Facilities, depreciation, and other expenses |
|
|
20,373 |
|
|
|
20,625 |
|
|
|
(252 |
) |
Total research and development expenses |
|
$ |
83,496 |
|
|
$ |
73,945 |
|
|
$ |
9,551 |
|
General and administrative expenses
General and administrative expenses were $26.4 million for the year ended December 31, 2024, compared to $24.6 million for the year ended December 31, 2023. The increase of $1.8 million was primarily due to higher personnel-related costs of $3.0 million, partially offset by lower outside professional services fees of $1.5 million.
101
Interest and other income, net
Interest and other income, net was $4.7 million for the year ended December 31, 2024 compared to $2.0 million for the year ended December 31, 2023. This increase of $2.7 million primarily reflects an increase in interest income as a result of the higher cash and cash equivalent balances held during the year ended December 31, 2024 from the nonrefundable upfront payments that we received pursuant to the license agreements we entered with Shionogi, Trace and Neurocrine in 2024 and proceeds from the Series D Preferred Stock we issued in November 2024.
Change in fair value of convertible promissory notes
The convertible promissory notes issued in December 2023 and early 2024 contain automatic conversion features that are triggered upon a qualified preferred stock financing or a qualified public offering. We elected to apply the fair value option to the convertible promissory notes issued. As such, the convertible promissory notes are recorded at fair value at each reporting period with changes in fair value recognized in the statements of operations and comprehensive income (loss). The change in fair value of the convertible promissory notes resulted in a loss of $8.8 million and $3.8 million for the years ended December 31, 2024 and 2023, respectively. The loss recorded is primarily due to the conversion of the convertible promissory notes to Series D-1 Preferred Stock in November 2024 at a discount factor of 0.2 relative to the price paid by the Series D Preferred Stock investors.
Income tax expense
Income tax expense was $1.2 million for the year ended December 31, 2024 compared to zero for the year ended December 31, 2023. The increase was due to the net income generated during the year ended December 31, 2024, as a result of the recognition of license revenue under our license agreements with Shionogi, Trace and Neurocrine, as compared to the net loss incurred during the year ended December 31, 2023.
Liquidity and capital resources
Liquidity
Since our inception, we have not generated any revenue from product sales and we do not expect to generate any revenue from commercial sales for the foreseeable future, if at all. We have incurred significant operating losses and negative cash flows from operations. We anticipate that we will continue to incur net losses for the foreseeable future. To date, we have financed our operations primarily through private placements of redeemable convertible preferred stock, one-time, nonrefundable upfront payments made to us in connection with our entry into license agreements, private placements of convertible promissory notes, and most recently, through an initial public offering of our common stock. As of December 31, 2024, we had cash and cash equivalents of $196.8 million and an accumulated deficit of $358.4 million.
In November 2024, we completed the sale and issuance of 54,394,445 shares of Series D Preferred Stock, at an offering price of $1.3792 per share. The net proceeds from the Series D Financing were approximately $70.8 million.
In February 2025, we completed our initial public offering, pursuant to which we issued and sold an aggregate of 8,750,000 shares of our common stock at the initial public offering price of $16.00 per share, resulting in net proceeds of approximately $127.8 million, after deducting underwriting discounts, commissions and other offering expenses payable by the Company of approximately $12.2 million.
Based on our current operating plan, we believe that our existing cash and cash equivalents, together with the net proceeds from our initial public offering, will be sufficient to fund our operations for at least one year from the date of this Annual Report on Form 10-K. We have based this estimate on our current assumptions, which may prove to be wrong, and we may exhaust our available capital resources sooner than we expect.
Funding requirements
We do not expect to generate any meaningful future revenue unless and until we obtain regulatory approval and commercialize any of our current or future therapeutic candidates, including MZE829 and MZE782, or receive additional potential revenue from the achievement of milestones and royalties under our existing license agreements or potential additional partnerships, and we do not know when, or if at all, that will occur. We will continue to require additional capital to develop our therapeutic candidates and fund operations for the foreseeable future. Our primary uses of cash are to fund our operations, which consist primarily of research and development expenses related to our programs, and to a lesser extent, general and administrative expenses. We expect our expenses to continue to increase in connection with our ongoing activities as we continue to develop MZE829, MZE782 and our other discovery and preclinical programs, seek to broaden the pipeline of our product candidates and further develop our Compass platform.
102
In addition, we expect to incur additional costs associated with operating as a public company.
We may seek to raise capital through equity or debt financings, license and collaboration agreements or other arrangements, or through other sources of financing. Adequate additional funding may not be available to us on acceptable terms or at all. Our failure to raise capital as and when needed could have a negative impact on our financial condition and our ability to pursue our business strategies. We anticipate that we will need to raise substantial additional capital, the requirements of which will depend on many factors, including:
If we raise additional funds by issuing equity securities, our stockholders will experience dilution. If we raise additional capital through debt financing, we may be subject to covenants that restrict our operations including limitations on our ability to incur liens or additional debt, pay dividends, repurchase our common stock, make certain investments, and engage in certain merger, consolidation or asset sale transactions. Any debt financing or additional equity that we raise may contain terms that are not favorable to us or our stockholders.
If we raise additional funds through collaborations, strategic alliances or licensing arrangements with third parties, we may have to relinquish valuable rights to our proprietary technology, future revenue streams, research programs or therapeutic candidates, including granting licenses to our proprietary technologies, on terms that may not be favorable to us. If we are unable to raise additional funds through equity or debt financings or collaborations, strategic alliances or licensing arrangements with third parties when needed, we may be required to delay, limit, reduce and/or terminate our product development programs or any future commercialization efforts or grant rights to develop and market therapeutic candidates that we would otherwise prefer to develop and market ourselves.
103
Contractual obligations and commitments
We have an operating lease for a facility in South San Francisco, California with office and laboratory space, which serves as our corporate headquarters. The lease terminates in November 2030 and provides for one option to extend the lease term for an additional period of eight years.
We have entered into consortium agreements with the University of Helsinki and Queen Mary University to access genomic information from patient samples and genetic and paired clinical data. As of December 31, 2024, we are obligated to pay $4.9 million under these agreements through the year ended December 31, 2027.
We enter into contracts in the normal course of business with third-party contract organizations for preclinical trials, non-clinical trials and testing, and other services and products for operating purposes. These contracts generally provide for termination following a certain period after notice.
Cash flows
Comparisons of the years ended December 31, 2024 and 2023
The following table sets forth the primary sources and uses of cash, cash equivalents, and restricted cash for the periods presented below:
|
|
Year ended December 31, |
|
|
|
|
||||||
|
|
2024 |
|
|
2023 |
|
|
Change |
|
|||
|
|
(in thousands) |
|
|||||||||
Net cash provided by (used in) operating activities |
|
$ |
75,954 |
|
|
$ |
(86,827 |
) |
|
$ |
162,781 |
|
Net cash used in investing activities |
|
|
(1,147 |
) |
|
|
(441 |
) |
|
|
(706 |
) |
Net cash provided by financing activities |
|
|
92,847 |
|
|
|
16,385 |
|
|
|
76,462 |
|
Net increase (decrease) in cash, cash equivalents, and |
|
$ |
167,654 |
|
|
$ |
(70,883 |
) |
|
$ |
238,537 |
|
Net cash provided by (used in) operating activities
Net cash provided by our operating activities was $76.0 million for the year ended December 31, 2024, compared to net cash used in operating activities of $86.8 million for the year ended December 31, 2023. The net cash provided by operating activities for the year ended December 31, 2024 was primarily due to our net income of $52.2 million, combined with $25.2 million in non-cash charges such as depreciation, stock-based compensation, lease expense and the change in fair value of the convertible promissory notes, offset by a net change in our operating assets and liabilities of $1.5 million.
The net cash used in operating activities for the year ended December 31, 2023 was primarily due to our net loss of $100.4 million, a net change in our operating assets and liabilities of $6.3 million, offset by $19.9 million in non-cash charges such as depreciation, stock-based compensation, lease expense and the change in fair value of the convertible promissory notes.
Net cash used in investing activities
Cash used in investing activities for the years ended December 31, 2024 and 2023 was $1.1 million and $0.4 million, respectively, which related to the purchase of property and equipment.
Net cash provided by financing activities
For the year ended December 31, 2024 net cash provided by financing activities was $92.8 million, which consisted of net proceeds from the issuance of convertible promissory notes of $24.5 million, net proceeds from the issuance of Series D Preferred Stock of $70.8 million and $0.7 million from the exercise of stock option awards, net of repurchases, partially offset by the payment of $3.2 million for deferred offering costs.
104
For the year ended December 31, 2023, net cash provided by financing activities was $16.4 million, which consisted of net proceeds from the issuance of convertible promissory notes of $16.2 million and $0.2 million from the exercise of stock option awards, net of repurchases.
Critical accounting policies, significant judgments and use of estimates
Our financial statements have been prepared in accordance with U.S. generally accepted accounting principles. The preparation of these financial statements requires us to make estimates and assumptions that affect the reported amounts of assets and liabilities and the disclosure of contingent assets and liabilities as of the date of the financial statements, as well as the reported expenses incurred during the reporting periods. Our estimates are based on our historical experience and on various other factors that we believe are reasonable under the circumstances, the results of which form the basis for making judgments about the carrying value of assets and liabilities that are not readily apparent from other sources.
Actual results may differ from these estimates under different assumptions or conditions. We believe that the accounting policies discussed below are critical to understanding our historical and future performance, as these policies relate to the more significant areas involving management’s judgments and estimates.
While our significant accounting policies are described in more detail in the notes to our financial statements included elsewhere in this report, we believe that the following critical accounting policies are most important to the preparation of our financial statements and to understanding and evaluating our reported financial results.
License revenue
We have entered into arrangements involving the license of intellectual property rights for which we determine whether the arrangement is subject to accounting guidance in ASC 606, Revenue from Contracts with Customers, or ASC 606.
Analyzing an arrangement to identify performance obligations requires the use of judgment. In arrangements that include the license of intellectual property and other promised goods or services, we first identify if the licenses are distinct from the other promises in the arrangement. If the license is not distinct, the license is combined with other promised goods or services into a single performance obligation. Factors that are considered in evaluating whether a license is distinct from other promises include, for example, whether the counterparty can benefit from the license without the promised goods and service on its own or with other readily available resources and whether the promised good or service is expected to significantly modify or customize the intellectual property. We then estimate the transaction price, which also requires the use of judgment when evaluating the fixed consideration and any variable amounts, including milestone payments. For arrangements with certain milestone payments, we re-evaluate the probability of achievement of the related milestone each reporting period, and if necessary, adjust the estimate of the overall transaction price.
During the year ended December 31, 2024, we have identified only single combined performance obligations for each license arrangement that we have entered for which revenue is recognized at a point in time. We may enter into arrangements in the future that include the license of intellectual property and other promised goods or services that may result in multiple performance obligations. In those circumstances, we may need to allocate the transaction price based on the relative standalone selling prices of each of the performance obligations, which will require significant judgment and the determination of significant assumptions related to such estimates.
Research and development expenses
We expense all research and development expenses as incurred. Research and development expenses include personnel costs related to research and development activities, including salaries, benefits and stock-based compensation, costs related to research and preclinical studies, costs associated with the conduct of clinical trials, consulting fees, laboratory supplies, facility costs, and fees paid to other entities that conduct certain research and development activities on our behalf. Nonrefundable advance payments for goods or services that will be used or rendered for future research and development activities are capitalized and expensed as the goods are delivered or the related services are performed.
We estimate and accrue certain research and development expenses as part our process of preparing our financial statements. This process involves:
105
We base our expenses related to preclinical studies and clinical trials on our estimates of the services received and efforts expended pursuant to quotes and contracts with vendors that conduct and manage preclinical studies and clinical trials on our behalf. The financial terms of these agreements are subject to negotiation and vary from contract to contract, which may result in uneven payment flows. There may be instances in which payments made to our vendors will exceed the level of services provided and result in a prepayment of the expense. Payments under some of these contracts depend on factors such as the completion of scientific milestones. In accruing expenses, we estimate the time period over which services will be performed and the level of effort to be expended in each period. If the actual timing of the performance of services or the level of effort varies from our estimate, we adjust the accrual or amount of prepaid expense accordingly. Although we do not expect our estimates to be materially different from amounts actually incurred, our understanding of the status and timing of services performed could vary from actuals and result in us reporting amounts that are too high or too low in any particular period.
For the periods presented, we have experienced no material changes in our estimates of accrued research and development expenses after a reporting period. However, due to the nature of estimates, there can be no assurance that we will not make changes to our estimates in the future as we become aware of additional information about the status or conduct of our clinical studies and other research and development activities.
Stock-based compensation expense
We account for stock-based compensation expense by measuring and recognizing compensation expense for all share-based awards made to employees and non-employees based on estimated grant date fair values. We use the straight-line method to allocate compensation cost to reporting periods over the requisite service period for service-based awards, which is generally the vesting period. We recognize actual forfeitures by reducing the stock-based compensation expense in the same period as the forfeitures occur. We recognize compensation cost for performance-based awards over the requisite service period when we determine it is probable that the performance condition is achieved.
We use the estimated fair value of our common stock to determine the fair value of restricted stock awards, or RSAs, on the date of grant. We estimate the fair value of service-based options to employees and non-employees using the Black-Scholes option-pricing valuation model, or Black-Scholes model. The Black-Scholes model requires the input of subjective assumptions, including the fair value of common stock, expected term, expected volatility, risk-free interest rate, and expected dividend yield, which are described in greater detail below.
Estimating the fair value of service-based options as of the grant date using the Black-Scholes model is affected by assumptions regarding a number of complex variables. Changes in the assumptions can materially affect the fair value of common stock and ultimately how much stock-based compensation expense is recognized. These inputs are subjective and generally require significant analysis and judgment to develop. These inputs are as follows:
106
For stock options granted to non-employee consultants, the fair value of these stock options is also measured using the Black-Scholes model reflecting the same assumptions as applied to employee stock options in each of the reported periods, other than the expected term which is assumed to be the remaining contractual life of the stock option.
We estimate the fair value of awards that contain market-based conditions using a Monte-Carlo option pricing model at the date of grant using similar input assumptions as the Black-Scholes model while incorporating Level 3 inputs related to probability estimates of the market conditions being satisfied. Compensation expense related to awards with a market-based condition is recognized regardless of whether the market condition is ultimately satisfied, and compensation expense is not reversed if the achievement of the market condition does not occur.
We will continue to use judgment in evaluating the expected volatility, expected terms, and interest rates utilized for our stock-based compensation expense calculations on a prospective basis.
Stock-based compensation expense for employees and non-employees is reflected in the statements of operations and comprehensive income (loss) as follows:
|
|
Year Ended December 31, |
|
|||||
|
|
2024 |
|
|
2023 |
|
||
|
|
(in thousands) |
|
|||||
Research and development |
|
$ |
5,467 |
|
|
$ |
5,315 |
|
General and administrative |
|
|
4,179 |
|
|
|
3,432 |
|
Total stock-based compensation expense |
|
$ |
9,646 |
|
|
$ |
8,747 |
|
As of December 31, 2024 and 2023 there was $30.0 million and $16.4 million, respectively, of total unrecognized compensation cost related to unvested options and RSAs for which the cost was expected to be recognized over a weighted-average period of 3.11 years and 2.52 years, respectively.
Common stock valuations
Historically, for all periods prior to the completion of our initial public offering in February 2025, there was no public market for our common stock, and the grant date fair value of our common stock was determined by our board of directors with the assistance of management and an independent third-party valuation specialist. The grant date fair value of our common stock was determined using valuation methodologies which utilizes certain assumptions including probability weighting of events, volatility, time to liquidation, a risk-free interest rate, and an assumption for a discount for lack of marketability (Level 3 inputs). In determining the fair value of our common stock, the methodologies used to estimate our enterprise value were performed using methodologies, approaches, and assumptions consistent with the American Institute of Certified Public Accountants Practice Aid, Valuation of Privately-Held-Company Equity Securities Issued as Compensation, or the Practice Aid. The methodology to determine the fair value of our common stock included estimating the fair value of the enterprise using a market approach, which estimates the fair value of a company by including an estimation of the value of the business based on guideline public companies under a number of different scenarios. The assumptions used to determine the estimated fair value of our common stock are based on numerous objective and subjective factors, combined with management judgment, including external market conditions affecting the pharmaceutical and biotechnology industry and trends within the industry; our stage of development; the rights, preferences and privileges of our redeemable convertible preferred stock relative to those of our common stock; the prices at which we sold shares of our redeemable convertible preferred stock; our financial condition and operating results, including our levels of available capital resources; the progress of our research and development efforts and business strategy; equity market conditions affecting comparable public companies; general U.S. market conditions; and the lack of marketability of our common stock.
Based on our early stage of development and other relevant factors, we determined that an option pricing method, or OPM, was the most appropriate method for allocating our enterprise value to determine the estimated fair value of our common stock for valuations prior to the fourth quarter of 2020. After this date, we used the hybrid method to determine the estimated fair value of our common stock. The hybrid method is appropriate for a company expecting a near-term liquidity event. In determining the estimated fair value of our common stock, we considered the fact that our stockholders could not freely trade our common stock in the public markets. Accordingly, we applied discounts to reflect the lack of marketability of our common stock based on the weighted-average expected time to liquidity.
107
In December 2024 we repriced 3,415,997 outstanding stock options to adjust their exercise price to $10.42 per share. In determining the estimated fair value of our common stock to be $10.42 per share, our board of directors, with the assistance of management and an independent third-party valuation specialist, employed the hybrid method valuation, prepared on a minority, non-marketable interest basis using the equity value derived from a PWERM on two different liquidity scenarios: (1) an initial public offering, and (2) staying private. The initial public offering valuation was based on guideline recent initial public offering transactions and assumed an estimated timeline for an initial public offering to occur. For the staying private valuation, the OPM allocation used the backsolve method to determine our total equity value with reference to our Series D valuation, where we sold our Series D Preferred Stock to new and existing investors at a price of $13.2969 per share (as adjusted to reflect the 1-for-9.641 reverse stock split), a substantial decrease from the previously estimated fair value of our common stock of $19.77 per share in May 2024. We then applied a discount for lack of marketability with respect to each of the initial public offering and staying private scenarios to arrive at a $10.42 per share valuation.
Application of these approaches involved the use of estimates, judgment, and assumptions that were highly complex and subjective, such as those regarding our expected future revenue, expenses, and cash flows, discount rates, market multiples, the selection of comparable companies, and the probability of future events. Changes in any or all of these estimates and assumptions, or the relationships between those assumptions, impacted our valuations as of each valuation date and may have had a material impact on the valuation of common stock.
The assumptions underlying these valuations represented our management’s best estimate at the time of the valuation, which involved inherent uncertainties and the application of management judgment. As a result, if factors or expected outcomes changed and we used significantly different assumptions or estimates, our stock-based compensation expense could have been materially different.
As a public trading market for our common stock has been established in connection with the closing of our initial public offering, it will no longer be necessary for our board of directors to estimate the fair value of our common stock in connection with our accounting for stock option grants and other such awards we may grant, as the fair value of our common stock will be determined based on the quoted market price of our common stock.
Convertible promissory notes
From December 2023 through April 2024, we issued convertible promissory notes to various existing investors. We elected the fair value option under Accounting Standards Codification 825, Financial Instruments, or ASC 825 and recorded these convertible promissory notes at fair value with changes in fair value recorded in the statements of operations and comprehensive income (loss) each reporting period. We measure the fair value of the convertible promissory notes based on significant estimates, including volatility, discount yield, variables for the timing of the related conversion events and other probability estimates. The impact of interest expense on the convertible promissory notes is included with the changes in fair value. In November 2024, the convertible promissory notes converted into an aggregate of 39,395,572 shares of Series D-1 Preferred Stock and no convertible promissory notes were outstanding as of December 31, 2024.
Emerging growth company status
We are an emerging growth company, or EGC. The Jumpstart Our Business Startups Act of 2012, or the JOBS Act permits companies with EGC status to take advantage of an extended transition period to comply with new or revised accounting standards, delaying the adoption of these accounting standards until they would apply to private companies. We have elected to use this extended transition period to enable us to comply with new or revised accounting standards that have different effective dates for public and private companies until the earlier of the date we (i) are no longer an EGC or (ii) affirmatively and irrevocably opt out of the extended transition period provided in the JOBS Act. As a result, our financial statements may not be comparable to companies that comply with the new or revised accounting standards as of public company effective dates.
In addition, we intend to rely on the other exemptions and reduced reporting requirements provided by the JOBS Act. Subject to certain conditions set forth in the JOBS Act, if, as an EGC, we intend to rely on such exemptions, we are not required to, among other things:(i) provide an auditor’s attestation report on our system of internal controls over financial reporting pursuant to Section 404(b) of the Sarbanes-Oxley Act of 2002, as amended; (ii) provide all of the compensation disclosure that may be required of non-EGCs under the Dodd-Frank Wall Street Reform and Consumer Protection Act; (iii) comply with any requirement that may be adopted by the Public Company Accounting Oversight Board regarding mandatory audit firm rotation or a supplement to the auditor’s report providing additional information about the audit and the financial statements (auditor discussion and analysis); and (iv) disclose certain executive compensation-related items such as the correlation between executive compensation and performance and comparisons of the chief executive officer’s compensation to median employee compensation.
108
We will remain an EGC under the JOBS Act until the earliest of (i) the last date of our fiscal year in which we have total annual gross revenue of at least $1.235 billion, (ii) the date we qualify as a “large accelerated filer,” as defined under Rule 12b-2 of the Exchange Act,(iii) the date on which we have issued more than $1.0 billion in non-convertible debt securities during the previous three years, or (iv) the last day of our first fiscal year following the fifth anniversary of the closing of our initial public offering.
Recent accounting pronouncements
See Note 2 to our financial statements included in Item 8, “Financial Statements and Supplementary Data,” of this Annual Report on Form 10-K for a description of recent accounting pronouncements applicable to our business.
Item 7A. Quantitative and qualitative disclosures about market risk Item 8.
Not applicable.
109
Financial Statements and Supplementary Data
Index to financial statements
111 |
|||
Financial statements as of and for the years ended December 31, 2024 and 2023: |
|
||
112 |
|||
113 |
|||
Statements of redeemable convertible preferred stock and stockholders’ deficit |
114 |
||
|
|
115 |
|
116 |
|||
110
Report of Independent Registered Public Accounting Firm
To the Stockholders and the Board of Directors of Maze Therapeutics, Inc.
Opinion on the Financial Statements
We have audited the accompanying balance sheets of Maze Therapeutics, Inc. (the Company) as of December 31, 2024 and 2023, the related statements of operations and comprehensive income (loss), redeemable convertible preferred stock and stockholders’ deficit and cash flows for each of the two years in the period ended December 31, 2024, and the related notes (collectively referred to as the “financial statements”). In our opinion, the financial statements present fairly, in all material respects, the financial position of the Company at December 31, 2024 and 2023, and the results of its operations and its cash flows for each of the two years in the period ended December 31, 2024, in conformity with U.S. generally accepted accounting principles.
Basis for Opinion
These financial statements are the responsibility of the Company’s management. Our responsibility is to express an opinion on the Company’s financial statements based on our audits. We are a public accounting firm registered with the Public Company Accounting Oversight Board (United States) (PCAOB) and are required to be independent with respect to the Company in accordance with the U.S. federal securities laws and the applicable rules and regulations of the Securities and Exchange Commission and the PCAOB.
We conducted our audits in accordance with the standards of the PCAOB. Those standards require that we plan and perform the audit to obtain reasonable assurance about whether the financial statements are free of material misstatement, whether due to error or fraud. The Company is not required to have, nor were we engaged to perform, an audit of its internal control over financial reporting. As part of our audits we are required to obtain an understanding of internal control over financial reporting but not for the purpose of expressing an opinion on the effectiveness of the Company’s internal control over financial reporting. Accordingly, we express no such opinion.
Our audits included performing procedures to assess the risks of material misstatement of the financial statements, whether due to error or fraud, and performing procedures that respond to those risks. Such procedures included examining, on a test basis, evidence regarding the amounts and disclosures in the financial statements. Our audits also included evaluating the accounting principles used and significant estimates made by management, as well as evaluating the overall presentation of the financial statements. We believe that our audits provide a reasonable basis for our opinion.
/s/ Ernst & Young LLP
We have served as the Company’s auditor since 2019.
San Mateo, California
March 31, 2025
111
Maze Therapeutics, Inc.
Balance sheets
(in thousands, except share and per share data)
|
|
December 31, |
|
|||||
|
|
2024 |
|
|
2023 |
|
||
Assets |
|
|
|
|
|
|
||
Current assets: |
|
|
|
|
|
|
||
Cash and cash equivalents |
|
$ |
196,812 |
|
|
$ |
29,158 |
|
Prepaid expenses and other current assets |
|
|
4,859 |
|
|
|
4,952 |
|
Total current assets |
|
|
201,671 |
|
|
|
34,110 |
|
Property and equipment, net |
|
|
6,668 |
|
|
|
8,845 |
|
Restricted cash |
|
|
1,088 |
|
|
|
1,088 |
|
Operating lease right-of-use asset |
|
|
23,250 |
|
|
|
26,139 |
|
Other assets |
|
|
7,865 |
|
|
|
1,322 |
|
Total assets |
|
$ |
240,542 |
|
|
$ |
71,504 |
|
Liabilities, Redeemable Convertible Preferred Stock and |
|
|
|
|
|
|
||
Current liabilities: |
|
|
|
|
|
|
||
Accounts payable |
|
$ |
1,939 |
|
|
$ |
2,019 |
|
Accrued expenses and other current liabilities |
|
|
14,102 |
|
|
|
9,808 |
|
Operating lease liabilities, current |
|
|
4,632 |
|
|
|
4,489 |
|
Total current liabilities |
|
|
20,673 |
|
|
|
16,316 |
|
Operating lease liabilities, net of current portion |
|
|
21,996 |
|
|
|
25,054 |
|
Convertible promissory notes |
|
|
— |
|
|
|
20,080 |
|
Other liabilities, non-current |
|
|
969 |
|
|
|
— |
|
Total liabilities |
|
|
43,638 |
|
|
|
61,450 |
|
Commitments and contingencies (Note 8) |
|
|
|
|
|
|
||
Redeemable convertible preferred stock, $0.001 par value; 298,205,027 and 203,415,024 |
|
|
508,087 |
|
|
|
383,902 |
|
Stockholders’ deficit: |
|
|
|
|
|
|
||
Common stock, $0.001 par value; 410,000,000 and 261,000,000 shares |
|
|
2 |
|
|
|
2 |
|
Additional paid-in-capital |
|
|
47,242 |
|
|
|
21,836 |
|
Accumulated deficit |
|
|
(358,427 |
) |
|
|
(395,686 |
) |
Total stockholders’ deficit |
|
|
(311,183 |
) |
|
|
(373,848 |
) |
Total liabilities, redeemable convertible preferred stock and stockholders’ |
|
$ |
240,542 |
|
|
$ |
71,504 |
|
See accompanying notes to these financial statements.
112
Maze Therapeutics, Inc.
Statements of operations and comprehensive income (loss)
(in thousands, except share and per share data)
|
|
Year ended December 31, |
|
|||||
|
|
2024 |
|
|
2023 |
|
||
License revenue |
|
$ |
167,500 |
|
|
$ |
— |
|
|
|
|
|
|
|
|
||
Operating expenses: |
|
|
|
|
|
|
||
Research and development |
|
|
83,496 |
|
|
|
73,945 |
|
General and administrative |
|
|
26,418 |
|
|
|
24,606 |
|
Total operating expenses |
|
|
109,914 |
|
|
|
98,551 |
|
Income (loss) from operations |
|
|
57,586 |
|
|
|
(98,551 |
) |
Interest and other income, net |
|
|
4,654 |
|
|
|
1,966 |
|
Change in fair value of convertible promissory notes |
|
|
(8,837 |
) |
|
|
(3,830 |
) |
Income (loss) before income tax expense |
|
$ |
53,403 |
|
|
$ |
(100,415 |
) |
Income tax expense |
|
|
(1,172 |
) |
|
|
— |
|
Net income (loss) and comprehensive income (loss) |
|
$ |
52,231 |
|
|
$ |
(100,415 |
) |
Net income (loss) attributable to common stockholders, basic and diluted (see Note 13) |
|
$ |
3,405 |
|
|
$ |
(100,415 |
) |
Net income (loss) per share attributable to common stockholders (see Note 13): |
|
|
|
|
|
|
||
Basic |
|
$ |
1.42 |
|
|
$ |
(43.89 |
) |
Diluted |
|
$ |
1.25 |
|
|
$ |
(43.89 |
) |
Weighted-average shares used in computing net income (loss) per share attributable to |
|
|
|
|
|
|
||
Basic |
|
|
2,396,094 |
|
|
|
2,287,980 |
|
Diluted |
|
|
2,730,299 |
|
|
|
2,287,980 |
|
See accompanying notes to these financial statements.
113
Maze Therapeutics, Inc.
Statements of redeemable convertible preferred stock and stockholders’ deficit
(in thousands, except share data)
|
|
Redeemable convertible |
|
|
|
|
|
|
|
|
Additional |
|
|
|
|
|
Total |
|
||||||||||
|
|
preferred stock |
|
|
Common stock |
|
|
paid-in |
|
|
Accumulated |
|
|
stockholders’ |
|
|||||||||||||
|
|
Shares |
|
|
Amount |
|
|
Shares |
|
|
Amount |
|
|
capital |
|
|
deficit |
|
|
deficit |
|
|||||||
Balance as of December 31, 2022 |
|
|
203,415,024 |
|
|
$ |
383,902 |
|
|
|
2,371,880 |
|
|
$ |
2 |
|
|
$ |
12,810 |
|
|
$ |
(295,271 |
) |
|
$ |
(282,459 |
) |
Exercise of stock options |
|
|
— |
|
|
|
— |
|
|
|
18,153 |
|
|
|
— |
|
|
|
216 |
|
|
|
— |
|
|
|
216 |
|
Issuance of restricted stock |
|
|
— |
|
|
|
— |
|
|
|
20 |
|
|
|
— |
|
|
|
— |
|
|
|
— |
|
|
|
— |
|
Repurchase of unvested restricted stock and early exercised |
|
|
— |
|
|
|
— |
|
|
|
(4,841 |
) |
|
|
— |
|
|
|
— |
|
|
|
— |
|
|
|
— |
|
Vesting of restricted stock and early exercised stock options |
|
|
— |
|
|
|
— |
|
|
|
— |
|
|
|
— |
|
|
|
63 |
|
|
|
— |
|
|
|
63 |
|
Stock-based compensation expense |
|
|
— |
|
|
|
— |
|
|
|
— |
|
|
|
— |
|
|
|
8,747 |
|
|
|
— |
|
|
|
8,747 |
|
Net loss and comprehensive loss |
|
|
— |
|
|
|
— |
|
|
|
— |
|
|
|
— |
|
|
|
— |
|
|
|
(100,415 |
) |
|
|
(100,415 |
) |
Balance as of December 31, 2023 |
|
|
203,415,024 |
|
|
|
383,902 |
|
|
|
2,385,212 |
|
|
|
2 |
|
|
|
21,836 |
|
|
|
(395,686 |
) |
|
|
(373,848 |
) |
Issuance of Series D redeemable convertible preferred stock, |
|
|
54,394,445 |
|
|
|
72,551 |
|
|
|
— |
|
|
|
— |
|
|
|
— |
|
|
|
— |
|
|
|
— |
|
Issuance of Series D-1 redeemable convertible preferred stock, |
|
|
39,395,572 |
|
|
|
51,634 |
|
|
|
— |
|
|
|
— |
|
|
|
— |
|
|
|
— |
|
|
|
— |
|
Deemed dividend for anti-dilution adjustments to Series B and |
|
|
— |
|
|
|
— |
|
|
|
— |
|
|
|
— |
|
|
|
14,972 |
|
|
|
(14,972 |
) |
|
|
— |
|
Exercise of stock options |
|
|
— |
|
|
|
— |
|
|
|
74,603 |
|
|
|
— |
|
|
|
765 |
|
|
|
— |
|
|
|
765 |
|
Issuance of restricted stock |
|
|
— |
|
|
|
— |
|
|
|
14 |
|
|
|
— |
|
|
|
— |
|
|
|
— |
|
|
|
— |
|
Repurchase of unvested restricted stock and early exercised |
|
|
— |
|
|
|
— |
|
|
|
(12,965 |
) |
|
|
— |
|
|
|
— |
|
|
|
— |
|
|
|
— |
|
Vesting of restricted stock and early exercised stock options |
|
|
— |
|
|
|
— |
|
|
|
— |
|
|
|
— |
|
|
|
23 |
|
|
|
— |
|
|
|
23 |
|
Stock-based compensation expense |
|
|
— |
|
|
|
— |
|
|
|
— |
|
|
|
— |
|
|
|
9,646 |
|
|
|
— |
|
|
|
9,646 |
|
Net income and comprehensive income |
|
|
— |
|
|
|
— |
|
|
|
— |
|
|
|
— |
|
|
|
— |
|
|
|
52,231 |
|
|
|
52,231 |
|
Balance as of December 31, 2024 |
|
|
297,205,041 |
|
|
$ |
508,087 |
|
|
|
2,446,864 |
|
|
$ |
2 |
|
|
$ |
47,242 |
|
|
$ |
(358,427 |
) |
|
$ |
(311,183 |
) |
See accompanying notes to these financial statements.
114
Maze Therapeutics, Inc.
Statements of cash flows
(in thousands)
|
|
Year ended December 31, |
|
|||||
|
|
2024 |
|
|
2023 |
|
||
Operating activities |
|
|
|
|
|
|
||
Net income (loss) |
|
$ |
52,231 |
|
|
$ |
(100,415 |
) |
Adjustments to reconcile net income (loss) to net cash provided by (used in) operating |
|
|
|
|
|
|
||
Depreciation |
|
|
3,297 |
|
|
|
4,089 |
|
Stock-based compensation expense |
|
|
9,646 |
|
|
|
8,747 |
|
Non-cash lease expense |
|
|
2,889 |
|
|
|
2,687 |
|
Change in fair value of convertible promissory notes |
|
|
8,837 |
|
|
|
3,830 |
|
Other items, net |
|
|
577 |
|
|
|
551 |
|
Changes in operating assets and liabilities: |
|
|
|
|
|
|
||
Prepaid expenses and other current assets |
|
|
93 |
|
|
|
924 |
|
Other assets |
|
|
(2,304 |
) |
|
|
(35 |
) |
Accounts payable |
|
|
(204 |
) |
|
|
399 |
|
Accrued expenses and other liabilities |
|
|
3,807 |
|
|
|
(5,092 |
) |
Operating lease liabilities |
|
|
(2,915 |
) |
|
|
(2,512 |
) |
Net cash provided by (used in) operating activities |
|
|
75,954 |
|
|
|
(86,827 |
) |
Investing activities |
|
|
|
|
|
|
||
Purchases of property and equipment |
|
|
(1,147 |
) |
|
|
(441 |
) |
Net cash used in investing activities |
|
|
(1,147 |
) |
|
|
(441 |
) |
Financing activities |
|
|
|
|
|
|
||
Payment of deferred offering costs |
|
|
(3,154 |
) |
|
|
— |
|
Proceeds from issuance of Series D redeemable convertible preferred stock, net of |
|
|
70,793 |
|
|
|
— |
|
Proceeds from issuance of convertible promissory notes, net of issuance costs |
|
|
24,475 |
|
|
|
16,176 |
|
Proceeds from exercise of stock option awards, net of repurchases |
|
|
733 |
|
|
|
209 |
|
Net cash provided by financing activities |
|
|
92,847 |
|
|
|
16,385 |
|
Net increase (decrease) in cash, cash equivalents, and restricted cash |
|
|
167,654 |
|
|
|
(70,883 |
) |
Cash, cash equivalents, and restricted cash at beginning of year |
|
|
30,246 |
|
|
|
101,129 |
|
Cash, cash equivalents, and restricted cash at end of year |
|
$ |
197,900 |
|
|
$ |
30,246 |
|
Supplemental disclosure of non-cash investing and financing activities |
|
|
|
|
|
|
||
Purchases of property and equipment recorded in accounts payable and accrued expenses |
|
$ |
59 |
|
|
$ |
90 |
|
Vesting of restricted stock and stock options subject to repurchase |
|
$ |
23 |
|
|
$ |
63 |
|
Deferred offering costs recorded in accounts payable and accrued expenses |
|
$ |
1,126 |
|
|
$ |
— |
|
Settlement of convertible promissory notes by conversion to Series D-1 redeemable |
|
$ |
53,392 |
|
|
$ |
— |
|
Deemed dividend for anti-dilution adjustments to Series B and C redeemable convertible |
|
$ |
14,972 |
|
|
$ |
— |
|
Reconciliation to cash, cash equivalents, and restricted cash: |
|
|
|
|
|
|
||
Cash and cash equivalents |
|
$ |
196,812 |
|
|
$ |
29,158 |
|
Restricted cash |
|
$ |
1,088 |
|
|
$ |
1,088 |
|
Total cash, cash equivalents, and restricted cash |
|
$ |
197,900 |
|
|
$ |
30,246 |
|
Supplemental disclosure of cash flow information: |
|
|
|
|
|
|
||
Income taxes paid |
|
$ |
1,230 |
|
|
$ |
— |
|
See accompanying notes to these financial statements.
115
Maze Therapeutics, Inc.
Notes to the financial statements
Description of business
Maze Therapeutics, Inc., or the Company, is a clinical stage biopharmaceutical company harnessing the power of human genetics and variant functionalization with its Maze Compass platform to develop small molecule precision medicines for the treatment of renal, cardiovascular and related metabolic diseases, including obesity. The Company was incorporated in Delaware in August 2017 and is located in South San Francisco, California.
Reverse stock split
On January 22, 2025, the Company’s board of directors approved a 1-for-9.641 reverse stock split of its issued and outstanding shares of common stock, which was effected on January 24, 2025. Upon the effectiveness of the reverse stock split, (i) all shares of outstanding common stock were adjusted; (ii) the conversion ratio of the convertible preferred stock was adjusted; (iii) the number of shares of common stock for which each outstanding option to purchase common stock is exercisable were adjusted; and (iv) the exercise price of each outstanding option to purchase common stock was adjusted. All of the outstanding common stock share numbers (including shares of common stock subject to the Company’s options and as converted for the outstanding convertible preferred stock), share prices, exercise prices and per share amounts contained in the financial statements have been retroactively adjusted in the financial statements to reflect this reverse stock split for all periods presented. The par value per share and the authorized number of shares of common stock and preferred stock were not adjusted as a result of the reverse stock split.
Initial Public Offering
In February 2025, the Company completed its initial public offering, pursuant to which it issued and sold an aggregate of 8,750,000 shares of its common stock at an initial public offering price of $16.00 per share, resulting in net proceeds of approximately $127.8 million, after deducting underwriting discounts, commissions and other offering expenses payable by the Company of approximately $12.2 million. Immediately prior to the closing of the initial public offering, the Company’s outstanding convertible preferred stock automatically converted into 32,586,823 shares of common stock.
Following the closing of the initial public offering, no shares of convertible preferred stock were authorized or outstanding. In connection with the completion of the initial public offering on February 3, 2025, the Company’s certificate of incorporation was amended and restated to (i) authorize 500,000,000 shares of common stock, par value $0.001 per share, which eliminates all references to the previously existing series of convertible preferred stock; and (ii) authorize 10,000,000 shares of undesignated preferred stock, par value $0.001 per share, that may be issued from time to time by the Company’s board of directors in one or more series.
The Company’s financial statements as of December 31, 2024, including share and per share amounts, do not give effect to the initial public offering and related actions as they closed subsequent to December 31, 2024.
Liquidity and capital resources
Other than the net income of $52.2 million generated and the $76.0 million of cash provided by operations during the year ended December 31, 2024, the Company has incurred significant losses and negative cash flows from operations since its inception and expects to incur significant and increasing losses as a result of its continued research and development activities. As of December 31, 2024, the Company had an accumulated deficit of $358.4 million. Historically, the Company has financed its operations primarily through issuances of its equity, issuances of convertible promissory notes and license agreements. The Company may seek to raise capital through debt financings, equity financings, license agreements, or other sources of financing. There can be no assurance that such financing will be available or will be at terms acceptable to the Company.
As of December 31, 2024, the Company had cash and cash equivalents of $196.8 million. The Company believes that its cash and cash equivalents as of December 31, 2024, together with the net proceeds of approximately $127.8 million from its initial public offering, will be sufficient to fund the Company’s operations for at least one year from the issuance date of these financial statements.
116
Basis of presentation
The accompanying financial statements have been prepared in accordance with accounting principles generally accepted in the United States of America, or GAAP, and include all adjustments considered necessary for the fair presentation of the Company’s financial position and operating results for the periods presented.
Use of estimates
The preparation of financial statements in conformity with GAAP requires management to make estimates and assumptions that affect the amounts reported in the financial statements and accompanying notes. The Company bases its estimates on historical experience and market-specific or other relevant assumptions that it believes are reasonable under the circumstances. Assets and liabilities reported in the Company’s balance sheet and expenses reported are affected by estimates and assumptions, which are used for, but are not limited to, measuring and recognizing revenue, and determining the fair value of assets and liabilities, including the convertible promissory notes, common stock valuation, income tax uncertainties, measurement of stock-based compensation expense, and certain accruals. Actual results could differ from such estimates or assumptions.
Concentration of credit risk and other risks and uncertainties
Financial instruments that potentially subject the Company to concentrations of credit risk consist primarily of cash and cash equivalents. The Company maintains bank deposits in accounts at two separate federally insured financial institutions and these deposits may exceed federally insured limits. The Company is exposed to credit risk in the event of default by the financial institution holding its cash to the extent recorded in the balance sheet. The Company has not experienced any losses on its deposits of cash. The Company is also subject to a number of risks similar to other early-stage biopharmaceutical companies, including, but not limited to, the need to obtain adequate additional funding, possible failure of current or future preclinical testing or clinical trials, its reliance on third parties to conduct its preclinical testing or clinical trials, the need to obtain regulatory and marketing approvals for therapeutic candidates, competitors developing new technological innovations, the need to successfully commercialize and gain market acceptance of therapeutic candidates, the success of efforts to protect its proprietary technology, and the need to secure and maintain adequate manufacturing arrangements with third parties. If the Company does not successfully commercialize or partner any therapeutic candidates, it will be unable to generate product revenue or achieve profitability.
Segment reporting
The Company operates and manages its business as one reportable and operating segment, which is the business of harnessing its understanding of human genetics and variant functionalization to develop small molecule precision medicines. The Company’s chief executive officer, who is the chief operating decision maker, or CODM, reviews financial information on an aggregate basis for allocating resources and evaluating financial performance.
The CODM, in alignment with the Company's overall corporate strategy and goals, analyzes a variety of data to guide segment resource allocation, including program and portfolio scientific data, probability of regulatory and commercial success, and the competitive environment. The CODM also reviews certain financial results included in the segment income (loss) from operations which is reported on the statements of operations and comprehensive income (loss) as total income (loss) from operations. The measure of segment assets is reported on the balance sheets as total assets.
117
As of December 31, 2024 and 2023, all of the Company’s property and equipment was maintained in the United States. For the year ended December 31, 2024, all of the Company’s license revenue was generated in the United States. No revenue was generated in the year ended December 31, 2023. The following table presents selected financial information with respect to the Company’s single operating segment for the years ended December 31, 2024 and 2023 (amounts in thousands):
|
|
Year ended December 31, |
|
|||||
|
|
2024 |
|
|
2023 |
|
||
License revenue |
|
$ |
167,500 |
|
|
$ |
— |
|
Research and development expenses |
|
|
|
|
|
|
||
Personnel-related costs |
|
|
34,548 |
|
|
|
34,140 |
|
Outside research and development services |
|
|
14,458 |
|
|
|
11,455 |
|
Clinical trial expenses |
|
|
10,511 |
|
|
|
3,664 |
|
Manufacturing expenses |
|
|
3,606 |
|
|
|
4,061 |
|
Facilities, depreciation, and other expenses |
|
|
20,373 |
|
|
|
20,625 |
|
Total research and development expenses |
|
|
83,496 |
|
|
|
73,945 |
|
General and administrative expenses |
|
|
26,418 |
|
|
|
24,606 |
|
Segment operating expenses |
|
|
109,914 |
|
|
|
98,551 |
|
Segment income (loss) from operations |
|
|
57,586 |
|
|
|
(98,551 |
) |
Segment interest and other income, net |
|
|
4,654 |
|
|
|
1,966 |
|
Change in fair value of convertible promissory notes |
|
|
(8,837 |
) |
|
|
(3,830 |
) |
Segment income (loss) before income taxes |
|
$ |
53,403 |
|
|
$ |
(100,415 |
) |
Fair value measurement
Fair value is defined as the exchange price that would be received for an asset or paid to transfer a liability, or an exit price, in the principal or most advantageous market for that asset or liability in an orderly transaction between market participants on the measurement date, and establishes a fair value hierarchy that requires an entity to maximize the use of observable inputs, where available, and minimize the use of unobservable inputs when measuring fair value.
The Company determined the fair value of financial assets and liabilities using the fair value hierarchy that describes three levels of inputs that may be used to measure fair value, as follows:
For certain financial instruments, including cash and accounts payable, as well as certain accrued liabilities, the recorded amount approximates estimated fair value due to their relatively short maturity period.
Cash, cash equivalents and restricted cash
The Company considers all highly liquid financial instruments with original maturities of 90 days or less at the date of purchase to be cash equivalents. As of December 31, 2024 and 2023, cash equivalents consisted of money market funds.
Restricted cash is comprised of cash that is restricted as to withdrawal or use under the terms of certain contractual agreements. Restricted cash as of December 31, 2024 and 2023 included $1.1 million as collateral for a letter of credit related to the Company’s headquarters building lease in South San Francisco, California. Restricted cash is classified as a noncurrent asset on the balance sheet. As of December 31, 2024 and 2023, restricted cash consisted of money market funds.
118
Property and equipment, net
Property and equipment are presented at cost, net of accumulated depreciation. Depreciation is recorded using the straight-line method over the estimated useful life. Depreciation begins at the time the asset is placed in service. Maintenance and repairs that do not improve or extend the life of the assets are charged to expense as incurred and costs of major replacements or improvements are capitalized. The Company’s estimated useful lives of its property and equipment are as follows:
Laboratory equipment |
5 years |
Computer equipment |
3 years |
Furniture and fixtures |
5 years |
Software |
3 years |
Leasehold improvements |
Shorter of remaining lease term or estimated useful life |
Impairment of long-lived assets
The Company reviews long-lived assets for impairment whenever events or changes in circumstances indicate that the asset or asset group may not be recoverable. The recoverability of assets to be held and used is measured by comparing the carrying amount to the estimated undiscounted future cash flows expected to be generated by the asset or asset group. If the carrying amount exceeds the estimated undiscounted future cash flows, an impairment loss is recognized. There have been no such impairments of long-lived assets for the years ended December 31, 2024 and 2023.
Deferred offering costs
The Company defers offering costs consisting of legal, accounting and other fees and costs directly associated with in-process equity financings until such financings are consummated. After consummation of the equity financing, these costs are classified in stockholders’ deficit as a reduction of the additional paid-in capital recorded as a result of the financing. If the in-process financing is abandoned, the deferred offering costs are expensed immediately as a charge to operating expenses in the statements of operations and comprehensive income (loss). As of December 31, 2024, approximately $4.3 million of deferred offering costs related to the initial public offering completed in February 2025 were recorded within other assets in the accompanying balance sheets. As of December 31, 2023, no such costs were deferred.
Revenue recognition
The Company recognizes revenue in accordance with Accounting Standards Codification (ASC) 606, Revenue from Contracts with Customers, or ASC 606. To determine the appropriate amount and timing of revenue to be recognized under this guidance, the Company performs the following steps: (i) identifies the contract(s) with a customer; (ii) identifies the performance obligations in the contract; (iii) determines the transaction price, including variable consideration, if any; (iv) allocates the transaction price to the performance obligations in the contract; and (v) recognizes revenue when (or as) the entity satisfies a performance obligation.
The Company has entered into arrangements involving the license of intellectual property. Analyzing the license arrangements to identify performance obligations requires the use of judgment. In arrangements that include the license of intellectual property and other promised services, the Company first identifies if the licenses are distinct from the other promises in the arrangement. For the license of intellectual property that is distinct, the Company recognizes revenue from consideration allocated to the license when the license is transferred and the customer is able to benefit from the license. If the license is not distinct, the license is combined with other services into a single performance obligation and the Company recognizes revenue when (or as) the performance obligation is satisfied. Factors that are considered in evaluating whether a license is distinct from other promised services include, for example, whether the counterparty can benefit from the license without the promised service on its own or with other readily available resources and whether the promised service is expected to significantly modify or customize the intellectual property. Promised goods and services that are not material in the context of the contract are not considered performance obligations.
119
The transaction price is the amount of consideration to which the Company expects to be entitled in exchange for transferring promised goods or services to a customer. The consideration promised in a contract with a customer may include fixed amounts, variable amounts, or both. Non-refundable upfront payments are considered fixed consideration and included in the transaction price. If an arrangement includes development, regulatory or commercial milestone payments, the Company evaluates whether the milestones are considered probable of being reached and estimates the amount to be included in the transaction price using the most likely amount method. The Company includes the amount of estimated variable consideration, including milestones, in the transaction price to the extent that it is probable that a significant reversal of cumulative revenue recognized will not occur. Milestone payments that are not within the Company’s control or the licensee’s control, such as regulatory approvals, are generally not considered probable of being achieved until those approvals are received. At the end of each reporting period, the Company re-evaluates the probability of achievement of the milestones and any related constraint, and, if necessary, adjusts its estimate of the overall transaction price. Any such adjustments are recorded on a cumulative catch-up basis, which will affect revenue in the period of adjustment.
For arrangements with licenses of intellectual property that include sales-based royalties, including milestone payments based on the level of sales, and if the license is deemed to be the predominant item to which the royalties relate, the Company recognizes royalty revenue and sales-based milestones at the later of (i) when the related sales occur, or (ii) when the performance obligation to which the royalty has been allocated has been satisfied.
Amounts received prior to satisfying the revenue recognition criteria are recorded as deferred revenue in the Company’s balance sheets. If the related performance obligation is expected to be satisfied within the next twelve months this will be classified in current liabilities. Amounts recognized as revenue prior to receipt are recorded as contract assets in the Company’s balance sheets. If the Company expects to have an unconditional right to receive consideration in the next twelve months, this will be classified in current assets.
Leases
The Company determines if an arrangement is a lease at the inception of the arrangement. Operating leases are included in right-of-use assets, operating lease liabilities, current, and operating lease liabilities, net of current portion in its balance sheets. Right-of-use assets represent the Company’s right to use an underlying asset for the lease term and lease liabilities represent its obligation to make lease payments arising from the lease.
Operating lease right-of-use assets and liabilities are recognized at the lease commencement date based on the present value of lease payments over the lease term. In determining the present value of lease payments, the Company uses its incremental borrowing rate based on the information available at the lease commencement date. The operating lease right-of-use assets also include any lease payments made and exclude lease incentives. The Company’s lease terms may include options to extend or terminate the lease when it is reasonably certain that the Company will exercise any such options. Lease expense is recognized on a straight-line basis over the expected lease term. The Company has elected not to separate lease and non-lease components, such as common area maintenance charges, and instead it accounts for these as a single lease component. Leases with an initial term of 12 months or less are not recorded on the balance sheet, unless they include an option to purchase the underlying asset or to extend the lease that the Company is reasonably certain to exercise.
Convertible promissory notes
During the years ended December 31, 2024 and 2023, the Company entered into convertible note purchase agreements with various existing investors to issue up to $75.0 million in convertible promissory notes, or the Convertible Promissory Notes. As permitted under Accounting Standards Codification 825, Financial Instruments, or ASC 825, the Company elected the fair value option for recognition of the Convertible Promissory Notes. In accordance with ASC 825, the Company records these Convertible Promissory Notes at fair value and remeasures the Convertible Promissory Notes at fair value each reporting period with changes in fair value recorded in the statements of operations and comprehensive income (loss). As a result of applying the fair value option, direct costs and fees related to the Convertible Promissory Notes were recognized in earnings as incurred and not deferred.
Redeemable convertible preferred stock
The Company records convertible preferred stock at fair value on the dates of issuance, net of issuance costs. Upon the occurrence of certain events that are outside the Company’s control, including a deemed liquidation event, holders of the convertible preferred stock can cause redemption for cash. Therefore, redeemable convertible preferred stock is classified outside of stockholders’ deficit on the balance sheet as events triggering the redemption are not solely within the Company’s control. The carrying values of the redeemable convertible preferred stock are adjusted to their redemption value if and when it becomes probable that the preferred stock will become redeemable.
120
Research and development expenses
Research and development, or R&D, expenses are recorded in the period that services are rendered or goods are received. R&D expenses consist of personnel related costs, including salaries, benefits and stock-based compensation, related to R&D activities, laboratory supplies and facility costs, as well as fees paid to third parties that conduct certain R&D activities on behalf of the Company. Nonrefundable advance payments for goods or services that will be used or rendered for future R&D activities are capitalized and expensed as the goods are delivered or the related services are performed.
As part of the process of preparing its financial statements, the Company is required to estimate and accrue certain R&D expenses. This process involves the following:
Examples of estimated R&D expenses that the Company may accrue include costs for:
The Company bases its expense accruals related to clinical studies on its estimates of the services received and efforts expended pursuant to contracts with multiple research institutions and CROs that conduct and manage clinical studies on the Company’s behalf. The financial terms of these agreements vary from contract to contract and may result in uneven payment flows. Payments under some of these contracts depend on factors, such as the successful enrollment of patients and the completion of clinical trial milestones. In accruing service fees, the Company estimates the time period over which services will be performed and the level of effort to be expended in each period.
To date, the Company has not experienced significant changes in its estimates of accrued R&D expenses after a reporting period. However, due to the nature of estimates, there is no assurance that the Company will not make changes to its estimates in the future as it becomes aware of additional information about the status or conduct of its clinical studies and other R&D activities. Such changes in estimates will be recognized as R&D expenses in the period that the change in estimate occurs.
Stock-based compensation expense
The Company recognizes stock-based compensation expense for service-based stock options and restricted stock awards on a straight-line basis over the requisite service period. The Company recognizes compensation cost for performance-based awards over the requisite service period when it is determined that the performance condition is probable of being achieved. The Company measures the fair value of service-based stock options at the grant date using the Black-Scholes option-pricing model. Inputs to the Black-Scholes option-pricing model include the fair value of its common stock, the expected term of the awards, the expected common stock price volatility over the term of the awards, risk-free interest rates, and the expected dividend yield.
The fair value of restricted stock awards is determined on the date of grant based on the estimated fair value of the Company’s common stock on that date. Stock-based compensation expense is adjusted for actual forfeitures of unvested awards in the same period as the forfeitures occur.
The fair value of awards that contain market-based conditions is measured using a Monte-Carlo option pricing model at the date of grant using similar input assumptions as the Black-Scholes model while incorporating Level 3 inputs related to probability estimates of the market conditions being satisfied. Compensation expense related to awards with a market-based condition is recognized regardless of whether the market condition is ultimately satisfied, and compensation expense is not reversed if the achievement of the market condition does not occur.
121
Income taxes
The Company accounts for income taxes using the asset and liability method. The Company recognizes deferred tax assets and liabilities for the expected future tax consequences of events that have been included in the financial statements or tax returns subject to a determinable valuation allowance.
Deferred tax assets and liabilities are determined based on the difference between the financial statement and tax basis of assets and liabilities using enacted tax rates in effect for the year in which the differences are expected to reverse.
In evaluating the ability to recover its deferred income tax assets, the Company considers all available positive and negative evidence, including its operating results, ongoing tax planning and forecasts of future taxable income on a jurisdiction-by-jurisdiction basis. In the event the Company determines that it would be able to realize its deferred income tax assets in the future in excess of their net recorded amount, it would make an adjustment to the valuation allowance that would reduce the provision for income taxes. Conversely, in the event that all or part of the net deferred tax assets are determined not to be realizable in the future, an adjustment to the valuation allowance would be charged to earnings in the period when such determination is made. As of December 31, 2024 and 2023, the Company recorded a full valuation allowance on its deferred tax assets.
The Company recognizes uncertain income tax positions at the largest amount that is more likely than not to be sustained upon audit by the relevant taxing authority. An uncertain income tax position will not be recognized if it has less than a 50% likelihood of being sustained. Changes in recognition or measurement are reflected in the period in which judgment occurs. The Company’s policy is to recognize interest and penalties related to the underpayment of income taxes as a component of the provision for income tax.
Foreign currency transaction gain (loss)
Gains and losses arising from transactions and remeasurement of balances denominated in currencies other than U.S. dollars are recorded in interest and other income, net on the statement of operations and comprehensive income (loss). The Company recorded immaterial losses and gains on foreign currency transactions for the years ended December 31, 2024 and 2023, respectively.
Comprehensive income (loss)
Comprehensive income (loss) is defined as a change in equity of a business enterprise during a period, resulting from transactions from non-owner sources. During the years ended December 31, 2024 and 2023, the Company did not have any transactions that would be reported separately to derive comprehensive income (loss). Thus, comprehensive income (loss) is the same as net income (loss) for the periods presented.
Net income (loss) per share
Net income (loss) per share attributable to common stockholders is calculated using the two-class method required for companies with participating securities. The Company considers its convertible preferred stock to be participating securities as the holders are entitled to receive noncumulative dividends in the event that a dividend is paid on common stock.
Basic net income (loss) per share attributable to common stockholders is computed by dividing net income (loss) attributable to common stockholders by the weighted-average number of common shares outstanding during the period less common shares subject to vesting or forfeiture, without consideration for potentially dilutive securities. Diluted net income (loss) per share is computed by dividing net income (loss) by the weighted-average number of common shares and the number of common shares that would be issued assuming exercise and conversion of all potentially dilutive instruments. In calculating diluted net income (loss) per share, the Company applies the more dilutive of the two-class method or the if-converted method to the redeemable convertible preferred stock, applies the treasury stock method to equity awards, and applies the if-converted method to the Convertible Promissory Notes, if dilutive.
Distributed and undistributed earnings are allocated to participating securities based on their participation rights and are subtracted from net income in determining net income attributable to common stockholders for basic and diluted net income per share, only in periods of net income.
Commitments and contingencies
Liabilities for loss contingencies arising from claims, assessments, litigation, fines, and penalties and other sources are recorded if and when it is probable that a liability has been incurred and the amount can be reasonably estimated. Legal costs incurred in connection with loss contingencies are expensed as incurred.
122
Emerging growth company status
The Company is an emerging growth company, or EGC, as defined in the Jumpstart Our Business Startups Act of 2012, or the JOBS Act, and may take advantage of reduced reporting requirements that are otherwise applicable to public companies. Section 107 of the JOBS Act exempts emerging growth companies from being required to comply with new or revised financial accounting standards until private companies are required to comply with those standards. The Company has elected to use the extended transition period for complying with new or revised accounting standards.
Recently adopted accounting pronouncements
In November 2023, the FASB issued ASU 2023-07, Improvements to Reportable Segment Disclosures, which requires disclosure of incremental segment information on an annual and interim basis for all public entities. The amendments do not change how a public entity identifies its operating segments, aggregates those operating segments, or applies the quantitative thresholds to determine its reportable segments. The Company adopted ASU 2023-07 for annual reporting for the year ended December 31, 2024, retrospectively. The newly required disclosures are included above within this footnote under the subsection “Segment reporting.”
New accounting pronouncements—Not yet adopted
In December 2023, the FASB issued ASU 2023-09, Improvements to Income Tax Disclosures, which will require incremental income tax disclosures on an annual basis for all public entities. The amendments require that public business entities disclose specific categories in the rate reconciliation and provide additional information for reconciling items meeting a quantitative threshold. The amendments also require disclosure of income taxes paid to be disaggregated by jurisdiction, and disclosure of income tax expense disaggregated by federal, state, and foreign. ASU 2023-09 is effective for annual reporting beginning with the fiscal year ending December 31, 2025. The Company is currently evaluating the incremental disclosures that will be required in its financial statements.
In November 2024, the FASB issued ASU 2024-03, Income Statement—Reporting Comprehensive Income—Expense Disaggregation Disclosures, which will require additional expense disclosures for all public entities. The amendments require that at each interim and annual reporting period, an entity will disclose certain disaggregated expenses included in each relevant expense caption, as well as the total amount of selling expenses and, in annual periods, an entity’s definition of selling expenses. ASU 2024-03 is effective for annual reporting periods beginning with the fiscal year ending December 31, 2027, and interim periods thereafter, with early adoption permitted. The Company is currently evaluating the incremental disclosures that will be required in its financial statements.
The following tables summarize the types of assets and liabilities measured at fair value on a recurring basis by level within the fair value hierarchy. Refer to Note 10 on Convertible Promissory Notes and other debt agreements regarding the Company’s methodology of measuring the fair value of the Convertible Promissory Notes and the credit line success fee derivative.
123
|
|
Fair value measurements |
|
|||||||||||||
|
|
(in thousands) |
|
|||||||||||||
|
|
Total |
|
|
Level 1 |
|
|
Level 2 |
|
|
Level 3 |
|
||||
December 31, 2024 |
|
|
|
|
|
|
|
|
|
|
|
|
||||
Assets |
|
|
|
|
|
|
|
|
|
|
|
|
||||
Cash equivalents |
|
$ |
40,777 |
|
|
$ |
40,777 |
|
|
$ |
— |
|
|
$ |
— |
|
Restricted cash |
|
|
1,088 |
|
|
|
1,088 |
|
|
|
— |
|
|
|
— |
|
Total assets measured at fair value |
|
$ |
41,865 |
|
|
$ |
41,865 |
|
|
$ |
— |
|
|
$ |
— |
|
Liabilities |
|
|
|
|
|
|
|
|
|
|
|
|
||||
Credit line success fee derivative |
|
$ |
500 |
|
|
|
— |
|
|
|
— |
|
|
$ |
500 |
|
Total liabilities measured at fair value |
|
$ |
500 |
|
|
$ |
— |
|
|
$ |
— |
|
|
$ |
500 |
|
December 31, 2023 |
|
|
|
|
|
|
|
|
|
|
|
|
||||
Assets |
|
|
|
|
|
|
|
|
|
|
|
|
||||
Cash equivalents |
|
$ |
13,955 |
|
|
$ |
13,955 |
|
|
$ |
— |
|
|
$ |
— |
|
Restricted cash |
|
|
1,088 |
|
|
|
1,088 |
|
|
|
— |
|
|
|
— |
|
Total assets measured at fair value |
|
$ |
15,043 |
|
|
$ |
15,043 |
|
|
$ |
— |
|
|
$ |
— |
|
Liabilities |
|
|
|
|
|
|
|
|
|
|
|
|
||||
Credit line success fee derivative |
|
$ |
50 |
|
|
$ |
— |
|
|
$ |
— |
|
|
$ |
50 |
|
Convertible promissory notes |
|
|
20,080 |
|
|
|
— |
|
|
|
— |
|
|
|
20,080 |
|
Total liabilities measured at fair value |
|
$ |
20,130 |
|
|
$ |
— |
|
|
$ |
— |
|
|
$ |
20,130 |
|
There were no transfers between Level 1, 2, or 3 during the years ended December 31, 2024 and 2023.
Property and equipment, net
Property and equipment, net, consisted of the following:
|
|
As of December 31, |
|
|||||
|
|
2024 |
|
|
2023 |
|
||
|
|
(in thousands) |
|
|||||
Laboratory equipment |
|
$ |
15,378 |
|
|
$ |
14,574 |
|
Leasehold improvements |
|
|
5,452 |
|
|
|
5,360 |
|
Office furniture |
|
|
1,568 |
|
|
|
1,568 |
|
Software |
|
|
745 |
|
|
|
745 |
|
Computer equipment |
|
|
363 |
|
|
|
327 |
|
Fixed assets in-progress |
|
|
29 |
|
|
|
57 |
|
Total property and equipment, gross |
|
|
23,535 |
|
|
|
22,631 |
|
Accumulated depreciation |
|
|
(16,867 |
) |
|
|
(13,786 |
) |
Total property and equipment, net |
|
$ |
6,668 |
|
|
$ |
8,845 |
|
Depreciation expense was $3.3 million and $4.1 million for the years ended December 31, 2024 and 2023, respectively.
Accrued expenses and other current liabilities
Accrued expenses and other current liabilities consisted of the following:
|
|
As of December 31, |
|
|||||
|
|
2024 |
|
|
2023 |
|
||
|
|
(in thousands) |
|
|||||
Accrued compensation expenses |
|
$ |
8,083 |
|
|
$ |
6,882 |
|
Accrued research and development expenses |
|
|
2,934 |
|
|
|
1,642 |
|
Accrued professional expenses |
|
|
2,467 |
|
|
|
1,112 |
|
Other accrued expenses and current liabilities |
|
|
618 |
|
|
|
172 |
|
Total accrued expenses and other current liabilities |
|
$ |
14,102 |
|
|
$ |
9,808 |
|
124
Common stock
As of December 31, 2024 and 2023, the Company was authorized to issue 410,000,000 and 261,000,000 shares, respectively, of $0.001 par value common stock. Of the total common shares issued and outstanding, 311,170 shares were purchased by Third Rock Ventures, LLC, or TRV, upon the founding of the Company. TRV also purchased 55,000,000 shares of Series A redeemable convertible preferred stock. The remaining common shares issued and outstanding as of December 31, 2024 are restricted stock awards granted and stock option awards exercised under the plans discussed in Note 6 on Equity incentive plan and stock-based compensation expense. Common stockholders are entitled to dividends if and when declared by the Board of Directors of the Company, or the Board of Directors, subject to the prior rights of holders of all classes of stock outstanding having priority rights as to dividends. The holder of each share of common stock is entitled to one vote. As of December 31, 2024 and 2023, no dividends were declared.
Common stock reserved for future issuance, on an as-converted basis, consisted of the following:
|
|
As of December 31, |
|
|||||
|
|
2024 |
|
|
2023 |
|
||
Series A redeemable convertible preferred stock |
|
|
10,889,434 |
|
|
|
10,889,434 |
|
Series B redeemable convertible preferred stock |
|
|
6,971,192 |
|
|
|
5,970,649 |
|
Series C redeemable convertible preferred stock |
|
|
4,997,963 |
|
|
|
4,238,836 |
|
Series D redeemable convertible preferred stock |
|
|
5,641,987 |
|
|
|
— |
|
Series D-1 redeemable convertible preferred stock |
|
|
4,086,247 |
|
|
|
— |
|
Shares reserved under 2019 Equity Incentive Plan |
|
|
831,177 |
|
|
|
60,550 |
|
Stock options, issued and outstanding |
|
|
5,278,735 |
|
|
|
3,218,559 |
|
Total |
|
|
38,696,735 |
|
|
|
24,378,028 |
|
Redeemable convertible preferred stock
In November 2024, the Company issued 54,394,445 shares of its Series D redeemable convertible preferred stock, or Series D Preferred Stock, at $1.3792 per share for gross proceeds of $75.0 million, or Series D Financing. Simultaneously with the closing of this Series D Financing, the Convertible Promissory Notes, including accrued and unpaid interest, converted into 39,395,572 shares of the Company’s Series D-1 redeemable convertible preferred stock, or Series D-1 Preferred Stock, at a discount factor of 0.2 relative to the price paid by the Series D Preferred Stock investors. The Company incurred total offering costs of $4.2 million, resulting in net proceeds of $70.8 million. Of the total offering costs, $2.4 million and $1.8 million were allocated to the Series D and Series D-1 Preferred Stock, respectively. In connection with the Series D Financing, the Company adjusted the conversion ratios of the outstanding Series B redeemable convertible preferred stock and Series C redeemable convertible preferred stock to 1.00-for-0.1211 and to 1.00-for-0.1223, respectively, in connection with anti-dilution adjustments triggered by the Series D Financing. As a result of the adjustments to the conversion ratios, the Company reduced the amount of income available to existing stockholders by $15.0 million, in the form of a deemed dividend from its accumulated deficit, in accordance with ASC 260, Earnings Per Share.
Issued and outstanding redeemable convertible preferred stock as of December 31, 2024 and 2023 consisted of the following:
|
|
|
|
|
|
|
|
Original |
|
|
Aggregate |
|
|
|
|
|||||
|
|
Shares |
|
|
Shares issued |
|
|
issue price |
|
|
liquidation |
|
|
Net carrying |
|
|||||
Series |
|
authorized |
|
|
and outstanding |
|
|
per share |
|
|
amount |
|
|
value |
|
|||||
|
|
|
|
|
|
|
|
(in thousands, except share and per share data) |
|
|||||||||||
As of December 31, 2024 |
|
|
|
|
|
|
|
|
|
|
|
|
|
|
|
|||||
Series A |
|
|
104,985,132 |
|
|
|
104,985,132 |
|
|
$ |
1.00 |
|
|
$ |
104,985 |
|
|
$ |
104,985 |
|
Series B |
|
|
57,563,188 |
|
|
|
57,563,188 |
|
|
$ |
2.75 |
|
|
$ |
158,299 |
|
|
$ |
158,299 |
|
Series C |
|
|
40,866,704 |
|
|
|
40,866,704 |
|
|
$ |
2.9515 |
|
|
$ |
120,618 |
|
|
$ |
120,618 |
|
Series D |
|
|
55,394,431 |
|
|
|
54,394,445 |
|
|
$ |
1.3792 |
|
|
$ |
75,021 |
|
|
$ |
72,551 |
|
Series D-1 |
|
|
39,395,572 |
|
|
|
39,395,572 |
|
|
$ |
1.10336 |
|
|
$ |
43,467 |
|
|
$ |
51,634 |
|
Total |
|
|
298,205,027 |
|
|
|
297,205,041 |
|
|
|
|
|
$ |
502,390 |
|
|
$ |
508,087 |
|
|
As of December 31, 2023 |
|
|
|
|
|
|
|
|
|
|
|
|
|
|
|
|||||
Series A |
|
|
104,985,132 |
|
|
|
104,985,132 |
|
|
$ |
1.00 |
|
|
$ |
104,985 |
|
|
$ |
104,985 |
|
Series B |
|
|
57,563,188 |
|
|
|
57,563,188 |
|
|
$ |
2.75 |
|
|
$ |
158,299 |
|
|
$ |
158,299 |
|
Series C |
|
|
40,866,704 |
|
|
|
40,866,704 |
|
|
$ |
2.9515 |
|
|
$ |
120,618 |
|
|
$ |
120,618 |
|
Total |
|
|
203,415,024 |
|
|
|
203,415,024 |
|
|
|
|
|
$ |
383,902 |
|
|
$ |
383,902 |
|
|
125
The holders of redeemable convertible preferred stock had various rights and preferences including the following:
Conversion and voting rights
Each holder of redeemable convertible preferred stock is entitled to the number of votes equal to the number of shares of common stock into which such shares of redeemable convertible preferred stock held by such holder could then be converted. Each share is convertible at the holder’s option at any time. The conversion ratios for Series A, Series B, Series C, Series D, and Series D-1 redeemable convertible preferred stock are 1-for-0.1037, 1-for-0.1211, 1-for-0.1223, 1-for-0.1037 and 1-for-0.1037, respectively, and is subject to adjustments for anti-dilution in certain circumstances. Conversion is automatic immediately prior to the closing of a qualifying initial public offering and upon the election of holders of a majority of the then outstanding shares of preferred stock, voting together as a single class. Immediately prior to the closing of the Company's initial public offering in February 2025, the Company’s outstanding convertible preferred stock automatically converted into 32,586,823 shares of common stock.
Dividends
The holders of redeemable convertible preferred stock are entitled to receive dividends out of any assets legally available only when, as, and if declared by the Board of Directors, prior to and in preference to any declaration or payment of any dividend on the common stock. Such dividends are noncumulative.
Liquidation preference
In the event of any voluntary or involuntary liquidation, dissolution or winding up of the Company, or Liquidation Events, or deemed Liquidation Event, the holders of shares of the redeemable convertible preferred stock then outstanding shall be entitled to be paid out of the assets of the Company available for distribution to its stockholders before any payment shall be made to the holders of common stock. The amount per share shall be equal to the greater of (i) $1.00 for Series A redeemable convertible preferred stock, $2.75 for Series B redeemable convertible preferred stock, $2.9515 for Series C redeemable convertible preferred stock, $1.3792 for Series D Preferred Stock, and $1.10336 for Series D-1 Preferred Stock, plus any dividends declared but unpaid or (ii) such amount per share as would have been payable had all shares of the redeemable convertible preferred stock been converted into common stock immediately prior to such liquidation, dissolution or winding up of the Company or deemed Liquidation Event. In the event of any voluntary or involuntary liquidation, dissolution or winding up of the Company or deemed Liquidation Event, after the payment of all preferential amounts required to be paid to the holders of shares of redeemable convertible preferred stock, the remaining assets of the Company available for distribution to its stockholders shall be distributed among the holders of the shares of common stock, pro rata based on the number of shares held by each such holder.
Redemption
In the event a deemed Liquidation Event does not effect a dissolution of the Company under the Delaware General Corporation Law within 90 days, the holders of redeemable convertible preferred stock have the option (subject to the required vote) to redeem all outstanding shares of the redeemable convertible preferred stock from the net proceeds received for such deemed Liquidation Event at a price equal to the redeemable convertible preferred stock liquidation amount.
Classification
Upon the occurrence of certain change in control events that are outside the Company’s control, including liquidation, sale, or transfer of the Company, holders of the redeemable convertible preferred stock can effectively cause redemption for cash. As a result, the Company has classified the redeemable convertible preferred stock as mezzanine equity on the balance sheets as the stock is contingently redeemable. The redeemable convertible preferred stock classified in mezzanine equity is subject to subsequent measurement under the guidance provided under ASC 480-10-S99-3A, Accounting for Redeemable Equity Investments. The Company has elected to recognize changes in redemption value immediately as they occur through adjustments to the carrying amounts of the instruments at the end of the reporting period with the corresponding amount recorded to additional paid-in capital. No such changes were identified or recorded during the years ended December 31, 2024 and 2023.
126
2018 Stock Option and Grant Plan
In November 2018, the Company adopted the 2018 Stock Option and Grant Plan, or the 2018 Plan, which allowed for the granting of up to 1,763,303 equity awards to the founders, employees, members of the Board of Directors and consultants of the Company. The unvested shares of restricted common stock issued under the 2018 Plan are subject to repurchase by the Company at the original issuance price in the event of the holder’s termination, either voluntarily or involuntarily. Consideration received for unvested stock-based awards is initially recorded as a liability and subsequently reclassified into stockholders’ deficit as the related awards vest. Restricted common stock granted under the 2018 Plan generally vests over four years. Certain of the restricted common stock granted under the 2018 Plan vests upon achievement of certain performance conditions. The awards expire no more than 10 years from the date of grant.
Restricted stock awards (2018 Plan)
The following table summarizes restricted common stock activity during the years ended December 31, 2024 and 2023:
|
|
|
|
|
Weighted- |
|
||
|
|
|
|
|
average |
|
||
|
|
Restricted |
|
|
grant date |
|
||
|
|
stock awards |
|
|
fair value |
|
||
Unvested balance as of January 1, 2023 |
|
|
71,856 |
|
|
$ |
3.28 |
|
Vested |
|
|
(66,670 |
) |
|
$ |
3.57 |
|
Unvested restricted stock awards as of December 31, 2023 |
|
|
5,186 |
|
|
$ |
0.01 |
|
Vested |
|
|
(5,186 |
) |
|
$ |
0.01 |
|
Unvested restricted stock awards as of December 31, 2024 |
|
|
— |
|
|
$ |
— |
|
The total number of shares under the 2018 Plan that were vested as of December 31, 2024 and 2023 was 1,114,614 and 1,109,487, respectively. As of December 31, 2024 and 2023, there were immaterial amounts recorded in accrued expenses and other current liabilities related to shares held by employees and non-employees that were unvested and subject to repurchase under this plan. During the years ended December 31, 2024 and 2023, any repurchased shares under the 2018 Plan were transferred to the 2019 Equity Incentive Plan. As of December 31, 2024 and 2023, no awards were available for issuance under the 2018 Plan.
Restricted stock awards (outside of the 2018 Plan)
In 2018, the Company issued 639,201 shares of restricted stock to founders and advisors outside of the 2018 Plan. The shares were issued under the terms of respective restricted common stock agreements, and unvested shares are subject to repurchase by the Company upon the holder’s termination of its relationship with the Company at the original purchase price per share.
The following table summarizes the changes in the Company’s unvested restricted common stock awards granted to founders and advisors outside of the 2018 Plan during the years ended December 31, 2024 and 2023:
|
|
|
|
|
Weighted- |
|
||
|
|
|
|
|
average |
|
||
|
|
Restricted |
|
|
grant date |
|
||
|
|
stock awards |
|
|
fair value |
|
||
Unvested balance as of January 1, 2023 |
|
|
36,302 |
|
|
$ |
0.01 |
|
Vested |
|
|
— |
|
|
$ |
0.01 |
|
Unvested restricted stock awards as of December 31, 2023 |
|
|
36,302 |
|
|
$ |
0.01 |
|
Vested |
|
|
(25,930 |
) |
|
$ |
0.01 |
|
Unvested restricted stock awards as of December 31, 2024 |
|
|
10,372 |
|
|
$ |
0.01 |
|
The total number of shares outside of the 2018 Plan that were vested as of December 31, 2024 and 2023 was 628,829 and 602,899, respectively. As of December 31, 2024 and 2023, there were immaterial amounts recorded in other liabilities related to shares held by employees and non-employees that were unvested and subject to repurchase outside of the 2018 Plan. The unvested awards as of December 31, 2024 and 2023 vest upon the achievement of future performance milestones.
127
2019 Equity Incentive Plan
In August 2019, the Company’s Board of Directors approved the establishment of the 2019 Equity Incentive Plan, or the 2019 Plan. The 2019 Plan allows for the granting of restricted common stock, incentive stock options, or ISOs, and non-qualified stock options, or NSOs, to the employees, members of the Board of Directors and consultants of the Company. Restricted common stock granted under the 2019 Plan is generally vested upon issuance. Unvested shares of restricted common stock are subject to repurchase by the Company at the original issuance price in the event of the employee’s termination, either voluntarily or involuntarily. ISOs are granted only to the Company’s employees, including officers and directors who are also employees. NSOs are granted to consultants, employees, and non-employee directors of the Company. Stock options granted under the 2019 Plan generally expire 10 years from the date of grant. The 2019 Plan allows the holder of the stock option to early exercise the stock option in whole or in part prior to the full vesting of the stock option. Unvested stock options are subject to repurchase by the Company at the original issuance price in the event of the employee’s termination, either voluntarily or involuntarily. Early exercises of stock options are not deemed to be substantive exercises for accounting purposes and accordingly, consideration received for unvested stock options is initially recorded as a liability and subsequently reclassified into stockholders’ deficit as the related stock options vest.
There were 831,177 and 60,550 equity incentive awards authorized and available for issuance under the 2019 Plan as of December 31, 2024 and 2023, respectively.
Stock options (2019 Plan)
The following table summarizes stock option activity under the 2019 Plan for the year ended December 31, 2024:
|
|
Options outstanding |
|
|||||||||||||
|
|
|
|
|
|
|
|
Weighted- |
|
|
|
|
||||
|
|
|
|
|
Weighted- |
|
|
average |
|
|
Aggregate |
|
||||
|
|
Total |
|
|
average |
|
|
remaining |
|
|
intrinsic |
|
||||
|
|
options |
|
|
exercise |
|
|
contractual |
|
|
value |
|
||||
|
|
outstanding |
|
|
price |
|
|
life (years) |
|
|
(in thousands) |
|
||||
Outstanding as of December 31, 2023 |
|
|
3,218,559 |
|
|
$ |
14.46 |
|
|
|
7.95 |
|
|
|
|
|
Granted |
|
|
2,436,377 |
|
|
$ |
12.10 |
|
|
|
|
|
|
|
||
Exercised(1) |
|
|
(74,603 |
) |
|
$ |
10.25 |
|
|
|
|
|
|
|
||
Cancelled |
|
|
(301,598 |
) |
|
$ |
12.89 |
|
|
|
|
|
|
|
||
Outstanding as of December 31, 2024 |
|
|
5,278,735 |
|
|
$ |
10.44 |
|
|
|
8.27 |
|
|
$ |
494 |
|
Vested and expected to vest as of December 31, 2024 |
|
|
5,226,874 |
|
|
$ |
10.44 |
|
|
|
8.27 |
|
|
$ |
494 |
|
Vested and exercisable as of December 31, 2024 |
|
|
2,231,733 |
|
|
$ |
10.36 |
|
|
|
6.82 |
|
|
$ |
494 |
|
The total intrinsic value of options exercised was $0.1 million during both of the years ended December 31, 2024 and 2023. The intrinsic value is the difference between the estimated fair value of the Company’s common stock at the time of exercise and the exercise price of the stock option.
The total fair value of options that vested during the years ended December 31, 2024 and 2023 was $6.3 million and $8.0 million, respectively. The weighted average grant-date fair value of employee options granted during the years ended December 31, 2024 and 2023 was $9.51 and $13.21 per share, respectively.
As of December 31, 2024, there were no options subject to repurchase. As of December 31, 2023, there were 21,141 shares held by employees and non-employees from early exercised options subject to vesting and repurchase under the 2019 Plan and a corresponding immaterial amount recorded in other liabilities.
In December 2024, the Company completed a repricing of 3,415,997 outstanding stock options, which adjusted the exercise price of such stock options to $10.42 per share, including with respect to 1,969,902 outstanding stock options held by executive officers and members of its board of directors. Of those stock options, an option to purchase 51,861 shares held by the Company’s Chief Executive Officer was amended to change the performance vesting condition such that the option will fully vest if (i) the Company’s stock price is equal to or greater than $38.57 per share (as may be adjusted for stock splits) on average over a 20-day trading period or (ii) the Company is acquired at a stock price equal to or greater than $38.57 per share (as may be adjusted for stock splits), in each case subject to the grantee’s continued service relationship with the Company. The stock option repricing was treated as a modification in accordance with ASC 718, Compensation — Stock Compensation, and resulted in additional stock-based compensation expense of $0.7 million, of which $0.3 million was recognized for vested stock options in December 2024. The remaining $0.4 million of additional stock-based compensation expense will be recognized over the remainder of the vesting periods for unvested stock options.
128
Restricted stock awards (2019 Plan)
During the years ended December 31, 2024 and 2023, there were 14 shares and 20 shares, respectively, of restricted stock issued under the 2019 Plan. The weighted average grant-date fair value of restricted stock granted during the years ended December 31, 2024 and 2023 was $14.89 and $17.74 per share, respectively.
Fair value measurement
The Company estimated the fair value of service-based stock options using the Black-Scholes option-pricing model. The fair value of service-based stock options is being amortized on the straight-line basis over the requisite service period of the awards.
The fair value of the shares of common stock underlying stock options has historically been determined by the Board of Directors. Because there has been no public market for the Company’s common stock, the Board of Directors has determined the fair value of the common stock at the time of grant of the option by considering a number of objective and subjective factors including: (i) third-party valuations of the Company’s common stock; (ii) the Company’s stage of development; (iii) the status of research and development efforts; (iv) the rights, preferences, and privileges of the Company’s redeemable convertible preferred stock relative to those of the Company’s common stock; (v) the Company’s operating results and financial condition, including the Company’s levels of available capital resources; (vi) equity market conditions affecting comparable public companies; (vii) general U.S. market conditions; and (viii) the lack of marketability of the Company’s common stock.
The Black-Scholes option-pricing model requires the use of highly subjective assumptions which determine the fair value of stock-based awards. These assumptions include:
The fair value of service-based stock options granted to employees and non-employees during the years ended December 31, 2024 and 2023 was estimated using the following weighted-average assumptions:
|
|
Year ended December 31, |
|
|||||
|
|
2024 |
|
|
2023 |
|
||
Risk-free interest rate |
|
3.64%-4.65% |
|
|
3.41%-4.74% |
|
||
Expected volatility |
|
85%-100% |
|
|
85% |
|
||
Expected term (years) |
|
6.0-6.25 years |
|
|
6.0-6.25 years |
|
||
Expected dividend yield |
|
|
— |
|
|
|
— |
|
The fair value of the awards subject to the repricing in December 2024 was measured using a Monte-Carlo simulation analysis. For each simulation path, the fair value of the instrument was calculated using the Black-Scholes call option formula using input assumptions that include a risk-free rate of 4.15%, volatility of 116%, and a term of 9.65 years.
The fair value of awards that contain market-based conditions issued during fiscal year 2023 was measured using a Monte-Carlo option pricing model at the date of grant using input assumptions that include a risk-free rate of 4.35%, volatility of 80%, and a discount rate of 25%. Upon the repricing of awards that contain market-based conditions in December 2024, the fair value was measured using a Monte-Carlo option pricing model using input assumptions that include a risk-free rate of 4.08%, volatility of 113%, and a discount rate of 30%.
129
Stock-based compensation expense
The following table summarizes the components of stock-based compensation expense recognized in the Company’s statement of operations and comprehensive income (loss) during the years ended December 31, 2024 and 2023:
|
|
Year ended December 31, |
|
|||||
|
|
2024 |
|
|
2023 |
|
||
|
|
(in thousands) |
|
|||||
Research and development |
|
$ |
5,467 |
|
|
$ |
5,315 |
|
General and administrative |
|
|
4,179 |
|
|
|
3,432 |
|
Total stock-based compensation expense |
|
$ |
9,646 |
|
|
$ |
8,747 |
|
For the year ended December 31, 2024 and 2023, the Company recognized an immaterial amount and $0.2 million, respectively, in stock-based compensation expense related to restricted stock issued to founders, employees, and non-employees. For the years ended December 31, 2024 and 2023, the Company recognized $9.6 million and $8.5 million, respectively, in stock-based compensation related to stock option grants issued to employees and non-employees.
As of December 31, 2024 and 2023, there was $30.0 million and $16.4 million, respectively, of total unrecognized compensation cost related to unvested options and restricted stock awards for which the cost is expected to be recognized over a weighted-average period of 3.11 years and 2.52 years, respectively.
The Company entered into exclusive license agreements with several biotechnology companies during the year ended December 31, 2024.
Trace License Agreement
In March 2024, the Company entered into an exclusive license agreement with Trace Neuroscience, Inc., or Trace, pursuant to which the Company granted an exclusive worldwide license to a discovery research program targeting UNC13A for the treatment of amyotrophic lateral sclerosis, or the Trace License Agreement. As consideration for the licensed rights and the transfer of know-how and materials, the Company received an upfront payment of $15.0 million in April 2024. Thereafter, the Company is entitled to potential subsequent payments of up to an aggregate of $80.0 million based on development and regulatory milestones and up to an aggregate of $250.0 million based on sales milestones. The Company is also entitled to tiered royalties ranging from percentages in the low single-digits to sub-teens on net sales of any licensed product if successfully commercialized.
The Company assessed the Trace License Agreement in accordance with ASC 606 and concluded that it was a contract with a customer. The Company determined that there is one performance obligation relating to the license to the UNC13A discovery program, including the underlying know-how and certain related materials, and that the transaction price consisted of the $15.0 million non-refundable upfront cash payment. The potential future development and regulatory milestones represent variable consideration and were constrained, as it was concluded that it was not probable that a significant reversal in cumulative revenue recognized will not occur and therefore not included in the transaction price as of December 31, 2024. Potential sales milestones and royalties on net product sales will be recognized in the same period that the underlying net product sales occur as they were determined to relate to the license. The $15.0 million transaction price was recorded as license revenue in the statements of operations and comprehensive income (loss) during the year ended December 31, 2024 at the point in time when control of the license and related know-how was transferred to Trace.
Shionogi License Agreement
In March 2024, the Company entered into an exclusive license agreement with Shionogi & Co., Ltd, or Shionogi, pursuant to which the Company granted Shionogi an exclusive, worldwide, sublicensable license to research, develop, manufacture and commercialize MZE001 and certain other small molecule compounds modulating glycogen synthase 1, or the Shionogi License Agreement. As consideration for the licensed rights and the transfer of know-how and materials, the Company received an upfront payment of $150.0 million in May 2024 upon the effectiveness of the Shionogi License Agreement. The Shionogi License Agreement also requires that Shionogi pay the Company up to $275.0 million in the aggregate in milestone payments upon the completion of certain clinical and regulatory milestones and up to $330.0 million in the aggregate in milestone payments if certain sales milestones are achieved. The Shionogi License Agreement also requires that Shionogi pay the Company tiered royalties ranging from percentages in the low double-digits to twenty on net sales of licensed products, subject to certain deductions.
130
The Company assessed the Shionogi License Agreement in accordance with ASC 606 and concluded that it was a contract with a customer. The Company determined that there is one performance obligation relating to the license to the MZE001 program, including the underlying know-how and certain related materials, and that the transaction price consisted of the $150.0 million non-refundable upfront cash payment. The potential clinical and regulatory milestones represent variable consideration and were constrained as it was concluded that it was not probable that a significant reversal in cumulative revenue recognized will not occur and therefore not included in the transaction price as of December 31, 2024. Potential sales milestones and royalties on net product sales will be recognized in the same period that the underlying net product sales occur as they were determined to relate to the license. The $150.0 million transaction price was recorded as license revenue in the statements of operations and comprehensive income (loss) during the year ended December 31, 2024 at the point in time when control of the license and related know-how and materials was transferred to Shionogi.
Neurocrine License Agreement
In May 2024, the Company entered into an exclusive license agreement with Neurocrine Biosciences, Inc., or Neurocrine, pursuant to which the Company granted Neurocrine an exclusive worldwide license to a discovery research program targeting ATXN2, or the Neurocrine License Agreement. As consideration for the licensed rights and the transfer of know-how and materials, the Company received an upfront payment of $2.5 million in June 2024. Thereafter, the Company is entitled to potential subsequent payments of up to an aggregate of $24.8 million based on research and development milestones and up to an aggregate of $175.0 million based on sales milestones. The Company is also entitled to tiered royalties ranging in the sub-single-digit to low single-digit percentages on net sales of any licensed product if successfully commercialized.
The Company assessed the Neurocrine License Agreement in accordance with ASC 606 and concluded that it was a contract with a customer. The Company determined that there is one performance obligation relating to the license to the ATXN2 discovery program, including the underlying know-how and certain related materials, and that the transaction price consisted of the $2.5 million upfront cash payment. The potential research and development milestones represent variable consideration and were constrained as it was concluded that it was not probable that a significant reversal in cumulative revenue recognized will not occur and therefore not included in the transaction price as of December 31, 2024. Potential sales milestones and royalties on net product sales will be recognized in the same period that the underlying net product sales occur as they were determined to relate to the license. The $2.5 million transaction price was recorded as license revenue in the statements of operations and comprehensive income (loss) during the year ended December 31, 2024 at the point in time when control of the license and the related know-how and materials was transferred to Neurocrine.
Legal proceedings
From time to time, the Company may have certain contingent liabilities that arise in the ordinary course of its business activities. The Company accrues a liability for such matters when it is probable that future expenditures will be made and that such expenditures can be reasonably estimated. Significant judgment is required to determine both probability and the estimated amount. No contingent liabilities have been recorded as of December 31, 2024 and 2023.
Indemnification
In accordance with the Company’s amended and restated certificate of incorporation and amended and restated bylaws, the Company has indemnification obligations to its officers and directors for certain events or occurrences, subject to certain limits, while they are serving in such capacity. There have been no claims to date, and the Company has a directors and officers liability insurance policy that may enable it to recover a portion of any amounts paid for future claims.
Consortium agreements
Since November 2019, the Company entered into a Consortium Agreement and certain related amended agreements with the University of Helsinki and other parties for access to a collaborative pre-competitive research project. The project aims to collect genomic information from patient samples in biobanks across Finland to which the Company is granted access. Under the agreement, the Company is obligated to pay certain installments through the year 2027. The Company paid $0.8 million and $0.9 million during the year ended December 31, 2024 and 2023, respectively, under the related agreements. As of December 31, 2024, the Company is obligated to pay approximately $4.4 million under this agreement, of which $0.7 million, $1.0 million, and $2.7 million will be paid in each of the years ended December 31, 2025, 2026, and 2027, respectively.
131
In November 2021 the Company entered into a Genes and Health Industry Consortium Agreement with Queen Mary University to source genetic and paired clinical data from a long-term community-based study run jointly by government, academic and non-profit institutions. Under the agreement, the Company is obligated to pay certain installments through the year 2025. The Company paid $0.9 million and $1.2 million during the year ended December 31, 2024 and 2023, respectively, under the related agreement. As of December 31, 2024, the Company is obligated to pay approximately $0.5 million under this agreement, which will occur in the year ended December 31, 2025.
In September 2019, the Company entered into a lease in South San Francisco, California for approximately 67,200 square feet of office and laboratory space, which serves as the Company’s corporate headquarters, or Headquarters. The lease commenced in May 2020 and terminates in November 2030 with an option to extend the lease term for an additional period of eight years. The Company determined that given the length of time between lease commencement and the renewal period for this lease agreement (more than 10 years from the commencement date) and the uncertainty of business and market conditions in the future, it is not reasonably certain that the renewal option will be exercised. The Company is obligated to make total fixed payments over the lease term of approximately $53.5 million. The Company has provided the landlord with a letter of credit in the amount of $1.1 million. The security for the letter of credit is classified as restricted cash under long term assets on the balance sheet. Under this lease, the Company received reimbursement of $4.4 million for the costs associated with the design, development and construction of certain improvements that are deemed to be the property of the landlord. Such expenditures for lessor assets are recorded as prepaid rent and then reduced upon reimbursement. Total rent expense for this lease was $5.1 million for each of the years ended December 31, 2024 and 2023.
The lease costs, which are included in operating expenses in the statements of operations and comprehensive income (loss), and supplemental cash flow information related to the lease were as follows:
|
|
Year ended December 31, |
|
|||||
|
|
2024 |
|
|
2023 |
|
||
|
|
(in thousands) |
|
|||||
Operating lease expense |
|
$ |
5,074 |
|
|
$ |
5,088 |
|
Cash paid for operating leases |
|
$ |
5,086 |
|
|
$ |
4,914 |
|
As of December 31, 2024, the weighted-average remaining lease term was 5.9 years, and the weighted-average discount rate was 9.0%. As of December 31, 2024, the Company recorded current operating lease liabilities of $4.6 million, non-current operating lease liabilities of $22.0 million, and a corresponding right-of-use asset of $23.3 million on the balance sheet.
The following table reconciles the undiscounted future minimum lease payments required to the operating leases recorded on the Company’s balance sheet as of December 31, 2024:
Year Ending December 31, |
|
Amount |
|
|
|
(in thousands) |
|
||
2025 |
|
$ |
5,248 |
|
2026 |
|
|
5,432 |
|
2027 |
|
|
5,622 |
|
2028 |
|
|
5,819 |
|
2029 |
|
|
6,023 |
|
Thereafter |
|
|
5,691 |
|
Total undiscounted future minimum lease payments |
|
|
33,835 |
|
Less: Imputed interest |
|
|
(7,207 |
) |
Total operating lease liabilities |
|
$ |
26,628 |
|
132
Convertible promissory notes
The Company issued $24.5 million and $16.2 million of the Convertible Promissory Notes during the years ended in December 31, 2024 and 2023, respectively, for a total of $40.7 million aggregate principal amount of the Convertible Promissory Notes. The Convertible Promissory Notes bore interest at a rate of 8% per annum and had a maturity date in December 2026.
The Convertible Promissory Notes contained automatic conversion features triggered upon a qualified preferred stock financing or a qualified public offering. Upon a qualified preferred stock financing or a qualified public offering, the total outstanding principal and accrued interest would automatically convert into preferred stock or common stock, respectively, at a conversion price equal to 80% of the price per share paid by other purchasers of the respective financing or offering. If the Convertible Promissory Notes had not been repaid or converted before their maturity date, the holders could have converted the outstanding principal and accrued interest into Series C Preferred Stock at $2.9515 per share.
The Company elected to apply the fair value option, as per ASC 825, to the outstanding Convertible Promissory Notes. As such, the Convertible Promissory Notes were recognized at fair value with changes in fair value recognized in the statements of operations and comprehensive income (loss). The impact of interest expense on the convertible promissory notes was included within the changes in fair value. The fair value of the Convertible Promissory Notes was based on significant inputs, including volatility, discount yield, variables for the timing of the related conversion events and other probability estimates, which are deemed to be Level 3 inputs in the fair value hierarchy.
The fair value of the Convertible Promissory Notes was $20.1 million as of December 31, 2023. The assumptions used to determine the fair value of the Convertible Promissory Notes as of December 31, 2023 included an estimated 90% probability of conversion of the promissory notes at a 20% discount, an assumed discount rate of 25%, the assumed value of the convertible preferred stock, and an estimated time to settlement of up to 1.3 years. The Company recorded a loss of $3.8 million for the year ended December 31, 2023 in the statements of operations and comprehensive income (loss) reflecting the change in fair value of the Convertible Promissory Notes.
In connection with the Series D Financing, which was a qualified preferred stock financing pursuant to the term of the notes, the Convertible Promissory Notes, including accrued and unpaid interest of $2.7 million, automatically converted into 39,395,572 shares of the Company’s Series D-1 Preferred Stock at a discount factor of 0.2 relative to the price paid by the Series D Financing investors, or $1.10336 per share. The Convertible Promissory Notes were remeasured to fair value immediately before they were converted, resulting in a fair value of $53.4 million, and the Company recorded a loss of $8.8 million for the year ended December 31, 2024 in the statements of operations and comprehensive income (loss) reflecting the change in fair value of the Convertible Promissory Notes. The assumptions used to determine the fair value of the Convertible Promissory Notes immediately before they were converted included an estimated 100% probability of conversion of the promissory notes at a 20% discount. No convertible promissory notes are outstanding as of December 31, 2024.
The following table presents the change in fair value of the Convertible Promissory Notes for the year ended December 31, 2024:
|
|
Convertible Promissory Notes (in thousands) |
|
|
Balance as of December 31, 2023 |
|
$ |
20,080 |
|
Issuance of additional convertible promissory notes |
|
|
24,475 |
|
Change in fair value, net |
|
|
8,837 |
|
Settlement of convertible promissory notes through conversion to |
|
|
(53,392 |
) |
Balance as of December 31, 2024 |
|
$ |
— |
|
133
Loan and security agreement
In June 2022, the Company entered into a loan and security agreement with a bank that provides a three-year revolving line of credit of up to $50.0 million that is secured by substantially all of the Company’s assets, except for its intellectual property. The Company has not elected to draw down any funds from this debt facility during the years ended December 31, 2024 and 2023. Advances under the revolving line may be prepaid and reborrowed by the Company without penalty. The Company has the option to convert the aggregate principal amount of advances under the line of credit, if any, into a term loan upon maturity of the revolving line of credit. Advances under the line of credit accrue interest at a variable annum rate of the greater of (i) 0.75% above the Prime Rate (as defined below) and (ii) 4.50%. The Prime Rate is defined as the variable rate of interest, per annum, most recently announced by the bank, as its “prime rate,” whether or not such announced rate is the lowest rate available from the bank.
Under the loan and security agreement, the Company is required to pay the bank a success fee of up to $2.0 million depending on if the Company closes a sale of substantially all of its assets, consummates a reorganization where the voting stockholders before such transaction hold less than 50% of the voting securities after such transaction, or the sale of the Company’s securities in connection with an initial public offering, reverse merger or other similar transaction wherein the Company’s securities may thereafter be traded in a public market. This success fee was deemed to be a freestanding derivative instrument that was bifurcated from the line-of-credit instrument and is initially and subsequently measured at fair value each reporting period. The fair value of this success fee derivative was estimated utilizing a probability-weighted cash flow approach, including variables for the timing of the related events and other probability estimates, which are deemed to be Level 3 inputs in the fair value hierarchy. The fair value of this success fee derivative was approximately $0.5 million and $0.1 million as of December 31, 2024 and 2023, respectively, and is recorded in accrued expenses and other current liabilities on the balance sheets. The change in fair value of the derivative of approximately $0.4 million for the year ended December 31, 2024 is recorded in interest and other income, net in the statements of operations and comprehensive income (loss). In February 2025, the Company paid a success fee of $0.5 million pursuant to the terms of the loan and security agreement, upon the completion of the Company’s initial public offering. Total issuance costs and the debt discount arising from the success fee amounted to $0.3 million and were recorded in other assets, which are amortized as interest expense over the commitment period. The unamortized debt discount balance as of December 31, 2024 amounted to less than $0.1 million and is recorded in other current assets as the commitment period ends within one year of the balance sheet date.
The Company paid fees to its founders and certain board members in exchange for consulting services. During the year ended December 31, 2024, the Company recorded such fees of $0.1 million as research and development expenses and $0.2 million as general and administrative expenses. During year ended December 31, 2023, the Company recorded such fees of $0.3 million as research and development expenses and $0.2 million as general and administrative expenses.
The Company’s provision for income taxes is determined using the Company’s annual effective income tax rate, adjusted for discrete items, if any. For the year ended December 31, 2024, the Company recorded a federal income tax provision of $1.2 million and made an estimated income tax payment of $1.2 million. No income tax provision was recorded for the year ended December 31, 2023. The primary difference in income tax expense for the year ended December 31, 2024, as compared to the same period in the prior year, is the result of recognition of revenue from the Company’s license agreements as discussed in Note 7 on License agreements resulting in taxable income to the Company.
Based on available objective evidence during the year ended December 31, 2024, the Company believes it is more likely than not that its net deferred tax assets may not be realized. Accordingly, the Company has established a full valuation allowance against its net deferred tax assets due to the uncertainty surrounding the realization of such assets. All losses to date have been incurred domestically.
134
The primary difference between the effective income tax rate and the statutory income tax rate relates to the Company’s change in valuation allowance against deferred taxes. The effective income tax rate of the Company’s provision for income taxes differed from the federal statutory rate as follows:
|
|
Year ended December 31, |
|
|||||
|
|
2024 |
|
|
2023 |
|
||
Statutory income tax rate |
|
|
21.00 |
% |
|
|
21.00 |
% |
State income tax |
|
|
(5.13 |
)% |
|
|
1.69 |
% |
Permanent differences |
|
|
0.07 |
% |
|
|
(0.08 |
)% |
Stock-based compensation expense |
|
|
1.24 |
% |
|
|
(0.89 |
)% |
Others |
|
|
0.14 |
% |
|
|
(0.51 |
)% |
Tax credits |
|
|
(9.05 |
)% |
|
|
2.53 |
% |
Valuation allowance |
|
|
(9.55 |
)% |
|
|
(22.94 |
)% |
Convertible note revaluation |
|
|
3.48 |
% |
|
|
(0.80 |
)% |
Total effective income tax rate |
|
|
2.20 |
% |
|
|
0.00 |
% |
Deferred income taxes reflect the net tax effects: of (a) temporary differences between the carrying amounts of assets and liabilities for financial reporting purposes and the amounts used for income tax purposes, and (b) operating losses and tax credit carryforwards. The tax effects of significant items comprising the Company’s deferred tax as of December 31, 2024 and 2023 are as follows:
|
|
As of December 31, |
|
|||||
|
|
2024 |
|
|
2023 |
|
||
|
|
(in thousands) |
|
|||||
Deferred tax assets: |
|
|
|
|
|
|
||
Operating loss and tax credit carryforwards |
|
$ |
29,720 |
|
|
$ |
50,033 |
|
Lease liability |
|
|
5,793 |
|
|
|
6,216 |
|
Research and development credits |
|
|
17,219 |
|
|
|
14,663 |
|
Accruals and other |
|
|
5,807 |
|
|
|
3,952 |
|
Capitalized research and development |
|
|
34,907 |
|
|
|
24,097 |
|
Total deferred tax assets |
|
|
93,446 |
|
|
|
98,961 |
|
Deferred tax liabilities: |
|
|
|
|
|
|
||
Property and equipment, net |
|
|
(252 |
) |
|
|
(225 |
) |
Right of use asset |
|
|
(5,058 |
) |
|
|
(5,500 |
) |
Total deferred tax liabilities |
|
|
(5,310 |
) |
|
|
(5,725 |
) |
Valuation allowance |
|
|
(88,136 |
) |
|
|
(93,236 |
) |
Net deferred tax assets |
|
$ |
— |
|
|
$ |
— |
|
ASC 740, Income Taxes, requires that the tax benefit of net operating losses, or NOLs, temporary differences, and credit carryforwards be recorded as an asset to the extent that management assesses that realization is “more likely than not.” Realization of the future tax benefits is dependent on the Company’s ability to generate sufficient taxable income within the carryforward period. Because of the Company’s history of operating losses, management believes that recognition of the deferred tax assets arising from the above-mentioned future tax benefits is currently not likely to be realized and, accordingly, has provided a valuation allowance.
The realization of deferred tax assets is dependent upon future earnings, if any, of which the timing and amount are uncertain. Accordingly, the net deferred tax assets have been fully offset by a valuation allowance. During the years ended December 31, 2024 and 2023, the valuation allowance decreased by $5.1 million and increased by $23.0 million, respectively.
Utilization of the net operating loss carryforwards and credits may be subject to a substantial annual limitation due to the ownership change limitations provided by the Internal Revenue Code of 1986, as amended, or the Code, and similar state provisions. The Company prepared a Section 382 study which covered the period from inception through December 2024 and concluded that several ownership changes occurred since the inception of the Company. However, it was determined that the annual available NOLs under Section 382 will be sufficient to utilize in their entirety prior to their respective expiration years.
135
Net operating losses and tax credit carryforwards as of December 31, 2024 are as follows:
|
|
December 31, 2024 |
|
|
Expiration year |
|
|
|
(in thousands) |
|
|
|
|
Net operating losses, federal (post-December 31, 2017) |
|
$ |
140,867 |
|
|
Do not expire |
Net operating losses, federal (pre-January 1, 2018) |
|
|
— |
|
|
12/31/2037 |
Net operating losses, state |
|
|
2,229 |
|
|
2037—2044 |
Tax credits, federal |
|
|
16,375 |
|
|
2037—2044 |
Tax credits, state |
|
|
9,108 |
|
|
2034—2038 |
ASC Topic 740-10 prescribes a comprehensive model for the recognition, measurement, presentation and disclosure in financial statements of any uncertain tax positions that have been taken or expected to be taken on a tax return. The Company had unrecognized tax benefits of $6.8 million as of December 31, 2024 and $4.6 million as of December 31, 2023. The amount of unrecognized tax benefits is not expected to significantly change over the next twelve months. No amounts, outside of valuation allowance, would impact the effective tax rate on continuing operations. The beginning and ending gross unrecognized tax benefits amounts are as follows:
|
|
December 31, |
|
|||||
|
|
2024 |
|
|
2023 |
|
||
|
|
(in thousands) |
|
|||||
Unrecognized tax benefit—beginning of period |
|
$ |
4,623 |
|
|
$ |
2,829 |
|
Gross increase/(decrease)—prior period tax positions |
|
|
(585 |
) |
|
|
165 |
|
Gross increase/(decrease)—current period tax positions |
|
|
2,739 |
|
|
|
1,629 |
|
Unrecognized tax benefit—end of period |
|
$ |
6,777 |
|
|
$ |
4,623 |
|
It is the Company’s policy to include penalties and interest expense related to income taxes as a component of income tax expense as necessary. Management determined that no accrual for interest and penalties was required as of December 31, 2024 and 2023. The Company’s tax jurisdictions are the United States (federal) and the states of California, Colorado, Georgia, Idaho, Maine, Massachusetts, New Hampshire, New York, and Utah. The Company’s tax years from inception in 2017 forward remain open for examination by the federal and state authorities due to the carryover of unused net operating losses and tax credits. The Company is not currently subject to income tax examinations by any authority.
136
The following table sets forth the computation of basic and diluted net income (loss) per share (in thousands, except share and per share data):
|
|
Year ended December 31, |
|
|||||
|
|
2024 |
|
|
2023 |
|
||
Basic income (loss) per share: |
|
|
|
|
|
|
||
Net income (loss) |
|
$ |
52,231 |
|
|
$ |
(100,415 |
) |
Deemed dividend for anti-dilution adjustments to Series B |
|
|
(14,972 |
) |
|
|
— |
|
Allocation of undistributed earnings to participating |
|
|
(33,854 |
) |
|
|
— |
|
Net income (loss) attributable to common stockholders, basic |
|
$ |
3,405 |
|
|
$ |
(100,415 |
) |
Weighted-average shares of common stock outstanding |
|
|
2,421,566 |
|
|
|
2,378,927 |
|
Less: weighted-average shares of common stock subject to |
|
|
(25,472 |
) |
|
|
(90,947 |
) |
Weighted-average shares of common stock outstanding used |
|
|
2,396,094 |
|
|
|
2,287,980 |
|
Net income (loss) per share attributable to common |
|
$ |
1.42 |
|
|
$ |
(43.89 |
) |
Diluted income (loss) per share: |
|
|
|
|
|
|
||
Net income (loss) attributable to common stockholders, basic |
|
$ |
3,405 |
|
|
$ |
(100,415 |
) |
Weighted-average shares of common stock outstanding, |
|
|
2,396,094 |
|
|
|
2,287,980 |
|
Weighted-average dilutive effect of equity awards |
|
|
334,205 |
|
|
|
— |
|
Weighted-average shares of common stock outstanding, |
|
|
2,730,299 |
|
|
|
2,287,980 |
|
Net income (loss) per share attributable to common |
|
$ |
1.25 |
|
|
$ |
(43.89 |
) |
The potential shares of common stock that were excluded from the computation of diluted net income (loss) per share attributable to common stockholders for the periods presented because including them would have been antidilutive are as follows:
|
|
Year ended December 31, |
|
|||||
|
|
2024 |
|
|
2023 |
|
||
Series A redeemable convertible preferred stock |
|
|
— |
|
|
|
10,889,434 |
|
Series B redeemable convertible preferred stock |
|
|
— |
|
|
|
5,970,649 |
|
Series C redeemable convertible preferred stock |
|
|
— |
|
|
|
4,238,836 |
|
Shares subject to outstanding stock options |
|
|
1,521,486 |
|
|
|
3,218,559 |
|
Unvested restricted stock subject to repurchase |
|
|
10,372 |
|
|
|
41,488 |
|
Unvested exercised options subject to repurchase |
|
|
— |
|
|
|
21,141 |
|
Total |
|
|
1,531,858 |
|
|
|
24,380,107 |
|
The potential shares of common stock associated with the Convertible Promissory Notes that converted to Series D-1 Preferred Stock would have been antidilutive, but are not included in the table above as the Convertible Promissory Notes are no longer outstanding as of December 31, 2024.
137
In 2019, the Company implemented a defined contribution savings plan under Section 401(k) of the Code. Employees are eligible to participate in the plan on the first day of the month after their hire date and may contribute up to the current statutory limits under IRS regulations. The 401(k) plan permits the Company to make additional matching contributions on behalf of all employees. The Company incurred and accrued matching contributions of $0.4 million and $0.3 million for the year ended December 31, 2024 and 2023, respectively.
The Company evaluated subsequent events for recognition and measurement purposes through March 31, 2025 (including the impact of the reverse stock split and the initial public offering as discussed in Note 1), the date the financial statements were available for issuance.
The Company’s board of directors and stockholders approved the 2025 Equity Incentive Plan, or 2025 Plan, which became effective on January 29, 2025. The 2025 Plan replaced the 2019 Plan, and upon its effectiveness, the Company ceased granting awards under the 2019 Plan. The 2025 Plan allows the Company to make equity-based and cash-based incentive awards to its officers, employees, directors and consultants. The Company initially reserved 5,300,000 shares of its common stock under the 2025 Plan plus those shares of common stock previously reserved but unissued under the 2019 Plan. Any outstanding awards granted under the 2019 Plan will remain subject to the terms of the 2019 Plan and applicable award agreements.
The Company’s board of directors and stockholders approved the 2025 Employee Stock Purchase Plan, or 2025 ESPP, which became effective on January 30, 2025. The number of shares initially available for issuance pursuant to the 2025 ESPP was 450,000 shares.
Upon the completion of the Company’s initial public offering in February 2025, the Company filed its amended and restated certificate of incorporation, which authorizes the Company to issue up to 500,000,000 shares of common stock, $0.001 par value per share, and 10,000,000 shares of undesignated preferred stock, $0.001 par value per share.
In March 2025, the Company entered into an amendment to the loan and security agreement that provides for a one-year extension of the $50.0 million revolving line of credit maturity date to June 2026. The Company has the option to convert the aggregate principal amount of advances under the line of credit, if any, into a term loan upon maturity of the revolving line of credit. To date, the Company has not elected to draw down any funds from this debt facility.
138
Item 9. Changes in and Disagreements with Accountants on Accounting and Financial Disclosure
None.
Item 9A. Controls and Procedures
Evaluation of Disclosure Controls and Procedures
As of December 31, 2024, our management, including the Chief Executive Officer, who is our principal executive and principal financial officer, performed an evaluation of the effectiveness of the design and operation of our disclosure controls and procedures as defined in Rules 13a-15(e) and 15d-15(e) of the Exchange Act. Our disclosure controls and procedures are designed to ensure that information required to be disclosed in the reports we file or submit under the Exchange Act is recorded, processed, summarized and reported within the time periods specified in U.S. Securities and Exchange Commission, or the SEC’s rules and forms, and that such information is accumulated and communicated to our management, including the Chief Executive Officer, to allow timely decisions regarding required disclosures.
Any controls and procedures, no matter how well designed and operated, can provide only reasonable assurance of achieving the desired control objective and management necessarily applies its judgment in evaluating the cost-benefit relationship of possible controls and procedures. Based on this evaluation, our Chief Executive Officer concluded that, as of December 31, 2024, the design and operation of our disclosure controls and procedures were effective at a reasonable assurance level.
Management’s Annual Report on Internal Control Over Financial Reporting
This Annual Report on Form 10-K does not include a report of management’s assessment regarding internal control over financial reporting or an attestation report of our independent registered public accounting firm as permitted during the transition period established under the rules of the SEC for newly public companies.
Changes in Internal Control over Financial Reporting
There was no change in our internal control over financial reporting identified in connection with the evaluation required by Rule 13a-15(d)and 15d-15(d) of the Exchange Act that occurred during the quarter ended December 31, 2024 that has materially affected, or is reasonably likely to materially affect, our internal control over financial reporting.
Item 9B. Other Information
In March 2025, the Company entered into an amendment to the loan and security agreement that provides for a one-year extension of the $50.0 million revolving line of credit maturity date to June 2026. The Company has the option to convert the aggregate principal amount of advances under the line of credit, if any, into a term loan upon maturity of the revolving line of credit. To date, the Company has not elected to draw down any funds from this debt facility.
Rule 10b5-1 Trading Plans
During the three months end December 31, 2024, none of our directors and/or officers (as defined in Rule 16a-1(f) under the Exchange Act) adopted, modified or terminated a “Rule 10b5-1 trading arrangement” or “non-Rule 10b5-1 trading arrangement,” in each case as defined in Item 408 of Regulation S-K.
Item 9C. Disclosure Regarding Foreign Jurisdictions that Prevent Inspections Item 10.
Not applicable.
139
PART III
Directors, Executive Officers and Corporate Governance
Executive officers and directors
The following table provides information, including ages as of February 28, 2025, regarding our executive officers and directors:
Name |
|
Age |
|
Position |
Executive Officers: |
|
|
|
|
Jason Coloma, Ph.D. |
|
49 |
|
Chief Executive Officer and Director |
Harold S. Bernstein, M.D., Ph.D. |
|
65 |
|
President, Research and Development and Chief Medical Officer |
Courtney Phillips |
|
50 |
|
General Counsel and Corporate Secretary |
Atul Dandekar |
|
53 |
|
Chief Strategy and Business Officer |
Non-Employee Directors: |
|
|
|
|
Charles Homcy, M.D.(1) |
|
76 |
|
Chairman of the Board, Director |
Nancy C. Andrews, M.D., Ph.D.(2) |
|
66 |
|
Director |
Sekar Kathiresan, M.D.(3) |
|
53 |
|
Director |
Jonathan Lim, M.D.(2) |
|
53 |
|
Director |
Richard Scheller, Ph.D. |
|
71 |
|
Director |
Catherine Angell Sohn, Pharm. D.(1) |
|
71 |
|
Director |
Daniel Spiegelman(3) |
|
66 |
|
Director |
Neil Exter(3) |
|
66 |
|
Director |
Executive officers
Jason Coloma, Ph.D., has served as our President, Chief Executive Officer, and member of our board of directors since July 2019. Prior to that, he served as a venture partner at Third Rock Ventures, a venture capital firm, from June 2016 to July 2019. Previously, he held several roles at Roche, a multinational healthcare company, and Genentech, a biotechnology company, between August 2007 and July 2016, including Vice President & Global Therapeutic Area Head of Oncology Partnering as well as Global Head of Research Technology Partnering. Before joining Roche and Genentech, Dr. Coloma was a consultant in the life sciences practice at L.E.K. Consulting LLC, a global strategy consulting firm. He also worked in research at the University of California, San Francisco, and Cytokinetics, Incorporated, a late-stage biopharmaceutical company. Dr. Coloma holds B.S. in Biology from the University of San Francisco, a Ph.D. and M.P.H. from the University of California, Berkeley, and an M.B.A. from the Tuck School of Business at Dartmouth College.
Harold S. Bernstein M.D., Ph.D., has served as our President, Head of Research and Development, and Chief Medical Officer since October 2022. Prior to working at our company, Dr. Bernstein was Chief Medical Officer, Head of Global Clinical Development and Senior Vice President of Worldwide Research and Development at BioMarin Pharmaceutical Inc., a global biotechnology company, from October 2021 to September 2022. Before that, Dr. Bernstein served as Head of Translational Medicine and Vice President of Global Medicines Development and Medical Affairs at Vertex, a biopharmaceutical company, from October 2017 to September 2021. Prior to that, Dr. Bernstein served as Head of Cardiometabolic Diseases Early Clinical Development and Executive Director at Merck & Co., Inc., a multinational pharmaceutical company, from January 2013 to September 2017. Since July 2013, Dr. Bernstein has served as Adjunct Professor of Pediatrics (Cardiology) at the Mindich Child Health Development Institute at the Icahn School of Medicine at Mount Sinai. Dr. Bernstein also served as Professor of Pediatrics and a Senior Investigator at the Cardiovascular Research Institute and the Broad Center of Regeneration Medicine and Stem Cell Research at the University of California, San Francisco (UCSF) from January 1997 to June 2013. Dr. Bernstein holds an A.B. in Biological Sciences from Harvard College and an M.Phil., Ph.D. (Human Genetics) and M.D. from the Icahn School of Medicine at Mount Sinai.
Atul Dandekar has served as our Chief Strategy and Business Officer since July 2024, and previously served as our Chief Strategy Officer from March 2021 to July 2024. In this role, Mr. Dandekar is responsible for our business development, partnering, portfolio management and corporate strategy. Prior to working at our company, Mr. Dandekar held various positions at Genentech, a biotechnology corporation, including Vice President and Head of Global Ophthalmology Business Franchise, from January 2014 to March 2021. Prior to Genentech, Mr. Dandekar served in various positions at Novartis AG, a multinational pharmaceutical corporation, from February 2007 to December 2013, most recently as its Senior Global Program Head, Neurology. He is the co-founder of Ollin Biosciences, a private biotechnology company. Since March 2021, Mr. Dandekar has served as a director at Broadwing, a private biotechnology company.
140
Mr. Dandekar holds a bachelor’s degree in medicine and a masters in marketing from Mumbai University, as well as a post-graduate marketing degree from Monash University.
Courtney Phillips has served as our General Counsel and Corporate Secretary since July 2024. Prior to Maze, Ms. Phillips served as General Counsel and Corporate Secretary at Atreca, Inc., or Atreca, a biotechnology company, from July 2019 through June 2024. Prior to Atreca, Ms. Phillips was Vice President of Corporate Law at Global Blood Therapeutics, Inc., or Global Blood Therapeutics, a biotechnology company, from November 2017 through June 2019. Prior to Global Blood Therapeutics, Ms. Phillips served as Senior Corporate Counsel and then Vice President and Associate General Counsel at Relypsa, Inc., or Relypsa, a biotechnology company, from December 2013 through March 2017. Prior to Relypsa, Ms. Phillips was Corporate Counsel at Affymax, Inc., a biotechnology company. Earlier in her career, Ms. Phillips was a corporate/finance attorney at the law firms of Morrison Foerster LLP and Reed Smith LLP, where she represented biotechnology and technology companies in IPOs and other equity financings, mergers and acquisitions, securities law matters, and corporate governance. Ms. Phillips holds a B.A. from the University of California, Berkeley and a J.D. from Georgetown University Law Center.
Non-employee directors
Charles Homcy, M.D., is our co-founder and has served as the chairman of our board of directors since June 2018. Dr. Homcy previously served as a partner at Third Rock Ventures, a venture capital firm, from September 2010 to October 2019 where he currently serves in an advisory capacity. Dr. Homcy is also a co-founder of BridgeBio Pharma, Inc., a publicly traded biotechnology company, and has served as a member of its board of 2003, Dr. Homcy co-founded Portola Pharmaceuticals, LLC, a clinical biotechnology company, and served as President and Chief Executive Officer until 2010. Prior to that, Dr. Homcy served as director and the President of Research and Development at Millennium Pharmaceuticals, Inc. He was previously President of the medical research division of American Cyanamid & Chemical Corporation’s American Cyanamid-Lederle Laboratories. Dr. Homcy was a clinical professor of medicine at the University of California, San Francisco Medical School, and attending physician at the San Francisco Veterans Affairs Hospital from 1997 to 2008. He was previously a member of the Cardiac Unit of the Massachusetts General Hospital and an Associate Professor of Medicine at Harvard Medical School. Dr. Homcy holds an A.B. in Biology and an M.D. from Johns Hopkins University and is an Emeritus Trustee. Dr. Homcy is a co-founder of multiple privately held biotechnology companies including Global Blood Therapeutics, Inc., MyoKardia, Inc., Relay Therapeutics, Inc., Pliant Therapeutics Inc., and Marea Therapeutics. We believe Dr. Homcy is qualified to serve on our board of directors based on his significant experience building and leading successful biotechnology companies and his scientific expertise.
Nancy C. Andrews, M.D., Ph.D., has served as a member of our board of directors since January 2021. Dr. Andrews has served as Executive Vice President and Chief Scientific Officer at Boston Children’s Hospital since December 2021. She is also Professor in Residence of Pediatrics at Harvard Medical School. She was previously at Duke University from October 2007 to December 2021, where she served as Dean of the School of Medicine, Vice Chancellor for Academic Affairs, Professor of Pediatrics and Professor of Pharmacology & Cancer Biology. From 2003 to 2007, she served as Dean for Basic Sciences and Graduate Studies and Professor of Pediatrics at Harvard University Medical School. From 1999 to 2003, she served as director of the Harvard-Massachusetts Institute of Technology M.D./Ph.D. Program, and the principal investigator of its MSTP grant. From 1993 to 2006, she was a biomedical research investigator of the Howard Hughes Medical Institute. Dr. Andrews is an elected member of the American Academy of Arts and Sciences, the National Academy of Medicine, and the National Academy of Sciences, where she currently serves as Home Secretary. She has also served on the board of trustees of the Massachusetts Institute of Technology, the MIT Corporation. Since July 2018, she has served as a member of the Scientific Advisory Board of Dyne Therapeutics, Inc., clinical-stage muscle disease company. Dr. Andrews has also served on the board of directors of Novartis AG, a multinational pharmaceutical corporation since February 2015, and Charles River Laboratories, Inc, a pharmaceutical company, since February 2020. She received her B.S. and M.S. from Yale University, her Ph.D. from Massachusetts Institute of Technology, and her M.D. from Harvard Medical School. We believe Dr. Andrews is qualified to serve on our board of directors due to her extensive scientific leadership and expertise in oncology, genetics, and pediatric research.
141
Sekar Kathiresan, M.D. has served as a member of our board of directors since April 2022. Dr. Kathiresan is the co-founder and since July 2019 has served as the Chief Executive Officer and as member of the board of directors of Verve Therapeutics, Inc. Since July 2022, Dr. Kathiresan has served on the board of directors of Relay Therapeutics, Inc. From June 1997 until September 2021, Dr. Kathiresan served as a Physician (Cardiology) at Massachusetts General Hospital, where he was also the Director of Preventative Cardiology from June 2006 to June 2016 and the Director of the Center for Genomic Medicine from April 2016 to June 2019. Dr. Kathiresan has served as an Honorary Physician in the Department of Medicine at Massachusetts General Hospital since September 2021. Dr. Kathiresan served as a Professor of Medicine at Harvard Medical school from July 2018 to July 2021 and is currently at Lecturer in Medicine at Harvard Medical School. From February 2008 to June 2019, Dr. Kathiresan served as a Principal Investigator at the Broad Institute of MIT and Harvard, where he also served as a Co-Director of the Program in Medical and Population Genetics from June 2014 to June 2019. Dr. Kathiresan holds a B.A. in History from the University of Pennsylvania and an M.D. from Harvard Medical School. We believe that Dr. Kathiresan is qualified to serve on our board of directors based on his significant medical expertise and his significant experience researching genetics and CV disease.
Jonathan Lim, M.D., has served as a member of our board of directors since October 2019. Dr. Lim has served as a Venture Partner at ARCH Venture Partners, LLC, a venture capital firm, since December 2018. Dr. Lim co-founded Erasca, Inc., a clinical-stage precision oncology company, in July 2018 and currently serves as the Chairman of its board of directors and Chief Executive Officer. Since December 2018, Dr. Lim has also served as the Chairman and Co-founder at Boundless Bio, Inc., a biotechnology company. Dr. Lim is also the Managing Partner and Founder of City Hill, LLC, a venture capital firm. Previously, Dr. Lim co-founded Ignyta, Inc., a pharmaceutical company, in 2011 and served as the Chairman of its board of directors, President and Chief Executive Officer until its acquisition by Roche, a multinational healthcare company, in December 2018. He also previously served as Chairman and Co-founder of Bonti, Inc., a clinical-stage biotechnology company, from August 2015 until its October 2018 acquisition by Allergan PLC, a pharmaceutical company; Chairman, Chief Executive Officer and Co-founder of Eclipse Therapeutics, LLC, a private biotechnology company, from 2011 until its 2012 acquisition by Bionomics Ltd., clinical-stage biopharmaceutical company; and President, Chief Executive Officer and Chairman-then-Director of Halozyme Therapeutics, Inc., a biotechnology company, from 2003 to 2010. From 2001 to 2003, Dr. Lim was a management consultant at McKinsey & Company, a global management consulting firm, where he specialized in the healthcare industry. From 1999 to 2001, Dr. Lim was a recipient of a National Institutes of Health Postdoctoral Fellowship, during which time he conducted clinical outcomes research at Harvard Medical School. Dr. Lim’s prior experience also includes two years of clinical training in general surgery at the New York Hospital-Cornell Medical Center and Memorial Sloan-Kettering Cancer Center. Dr. Lim received an M.P.H. in Health Care Management from Harvard University, an M.D. from McGill University, and a B.S. and M.S. in Biological Sciences from Stanford University. We believe Dr. Lim is qualified to serve on our board of directors based on his significant experience building and leading successful biotechnology companies and his scientific and clinical expertise.
Richard Scheller, Ph.D., has served as a member of our board of directors since June 2019. Dr. Scheller is currently the Chair of Research and Development at BridgeBio Pharma Inc., a biotechnology company, a role he has served since January 2019, and served as a member of its board of directors from January 2018 to February 2021. He was previously the Head of Therapeutics and Chief Scientific Officer at 23andMe, Inc., a personal genomics company, from 2015 to 2019 and since early 2019 has served on that company’s board of directors. He also serves on the board of directors of Alector, Inc. From 2001 to 2014, Dr. Scheller spent 14 years at Genentech, a biotechnology company, where he was Executive Vice President of Research and Early Development. From 1982 to 2001, Dr. Scheller served on the faculty of Stanford University as a professor in the Department of Biological Sciences and the Department of Molecular and Cellular Physiology and was an investigator at the Howard Hughes Medical Institute of Stanford University Medical Center. Since 2004, Dr. Scheller has served as an adjunct professor in the Department of Biochemistry and Biophysics at the University of California, San Francisco. He has published more than 200 primary research papers during his career. Dr. Scheller received the Kavli Prize in Neuroscience (2010) and is a Member of the National Academy of Sciences and the National Academy of Medicine. Dr. Scheller received a Ph.D. in Chemistry from California Institute of Technology and a B.S. in Biochemistry from the University of Wisconsin-Madison. We believe Dr. Scheller is qualified to serve on our board of directors based on his significant experience building and leading successful biotechnology companies and his scientific expertise.
142
Catherine Angell Sohn, Pharm. D., has served as a member of our board of directors since January 2021. Since January 2011, Dr. Sohn has consulted for pharmaceutical, biotechnology, medical device and consumer healthcare companies in the areas of business strategy, business development, strategic product development and commercial launch at Sohn Health Strategies, LLC, which she founded and serves as President. Since March 2023, Dr. Sohn has served on the board of directors of Altimmune Inc, a public biopharmaceutical company, and she is a member of the board of directors at BioEclipse Therapeutics, a privately held biotechnology company. Dr. Sohn served at GlaxoSmithKline plc and its predecessor companies, SmithKline Beecham and SK&F, most recently as Senior Vice President. From 1994 to 1998, she was Vice President of Worldwide Strategic Product Development for Cardiovascular, Pulmonary and Metabolic Therapeutic Areas. Earlier in her career, as an entrepreneur within a large company, she started the U.S. Vaccine Business and led the launch of SmithKline Beecham’s first vaccine in the United States and helped shape the global vaccine portfolio pipeline as a member of the International Vaccine Steering Committee. Dr. Sohn received a Pharm. D. from the University of California, San Francisco, a Corporate Directors Certificate from Harvard Business School, a Certificate of Professional Development from the Wharton School at the University of Pennsylvania, and a Certificate from Berkeley Law for ESG: Navigating the Board’s Role, and is a Certified Licensing Professional Emeritus. Since 2016, she has also served as an Adjunct Professor at the University of California, San Francisco. We believe Dr. Sohn is qualified to serve on our board of directors based on her significant experience building and leading successful biopharmaceutical portfolios, her business development expertise and her governance experience as a public company board member.
Daniel Spiegelman has served as a member of our board of directors since October 2020. From May 2012 to February 2020, Mr. Spiegelman served as the Executive Vice President and Chief Financial Officer of Biomarin Pharmaceuticals Inc., a global biotechnology company. From 1998 to 2009, Mr. Spiegelman served as Senior Vice President and Chief Financial Officer at CV Therapeutics, Inc., a biopharmaceutical company acquired in 2009 by Gilead Sciences, Inc., a research-based biopharmaceutical company. From 1991 to 1998, Mr. Spiegelman was an employee at Genentech, serving most recently as its Treasurer. Mr. Spiegelman serves on the board of directors of several publicly traded biopharmaceutical companies, including as the Audit Committee Chairman at Spruce Biosciences, Inc. since September 2020, as the Audit Committee Chairman at Kyverna Therapeutics, Inc. since April 2021, and on the board of directors of vTv Therapeutics Inc. since June 2024. Mr. Spiegelman has also served on the board of directors of Tiizona Therapeutics, Inc., a privately held biotechnology company since May 2019. Mr. Spiegelman previously served as a member of the boards of directors of a number of additional publicly traded and privately held biotechnology companies, including, but not limited to, Affymax, Inc., Relypsa Inc, Anthera Pharmaceuticals, Inc. and Cascadian Therapeutics, Inc. Mr. Spiegelman received his B.A. in Economics and M.B.A. from Stanford University. We believe Mr. Spiegelman is qualified to serve on our board of directors based on his significant experience and his significant insights into financial strategy and organizational development.
Neil Exter, M.B.A., joined our board of directors upon the closing of our initial public offering. Mr. Exter has been a partner at Third Rock Ventures, a venture capital firm, since 2007. Prior to joining Third Rock Ventures, Mr. Exter was chief business officer of Alantos Pharmaceuticals Holding, Inc., a biopharmaceutical company, from 2006 until its acquisition by Amgen Inc. in 2007. Previously, he served as vice president of business development of Millennium Pharmaceuticals, Inc., a pharmaceutical company, from 2002 to 2006. Mr. Exter previously served as a member of the boards of directors of a number of additional publicly traded and privately held biotechnology companies, including, but not limited to, Decibel Therapeutics, Inc., a biotechnology company, Revolution Medicines Inc., a precision oncology company, and Pliant Therapeutics, Inc., a biopharmaceutical company. Mr. Exter earned a B.S. in Electrical Engineering from Cornell University, an M.S. in Electrical Engineering from Stanford University and an M.B.A. as a Baker Scholar from Harvard Business School. We believe Mr. Exter is qualified to serve on our board of directors because of his extensive experience investing in and advising life sciences companies, as well as his experience as a director of public and private companies in the life sciences industry.
Election of executive officers
Our executive officers are appointed by, and serve at the discretion of, our board of directors.
Family relationships
There are no family relationships among any of our executive officers or directors.
Board composition
Our board of directors consists of nine members. Seven of our directors are independent within the meaning of the independent director guidelines of Nasdaq.
143
Classified board of directors
In accordance with the terms of our restated certificate of incorporation and restated bylaws, our board of directors is divided into three staggered classes of directors. At each annual meeting of our stockholders, a class of directors will be subject to re-election for a three-year term. As a result, only one class of directors will be elected at each annual meeting of our stockholders, with the other classes continuing for the remainder of their respective three-year terms. Our directors are divided among the three classes as follows:
Each director’s term continues until the election and qualification of his or her successor, or his or her earlier death, resignation or removal. Our restated certificate of incorporation and restated bylaws authorize only our board of directors to fill vacancies on our board of directors. Any increase or decrease in the number of directors will be distributed among the three classes so that, as nearly as possible, each class will consist of one-third of the directors. This classification of our board of directors may have the effect of delaying or preventing changes in control of our company.
Director independence
Under the Nasdaq listing rules, independent directors must comprise a majority of a listed company’s board of directors within one year following the company’s listing date. In addition, the Nasdaq listing rules require that, subject to specified exceptions, each member of a listed company’s audit, compensation and nominating and governance committees be independent. Under the Nasdaq listing rules, a director will only qualify as an “independent director” if, in the opinion of that company’s board of directors, that person does not have a relationship that would interfere with the exercise of independent judgment in carrying out the responsibilities of a director.
Audit committee members must also satisfy the independence criteria set forth in Rule 10A-3 under the Exchange Act. In order to be considered independent for purposes of Rule 10A-3, a member of an audit committee of a listed company may not, other than in his or her capacity as a member of the audit committee, the board of directors or any other board committee: (i) accept, directly or indirectly, any consulting, advisory or other compensatory fee from the listed company or any of its subsidiaries or (ii) be an affiliated person of the listed company or any of its subsidiaries. Additionally, compensation committee members must not have a relationship with us that is material to the director’s ability to be independent from management in connection with the duties of a compensation committee member.
Our board of directors has undertaken a review of the independence of each director and considered whether each director has a material relationship with us that could compromise his or her ability to exercise independent judgment in carrying out his or her responsibilities. As a result of this review, our board of directors determined that all of our directors, except for Dr. Coloma and Dr. Homcy, are “independent directors” as defined under the current Nasdaq listing standards and SEC rules and regulations. In making these determinations, our board of directors reviewed and discussed information provided by the directors and us with regard to each director’s business and personal activities and relationships as they may relate to us and our management, including the beneficial ownership of our capital stock by each non-employee director and the transactions involving them as described in “Item 13. Certain Relationships and Related Transactions, and Director Independence.”
Leadership structure of the board
Our corporate governance guidelines provide our board of directors with flexibility to combine or separate the positions of chair of the board of directors and Chief Executive Officer. This structure allows our Chief Executive Officer to focus on our day-to-day business while our chairman leads our board of directors in its fundamental role of providing advice to, and oversight of, management. We believe Dr. Homcy is especially qualified for this role based on his operational and risk oversight expertise through his significant experience building and leading successful biotechnology companies and his scientific expertise. Further, our board of directors believes such separation is appropriate, as it enhances the accountability of the Chief Executive Officer to the board of directors. Dr. Homcy currently serves as the chairman of our board of directors and Dr. Coloma currently serves as our Chief Executive Officer. Our board of directors also intends to appoint a lead independent director to preside over executive sessions of the board and provide feedback to management, which will further strengthen the independence of the board of directors from management. Our board of directors, in its sole discretion, may seek input from our stockholders on the leadership structure of the board of directors.
144
Role of board in risk oversight process
Risk assessment and oversight are an integral part of our governance and management processes. Our board of directors encourages management to promote a culture that incorporates risk management into our corporate strategy and day-to-day business operations. Management discusses strategic and operational risks at regular management meetings, and conducts specific strategic planning and review sessions during the year that include a focused discussion and analysis of the risks facing us. Throughout the year, senior management reviews these risks with the board of directors at regular board meetings as part of management presentations that focus on particular business functions, operations or strategies, and presents the steps taken by management to mitigate or eliminate such risks.
Our board of directors does not have a standing risk management committee, but rather administers this oversight function directly through our board of directors as a whole, as well as through various standing committees of our board of directors that address risks inherent in their respective areas of oversight. While our board of directors is responsible for monitoring and assessing strategic risk exposure, our audit committee is responsible for overseeing our major financial risk exposures and the steps our management has taken to monitor and control these exposures. The audit committee also approves or disapproves any related person transactions. Our nominating and corporate governance committee monitors the effectiveness of our corporate governance guidelines and other compliance policies, as well as climate and other corporate sustainability risks. Our compensation committee assesses and monitors whether any of our compensation policies and programs has the potential to encourage excessive risk-taking.
Committees of the board of directors
Our board of directors has an audit committee, a compensation committee and a nominating and governance committee, each of which will have the composition and responsibilities described below. Each of the below committees has a written charter approved by our board of directors. Copies of each charter are posted on the investor relations page of our website at www.mazetx.com. The reference to our website address in this Annual Report on Form 10-K does not include or incorporate by reference the information on our website into this Annual Report on Form 10-K. Members that serve on these committees will serve until their resignation or until otherwise determined by our board of directors.
Audit committee
Our audit committee is composed of Mr. Spiegelman, Dr. Katherisan and Mr. Exter, with Mr. Spiegelman as the chairperson of our audit committee. Our board of directors has determined that the composition of our audit committee meets the requirements for independence under the current Nasdaq listing standards and SEC rules and regulations, and that each member of our audit committee is financially literate. In addition, our board of directors has determined that Mr. Spiegelman is an “audit committee financial expert” as defined in Item 407(d)(5)(ii) of Regulation S-K promulgated under the Securities Act. This designation does not impose on him or her any duties, obligations or liabilities that are greater than are generally imposed on members of our audit committee and our board of directors. Our audit committee is directly responsible for, among other things:
Compensation committee
Our compensation committee is composed of Dr. Lim and Dr. Andrews, with Dr. Lim as the chairperson of our compensation committee. Our board of directors has determined that each member of our compensation committee is a non-employee director, as defined by Rule 16b-3 promulgated under the Exchange Act, and meets the requirements for independence under the current Nasdaq listing standards and SEC rules and regulations. Our compensation committee is responsible for, among other things:
145
Nominating and governance committee
Our nominating and governance committee is composed of Dr. Sohn and Dr. Homcy with Dr. Sohn as the chairperson of our nominating and governance committee. Our board of directors has determined that Dr. Sohn meets the requirements for independence under the current Nasdaq listing standards. Our nominating and governance committee is responsible for, among other things:
For so long as our nominating and governance committee does not solely consist of independent directors, a majority of our directors who meet the requirements for independence under the current Nasdaq listing standards will be responsible for overseeing all aspects of the nomination process, including identifying, considering and selecting candidates for members on our board of directors.
Compensation committee interlocks and insider participation
None of the members of our compensation committee has been an officer or employee of our company. None of our executive officers currently serves, or in the past year has served, as a member of the board of directors or compensation committee (or other board committee performing equivalent functions) of any entity that has one or more of its executive officers serving on our board of directors or compensation committee. See “Item 13. Certain Relationships and Related Transactions, and Director Independence” for additional information. Prior to establishing the compensation committee, our full board of directors made decisions relating to the compensation of our officers.
Timing of equity grants
We do not time equity grants to take advantage of a depressed stock price or an anticipated increase in stock price. We intend to grant awards on predetermined dates to ensure that the timing and terms of awards cannot take advantage of material non-public information.
Code of business conduct and ethics
Our board of directors adopted a code of business conduct and ethics that applies to all of our employees, officers and directors, including our Chief Executive Officer, President and other executive and senior officers. The full text of our code of business conduct and ethics is posted on the investor relations page of our website at ir.mazetx.com/governance. The reference to our website address in this Annual Report on Form 10-K does not include or incorporate by reference the information on our website into this Annual Report on Form 10-K. We intend to disclose future amendments to certain provisions of our code of business conduct and ethics, or waivers of these provisions, on our website at www.mazetx.com or in public filings to the extent required by the applicable rules.
Insider trading arrangements and policies
We are committed to promoting high standards of ethical business conduct and compliance with applicable laws, rules and regulations. As part of this commitment, we have adopted an Insider Trading Policy governing the purchase, sale, and other dispositions of our securities that applies to all our personnel, including directors, officers, employees, and other covered persons. The Insider Trading Policy also provides that we will not transact in our own securities unless in compliance with U.S. securities laws. We believe that our Insider Trading Policy is reasonably designed to promote compliance with insider trading laws, rules and regulations, and the exchange listing standards applicable to us. A copy of our Insider Trading Policy is filed as Exhibit 19.1 to this Annual Report on Form 10-K.
Section 16(a) Beneficial Ownership Reporting Compliance
Section 16(a) of the Exchange Act requires our directors and executive officers, and persons who own more than 10% of a registered class of our equity securities, to file with the U.S. Securities and Exchange Commission, or the SEC initial reports of ownership and reports of changes in ownership of our Common Stock and other equity securities.
146
Such persons are also required to provide us with copies of all such reports filed with the SEC. Based solely upon the information supplied to us by these persons, we are required to report any known failure to file these reports within the specified period. To our knowledge, based solely upon a review of the Section 16(a) reports furnished to us and the written representations of these reporting persons, these persons complied with all filing requirements in a timely fashion for fiscal year 2024.
147
Item 11. Executive Compensation
Executive compensation
The following tables and accompanying narrative disclosure set forth information about the compensation earned by our named executive officers during the year ended December 31, 2024. Our named executive officers, who are our principal executive officer and the two most highly compensated executive officers (other than our principal executive officer) serving as executive officers as of December 31, 2024, are:
Summary compensation table
The following table presents summary information regarding the total compensation for services rendered in all capacities that was awarded to, earned by or paid to our named executive officers for the year ended December 31, 2024.
|
|
|
|
|
|
|
|
|
|
Non-equity |
|
|
|
|
|
|
|
|
|
|
||||||
|
|
|
|
|
|
|
|
|
|
incentive |
|
|
Option |
|
|
All other |
|
|
|
|
||||||
|
|
|
|
|
|
|
Bonuses |
|
|
plan compensation |
|
|
awards |
|
|
compensation |
|
|
Total |
|
||||||
Name and principal position |
|
Year |
|
Salary($) |
|
|
($) |
|
|
($)(1) |
|
|
($)(2) |
|
|
($) |
|
|
($) |
|
||||||
Jason Coloma, Ph.D. |
|
2024 |
|
527,262(3) |
|
|
|
— |
|
|
|
280,500 |
|
|
5,022,982(4) |
|
|
|
4,500 |
|
|
|
5,835,244 |
|
||
Chief Executive Officer |
|
|
|
|
|
|
|
|
|
|
|
|
|
|
|
|
|
|
|
|
||||||
Harold Bernstein, M.D., Ph.D |
|
2024 |
|
|
526,667 |
|
|
|
— |
|
|
|
233,000 |
|
|
|
1,634,665 |
|
|
|
4,500 |
|
|
|
2,398,832 |
|
President, Research and |
|
|
|
|
|
|
|
|
|
|
|
|
|
|
|
|
|
|
|
|
||||||
and Chief Medical Officer |
|
|
|
|
|
|
|
|
|
|
|
|
|
|
|
|
|
|
|
|
||||||
Courtney Phillips |
|
2024 |
|
|
191,780 |
|
|
50,000(5) |
|
|
|
80,000 |
|
|
|
1,862,640 |
|
|
33,000(6) |
|
|
|
2,217,420 |
|
||
General Counsel and |
|
|
|
|
|
|
|
|
|
|
|
|
|
|
|
|
|
|
|
|
||||||
Secretary |
|
|
|
|
|
|
|
|
|
|
|
|
|
|
|
|
|
|
|
|
||||||
2024 base salaries
Base salary is the only fixed component of our named executive officers’ total cash compensation and provides competitive and stable pay to attract and retain our executives. We make annual salary decisions by taking into account competitive data, the skills and experience that each executive brings to us, and the performance contributions of each executive. The base salaries for our named executive officers for the year ended December 31, 2024 are included in the Summary Compensation Table above.
Annual performance-based bonuses
Annual bonuses for our executive officers are based on the achievement of corporate and, for all of the executive officers other than our Chief Executive Officer, individual performance objectives. The 2024 target bonus amounts for our named executive officers, expressed as a percentage of annual base salary, were 50% for Dr. Coloma, 40% for Dr. Bernstein and 35% for Ms. Phillips.
148
Repricing
In December 2024, we repriced certain outstanding stock options, including stock options held by Dr. Coloma, Dr. Bernstein and Ms. Phillips. The repricing reduced the exercise price per share of such options to $10.42, the fair market value of our common stock as determined by our board of directors on the date of the repricing. We believe that repricing these underwater stock options was important for the growth and development of our business in order to provide appropriate retention and motivation incentives for our employees holding these stock options. All other terms of such options, other than the exercise price, remained the same, including the number of shares granted, vesting schedule and expiration date (with the exception of one stock option granted to Dr. Coloma, which was also amended to reduce the market condition vesting trigger from $77.13 to $38.57 per share).
Outstanding equity awards at 2024 fiscal year-end table
The following table summarizes the number of shares of common stock underlying outstanding equity incentive plan awards for each of our named executive officers as of December 31, 2024.
|
|
Option awards |
||||||||||||||||||
|
|
|
|
|
|
|
|
|
|
Equity |
|
|
|
|
|
|
||||
|
|
|
|
|
|
|
|
|
|
incentive |
|
|
|
|
|
|
||||
|
|
|
|
|
|
|
|
|
|
plan |
|
|
|
|
|
|
||||
|
|
|
|
|
|
|
|
|
|
awards: |
|
|
|
|
|
|
||||
|
|
|
|
Number of |
|
|
Number of |
|
|
Number of |
|
|
|
|
|
|
||||
|
|
|
|
securities |
|
|
securities |
|
|
Securities |
|
|
|
|
|
|
||||
|
|
|
|
underlying |
|
|
underlying |
|
|
Underlying |
|
|
|
|
|
|
||||
|
|
|
|
unexercised |
|
|
unexercised |
|
|
Unexercised |
|
|
Option |
|
|
Option |
||||
|
|
Grant |
|
options |
|
|
options |
|
|
Unearned |
|
|
exercise |
|
|
expiration |
||||
Name |
|
date(1) |
|
exercisable |
|
|
unexercisable |
|
|
Options(#) |
|
|
price($) |
|
|
date |
||||
Jason Coloma, Ph.D. |
|
2/2/2021(2)(3) |
|
|
651,082 |
|
|
28,308(4) |
|
|
|
— |
|
|
|
10.42 |
|
|
2/1/2031 |
|
Chief Executive Officer |
|
3/17/2022(2)(5) |
|
|
66,123 |
|
|
|
27,228 |
|
|
|
— |
|
|
|
10.42 |
|
|
3/16/2032 |
|
|
3/9/2023(2)(6) |
|
|
35,395 |
|
|
|
45,509 |
|
|
|
— |
|
|
|
10.42 |
|
|
3/8/2033 |
|
|
3/9/2023(2)(7) |
|
|
— |
|
|
|
— |
|
|
|
51,861 |
|
|
|
10.42 |
|
|
3/8/2033 |
|
|
4/23/2024(2)(8) |
|
|
15,169 |
|
|
|
65,735 |
|
|
|
— |
|
|
|
10.42 |
|
|
4/22/2034 |
|
|
12/9/2024(9) |
|
|
— |
|
|
|
481,381 |
|
|
|
— |
|
|
|
10.42 |
|
|
12/8/2034 |
Harold Bernstein, M.D., Ph.D |
|
10/27/2022(2)(10) |
|
|
209,845 |
|
|
|
177,562 |
|
|
|
— |
|
|
|
10.42 |
|
|
10/26/2032 |
President, Research and Development and Chief |
|
4/24/2024(2)(8) |
|
|
4,862 |
|
|
|
21,068 |
|
|
|
— |
|
|
|
10.42 |
|
|
4/23/2034 |
Medical Officer |
|
12/9/2024(9) |
|
|
— |
|
|
|
142,101 |
|
|
|
— |
|
|
|
10.42 |
|
|
12/8/2034 |
Courtney Phillips |
|
7/18/2024(2)(11) |
|
|
— |
|
|
|
103,723 |
|
|
|
— |
|
|
|
10.42 |
|
|
7/17/2034 |
General Counsel and Corporate Secretary |
|
12/9/2024(9) |
|
|
— |
|
|
|
35,680 |
|
|
|
— |
|
|
|
10.42 |
|
|
12/8/2034 |
149
Employment agreements
We have entered into employment agreements with certain senior management personnel, including our named executive officers. Each of these agreements provides for at-will employment and include each officer’s base salary, a discretionary annual incentive bonus opportunity, eligibility for future discretionary equity grants, and standard employee benefit plan participation. Under his employment agreement, Dr. Coloma will receive an annual base salary of $640,000, subject to periodic review, and will be eligible to earn a discretionary annual incentive bonus based on achievement of specified performance goals in an amount up to 55% of his annual base salary. Under his employment agreement, Dr. Bernstein will receive an annual base salary of $550,000, subject to periodic review, and will be eligible to earn a discretionary annual incentive bonus based on achievement of specified performance goals in an amount up to 45% of his annual base salary. Under her employment agreement, Ms. Phillips will receive an annual base salary of $440,000, subject to periodic review, and will be eligible to earn a discretionary annual incentive bonus based on achievement of specified performance goals in an amount up to 40% of her annual base salary.
We have also adopted arrangements for our executive officers, including our named executive officers, that provide for payments and benefits upon a qualifying termination of employment or upon a termination in connection with a change in control of our company, as described below.
Amended and Restated Severance and Change in Control Plan
In December 2024, our board of directors adopted an Amended and Restated Executive Severance and Change in Control Plan, or the Severance Plan. Certain of our officers, including our named executive officers, participate in the Severance Plan.
Outside of a Change in Control. Pursuant to the Severance Plan (as adjusted in certain respects pursuant to his employment agreement), if Dr. Coloma is terminated without “cause” or resigns for “good reason” (as such terms are defined in the Severance Plan), he will be entitled to receive (i) a lump sum cash amount equal to his annual base salary and (ii) a lump sum cash amount equal to a pro-rata portion (determined based on the number of days he is employed by us during the bonus performance period) of his target bonus. In addition, if Dr. Coloma timely elects continued coverage under the Consolidated Omnibus Budget Reconciliation Act of 1985, or COBRA, we shall pay his monthly premium under COBRA until the earliest of (x) 12 months following his termination date, (y) the date when he receives similar coverage under another employer’s plans and (z) the expiration of his continuation coverage under COBRA.
Pursuant to the Severance Plan (as adjusted in certain respects pursuant to his employment agreement), if Dr. Bernstein is terminated without “cause” or resigns for “good reason” (as such terms are defined in the Severance Plan), he will be entitled to receive a lump sum cash amount equal to his annual base salary. In addition, if Dr. Bernstein timely elects continued coverage under COBRA, we shall pay his monthly premium under COBRA until the earliest of (x) 12 months following his termination date, (y) the date when he receives similar coverage under another employer’s plans and (z) the expiration of his continuation coverage under COBRA.
Pursuant to the Severance Plan, if Ms. Phillips is terminated without “cause” (as such term is defined in the Severance Plan), she will be entitled to receive a lump sum cash amount equal to 9 months of her annual base salary. In addition, if Ms. Phillips timely elects continued coverage under COBRA, we shall pay her monthly premium under COBRA until the earliest of (x) 9 months following her termination date, (y) the date when she receives similar coverage under another employer’s plans and (z) the expiration of her continuation coverage under COBRA.
In Connection with a Change in Control. Pursuant to the Severance Plan, if Dr. Coloma is terminated without “cause” or resigns for “good reason” (as such terms are defined in the Severance Plan) in the period commencing three months prior to a “change in control” (as such term is defined in the Severance Plan) of us (but only if after the execution of a definitive agreement providing for a change in control if such transaction is consummated) and ending twelve months following a change in control of us, he will be entitled to receive (i) a lump sum cash amount equal to 18 months of his annual base salary and (ii) a lump sum cash amount equal to 1.5 times his target bonus. In addition, if Dr. Coloma timely elects continued coverage under COBRA, we shall pay his monthly premium under COBRA until the earliest of (x) 18 months following his termination date, (y) the date when he receives similar coverage under another employer’s plans and (z) the expiration of his continuation coverage under COBRA. In addition, each of Dr. Coloma’s then-outstanding equity awards, other than awards subject to performance-based vesting criteria, will automatically become vested and exercisable or settled in full and any awards that would otherwise vest only upon satisfaction of performance criteria shall be treated in accordance with the applicable performance award agreement.
150
Pursuant to the Severance Plan, if Dr. Bernstein and Ms. Phillips are terminated without “cause” or resign for “good reason” (as such terms are defined in the Severance Plan) in the period commencing three months prior to a “change in control” (as such term is defined in the Severance Plan) of us (but only if after the execution of a definitive agreement providing for a change in control if such transaction is consummated) and ending twelve months following a change in control of us, they will be entitled to receive (i) a lump sum cash amount equal to their annual base salary and (ii) a lump sum cash amount equal to their target bonus. In addition, if Dr. Bernstein and Ms. Phillips timely elect continued coverage under COBRA, we shall pay their monthly premium under COBRA until the earliest of (x) 12 months following their termination date, (y) the date when they receive similar coverage under another employer’s plans and (z) the expiration of their continuation coverage under COBRA. In addition, each of Dr. Bernstein’s and Ms. Phillips’ then-outstanding equity awards, other than awards subject to performance-based vesting criteria, will automatically become vested and exercisable or settled in full and any awards that would otherwise vest only upon satisfaction of performance criteria shall be treated in accordance with the applicable performance award agreement.
In addition, in the event that outstanding equity awards are not assumed by a successor company following a change in control of us, the vesting of such unassumed awards, other than awards subject to performance-based vesting criteria, will automatically accelerate in full without regard to Drs. Coloma’s or Bernstein’s or Ms. Phillips’ termination of service, and any awards that would otherwise vest only upon satisfaction of performance criteria shall be treated in accordance with the applicable performance award agreement.
All such severance payments and benefits under the Severance Plan are subject to each named executive officer’s execution of a general release of claims against us.
The terms of the Severance Plan will supersede all prior agreements with our named executive officers, including their respective individual offer letters and employment agreements, with respect to any severance payments and equity acceleration to which any such named executive officers may be entitled upon a termination of service or change in control of us.
Equity compensation plans and other benefit plans
We believe that our ability to grant equity-based awards is a valuable compensation tool that enables us to attract, retain, and motivate our employees, consultants, and directors by aligning their financial interests with those of our stockholders. The principal features of our equity plans are summarized below. These summaries are qualified in their entirety by reference to the actual text of the plans, which are filed as exhibits to this Annual Report on Form 10-K.
2018 Stock Option and Grant Plan
Our 2018 Stock Option and Grant Plan, or the 2018 Plan, was initially adopted by our board of directors and approved by our stockholders in November 2018. Our 2018 Plan terminated on the date that our 2019 Plan became effective (as defined and described below).
Share reserve. As of December 31, 2024, restricted stock awards, or RSAs, for 1,160,783 shares of restricted stock have been granted under our 2018 Plan. As of December 31, 2024, all RSAs granted under our 2018 Plan are fully vested. Only RSAs have been granted under the 2018 Plan, and no additional grants will be made under the 2018 Plan. Outstanding shares of restricted stock granted under our 2018 Plain prior to its termination will remain outstanding until they are terminated, forfeited or repurchased in accordance with the terms of the 2018 Plan and the applicable award agreements evidencing such awards.
Administration. Our board of directors or a committee thereof appointed by our board of directors, referred to as the compensation committee, administered the 2018 Plan and awards granted thereunder. While no new awards may be granted under the 2018 Plan, subject to the terms of the 2018 Plan, the compensation committee has the authority to, among other things, interpret the terms and provisions of our 2018 Plan and any award under the 2018 Plan as well as to adopt, alter and repeal rules, guidelines and practices for administration of the 2018 Plan.
Types of awards; Eligibility. Our 2018 Plan provided for the grant of incentive stock options, or ISOs, non-qualified stock options, or NQSOs, restricted stock units, or RSUs, and RSAs to our employees, directors, and consultants; provided that ISOs could only be granted to employees. Only RSAs have been granted under our 2018 Plan and no additional awards may be granted under the 2018 Plan.
151
Restricted Stock Awards. An RSA is an offer by us to sell shares of our common stock subject to restrictions which could lapse based on terms and conditions determined by the compensation committee, as set forth in our 2018 Plan and an award agreement. These restrictions may be based on completion of a specified period of service with us or upon the achievement of performance goals during a performance period. The compensation committee determined the price of an RSA. Unless otherwise set forth in the award agreement, vesting will cease on the date the participant no longer provides services to us, and at that time, unvested shares will be subject to repurchase by us. Holders of restricted stock are entitled to vote, subject to such conditions contained in the award agreement, and are entitled to receive all dividends and distributions with respect to such shares.
Limited transferability. Unless otherwise determined by the compensation committee, shares of restricted stock granted under our 2018 Plan generally may not be sold, assigned, transferred, pledged, hypothecated, given away, or in any other manner disposed of or encumbered unless (i) the transfer is in compliance with the terms of the applicable award agreement, securities laws and the 2018 Plan and (ii) the transferee consents in writing to be bound by the provisions of the 2018 Plan and applicable award agreement. Transfers of shares may also be made to certain permitted transferees specified under the 2018 Plan.
Change in control. In the event of a “Sale Event” (as defined in the 2018 Plan), all then-unvested shares of restricted stock (other than those becoming vested as a result of the Sale Event, if applicable) issued under the 2018 Plan shall be forfeited immediately prior to the effective time of any such Sale Event unless assumed, continued or substituted by the successor entity or a parent thereof, with an equitable or proportionate adjustment as to the number and kind of shares subject to such awards as such parties shall agree (after taking into account any acceleration under the 2018 Plan and/or pursuant to the terms of any award agreement, if applicable). In the event of the forfeiture of unvested shares of restricted stock, such shares shall be repurchased from the holder at a price per share equal to the lower of the original per share purchase price paid by the holder (subject to adjustment as provided in the 2018 Plan, if applicable) or the current fair market value of such shares, determined immediately prior to the effective time of the Sale Event. Notwithstanding the foregoing, in the event of a Sale Event, we shall have the right, but not the obligation, to make or provide for a cash payment to the holders of unvested shares of restricted stock, without consent of the holders, in exchange for the cancellation thereof, in an amount equal to the value as determined by the compensation committee of the consideration payable on a per share basis for our common stock times the number of shares subject to such awards, to be paid at the time of such Sale Event or upon the later vesting of such awards.
Adjustments. If, as a result of any reorganization, recapitalization, reclassification, stock dividend, stock split, reverse stock split or other similar change in our capital stock, the outstanding shares are increased or decreased or are exchanged for a different number or kind of shares or other securities of the company, or additional shares or new or different shares or other securities of the company or other non-cash assets are distributed with respect to such shares or other securities, in each case, without the receipt of consideration by the company, or, if, as a result of any merger or consolidation, or sale of all or substantially all of our the assets, the outstanding shares are converted into or exchanged for other securities of our company or any successor entity (or a parent or subsidiary thereof), the compensation committee shall make an appropriate and proportionate adjustment in (i) the number and kind of shares or other securities subject to any then outstanding awards under the 2018 Plan and (ii) the repurchase price, if any, per share subject to each outstanding award.
Amendment; termination. Our 2018 Plan was terminated upon adoption of our 2019 Plan (as defined and described below). The compensation committee may amend or cancel any outstanding award granted under the 2018 Plan for the purpose of satisfying changes in law or for any other lawful purpose, provided that the award holder’s consent will be required if such action shall adversely affect rights under any outstanding award.
2019 Equity Incentive Plan
Our 2019 Equity Incentive Plan, or 2019 Plan, was initially adopted by our board of directors and approved by our stockholders in August 2019. Our 2019 Plan terminated on the date that our 2025 Equity Incentive Plan, or 2025 Plan became effective (as defined and described below).
Share reserve. As of December 31, 2024, 6,497,608 shares of our common stock had been reserved for issuance pursuant to grants under our 2019 Plan, of which 831,177 remained available for grant. Only options and shares of restricted stock were granted under our 2019 Plan, and no additional grants were made under the 2019 Plan following the date our 2025 Plan became effective. As of December 31, 2024, options to purchase 475,307 shares had been exercised, and options to purchase 5,278,735 shares remained outstanding, with a weighted-average exercise price of $10.44 per share, which includes adjustments related to our repricing of outstanding stock options in December 2024.
152
Administration. The compensation committee administered the 2019 Plan and awards granted thereunder. Subject to the terms of the 2019 Plan, the compensation committee had the authority to, among other things, select the persons to whom awards would be granted, construe and interpret our 2019 Plan as well as to prescribe, amend, expand, modify, and rescind or terminate rules and regulations relating to the 2019 Plan.
Types of awards; Eligibility. Our 2019 Plan provided for the grant of the awards described below to our employees, consultants, directors and non-employee directors. Pursuant to the 2019 Plan, ISOs could be granted only to our employees. We could grant all other types of awards to our employees, directors and consultants.
Options. The 2019 Plan provided for the grant of ISOs and NQSOs. ISOs could be granted only to our employees or employees of our parent and subsidiaries. NQSOs could be granted to eligible employees, consultants and directors or any of the foregoing of our parent or subsidiaries. We were able to issue no more than 12,747,640 shares pursuant to the grant of ISOs under the 2019 Plan. The compensation committee determined the terms of each option award, provided that ISOs are subject to statutory limitations. The compensation committee also determined the exercise price for an option, provided that the exercise price of an option may not be less than the fair market value of our common stock on the date of grant (with certain additional requirements for certain ISOs).
Options granted under the 2019 Plan vest at the rate and/or subject to performance requirements specified by the compensation committee and such vesting schedule is set forth in the option agreement to which such option grant relates. The compensation committee determined the term of options granted under the 2019 Plan, up to a term of 10 years (with certain additional requirements for certain ISOs).
After an optionee ceases to provide services to us, he or she is able to exercise his or her vested option for the period of time stated in the stock option agreement to which such option relates. Generally, the vested option will remain exercisable for three months after an optionee’s cessation of service, except in the case of termination due to death, disability or termination for cause. An option may not be exercised later than its expiration date. Any unvested shares of restricted stock issued in connection with the early exercise of an option (if any) are subject to our right to repurchase unvested shares upon the holder’s termination of service, as permitted under the 2019 Plan.
Restricted stock awards. An RSA is an offer by us to sell shares of our common stock subject to restrictions that the compensation committee may impose. These restrictions may be based on completion of a specified period of service with us or upon the achievement of performance goals during a performance period. The compensation committee determined the price of a restricted stock award. Unless otherwise set forth in the award agreement, vesting will cease on the date the participant no longer provides services to us, and at that time unvested shares will be forfeited to us or subject to repurchase by us.
Stock appreciation rights. A Stock appreciation right, or SAR, provides for a payment, in cash or shares of our common stock, to the holder based upon the difference between the fair market value of our common stock on the date of exercise and a predetermined exercise price, multiplied by the number of shares. The exercise price of a SAR must be at least the fair market value of a share of our common stock on the date of grant. SARs may vest based on service or achievement of performance conditions. The maximum term of a SAR granted under our 2019 Plan is ten years from the date of grant. SARs have not been granted under the 2019 Plan.
Restricted stock units. RSUs represent the right to receive shares of our common stock at a specified date in the future, subject to forfeiture of such right due to termination of employment or failure to achieve specified performance goals. If the RSUs have not been forfeited, then on the date specified in the award agreement, we will deliver to the holder of the RSUs shares of our common stock, cash or a combination of our common stock and cash as specified in the applicable award agreement. The maximum term of an RSU granted under our 2019 Plan is ten years from the date of grant. RSUs have not been granted under the 2019 Plan.
Limited transferability. Unless otherwise determined by the compensation committee, awards granted under our 2019 Plan generally may not be pledged, assigned, hypothecated, transferred or assigned in any manner other than by will or the laws of descent and distribution.
153
Change in control. In the event of an “acquisition” or “other combination” (as defined in the 2019 Plan), outstanding awards acquired under our 2019 Plan will be subject to the agreement evidencing such transaction, which need not treat all outstanding awards in an identical manner. Such agreement, without the participant’s consent, shall provide for one or more of the following: (i) the continuation of the outstanding awards (if we are the successor entity); (ii) the assumption of the outstanding awards by the surviving corporation or its parent (if any); (iii) the substitution by the surviving corporation or its parent of substantially equivalent awards for the outstanding awards; (iv) the full or partial exercisability or vesting and accelerated expiration of awards; (v) the settlement of the fair market value of the outstanding awards (whether or not then vested or exercisable) in cash, cash equivalents, or securities of the successor entity (or its parent, if any), followed by the cancellation of such awards, provided however, that such awards may be cancelled without consideration if such awards have no value, as determined by the compensation committee, in its discretion; or (vi) the termination of any outstanding award, without payment of any consideration, that was not exercised in accordance with its terms upon or before the closing of the transaction.
Adjustments. In the event that our common stock is changed by a stock dividend, recapitalization, stock split, reverse stock split, subdivision, combination, reclassification, or other change in our capital structure affecting shares without consideration, then in order to prevent diminution or enlargement of the benefits or potential benefits intended to be made available under the 2019 Plan (a) the number and class of shares reserved for issuance under the 2019 Plan, (b) the exercise prices of and number and class of shares subject to outstanding options and SARs, and (c) the purchase prices of and/or number and class of shares subject to other outstanding awards will (to the extent appropriate) be proportionately adjusted, subject to any required action by the board of directors or the stockholders of the Company and compliance with applicable securities or other laws; provided, however, that fractions of a share will not be issued but will either be paid in cash at the fair market value of such fraction of a Share or will be rounded down to the nearest whole share, as determined by the compensation committee.
Exchange, repricing and buyout of awards. The compensation committee may, with the consent of the respective participants, issue new awards in exchange for the surrender and cancellation of any or all outstanding awards. The compensation committee was able to, without prior stockholder approval, reprice, or reduce the exercise price, of options or buy an award previously granted with payment in cash, shares (including restricted stock) or other consideration, in each case, subject to the terms of the 2019 Plan.
Amendment; termination. Our 2019 Plan terminated on the date that our 2025 Plan became effective. No termination or amendment of the 2019 Plan may affect any share previously issued or any then-outstanding award without the consent of the affected participant. Outstanding options may be terminated upon our dissolution or liquidation.
2025 Equity Incentive Plan
Our 2025 Equity Incentive Plan, or 2025 Plan, became effective January 29, 2025 and serves as the successor to the 2019 Plan. The 2025 Plan authorizes the award of ISOs, NSOs, RSAs, SARs, RSUs, cash awards, performance awards and stock bonus awards. We initially reserved 5,300,000 shares of our common stock, plus (a) any reserved shares not issued or subject to outstanding grants under the 2019 Plan on the effective date of the 2025 Plan, (b) shares that are subject to stock options or other awards granted under the 2019 Plan that cease to be subject to such stock options or other awards by forfeiture or otherwise after the effective date of the 2025 Plan; (c) shares issued under the 2019 Plan before or after the effective date of the 2025 Plan pursuant to the exercise of stock options that are, after the effective date, forfeited; (d) shares issued under the 2019 Plan that are repurchased by the Company at the original purchase price or are otherwise forfeited and (e) shares that are subject to stock options or other awards under the 2019 Plan that are used to pay the exercise price of a stock option or withheld to satisfy the withholding obligations related to any award, for issuance pursuant to awards granted under our 2025 Plan. The number of shares reserved for issuance under our 2025 Plan will increase automatically on January 1 each of 2026 through 2035 by the number of shares equal to the lesser of 5% of the sum of (a) the total number of outstanding shares of all classes of our common stock plus (b) the total number of shares of our common stock subject to pre-funded warrants (if any) and (c) the total number of shares of our common stock issuable upon conversion of preferred stock (if any), in each case as of the immediately preceding December 31, or a number as may be determined by our board of directors or our compensation committee.
In addition, the following shares will again be available for issuance pursuant to awards granted under our 2025 Plan: (a) shares subject to options or SARs granted under our 2025 Plan that cease to be subject to the option or SAR for any reason other than exercise of the option or SAR, (b) shares subject to awards granted under our 2025 Plan that are subsequently forfeited or repurchased by us at the original issue price, (c) shares subject to awards granted under our 2025 Plan that otherwise terminate without such shares being issued, (d) shares subject to awards granted under our 2025 Plan that are surrendered, cancelled or exchanged for cash or a different award (or combination thereof); and (e) shares used to pay the exercise price, or withheld to satisfy the tax withholding obligations related to an award, granted under our 2025 Plan.
154
Administration. Our 2025 Plan is administered by our compensation committee, all of the members of which are outside directors as defined under applicable law, or by our board of directors acting in place of our compensation committee. Subject to the terms and conditions of the 2025 Plan, the compensation committee has the authority, among other things, to select the persons to whom awards may be granted, construe and interpret our 2025 Plan as well as to determine the terms of such awards and prescribe, amend and rescind the rules and regulations relating to the 2025 Plan or any award granted thereunder. Our 2025 Plan provides that the board of directors or compensation committee may delegate its authority, including the authority to grant awards, to one or more executive officers to the extent permitted by applicable law, provided that awards granted to non-employee directors may only be determined by our board of directors.
Types of awards; Eligibility. Our 2025 Plan provides for the grant of the awards described below to our employees, consultants, directors and non-employee directors. Pursuant to the 2025 Plan, ISOs may be granted only to our employees. We may grant all other types of awards to our employees, directors and consultants.
Options. The 2025 Plan provides for the grant of ISOs and NQSOs. ISOs may be granted only to our employees or employees of our parent, subsidiaries and affiliates. NQSOs may be granted to eligible employees, consultants and directors or any of the foregoing of our parent, subsidiaries or affiliates. We are able to issue no more than 26,500,000 shares pursuant to the grant of ISOs under the 2025 Plan. The compensation committee determines the terms of each option award, provided that ISOs are subject to statutory limitations. The compensation committee also determines the exercise price for an option, provided that the exercise price of an option may not be less than the fair market value of our common stock on the date of grant (with certain additional requirements for certain ISOs).
Options granted under the 2025 Plan vest at the rate and/or subject to performance requirements specified by the compensation committee and such vesting schedule is set forth in the option agreement to which such option grant relates. The compensation committee determines the term of options granted under the 2025 Plan, up to a term of 10 years (with certain additional requirements for certain ISOs).
After the option holder ceases to provide services to us, he or she is able to exercise his or her vested option for the period of time stated in the stock option agreement to which such option relates. Generally, the vested option will remain exercisable for three months after an optionee’s cessation of service, except in the case of termination due to death, disability or termination for cause. An option may not be exercised later than its expiration date.
Restricted stock awards. An RSA is an offer by us to sell shares of our common stock subject to restrictions that the compensation committee may impose. These restrictions may be based on completion of a specified period of service with us or upon the achievement of performance goals during a performance period. The compensation committee determines the price of a restricted stock award. Unless otherwise set forth in the award agreement, vesting will cease on the date the participant no longer provides services to us, and at that time unvested shares will be forfeited to us or subject to repurchase by us.
Stock appreciation rights. A SAR provides for a payment, in cash or shares of our common stock (up to a specified maximum of shares, if determined by our compensation committee), to the holder based upon the difference between the fair market value of our common stock on the date of exercise and a predetermined exercise price, multiplied by the number of shares. The exercise price of a SAR must be at least the fair market value of a share of our common stock on the date of grant. SARs may vest based on service or achievement of performance conditions. The maximum term of a SAR granted under our 2025 Plan is ten years from the date of grant.
Restricted stock units. RSUs represent the right to receive shares of our common stock at a specified date in the future, subject to forfeiture of such right due to termination of employment or failure to achieve specified performance goals. If the RSUs have not been forfeited, then on the date specified in the award agreement we will deliver to the holder of the RSUs shares of our common stock, cash or a combination of our common stock and cash as specified in the applicable award agreement. The maximum term of an RSU granted under our 2025 Plan is ten years from the date of grant.
Performance awards. A performance award is an award that is based upon the attainment of performance goals, as established by the compensation committee, and other terms and conditions specified by the compensation committee, and may be settled in cash, shares (which may consist of, without limitation, restricted stock), other property, or any combination thereof. These awards are subject to forfeiture because of termination of employment or failure to achieve the performance conditions.
155
Stock bonus awards. A stock bonus is an award of shares of our common stock for past or future services to us. No payment from the participant is required. The compensation committee determines the number of shares to be issued as a stock bonus and any restrictions on those shares. These restrictions may be based on completion of a specified period of service with us or upon the achievement of performance goals during a performance period. Unless otherwise set forth in the award agreement, vesting ceases on the date the participant no longer provides services to us, and at that time unvested shares will be forfeited to us or are subject to repurchase by us. A stock bonus award provides for payment in the form of cash, shares of our common stock or a combination thereof, based on the fair market value of shares subject such award as determined by our compensation committee.
Cash awards. A cash award is an award that is denominated in, or payable to an eligible participant solely in, cash.
Dividend equivalents rights. Dividend equivalent rights may be granted at the discretion of our compensation committee, and represent the right to receive the value of dividends, if any, paid by us in respect of the number of shares of our common stock underlying an award. Dividend equivalent rights will be subject to the same vesting or performance conditions as the underlying award and will be paid only at such time as the underlying award has become vested. Dividend equivalent rights may be settled in cash, shares or other property, or a combination of thereof as determined by our compensation committee.
Change of control. Our 2025 Plan provides that, in the event of a “corporate transaction” (as defined in the 2025 Plan), outstanding awards under the 2025 Plan shall be subject to the agreement evidencing the corporate transaction, which need not treat all outstanding awards in an identical manner. Any or all outstanding awards (a) may be continued by the company, if we are the successor entity; (b) may be assumed or substituted by the successor corporation, or a parent or subsidiary of the successor corporation, for substantially equivalent awards (including, but not limited to, a payment in cash or the right to acquire the same consideration paid to our stockholders pursuant to the corporate transaction), in each case after taking into account appropriate adjustments for the number and kind of shares and exercise prices; (c) be made immediately vested (and exercisable, as applicable) and settled (as applicable), in whole or in part, followed by the cancellation of such awards upon or immediately prior to the effectiveness of such transaction; or (d) may be settled for their intrinsic value (whether or not then vested or exercisable) in cash, cash equivalents, or equity (including cash or equity subject to deferred vesting and delivery consistent with vesting restrictions applicable to such awards or the underlying shares) followed by the cancellation of such awards, provided however, that such awards may be cancelled without consideration if such awards have no value, as determined by the compensation committee, in its discretion, in each case without the participant’s consent. The successor corporation may also issue, as replacement of our outstanding shares held by a participant, substantially similar shares, or other property subject to repurchase restrictions no less favorable to the participant. In the event such successor corporation refuses to assume, substitute or replace any award in accordance with the 2025 Plan, then notwithstanding any other provision in the 2025 Plan to the contrary, each such award shall become fully vested and, as applicable, exercisable and any rights of repurchase or forfeiture restrictions thereon will lapse, immediately prior to the consummation of the corporate transaction. Awards subject to performance-based vesting that are not assumed pursuant to the foregoing shall be deemed earned and vested at 100% of target level, unless otherwise indicated pursuant to the terms and conditions of the applicable award agreement.
If an award vests in lieu of assumption or substitution in connection with a corporate transaction as provided above, the board of directors or the compensation committee will notify the holder of such award in writing or electronically that such award will be exercisable for a period of time determined by the board of directors or the compensation committee, in its sole discretion, and such award will terminate upon the expiration of such period without consideration. Any determinations by the board of directors or the compensation committee need not treat all outstanding awards in an identical manner, and shall be final and binding on each applicable participant.
The vesting of all awards granted to our non-employee directors under our 2025 Plan shall accelerate in full in the event of a corporate transaction.
Adjustment. In the event of a change in the number or class of outstanding shares of our common stock, without consideration, by reason of a stock dividend, extraordinary dividend or distribution (whether in cash, shares, or other property, other than a regular cash dividend), recapitalization, stock split, reverse stock split, subdivision, combination, consolidation, reclassification, spin-off or similar change in our capital structure, proportional adjustments will be made to the number and class of shares reserved for issuance under our 2025 Plan; the exercise prices, number and class of shares subject to outstanding options or SARs; the number and class of shares subject to other outstanding awards; and any applicable maximum award limits with respect to ISOs.
Exchange, repricing and buyout of awards. Without prior stockholder approval, our compensation committee may (a) reprice options or SARs (and where such repricing is a reduction in the exercise price, the consent of the affected Participants is not required) and (b) with the consent of the respective participants, pay cash or issue new awards in exchange for the surrender and cancellation of any or all outstanding awards.
156
Director compensation limits. No non-employee director may receive awards under our 2025 Plan in consideration for his or her service as a non-employee director with a grant date value that when combined with cash compensation received for his or her service as a non-employee director, exceeds $750,000 in a calendar year or $1,000,000 in the calendar year of his or her initial service as a non-employee director with us. Awards granted, or cash compensation paid, to an individual while he or she was serving in the capacity as an employee or in consideration of services as a consultant will not count for purposes of this limitation.
Clawback. All awards will be subject to clawback or recoupment pursuant to any compensation clawback or recoupment policy adopted by our board of directors (or a committee thereof) or required by law.
Transferability of Awards. Unless the compensation committee provides otherwise, the 2025 Plan does not allow for the transfer of awards, other than by will or the laws of descent and distribution, and generally only the recipient of an award may exercise it during his or her lifetime.
Foreign Award Recipients. In order to comply with the laws in other countries in which we and our subsidiaries and affiliates operate or have employees or other individuals eligible for awards, the compensation committee will have the power and authority to modify the terms and conditions of any award granted to individuals outside the United States to comply with applicable foreign laws, establish subplans and modify exercise procedures and other terms and procedures, and take any action that the compensation committee determines to be necessary or advisable to comply with any local governmental regulatory exemptions or approvals.
Amendment and termination. Our board of directors may amend our 2025 Plan at any time, subject to stockholder approval as may be required. Our 2025 Plan will terminate ten years from the date our board of directors adopts the 2025 Plan unless it is terminated earlier as provided by the terms of the 2025 Plan. No termination or amendment of the 2025 Plan may adversely affect any then-outstanding award without the consent of the affected participant, except as is necessary to comply with applicable law, regulation or rule, or as otherwise provided by the terms of the 2025 Plan.
2025 Employee Stock Purchase Plan
Our 2025 Employee Stock Purchase Plan, or ESPP, became effective January 30, 2025 Our ESPP permits eligible employees to purchase shares of our common stock at a discount, using accumulated payroll deductions, beginning on a date to be determined by our board of directors or our compensation committee. Our ESPP is intended to qualify under Section 423 of Internal Revenue Code of 1986, as amended, or the Code, provided that the compensation committee may adopt sub-plans under our ESPP designed to be outside of the scope of Section 423 of the Code for participants who are non-U.S. residents.
Shares available. We initially reserved 450,000 shares of our common stock for sale under our ESPP. The aggregate number of shares reserved for sale under our ESPP will increase automatically on January 1st of each of 2026 through 2035 by the number of shares equal to 1% of the sum of (a) the total number of outstanding shares of all classes of our common stock plus (b) the total number of shares of our common stock subject to pre-funded warrants (if any) and (c) the total number of shares of our common stock issuable upon conversion of preferred stock (if any), in each case outstanding as of the immediately preceding December 31 (rounded to the nearest whole share); provided, that our board of directors or our compensation committee may in its sole discretion reduce the amount of the increase in any particular calendar year. The aggregate number of shares issued over the term of our ESPP, subject to stock-splits, recapitalizations or similar events, may not exceed 4,500,000 shares of our common stock.
Administration. Our ESPP is administered by our compensation committee. Among other things, the administrator has the authority to determine eligibility for participation in the ESPP, designate separate offerings under the ESPP, and construe, interpret and apply the terms of the ESPP.
157
Eligibility. Employees eligible to participate in any offering pursuant to the ESPP generally include any employee that is employed by us or certain of our designated subsidiaries at the beginning of the offering period. However, our compensation committee may exclude the following employees from the ESPP (other than where such exclusion is prohibited by applicable law): employees who do not meet eligibility requirements that the compensation committee may choose to impose (within the limits permitted by the Code); employees who are not employed by the company or a designated subsidiary prior to the beginning of an offering period or prior to such other time period as specified by the compensation committee; employees who have been employed for less than two years; employees who are customarily employed for 20 hours or less per week, or for five months or less in a calendar year; certain “highly compensated” employees as determined in accordance with applicable tax laws; or employees resident in a foreign jurisdiction whose participation is either prohibited under local law, or where compliance with local law would violate Section 423 of the Code, may not be eligible to participate in the ESPP or individuals who provide services to the company or any of its designated subsidiaries who are reclassified as common law employees for any reason except for federal income and employment tax purposes. In addition, any employee who owns (or is deemed to own as a result of attribution) 5% or more of the total combined voting power or value of all classes of our capital stock, or the capital stock of one of our qualifying subsidiaries, or who will own such amount as a result of participation in the ESPP, will not be eligible to participate in the ESPP.
Offerings. Under our ESPP, eligible employees are offered the option to purchase shares of our common stock at a discount over a series of offering periods, which may be consecutive or overlapping, through accumulated payroll deductions over the period. Each offering period may itself consist of one or more purchase periods. No offering period may be longer than 27 months.
Participation. Participating employees are able to purchase the offered shares of our common stock by accumulating funds through payroll deductions. Participants may select a rate of payroll deduction between 1% and 15% of their eligible compensation. A participant may not purchase more than 2,500 (or such greater or lesser number as the compensation committee may determine) shares during any one purchase period. A participant may not subscribe for more than $25,000 in fair market value of shares of our common stock (determined as of the date the offering period commences) in any calendar year in which the offering is in effect, however, the administrator, in its discretion, may set a lower maximum amount of shares which may be purchased.
The purchase price for shares of our common stock purchased under the ESPP is 85% of the lesser of the fair market value of our common stock on (i) the first trading day of the applicable offering period or (ii) the last trading day of each purchase period in the applicable offering period.
Once an employee becomes a participant in an offering period, the participant is automatically enrolled in each subsequent offering period at the same contribution level. To the extent applicable, if the fair market value of our common stock on the first day of the current offering period in which a participant is enrolled is higher than the fair market value of our common stock on the last day of any applicable purchase period, then (1) after completion of the purchase on the purchase date of such purchase period, we will automatically withdraw the participant from the current offering period and the participant will be automatically enrolled in the subsequent offering period and (2) any funds accumulated in a participant’s account prior to the first day of such subsequent offering period will be applied to the purchase of shares on the purchase date preceding the first day of such subsequent offering period. A participant may reduce his or her contribution in accordance with procedures set forth by the compensation committee and may withdraw from participation in the ESPP at any time prior the end of an offering period, or such other time as may be specified by the compensation committee. Upon withdrawal, the accumulated payroll deductions will be returned to the participant without interest.
Adjustments upon recapitalization. If the number of outstanding shares of our common stock is changed by stock dividend, recapitalization, stock split, reverse stock split, subdivision, combination, reclassification or similar change in our capital structure without consideration, then our compensation committee will proportionately adjust the number and class of common stock that is available under the ESPP, the purchase price and number of shares any participant has elected to purchase as well as the maximum number of shares which may be issued under the ESPP and which may be purchased by a participant.
Change of control. In the event of a “corporate transaction” (as defined in the ESPP), each outstanding right to purchase common stock will be assumed or an equivalent option substituted by the successor corporation or a parent or a subsidiary of the successor corporation. In the event that the successor corporation refuses to assume or substitute for the purchase right, any offering period that commenced prior to the closing of the proposed change of control transaction will be shortened and terminated on a new purchase date. The new purchase date will occur on or prior to the closing of the proposed corporate transaction, and our ESPP will then terminate on the closing of the corporate transaction.
Transferability. A participant may not assign, transfer, pledge or otherwise dispose of payroll deductions credited to his or her account, or any rights with regard to an election to purchase shares pursuant to the ESPP other than by will or the laws of descent or distribution.
158
Amendment; Termination. The administrator may amend, suspend or terminate the ESPP at any time without stockholder consent, except to the extent such amendment would increase the number of shares available for issuance under our ESPP, change the class or designation of employees eligible for participation in the ESPP or otherwise as required by law. If our ESPP is terminated, the compensation committee may elect to terminate all outstanding offering periods immediately, upon the next purchase date (which may be sooner than originally scheduled) or upon the last day of such offering period. If any offering period is terminated prior to its scheduled completion, all amounts credited to participants which have not been used to purchase shares will be returned to participants as soon as administratively practicable. Our ESPP will continue until the earlier to occur of (a) termination of the ESPP by our board of directors, (b) issuance of all of the shares reserved for issuance under the ESPP, or (c) the tenth anniversary of the effective date under the ESPP.
401(k) plan
We sponsor a retirement savings plan that is intended to qualify for favorable tax treatment under Section 401(a) of the Code and contains a cash or deferred feature that is intended to meet the requirements of Section 401(k) of the Code. Participants may make pre-tax and certain after-tax (Roth) salary deferral contributions to the 401(k) plan from their eligible earnings up to the statutorily prescribed annual limit under the Code. Participants who are projected to reach 50 years of age or older during a calendar year may contribute additional amounts based on the statutory limits for catch-up contributions. Participant contributions are held in trust as required by law. Currently, we match each participant’s contribution up to a safe harbor maximum of 3% of his or her eligible compensation, not to exceed $3,000 per plan year, with participants vesting immediately and fully in such matching contributions.
Other benefits
Our named executive officers are eligible to participate in our employee benefit plans on the same basis as our other employees, including our health and welfare plans.
Limitations on liability and indemnification matters
Our restated certificate of incorporation contains provisions that limit the liability of our directors and officers for monetary damages to the fullest extent permitted by the Delaware General Corporation Law, or DGCL. Consequently, our directors and officers will not be personally liable to us or our stockholders for monetary damages for any breach of fiduciary duties as directors or officers, except liability for:
Our restated certificate of incorporation and our restated bylaws require us to indemnify our directors and officers to the maximum extent not prohibited by the DGCL and allow us to indemnify other employees and agents as set forth in the DGCL. Subject to certain limitations, our restated bylaws will also require us to advance expenses incurred by our directors and officers for the defense of any action for which indemnification is required or permitted, subject to very limited exceptions.
We have entered, and intend to continue to enter, into separate indemnification agreements with our directors, executive officers and certain of our key employees, in addition to the indemnification provided for in our restated certificate of incorporation and restated bylaws. These agreements, among other things, require us to indemnify our directors, officers and key employees for certain expenses, including attorneys’ fees, judgments, penalties, fines and settlement amounts actually incurred by these individuals in any action or proceeding arising out of their service to us or any of our subsidiaries or any other company or enterprise to which these individuals provide services at our request. Subject to certain limitations, our indemnification agreements also require us to advance expenses incurred by our directors, officers and key employees for the defense of any action for which indemnification is required or permitted.
We believe that these indemnification provisions and agreements are necessary to attract and retain qualified directors, officers and key employees. We also maintain directors’ and officers’ liability insurance.
159
The limitation of liability and indemnification provisions in our restated certificate of incorporation and restated bylaws may discourage stockholders from bringing a lawsuit against our directors and officers for breach of their fiduciary duty. They may also reduce the likelihood of derivative litigation against our directors and officers, even though an action, if successful, might benefit us and other stockholders. Further, a stockholder’s investment may be adversely affected to the extent that we pay the costs of settlement and damage awards against directors and executive officers as required by these indemnification provisions.
At present, there is no pending litigation or proceeding involving any of our directors or executive officers as to which indemnification is required or permitted, and we are not aware of any threatened litigation or proceeding that may result in a claim for indemnification.
Insofar as indemnification for liabilities arising under the Securities Act may be permitted to directors, officers or persons controlling us, we have been informed that, in the opinion of the U.S. Securities and Exchange Commission, or the SEC, such indemnification is against public policy as expressed in the Securities Act and is therefore unenforceable.
Non-employee director compensation
Our employee directors have not received any compensation or reimbursement of any expenses (other than customary expenses in connection with the attendance of meetings of our board of directors) for their services as directors for the year ended December 31, 2024.
The following table sets forth information concerning the compensation paid to certain of our non-employee directors for the year ended December 31, 2024.
|
|
Fees |
|
|
|
|
|
|
|
|
|
|
||||
|
|
earned |
|
|
Option |
|
|
All other |
|
|
|
|
||||
|
|
or paid |
|
|
awards |
|
|
compensation |
|
|
Total |
|
||||
Name |
|
in cash ($) |
|
|
($)(1)(2) |
|
|
($) |
|
|
($) |
|
||||
Charles Homcy, M.D. |
|
|
— |
|
|
|
882,042 |
|
|
240,000(3) |
|
|
|
1,122,042 |
|
|
Nancy C. Andrews, M.D., Ph.D. |
|
|
35,000 |
|
|
|
78,433 |
|
|
|
— |
|
|
|
113,433 |
|
Jamie Brush, M.D.(4) |
|
|
— |
|
|
|
— |
|
|
|
— |
|
|
|
— |
|
Brendan Bulik-Sullivan, Ph.D.(5) |
|
|
— |
|
|
|
— |
|
|
|
— |
|
|
|
— |
|
Alan Colowick, M.D., M.P.H.(6) |
|
|
— |
|
|
|
— |
|
|
|
— |
|
|
|
— |
|
Sekar Kathiresan, M.D. |
|
|
35,000 |
|
|
|
84,316 |
|
|
|
— |
|
|
|
119,316 |
|
Jonathan Lim, M.D. |
|
|
20,000 |
|
|
|
78,095 |
|
|
|
— |
|
|
|
98,095 |
|
Richard Scheller, Ph.D. |
|
|
40,000 |
|
|
|
78,218 |
|
|
60,000(7) |
|
|
|
178,218 |
|
|
Catherine Angell Sohn, Pharm. D. |
|
|
35,000 |
|
|
|
78,433 |
|
|
|
— |
|
|
|
113,433 |
|
Daniel Spiegelman |
|
|
40,000 |
|
|
|
78,095 |
|
|
|
— |
|
|
|
118,095 |
|
Jeffrey Tong, Ph.D.(8) |
|
|
— |
|
|
|
— |
|
|
|
— |
|
|
|
— |
|
Andy Tran(9) |
|
|
— |
|
|
|
— |
|
|
|
— |
|
|
|
— |
|
160
|
|
Number of shares |
|
|
|
|
underlying options |
|
|
|
|
held as of |
|
|
Name |
|
December 31, 2024 |
|
|
Charles Homcy, M.D. |
|
|
178,402 |
|
Nancy C. Andrews, M.D., Ph.D. |
|
|
35,534 |
|
Jamie Brush, M.D. |
|
|
— |
|
Brendan Bulik-Sullivan, Ph.D. |
|
|
— |
|
Alan Colowick, M.D., M.P.H. |
|
|
— |
|
Sekar Kathiresan, M.D. |
|
|
29,830 |
|
Jonathan Lim, M.D. |
|
|
14,790 |
|
Richard Scheller, Ph.D. |
|
|
22,899 |
|
Catherine Angell Sohn, Pharm. D. |
|
|
35,534 |
|
Daniel Spiegelman |
|
|
35,534 |
|
Jeffrey Tong, Ph.D. |
|
|
— |
|
Andy Tran |
|
|
— |
|
In December 2024, we amended certain outstanding underwater options held by our directors. The amendment reduced the exercise price per share of such options to $10.42, the fair market value of our common stock as determined by our board of directors on the date of the repricing. The repricing is further described above under “Item 11. Executive Compensation—Repricing.”
Non-employee director compensation policy
Prior to the completion of our initial public offering, we did not have a formal policy to provide any cash or equity compensation to our non-employee directors for their service as directors but, from time to time, we have granted equity awards and provided cash fees to certain non-employee directors to recruit them to join our board of directors and for their continued service on our board of directors.
Separately, certain of our non-employee directors have received cash compensation and options to purchase shares of our common stock in consideration of their services as advisors or consultants. These relationships and payments are discussed in more detail under “Item 13. Certain Relationships and Related Transactions, and Director Independence.”
In December 2024, our board of directors approved a new non-employee director compensation policy, which became effective upon the completion of our initial public offering. Pursuant to our non-employee director compensation policy, our non-employee directors will receive annual cash compensation of $40,000 for service on our board of directors and additional cash compensation for the chairperson and committee members as set forth below. All cash payments will be made quarterly in arrears, and pro-rated for any partial quarters of service, including for the initial quarter in which the non-employee director compensation policy is adopted.
161
In addition, each non-employee director who is elected or appointed to our board of directors after completion of our initial public offering will be granted an option under our 2025 Plan to purchase 36,000 shares of our common stock upon the director’s initial appointment to our board of directors, referred to as the Initial Grant. The Initial Grant will vest in equal monthly installments over three years following the date of grant, such that the Initial Grant will become fully vested and exercisable on the three-year anniversary of the date of grant, subject to the director’s continued service through each applicable vesting date.
Each non-employee director who is serving on our board of directors immediately prior to, and will continue to serve on our board of directors following, our annual meeting of stockholders, will be granted an option under our 2025 Plan to purchase 18,000 shares of our common stock on the date of such annual meeting of stockholders, referred to as the Annual Grant. Notwithstanding the foregoing, a director who is elected or appointed for the first time after January 1 shall not be eligible to receive such Annual Grant on the annual meeting of stockholders of the year of his or her election or appointment as a director. Each Annual Grant will vest on the earlier of (i) the anniversary of the Annual Grant Date and (ii) the next annual meeting of our stockholders, in each case, subject to the director’s continued service through the vesting date.
Options granted to our non-employee directors shall accelerate in full upon the consummation of a change in control of us, pursuant to the terms of our 2025 Plan.
We also will continue to reimburse our non-employee directors for reasonable, customary, and documented travel expenses to meetings of our board of directors or its committees.
In addition, our 2025 Plan includes a maximum annual limit of $750,000 of cash compensation and equity awards that may be paid, issued, or granted to a non-employee director in any calendar year (increased to $1,000,000 for a non-employee director’s initial year of service). Any cash compensation paid or equity awards granted to a person for his or her services as an employee, or for his or her services as a consultant (other than as a non-employee director), will not count for purposes of the limitation.
Item 12. Security Ownership of Certain Beneficial Owners and Management and Related Stockholder Matters
The following table and accompanying footnotes set forth certain information with respect to the beneficial ownership of shares of our common stock as of February 28, 2025 for:
We have determined beneficial ownership in accordance with the rules of the U.S. Securities and Exchange Commission, or the SEC. Except as indicated by the footnotes below, to our knowledge, the persons and entities named in the table below have sole voting and sole investment power with respect to all shares of our common stock that they beneficially owned, subject to applicable community property laws.
Beneficial ownership is based on 43,796,057 shares of our common stock outstanding as of February 28, 2025. In computing the number of shares of common stock beneficially owned by a person and the percentage ownership of that person, we deemed to be outstanding all shares of our common stock subject to stock options held by that person or entity that are currently exercisable or that will become exercisable within 60 days of February 28, 2025. We did not deem these shares outstanding, however, for the purpose of computing the percentage ownership of any other person.
162
Unless otherwise indicated, the address of each beneficial owner listed in the table below is c/o Maze Therapeutics, Inc., 171 Oyster Point Blvd., Suite 300, South San Francisco, California 94080.
|
|
Shares Beneficially Owned |
|
|||||
Name of beneficial owner |
|
Number (#) |
|
|
Percent (%) |
|
||
Directors and named executive officers: |
|
|
|
|
|
|
||
Jason Coloma, Ph.D.(1) |
|
|
1,271,468 |
|
|
|
2.8 |
% |
Harold Bernstein, M.D., Ph.D(2) |
|
|
260,992 |
|
|
* |
|
|
Courtney Phillips(3) |
|
|
2,973 |
|
|
* |
|
|
Charles Homcy, M.D.(4) |
|
|
171,740 |
|
|
* |
|
|
Nancy C. Andrews, M.D., Ph.D.(5) |
|
|
25,714 |
|
|
* |
|
|
Neil Exter(6) |
|
|
— |
|
|
|
— |
|
Sekar Kathiresan, M.D.(7) |
|
|
125,476 |
|
|
* |
|
|
Jonathan Lim, M.D.(8) |
|
|
333,670 |
|
|
* |
|
|
Richard Scheller, Ph.D.(9) |
|
|
33,823 |
|
|
* |
|
|
Catherine Angell Sohn, Pharm. D.(10) |
|
|
25,714 |
|
|
* |
|
|
Daniel Spiegelman(11) |
|
|
25,714 |
|
|
* |
|
|
All executive officers and directors as a group (12 persons)(12) |
|
|
2,487,012 |
|
|
|
5.5 |
% |
Other 5% stockholders: |
|
|
|
|
|
|
||
Entities affiliated with Third Rock Ventures(13) |
|
|
7,024,758 |
|
|
|
16.0 |
% |
Entities affiliated with ARCH Venture Partners and |
|
|
4,120,053 |
|
|
|
9.4 |
% |
Entities affiliated with Frazier Life Sciences(15) |
|
|
3,193,900 |
|
|
|
7.3 |
% |
Entities affiliated with Deep Track Capital, LP(16) |
|
|
3,023,484 |
|
|
|
6.9 |
% |
Matrix Capital Management Master Fund, L.P.(17) |
|
|
2,486,184 |
|
|
|
5.7 |
% |
Entities affiliated with Foresite Capital Fund IV, |
|
|
2,457,108 |
|
|
|
5.6 |
% |
Entities affiliated with GV(19) |
|
|
2,412,471 |
|
|
|
5.5 |
% |
* Represents beneficial ownership of less than one percent.
163
164
Securities Authorized for Issuance Under Equity Compensation Plans
The following table provides certain aggregate information with respect to all of the Company’s equity compensation plans in effect as of December 31, 2024.
|
|
|
|
|
|
|
|
|
|
|||
|
|
|
|
|
|
|
|
Number of |
|
|||
|
|
|
|
|
|
|
|
securities |
|
|||
|
|
|
|
|
|
|
|
remaining |
|
|||
|
|
|
|
|
|
|
|
available for |
|
|||
|
|
|
|
|
|
|
|
issuance under |
|
|||
|
|
Number of |
|
|
|
|
|
equity |
|
|||
|
|
securities to be |
|
|
|
|
|
compensation |
|
|||
|
|
issued upon |
|
|
Weighted- |
|
|
plans |
|
|||
|
|
exercise of |
|
|
average |
|
|
(excluding |
|
|||
|
|
outstanding |
|
|
exercise price |
|
|
securities |
|
|||
|
|
stock options |
|
|
of outstanding |
|
|
reflected |
|
|||
Plan Category |
|
and rights (a) |
|
|
stock options (b) |
|
|
in column (a)) (c) |
|
|||
Equity compensation plans |
|
|
5,278,735 |
|
|
$ |
10.44 |
|
|
|
831,177 |
|
Equity compensation plans not |
|
|
— |
|
|
|
— |
|
|
|
— |
|
|
|
|
|
|
|
|
|
|
|
|||
Total |
|
|
5,278,735 |
|
|
$ |
10.44 |
|
|
|
831,177 |
|
165
Item 13. Certain Relationships and Related Transactions, and Director Independence
Certain relationships and related party transactions
In addition to the compensation arrangements, including any employment, termination of employment and change in control arrangements, with our directors and executive officers, including those discussed in the “Item 10. Directors, Executive Officers and Corporate Governance” and “Item 11. Executive Compensation,” the following is a description of each transaction since January 1, 2023 and each currently proposed transaction in which:
Other than as described below, there have not been, nor are there any currently proposed, transactions or series of similar transactions to which we have been or will be a party other than compensation arrangements, which are described where required under the section entitled “Item 11. Executive compensation.”
Convertible promissory notes financing
From December 2023 through April 2024, we sold $40.7 million aggregate principal amount of our convertible promissory notes to certain purchasers in a private placement. The notes bear interest at a rate of 8% per annum, compounded annually. The convertible promissory notes were cancelled and converted into Series D-1 redeemable convertible preferred stock, or Series D-1 Preferred Stock as described below.
The following table summarizes the notes purchased by members of our board of directors or their affiliates and holders of more than 5% of our outstanding capital stock. The terms of these purchases were the same for all purchasers of the notes. Please refer to the section entitled “Principal stockholders” for additional information regarding the shares held by these entities.
|
|
Aggregate |
|
|
|
|
principal amount |
|
|
|
|
of notes |
|
|
Name of stockholder |
|
purchased ($) |
|
|
Entities affiliated with ARCH Ventures(1) |
|
$ |
5,000,000.00 |
|
Affiliates of Third Rock Ventures(2). |
|
$ |
10,000,000.00 |
|
Entity affiliated with GV(3) |
|
$ |
2,500,000.00 |
|
Entities affiliated with Charles Homcy, M.D.(4) |
|
$ |
75,000.00 |
|
Series D Preferred Stock and Series D-1 Preferred Stock financing
In November 2024, we sold an aggregate of 54,394,445 shares of our Series D redeemable convertible preferred stock, or Series D Preferred Stock, at a price per share of $1.3792 for total gross proceeds of $75.0 million and issued an aggregate of 39,395,572 shares of our Series D-1 Preferred Stock in exchange for the conversion and cancellation of the $40.7 million aggregate principal amount, plus $2.7 million of accrued interest, of outstanding convertible promissory notes, or the Series D Preferred Stock Financing. Each share of our Series D Preferred Stock and Series D-1 Preferred Stock automatically converted into 0.1037 share of our common stock immediately prior to the completion of our initial public offering.
166
Pursuant to the IRA, holders of our Series D Preferred Stock and Series D-1 Preferred Stock were entitled to certain registration rights.
The following table summarizes the Series D Preferred Stock and Series D-1 Preferred Stock purchased by members of our board of directors or their affiliates and holders of more than 5% of our outstanding capital stock. The terms of these purchases were the same for all purchasers of our Series D Preferred Stock and Series D-1 Preferred Stock. Please refer to the section entitled “Principal stockholders” for additional information regarding the shares held by these entities.
|
|
|
|
|
|
|
|
|
|
|
Aggregate |
|
||||
|
|
|
|
|
|
|
|
|
|
|
principal amount |
|
||||
|
|
Shares of |
|
|
Shares of |
|
|
|
|
|
of notes |
|
||||
|
|
Series D |
|
|
Series D-1 |
|
|
|
|
|
converted to |
|
||||
|
|
Preferred |
|
|
Preferred |
|
|
Total cash |
|
|
Series D-1 |
|
||||
Name of stockholder |
|
Stock |
|
|
Stock |
|
|
purchase price |
|
|
Preferred Stock |
|
||||
Entities affiliated with ARCH Ventures (1) |
|
|
— |
|
|
|
4,861,362 |
|
|
|
— |
|
|
$ |
5,000,000.00 |
|
Affiliates of Third Rock Ventures (2) |
|
|
— |
|
|
|
9,725,709 |
|
|
|
— |
|
|
$ |
10,000,000.00 |
|
Entity affiliated with GV (3) |
|
|
3,390,972 |
|
|
|
2,437,634 |
|
|
$ |
4,676,828.59 |
|
|
$ |
2,500,000.00 |
|
Entities affiliated with Charles Homcy, M.D. (4) |
|
|
— |
|
|
|
71,564 |
|
|
|
— |
|
|
$ |
75,000.00 |
|
Entities affiliated with Frazier Life Sciences (5) |
|
|
15,731,923 |
|
|
|
— |
|
|
$ |
21,697,468.21 |
|
|
|
— |
|
Entities affiliated with Foresite Capital Fund IV, |
|
|
2,072,261 |
|
|
|
9,573,745 |
|
|
$ |
2,858,062.38 |
|
|
$ |
10,563,287.67 |
|
Consulting agreement with Charles Homcy, M.D.
In November 2019, we entered into a consulting agreement with Charles Homcy, M.D., a member of our board of directors, for consulting services after receiving the unanimous written consent of the disinterested directors. Pursuant to the consulting agreement, we make payments of $240,000 per year to Dr. Homcy for such consulting services, payable monthly in arrears. In April 2024, Dr. Homcy was granted an option to purchase 46,675 shares of our common stock as additional consideration for his consulting services, which vest monthly over the three-year period starting March 1, 2024, subject to Dr. Homcy’s continued provision of services to the Company. In addition, in December 2024, Dr. Homcy was granted an additional option to purchase 45,638 shares of our common stock as additional consideration for his consulting services, which vest monthly over the three-year period starting December 1, 2024, subject to Dr. Homcy’s continued provision of services to the Company.
Investors’ rights agreement
We entered into the IRA with certain stockholders, including entities with which certain of our directors are affiliated and who hold more than 5% of our outstanding capital stock. These stockholders are entitled to rights with respect to the registration of their shares under the Securities Act.
167
Indemnification agreements
We have entered into indemnification agreements with each of our directors and executive officers. The indemnification agreements, our restated certificate of incorporation and our restated bylaws require us to indemnify our directors to the fullest extent not prohibited by Delaware law. Subject to certain limitations, our restated bylaws also require us to advance expenses incurred by our directors and executive officers. See the section entitled “Item 11. Executive compensation—Limitations on liability and indemnification matters” for additional information.
Policies and procedures for related party transactions
We have adopted a written related person transactions policy that provides that our executive officers, directors, nominees for election as a director, beneficial owners of more than 5% of our common stock, and any members of the immediate family of and any entity affiliated with any of the foregoing persons, are not permitted to enter into a material related person transaction with us without the review and approval of our audit committee, or a committee composed solely of independent directors in the event it is inappropriate for our audit committee to review such transaction due to a conflict of interest. This policy provides that any request for us to enter into a transaction with an executive officer, director, nominee for election as a director, beneficial owner of more than 5% of our common stock or with any of their immediate family members or affiliates in which the amount involved exceeds the lesser of $120,000 and 1.0% of our total assets will be presented to our audit committee (or the committee composed solely of independent directors, if applicable) for review, consideration and approval. In approving or rejecting any such proposal, our audit committee (or the committee composed solely of independent directors, if applicable) will consider the relevant facts and circumstances available and deemed relevant to the audit committee (or the committee composed solely of independent directors, if applicable), including, but not limited to, whether the transaction is on terms no less favorable than terms generally available to an unaffiliated third party under the same or similar circumstances and the extent of the related person’s interest in the transaction.
Director Independence
Please see “Item 10. Directors, Executive Officers and Corporate Governance—Director Independence” and “—Committees of our Board of Directors” for information regarding the independence of the board of directors and the committees of the board of directors.
Item 14. Principal Accountant Fees and Services
The following table presents fees for professional audit services and other services rendered to us by Ernst & Young LLP for our fiscal years ended December 31, 2024 and 2023.
|
|
Year Ended December 31, |
|
|||||
Description of Services Provided by EY |
|
2024 |
|
|
2023 |
|
||
Audit fees (1) |
|
$ |
1,950,000 |
|
|
$ |
525,000 |
|
Audit related fees |
|
|
— |
|
|
|
— |
|
Tax fees(2) |
|
|
40,000 |
|
|
|
— |
|
All other fees(3) |
|
|
— |
|
|
|
2,000 |
|
Total fees |
|
$ |
1,990,000 |
|
|
$ |
527,000 |
|
Our audit committee has established a policy governing our use of the services of our independent registered public accounting firm. Under the policy, our audit committee is required to pre-approve all audit and permissible non-audit services performed by our independent registered public accounting firm in order to ensure that the provision of such services does not impair such accounting firm’s independence. All fees paid to Ernst & Young LLP for our fiscal years ended December 31, 2023 and 2024 were pre-approved by our audit committee.
168
PART IV
Item 15. Exhibits and Financial Statement Schedules
(1) Financial Statements
The financial statements required by Item 15(a) are filed as part of this Annual Report on Form 10-K under Item 8 “Financial Statements and Supplementary Data.”
(2) Financial Statement Schedules
The financial statement schedules required by Item 15(a) are omitted because they are not applicable, not required or the required information is included in the financial statements or notes thereto as filed in Item 8 of this Annual Report on Form 10-K.
(3) Exhibits
The following is a list of Exhibits filed, furnished or incorporated by reference as part of the Annual Report on Form 10-K:
169
EXHIBIT INDEX |
||||||||||
|
|
|
|
Incorporated by Reference |
||||||
|
Exhibit number |
|
Description of document |
|
Form |
|
File No. |
|
Number |
|
Filing Date |
3.1 |
|
|
|
|
|
|
|
|
Filed herewith |
|
3.2 |
|
|
|
|
|
|
|
|
Filed herewith |
|
4.1 |
|
|
S-1/A |
|
333-284164 |
|
4.1 |
|
|
|
4.2 |
|
|
S-1 |
|
333-284164 |
|
4.2 |
|
|
|
10.1 |
|
|
S-1 |
|
333-284164 |
|
10.1 |
|
|
|
10.2* |
|
2018 Stock Option and Grant Plan, as amended, and forms of award agreements. |
|
S-1 |
|
333-284164 |
|
10.2 |
|
|
10.3* |
|
2019 Equity Incentive Plan, as amended, and forms of award agreements. |
|
S-1 |
|
333-284164 |
|
10.3 |
|
|
10.4* |
|
|
S-1/A |
|
333-284164 |
|
10.4 |
|
|
|
10.5* |
|
2025 Employee Stock Purchase Plan, and forms of award agreements. |
|
S-1/A |
|
333-284164 |
|
10.5 |
|
|
10.6^ |
|
|
S-1 |
|
333-284164 |
|
10.6 |
|
|
|
10.7* |
|
|
S-1 |
|
333-284164 |
|
10.7 |
|
|
|
10.8* |
|
|
S-1 |
|
333-284164 |
|
10.8 |
|
|
|
10.9 |
|
|
S-1 |
|
333-284164 |
|
10.9 |
|
|
|
10.10†^ |
|
|
S-1 |
|
333-284164 |
|
10.10 |
|
|
|
10.11 |
|
|
S-1/A |
|
333-284164 |
|
10.11 |
|
|
|
10.12* |
|
Restated Offer Letter by and between Maze Therapeutics, Inc. and Jason Coloma, Ph.D., M.P.H. |
|
S-1/A |
|
333-284164 |
|
10.12 |
|
|
10.13* |
|
Restated Offer Letter by and between Maze Therapeutics, Inc. and Harold Bernstein, M.D., Ph.D. |
|
S-1/A |
|
333-284164 |
|
10.13 |
|
|
10.14* |
|
Form of Restated Offer Letter between Maze Therapeutics, Inc. and its senior executive officers. |
|
S-1 |
|
333-284164 |
|
10.14 |
|
|
10.15* |
|
Amended and Restated Executive Severance and Change in Control Plan. |
|
S-1 |
|
333-284164 |
|
10.15 |
|
|
10.16* |
|
Restated Offer Letter by and between Maze Therapeutics, Inc. and Courtney Phillips. |
|
S-1/A |
|
333-284164 |
|
10.16 |
|
|
10.17 |
|
|
|
|
|
|
|
|
Filed herewith |
|
19.1 |
|
|
|
|
|
|
|
|
Filed herewith |
|
21.1 |
|
|
|
|
|
|
|
|
Filed herewith |
|
23.1 |
|
|
|
|
|
|
|
|
Filed herewith |
|
24.1 |
|
|
|
|
|
|
|
|
Filed herewith |
|
170
31.1 |
|
|
|
|
|
|
|
|
Filed herewith |
|
32.1** |
|
|
|
|
|
|
|
|
Filed herewith |
|
97.1 |
|
|
|
|
|
|
|
|
Filed herewith |
* Executive compensation plan or agreement.
† The Registrant has omitted portions of the exhibit (indicated by “[***]”) as permitted under Item 601(b)(10) of Regulation S-K.
^ The Registrant has omitted schedules and exhibits pursuant to Item 601(a)(5) of Regulation S-K. The Registrant agrees to furnish supplementally a copy of the omitted schedules and exhibits to the SEC upon request.
** This certification is deemed not filed for purposes of Section 18 of the Exchange Act or otherwise subject to the liability of that section, nor shall it be deemed incorporated by reference into any filing under the Securities Act or the Exchange Act.
(b) Financial statement schedules.
No financial statement schedules are provided because the information called for is not required or is shown either in the financial statements or notes.
Item 16.
None.
171
Signatures
Form 10-K Summary Pursuant to the requirements of Section 13 or 15(d) of the Securities Exchange Act of 1934, the registrant has duly caused this Annual Report on Form 10-K to be signed on its behalf by the undersigned, thereunto duly authorized.
MAZE THERAPEUTICS, INC. |
||
|
|
|
By: |
|
/s/ Jason Coloma |
|
|
Jason Coloma, Ph.D. |
|
|
Chief Executive Officer |
POWER OF ATTORNEY
Each person whose signature appears below constitutes and appoints Jason Coloma, Ph.D. and Courtney Phillips, as his or her true and lawful attorney-in-fact and agent, with full power of substitution and resubstitution, for him or her and in his or her name, place and stead, in any and all capacities, to sign any and all amendments to this Annual Report on Form 10-K, and to file the same, with all exhibits thereto, and other documents in connection therewith, with the Securities and Exchange Commission, granting unto said attorneys-in-fact and agents, and each of them, full power and authority to do and perform each and every act and thing requisite and necessary to be done in connection therewith, as fully to all intents and purposes as he or she might or could do in person, hereby ratifying and confirming all that said attorneys-in-fact and agents, or any of them, or their or his substitutes, may lawfully do or cause to be done by virtue thereof.
172
Pursuant to the requirements of the Securities Exchange Act of 1934, this report has been signed by the following persons on behalf of the registrant and in the capacities and on the dates indicated.
Signature |
|
Title |
|
Date |
|
|
|
|
|
|
|
/s/ Jason Coloma |
|
Chief Executive Officer and Director |
|
March 31, 2025 |
|
Jason Coloma, Ph.D. |
|
(Principal Executive Officer and Principal Financial Officer) |
|
|
|
|
|
|
|
|
|
/s/ Amy Bachrodt |
|
SVP, Finance |
|
March 31, 2025 |
|
Amy Bachrodt |
|
(Principal Accounting Officer) |
|
|
|
|
|
|
|
|
|
/s/ Charles Homcy |
|
Director |
|
March 31, 2025 |
|
Charles Homcy, M.D. |
|
|
|
|
|
|
|
|
|
|
|
/s/ Nancy C. Andrews |
|
Director |
|
March 31, 2025 |
|
Nancy C. Andrews, M.D., Ph.D. |
|
|
|
|
|
|
|
|
|
|
|
/s/ Neil Exter |
|
Director |
|
March 31, 2025 |
|
Neil Exter |
|
|
|
|
|
|
|
|
|
|
|
/s/ Sekar Kathiresan |
|
Director |
|
March 31, 2025 |
|
Sekar Kathiresan, M.D. |
|
|
|
|
|
|
|
|
|
|
|
/s/ Jonathan Lim |
|
Director |
|
March 31, 2025 |
|
Jonathan Lim, M.D. |
|
|
|
|
|
|
|
|
|
|
|
/s/ Richard Scheller |
|
Director |
|
March 31, 2025 |
|
Richard Scheller, Ph.D. |
|
|
|
|
|
|
|
|
|
|
|
/s/ Catherine Angell Sohn |
|
Director |
|
March 31, 2025 |
|
Catherine Angell Sohn, Pharm. D. |
|
|
|
|
|
|
|
|
|
|
|
/s/ Daniel Spiegelman |
|
Director |
|
March 31, 2025 |
|
Daniel Spiegelman |
|
|
|
|
|
173
Exhibit 3.1
MAZE THERAPEUTICS, INC.
AMENDED AND RESTATED CERTIFICATE OF INCORPORATION
Maze Therapeutics, Inc., a Delaware corporation, hereby certifies as follows:
2. The Restated Certificate of Incorporation of this corporation attached hereto as Exhibit A, which is incorporated herein by this reference, and which restates, integrates and further amends the provisions of the Certificate of Incorporation of this corporation as previously amended and/or restated, has been duly adopted by this corporation’s Board of Directors and by the stockholders in accordance with Sections 242 and 245 of the General Corporation Law of the State of Delaware, with the approval of this corporation’s stockholders having been given by written consent without a meeting in accordance with Section 228 of the General Corporation Law of the State of Delaware.
IN WITNESS WHEREOF, this corporation has caused this Amended and Restated Certificate of Incorporation to be signed by its duly authorized officer and the foregoing facts stated herein are true and correct.
Dated: February 3, 2025 MAZE THERAPEUTICS, INC.
By:/s/ Courtney Phillips
Name: Courtney Phillips
Title: General Counsel and Corporate Secretary The name of the corporation is Maze Therapeutics, Inc. (the “Corporation”).
EXHIBIT A
MAZE THERAPEUTICS, INC.
AMENDED AND RESTATED CERTIFICATE OF INCORPORATION
ARTICLE I: NAME
ARTICLE II: AGENT FOR SERVICE OF PROCESS
The address of the registered office of the Corporation in the State of Delaware is Corporation Trust Center, 1209 Orange Street, in the City of Wilmington, County of New Castle, Delaware 19801. The name of its registered agent at such address is The Corporation Trust Company.
ARTICLE III: PURPOSE
The purpose of the Corporation is to engage in any lawful act or activity for which corporations may be organized under the General Corporation Law of the State of Delaware (the “General Corporation Law”).
ARTICLE IV: AUTHORIZED STOCK
1. Total Authorized. The total number of shares of all classes of stock that the Corporation has authority to issue is five hundred and ten million (510,000,000) shares, consisting of two classes: five hundred million (500,000,000) shares of Common Stock, $0.001 par value per share (“Common Stock”), and ten million (10,000,000) shares of Preferred Stock, $0.001 par value per share (“Preferred Stock”).
2. Designation of Additional Series.
2.1. The Board of Directors of the Corporation (the “Board”) is authorized, subject to any limitations prescribed by the law of the State of Delaware, to provide for the issuance of the shares of Preferred Stock in one or more series, and, by filing a Certificate of Designation pursuant to the applicable law of the State of Delaware (“Certificate of Designation”), to establish from time to time the number of shares to be included in each such series, to fix the designation, vesting, powers (including voting powers), preferences and relative, participating, optional or other special rights, if any, of the shares of each such series and any qualifications, limitations or restrictions thereof, and, except where otherwise provided in the applicable Certificate of Designation, to thereafter increase (but not above the total number of authorized shares of Preferred Stock) or decrease (but not below the number of shares of such series then outstanding) the number of shares of any such series.
2
The number of authorized shares of Preferred Stock may also be increased or decreased (but not below the number of shares thereof then outstanding) by the affirmative vote of the holders of two-thirds of the voting power of all then-outstanding shares of capital stock of the Corporation entitled to vote thereon, voting together as a single class, without a separate vote of the holders of Preferred Stock, irrespective of the provisions of Section 242(b)(2) of the General Corporation Law, unless a separate vote of the holders of one or more series is required pursuant to the terms of any Certificate of Designation; provided, however, that if two-thirds of the Whole Board (as defined below) has approved such increase or decrease of the number of authorized shares of Preferred Stock, then only the affirmative vote of the holders of a majority of the voting power of all then-outstanding shares of the capital stock of the Corporation entitled to vote generally in the election of directors, voting together as a single class, without a separate vote of the holders of Preferred Stock, unless a separate vote of the holders of one or more series is required pursuant to the terms of any Certificate of Designation, shall be required to effect such increase or decrease. For purposes of this Amended and Restated Certificate of Incorporation (as the same may be amended and/or restated from time to time, including pursuant to the terms of any Certificate of Designation designating a series of Preferred Stock, this “Certificate of Incorporation”), the term “Whole Board” shall mean the total number of authorized directors whether or not there exist any vacancies in previously authorized directorships.
2.2 Except as otherwise expressly provided in this Certificate of Incorporation (including any Certificate of Designation designating any series of Preferred Stock pursuant to the foregoing provisions of this Article IV), (i) any new series of Preferred Stock may be designated, fixed and determined as provided herein by the Board without approval of the holders of Common Stock or the holders of Preferred Stock, or any series thereof, and (ii) any such new series may have powers, preferences and rights, including, without limitation, voting powers, dividend rights, liquidation rights, redemption rights and conversion rights, senior to, junior to or pari passu with the rights of the Common Stock, any series of Preferred Stock or any future class or series of capital stock of the Corporation.
2.3 Each outstanding share of Common Stock shall entitle the holder thereof to one vote on each matter properly submitted to the stockholders of the Corporation for their vote; provided, that, except as otherwise required by law, holders of Common Stock shall not be entitled to vote on any amendment to this Certificate of Incorporation (including any Certificate of Designation relating to any series of Preferred Stock) that relates solely to the terms of one or more outstanding series of Preferred Stock if the holders of such affected series are entitled, either separately or together as a class with the holders of one or more other such series, to vote thereon pursuant to this Certificate of Incorporation (including any Certificate of Designation relating to any series of Preferred Stock).
ARTICLE V: AMENDMENT OF BYLAWS
The Board shall have the power to adopt, amend or repeal the Bylaws of the Corporation (as the same may be amended and/or restated from time to time, the “Bylaws”). Any adoption, amendment or repeal of the Bylaws by the Board shall require the approval of a majority of the Whole Board. The stockholders shall also have power to adopt, amend or repeal the Bylaws; provided, that, notwithstanding any other provision of this Certificate of Incorporation or any provision of law that might otherwise permit a lesser or no vote, but in addition to any vote of the holders of any class or series of stock of the Corporation required by applicable law or by this Certificate of Incorporation (including any Preferred Stock issued pursuant to a Certificate of Designation), the affirmative vote of the holders of at least two-thirds of the voting power of all then-outstanding shares of the capital stock of the Corporation entitled to vote generally in the election of directors, voting together as a single class, shall be required for the stockholders to adopt, amend or repeal any provision of the Bylaws; provided, further, that, in the case of any proposed adoption, amendment or repeal of any provisions of the Bylaws that is approved by at least two-thirds of the Whole Board and submitted to the stockholders for adoption thereby, only the affirmative vote of the holders of a majority of the voting power of all then-outstanding shares of the capital stock of the Corporation entitled to vote generally in the election of directors, voting together as a single class (in addition to any vote of the holders of any class or series of stock of the Corporation required by applicable law or by this Certificate of Incorporation (including any Preferred Stock issued pursuant to a Certificate of Designation)), shall be required to adopt, amend or repeal any provision of the Bylaws.
3
ARTICLE VI: MATTERS RELATING TO THE BOARD OF DIRECTORS
1. Director Powers. Except as otherwise provided by the General Corporation Law, the Bylaws or this Certificate of Incorporation, the business and affairs of the Corporation shall be managed by or under the direction of the Board.
2. Number of Directors. Subject to the special rights of the holders of any series of Preferred Stock to elect additional directors under specified circumstances, the total number of directors constituting the Whole Board shall be fixed from time to time exclusively by resolution adopted by a majority of the Whole Board.
3. Classified Board. Subject to the special rights of the holders of one or more series of Preferred Stock to elect additional directors under specified circumstances, the directors shall be divided, with respect to the time for which they severally hold office, into three classes designated as Class I, Class II and Class III, respectively (the “Classified Board”). The Board may assign members of the Board already in office to the Classified Board, which assignments shall become effective at the same time that the Classified Board becomes effective. Directors shall be assigned to each class in accordance with a resolution or resolutions adopted by the Board. The initial term of office of the Class I directors shall expire at the Corporation’s first annual meeting of stockholders following the closing of the Corporation’s initial public offering pursuant to an effective registration statement under the Securities Act of 1933, as amended, relating to the offer and sale of Common Stock to the public (the “Initial Public Offering”), the initial term of office of the Class II directors shall expire at the Corporation’s second annual meeting of stockholders following the closing of the Initial Public Offering and the initial term of office of the Class III directors shall expire at the Corporation’s third annual meeting of stockholders following the closing of the Initial Public Offering. At each annual meeting of stockholders following the closing of the Initial Public Offering, directors elected to succeed those directors of the class whose terms then expire shall be elected for a term of office expiring at the third succeeding annual meeting of stockholders after their election.
4. Term and Removal. Each director shall hold office until the annual meeting at which such director’s term expires and until such director’s successor is duly elected and qualified, or until such director’s earlier death, resignation, disqualification or removal. Any director may resign at any time by delivering a resignation in writing or by electronic transmission to the Corporation at its principal office or to the Chairperson of the Board, the Chief Executive Officer, or the Corporate Secretary. Subject to the special rights of the holders of any series of Preferred Stock, no director may be removed from the Board except for cause and only by the affirmative vote of the holders of at least two-thirds of the voting power of the then-outstanding shares of capital stock of the Corporation entitled to vote thereon, voting together as a single class. No no decrease in the number of directors constituting the Board shall shorten the term of any director.
4
5. Board Vacancies and Newly Created Directorships. Subject to the special rights of the holders of any series of Preferred Stock, any vacancy occurring in the Board for any cause, and any newly created directorship resulting from any increase in the authorized number of directors, shall, (a) unless the Board determines by resolution that any such vacancies or newly created directorships shall be filled by the stockholders or (b) except as otherwise provided by law, be filled only by the affirmative vote of a majority of the directors then in office, even if less than a quorum, or by a sole remaining director, and shall not be filled by the stockholders. Any director elected in accordance with the preceding sentence shall hold office for a term expiring at the annual meeting of stockholders at which the term of office of the class to which the director has been assigned expires and until such director’s successor shall have been duly elected and qualified, or until such director’s earlier death, resignation, disqualification or removal.
6. Determination of Ambiguity. In case of an ambiguity in the application of any provision set forth in Sections 2, 3, 4, 5 or 6 of this Article VI or in the meaning of any term or definition set forth in this Sections 2, 3, 4, 5 or 6 of this Article VI (including any such term used in any other provision of this Certificate of Incorporation), the Board, or a committee thereof, shall have the power to determine, in its sole discretion, the application of any such provision or any such term or definition with respect to any situation based on the facts believed in good faith by it. A determination of the Board (or a committee thereof, as applicable) in accordance with the preceding sentence shall be conclusive and binding on the stockholders of the Corporation. Such determination shall be evidenced in a writing adopted by the Board (or a committee thereof, as applicable), and such writing shall be made available for inspection by any holder of capital stock of the Corporation at the principal executive offices of the Corporation.
7. Vote by Ballot. Election of directors need not be by written ballot unless the Bylaws shall so provide.
ARTICLE VII: LIMITATION OF LIABILITY
1. Limitation of Liability. To the fullest extent permitted by law, neither a director of the Corporation nor an officer of the Corporation shall be personally liable for monetary damages for breach of fiduciary duty as a director or officer, as applicable. Without limiting the effect of the preceding sentence, if the General Corporation Law is hereafter amended to authorize the further elimination or limitation of the liability of a director or officer, then the liability of a director or officer of the Corporation shall be eliminated or limited to the fullest extent permitted by the General Corporation Law, as so amended.
2. Change in Rights. Neither any amendment nor repeal of this Article VII, nor the adoption of any provision of this Certificate of Incorporation inconsistent with this Article VII, shall eliminate, reduce or otherwise adversely affect any limitation on the personal liability of a director or officer of the Corporation existing at the time of such amendment, repeal or adoption of such an inconsistent provision.
5
ARTICLE VIII: MATTERS RELATING TO STOCKHOLDERS
1. No Action by Written Consent of Stockholders. Subject to the rights of any series of Preferred Stock then outstanding, no action shall be taken by the stockholders of the Corporation except at a duly called annual or special meeting of stockholders and no action shall be taken by the stockholders of the Corporation by written consent in lieu of a meeting.
2. Special Meeting of Stockholders. Special meetings of the stockholders of the Corporation may be called only by the Chairperson of the Board, the Chief Executive Officer, the Lead Independent Director (as defined in the Bylaws), the President, or the Board acting pursuant to a resolution adopted by a majority of the Whole Board and may not be called by the stockholders or any other person or persons.
3. Advance Notice of Stockholder Nominations and Business Transacted at Special Meetings. Advance notice of stockholder nominations for the election of directors of the Corporation and of business to be brought by stockholders before any meeting of stockholders of the Corporation shall be given in the manner provided in the Bylaws. Business transacted at special meetings of stockholders shall be limited to the purpose or purposes stated in the notice of meeting.
ARTICLE IX: CHOICE OF FORUM; EXCLUSIVE FORUM
Unless the Corporation consents in writing to the selection of an alternative forum, the Court of Chancery of the State of Delaware (or, if the Court of Chancery does not have jurisdiction, the federal district court for the District of Delaware) shall, to the fullest extent permitted by law, be the sole and exclusive forum for: (i) any derivative action or proceeding brought on behalf of the Corporation; (ii) any action asserting a claim that is based upon a breach of a fiduciary duty owed by, or other wrongdoing by, any current or former director, officer, stockholder, employee or agent of the Corporation to the Corporation or the Corporation’s stockholders; (iii) any action asserting a claim against the Corporation or any current or former director, officer, stockholder, employee or agent of the Corporation arising pursuant to any provision of the General Corporation Law, this Certificate of Incorporation or the Bylaws or as to which the General Corporation Law confers jurisdiction on the Court of Chancery of the State of Delaware; (iv) any action to interpret, apply, enforce or determine the validity of this Certificate of Incorporation or the Bylaws; (v) any action asserting a claim against the Corporation governed by the internal affairs doctrine; or (vi) any action asserting an “internal corporate claim” as that term is defined in Section 115 of the General Corporation Law. Unless the Corporation consents in writing to the selection of an alternative forum, the federal district courts of the United States of America shall be the exclusive forum for the resolution of any complaint asserting a cause of action arising under the Securities Act, or any successor thereto or, to the fullest extent permitted by law, under the Exchange Act, or any successor thereto. Any person or entity purchasing or otherwise acquiring or holding any interest in shares of capital stock of the Corporation shall be deemed to have notice of and to have consented to the provisions of this Article IX. Failure to enforce the foregoing provisions of this Article IX would cause the Corporation irreparable harm, and the Corporation shall be entitled to equitable relief, including injunctive relief and specific performance, to enforce the foregoing provisions.
6
ARTICLE X: AMENDMENT OF CERTIFICATE OF INCORPORATION
If any provision of this Certificate of Incorporation shall be held to be invalid, illegal, or unenforceable, then such provision shall nonetheless be enforced to the maximum extent possible consistent with such holding and the remaining provisions of this Certificate of Incorporation (including, without limitation, all portions of any section of this Certificate of Incorporation containing any such provision held to be invalid, illegal, or unenforceable, which is not invalid, illegal, or unenforceable) shall remain in full force and effect.
The Corporation reserves the right to amend or repeal any provision contained in this Certificate of Incorporation in the manner prescribed by the laws of the State of Delaware and all rights conferred upon stockholders are granted subject to this reservation; provided, however, that, notwithstanding any other provision of this Certificate of Incorporation or any provision of law that might otherwise permit a lesser vote or no vote (but subject to the rights of any series of Preferred Stock set forth in any Certificate of Designation), but in addition to any vote of the holders of any class or series of the stock of the Corporation required by law or by this Certificate of Incorporation, the affirmative vote of the holders of at least two-thirds of the voting power of all then-outstanding shares of the capital stock of the Corporation entitled to vote generally in the election of directors, voting together as a single class, shall be required to amend or repeal, or adopt any provision inconsistent with this Certificate of Incorporation; provided, further, that if two-thirds of the Whole Board has approved such amendment or repeal or adoption of any provision inconsistent with, any provisions of this Certificate of Incorporation, then only the affirmative vote of the holders of a majority of the voting power of all then-outstanding shares of capital stock of the Corporation entitled to vote generally in the election of directors, voting together as a single class (in addition to any other vote of the holders of any class or series of stock of the Corporation required by law or by this Certificate of Incorporation or any Certificate of Designation), shall be required to amend or repeal, or adopt any provision inconsistent with, such provisions of this Certificate of Incorporation.
* * * * * * * * * * *
7
Exhibit 3.2
MAZE THERAPEUTICS, INC.
(a Delaware corporation)
AMENDED AND RESTATED BYLAWS
As Amended and Restated on February 3, 2025
MAZE THERAPEUTICS, INC.
(a Delaware corporation)
AMENDED AND RESTATED BYLAWS
TABLE OF CONTENTS
Page
Article I:MEETINGS OF STOCKHOLDERS |
1 |
|
Section 1.1: |
Annual Meetings |
1 |
Section 1.2: |
Special Meetings |
1 |
Section 1.3: |
Notice of Stockholders’ Meetings |
1 |
Section 1.4: |
Adjournments |
1 |
Section 1.5: |
Quorum |
2 |
Section 1.6: |
Organization |
2 |
Section 1.7: |
Voting; Proxies |
2 |
Section 1.8: |
Fixing Date for Determination of Stockholders of Record |
3 |
Section 1.9: |
List of Stockholders Entitled to Vote |
3 |
Section 1.10: |
Inspectors of Elections. |
4 |
Section 1.11: |
Conduct of Meetings |
4 |
Section 1.12: |
Advance Notice Procedures. |
5 |
Article II: BOARD OF DIRECTORS |
15 |
|
Section 2.1: |
Number; Qualifications |
15 |
Section 2.2: |
Election; Resignation; Removal; Vacancies |
15 |
Section 2.3: |
Regular Meetings |
15 |
Section 2.4: |
Special Meetings |
15 |
Section 2.5: |
Remote Meetings Permitted |
16 |
Section 2.6: |
Quorum; Vote Required for Action |
16 |
Section 2.7: |
Organization |
16 |
Section 2.8: |
Unanimous Action by Directors in Lieu of a Meeting |
16 |
Section 2.9: |
Powers |
16 |
Section 2.10: |
Compensation of Directors |
16 |
Section 2.11: |
Confidentiality |
16 |
Section 2.12 |
Emergency Bylaws |
16 |
Article III: COMMITTEES |
17 |
|
Section 3.1: |
Committees |
17 |
Section 3.2: |
Committee Rules |
17 |
Article IV: OFFICERS; CHAIRPERSON; LEAD INDEPENDENT DIRECTOR |
17 |
|
Section 4.1: |
Generally |
17 |
Section 4.2: |
Chief Executive Officer |
18 |
Section 4.3: |
Chairperson of the Board |
18 |
Section 4.4: |
Lead Independent Director |
18 |
Section 4.5: |
President |
19 |
Section 4.6: |
Chief Financial Officer |
19 |
i
Section 4.7: |
Treasurer |
19 |
Section 4.8: |
Vice President |
19 |
Section 4.9: |
Secretary |
19 |
Section 4.10: |
Delegation of Authority |
19 |
Section 4.11: |
Removal |
19 |
Article V: STOCK |
20 |
|
Section 5.1: |
Certificates; Uncertificated Shares |
20 |
Section 5.2: |
Lost, Stolen or Destroyed Stock Certificates; Issuance of New |
20 |
Section 5.3: |
Other Regulations |
20 |
Article VI: INDEMNIFICATION |
20 |
|
Section 6.1: |
Indemnification of Officers and Directors |
20 |
Section 6.2: |
Advancement of Expenses |
21 |
Section 6.3: |
Non-Exclusivity of Rights |
21 |
Section 6.4: |
Indemnification of Others and Additional Rights |
22 |
Section 6.5: |
Right of Indemnitee to Bring Suit |
22 |
Section 6.6: |
Nature of Rights |
22 |
Section 6.7: |
Amendment or Repeal |
22 |
Section 6.8: |
Insurance |
23 |
Section 6.9: |
Indemnification for Successful Defense |
23 |
Article VII: NOTICES |
23 |
|
Section 7.1: |
Notice. |
23 |
Section 7.2: |
Waiver of Notice |
23 |
Article VIII: INTERESTED DIRECTORS |
24 |
|
Section 8.1: |
Interested Directors |
24 |
Section 8.2: |
Quorum |
24 |
Article IX: MISCELLANEOUS |
24 |
|
Section 9.1: |
Fiscal Year |
24 |
Section 9.2: |
Seal |
24 |
Section 9.3: |
Form of Records |
24 |
Section 9.4: |
Reliance Upon Books and Records |
24 |
Section 9.5: |
Certificate of Incorporation Governs |
25 |
Section 9.6: |
Severability |
25 |
Section 9.7: |
Time Periods |
25 |
Article X: AMENDMENT |
25 |
|
ii
MAZE THERAPEUTICS, INC.
(a Delaware corporation)
AMENDED AND RESTATED BYLAWS
As Adopted December 9, 2024 and
As Effective February 3, 2025
ARTICLE I: MEETINGS OF STOCKHOLDERS
Section 1.1: Annual Meetings. If required by applicable law, an annual meeting of stockholders shall be held for the election of directors and such other proper business at such date and time as the Board of Directors (the “Board”) of Maze Therapeutics, Inc. (the “Corporation”), or its designee, shall each year fix. The meeting may be held either at a place, within or without the State of Delaware as permitted by the Delaware General Corporation Law (the “DGCL”) as the Board, or its designee, shall fix, or solely by means of remote communication as the Board in its sole discretion may determine. Any proper business may be transacted at the annual meeting.
Section 1.2: Special Meetings. Special meetings of stockholders for any purpose or purposes shall be called in the manner set forth in the Restated Certificate of Incorporation of the Corporation (as the same may be amended and/or restated from time to time, the “Certificate of Incorporation”). The special meeting may be held either at a place, within or without the State of Delaware as the Board, or its designee, shall fix, or solely by means of remote communication as the Board in its sole discretion may determine. Business transacted at any special meeting of stockholders shall be limited to matters relating to the purpose or purposes stated in the notice of the meeting.
Section 1.3: Notice of Stockholders’ Meetings. Notice of all meetings of stockholders shall be given in accordance with applicable law (including, without limitation, as set forth in Section 7.1 of these Bylaws) stating the date, time and place, if any, of the meeting, the means of remote communications, if any, by which stockholders and proxy holders may be deemed to be present in person and vote at such meeting, and the record date for determining the stockholders entitled to vote at the meeting (if such date is different from the record date for determining the stockholders entitled to notice of the meeting). In the case of a special meeting, such notice shall also set forth the purpose or purposes for which the meeting is called. Unless otherwise required by applicable law or the Certificate of Incorporation, notice of any meeting of stockholders shall be given not less than ten (10), nor more than sixty (60), days before the date of the meeting to each stockholder of record entitled to vote at such meeting as of the record date for determining the stockholders entitled to notice of the meeting.
Section 1.4: Adjournments. Notwithstanding Section 1.5 of these Bylaws, the chairperson of the meeting shall have the power to adjourn the meeting to another time, date and place (if any), regardless of whether a quorum is present, at any time and for any reason. Any meeting of stockholders, annual or special, may be adjourned from time to time (including an adjournment taken to address a technical failure to convene or continue a meeting using remote communication), and notice need not be given of any such adjourned meeting if the time, date and place (if any) thereof and the means of remote communication (if any) by which stockholders and proxy holders may be deemed to be present in person and vote at such adjourned meeting are (i) announced at the meeting at which the adjournment is taken, (ii) displayed, during the time scheduled for the meeting, on the same electronic network used to enable stockholders and proxy holders to participate in the meeting by means of remote communication or (iii) set forth in the notice of meeting given in accordance with Section 222(a) of the DGCL; provided, however, that if the adjournment is for more than thirty (30) days, a notice of the adjourned meeting shall be given to each stockholder of record entitled to vote at the meeting.
If, after the adjournment, a new record date for determination of stockholders entitled to vote is fixed for the adjourned meeting, the Board shall fix a new record date for notice of such adjourned meeting in accordance with Section 213(a) of the DGCL and Section 1.3 of these Bylaws, and shall give notice of the adjourned meeting to each stockholder of record as of the record date so fixed for notice of such adjourned meeting. At the adjourned meeting, the Corporation may transact any business that might have been transacted at the original meeting. If a quorum is present at the original meeting, it shall also be deemed present at the adjourned meeting. To the fullest extent permitted by applicable law, the Board may postpone, reschedule or cancel at any time and for any reason any previously scheduled special or annual meeting of stockholders before it is to be held, regardless of whether any notice or public disclosure with respect to any such meeting has been sent or made pursuant to Section 1.3 hereof or otherwise, in which case notice shall be provided to the stockholders of the new date, time and place, if any, of the meeting as provided in Section 1.3 above.
Section 1.5: Quorum. Except as otherwise required by applicable law, the Certificate of Incorporation, these Bylaws or the rules of any applicable stock exchange on which the Corporation’s securities are listed, at each meeting of stockholders the holders of a majority of the voting power of the shares of stock issued and outstanding and entitled to vote at the meeting, present in person or represented by proxy, shall constitute a quorum for the transaction of business; provided, however, that where a separate vote by a class or classes or series of stock is required by applicable law, the Certificate of Incorporation, these Bylaws or the rules of any applicable stock exchange on which the Corporation’s securities are listed, the holders of a majority of the voting power of the shares of such class or classes or series of the stock issued and outstanding and entitled to vote on such matter, present in person or represented by proxy at the meeting, shall constitute a quorum entitled to take action with respect to the vote on such matter. If a quorum shall fail to attend any meeting, the chairperson of the meeting or the stockholders, by the affirmative vote of a majority of the votes cast affirmatively or negatively with respect thereto, may adjourn the meeting. A quorum, once established at a meeting, shall not be broken by the withdrawal of enough votes to leave less than a quorum.
Section 1.6: Organization. Meetings of stockholders shall be presided over by (a) such person as the Board may designate, or (b) in the absence of such designation, the Chairperson of the Board, or (c) in the absence of such person, the Lead Independent Director, or (d) in the absence of such person, the Chief Executive Officer of the Corporation, or (e) in the absence of such person, the President of the Corporation, or (f) in the absence of such person, by a Vice President of the Corporation. Such person shall be the chairperson of the meeting. The Secretary of the Corporation (the “Secretary”) shall act as secretary of the meeting, but in such person’s absence the chairperson of the meeting may appoint any person to act as secretary of the meeting.
Section 1.7: Voting; Proxies. Each stockholder of record entitled to vote at a meeting of stockholders may authorize another person or persons to act for such stockholder by proxy. Such a proxy may be prepared, transmitted and delivered in any manner permitted by applicable law. Except as may be required in the Certificate of Incorporation, directors shall be elected by a plurality of the votes cast by the holders of the shares present in person or represented by proxy at the meeting and entitled to vote on the election of directors.
2
At all meetings of stockholders at which a quorum is present, unless a different or minimum vote is provided by applicable law, rule or regulation applicable to the Corporation or its securities, the rules or regulations of any applicable stock exchange on which the Corporation’s securities are listed, the Certificate of Incorporation or these Bylaws, in which case such different or minimum vote shall be the applicable vote on the matter, every matter other than the election of directors shall be decided by the affirmative vote of a majority of the votes cast affirmatively or negatively with respect thereto (or if there are two or more classes or series of stock entitled to vote as separate classes, then in the case of each class or series, the holders of a majority of the voting power of the shares of stock of that class or series present in person or represented by proxy at the meeting voting for or against such matter).
Any stockholder directly or indirectly soliciting proxies from other stockholders must use a proxy card color other than white, which shall be reserved for exclusive use by the Board.
Section 1.8: Fixing Date for Determination of Stockholders of Record. In order that the Corporation may determine the stockholders entitled to notice of any meeting of stockholders or any adjournment thereof, the Board may fix a record date, which record date shall not precede the date upon which the resolution fixing the record date is adopted by the Board, and which record date shall, unless otherwise required by applicable law, not be more than sixty (60) nor less than ten (10) days before the date of such meeting. If the Board so fixes a date, such date shall also be the record date for determining the stockholders entitled to vote at such meeting unless the Board determines, at the time it fixes such record date, that a later date on or before the date of the meeting shall be the date for making such determination. If no record date is fixed by the Board, the record date for determining stockholders entitled to notice of and to vote at a meeting of stockholders shall be at the close of business on the day next preceding the day on which notice is given, or, if notice is waived, at the close of business on the day next preceding the day on which the meeting is held. A determination of stockholders of record entitled to notice of or to vote at a meeting of stockholders shall apply to any adjournment of the meeting; provided, however, that the Board may fix a new record date for determination of stockholders entitled to vote at the adjourned meeting, and in such case shall also fix as the record date for stockholders entitled to notice of such adjourned meeting the same or an earlier date as that fixed for determination of stockholders entitled to vote in accordance herewith at the adjourned meeting.
In order that the Corporation may determine the stockholders entitled to receive payment of any dividend or other distribution or allotment of any rights, or entitled to exercise any rights in respect of any change, conversion or exchange of stock or for the purpose of any other lawful action, the Board may fix, in advance, a record date, which shall not precede the date upon which the resolution fixing the record date is adopted by the Board and which shall not be more than sixty (60) days prior to such action. If no such record date is fixed by the Board, then the record date for determining stockholders for any such purpose shall be at close of business on the day on which the Board adopts the resolution relating thereto.
Section 1.9: List of Stockholders Entitled to Vote. The Corporation shall prepare, no later than the tenth (10th) day before each meeting of stockholders, a complete list of stockholders entitled to vote at the meeting (provided, however, if the record date for determining the stockholders entitled to vote is less than ten (10) days before the date of the meeting, the list shall reflect the stockholders entitled to vote as of the tenth (10th) day before the meeting date), arranged in alphabetical order and showing the address of each stockholder and the number of shares registered in the name of each stockholder. Nothing in this Section 1.9 shall require the Corporation to include electronic mail addresses or other electronic contact information on such list.
3
Such list shall be open to the examination of any stockholder, for any purpose germane to the meeting, for a period of ten (10) days ending on the day before the meeting date, either (a) on a reasonably accessible electronic network as permitted by applicable law (provided that the information required to gain access to the list is provided with the notice of the meeting), or (b) during ordinary business hours, at the principal place of business of the Corporation. In the event that the Corporation determines to make the list available on an electronic network, the Corporation may take reasonable steps to ensure that such information is available only to stockholders of the Corporation. Except as otherwise provided by applicable law, the stock ledger shall be the only evidence as to who are the stockholders entitled to examine the list of stockholders required by this Section 1.9 or to vote in person or by proxy at any meeting of stockholders.
Section 1.10: Inspectors of Elections.
1.10.1 Applicability. Unless otherwise required by the Certificate of Incorporation or by applicable law, the following provisions of this Section 1.10 shall apply only if and when the Corporation has a class of voting stock that is: (a) listed on a national securities exchange, (b) authorized for quotation on an interdealer quotation system of a registered national securities association, or (c) held of record by more than two thousand (2,000) stockholders. In all other cases, observance of the provisions of this Section 1.10 shall be optional, and at the discretion of the Board.
1.10.2 Appointment. The Corporation shall, in advance of any meeting of stockholders, appoint one or more inspectors of election to act at the meeting and make a written report thereof. The Corporation may designate one or more persons as alternate inspectors to replace any inspector who fails to act. If no inspector or alternate is able to act at a meeting of stockholders, the chairperson of the meeting shall appoint one or more inspectors to act at the meeting.
1.10.3 Duties of Inspectors. Inspectors of election shall take all actions as contemplated under Section 231 of the DGCL. The inspectors of election shall perform their duties with strict impartiality and according to the best of their ability.
Section 1.11: Conduct of Meetings. The Board may adopt by resolution such rules and regulations for the conduct of the meeting of stockholders as it shall deem appropriate. Except to the extent inconsistent with such rules and regulations as adopted by the Board, the chairperson of a meeting of stockholders shall have the right and authority to convene and (for any or no reason) to recess and/or adjourn the meeting, to prescribe such rules, regulations and procedures and to do all such acts as, in the judgment of such chairperson, are appropriate for the proper conduct of the meeting. Such rules, regulations or procedures, whether adopted by the Board or prescribed by the chairperson of the meeting, may include, without limitation, the following: (a) the establishment of an agenda or order of business for the meeting, (b) rules and procedures for maintaining order at the meeting and the safety of those present, (c) limitations on attendance at or participation in the meeting to stockholders entitled to vote at the meeting, their duly authorized and constituted proxies or such other persons as the chairperson of the meeting or the Board shall determine, (d) restrictions on entry to the meeting after the time fixed for the commencement thereof, (e) limitations on the time allotted to questions or comments by participants, (f) restrictions on the use of audio/video recording devices and cell phones, (g) procedures for complying with any state and local laws and regulations concerning safety and security, (h) procedures (if any) requiring attendees to provide the Corporation advance notice of their intent to attend the meeting, and (i) any additional attendance or other procedures or requirements for proponents submitting a proposal pursuant to Rule 14a-8 promulgated under the Exchange Act (defined below).
4
The Board, or, at a meeting of stockholders (but subject to any rules and regulation adopted by, and the supervision of, the Board), the chairperson of the meeting shall, in addition to making any other determinations that may be appropriate to the conduct of the meeting, shall have the power to determine that a proposed director nomination or business matter was not properly brought before the meeting and to disregard any such nomination or business matter not properly brought before the meeting, notwithstanding that proxies or votes in respect thereof may have been received by the Corporation, which shall be disregarded. Unless and to the extent determined by the Board or the chairperson of the meeting, meetings of stockholders shall not be required to be held in accordance with the rules of parliamentary procedure.
Section 1.12: Advance Notice Procedures.
1.12.1 Annual Meeting of Stockholders.
(a) Nominations of persons for election to the Board and the proposal of other business to be considered by the stockholders may be made at an annual meeting of stockholders only: (i) pursuant to the Corporation’s notice of such meeting (or any supplement thereto), (ii) by or at the direction of the Board or any committee thereof or (iii) by any stockholder of the Corporation who was a stockholder of record at the time of giving of the notice required by this Section 1.12.1 and at the time of such meeting, who is entitled to vote at such meeting and who complies with the requirements and procedures set forth in this Section 1.12 in all applicable respects (the “Record Stockholder”), or (iv) as may be provided in the certificate of designations for any series of Preferred Stock. For the avoidance of doubt, the foregoing clause (iii) shall be the exclusive means for a stockholder to make nominations or propose business (other than business included in the Corporation’s proxy materials pursuant to Rule 14a-8 under the Securities Exchange Act of 1934, as amended (such act, and the rules and regulations promulgated thereunder and any successors thereto, the “Exchange Act”)).
For nominations or other business to be properly brought before an annual meeting by a Record Stockholder (or a Qualified Representative (as defined below) thereof) pursuant to Section 1.12.1(a) of these Bylaws:
(i) the Record Stockholder must have given timely notice thereof in writing to the Secretary and provide any updates or supplements to such notice at the times and in the forms required by this Section 1.12.1;
(ii) such business (other than the nomination of persons for election to the Board) must otherwise be a proper matter for stockholder action under Delaware law;
(iii) each Proposing Person (as defined below) shall have complied with the applicable requirements of the Exchange Act (including, without limitation, the applicable requirements of Rule 14a-19) and any Securities and Exchange Commission Staff interpretations relating thereto;
(iv) in the case of a proposal other than the nomination of persons for election or reelection to the Board, (A) if a Proposing Person (as defined below) has provided the Corporation with a Solicitation Notice (as defined below), such Proposing Person (or the group of which such Proposing Person is a part) must have delivered, or made available, a proxy statement and form of proxy to holders of at least the percentage of the voting power of the Corporation’s shares required under applicable law to carry any such proposal and must have included in such materials the Solicitation Notice, or (B) if no Solicitation Notice relating thereto has been timely provided pursuant to this Section 1.12, a Proposing Person (or a group of which a Proposing Person is a part) must not have solicited a number of proxies sufficient to have required the delivery of such a Solicitation Notice under this Section 1.12; and
5
(v) in the case of a proposal for the nomination of persons for election or reelection to the Board, if the Proposing Person (or a group of which such Proposing Person is a part) provided notice pursuant to Rule 14a-19(b) promulgated under the Exchange Act, such Proposing Person must have delivered to the Secretary, no later than five (5) business days prior to the annual meeting or any adjournment, rescheduling, postponement or other delay thereof, reasonable evidence sufficient to demonstrate that the requirements of Rule 14a-19 have been satisfied; and,
(b) To be timely, a Record Stockholder’s notice must be delivered to the Secretary at the principal executive offices of the Corporation not later than 5:00 p.m. Eastern Time on the ninetieth (90th) day nor earlier than the one hundred and twentieth (120th) day prior to the first anniversary of the preceding year’s annual meeting; provided, however, that in the event that the date of the annual meeting is more than thirty (30) days before or more than sixty (60) days after such anniversary date, or if no annual meeting was held in the preceding year, notice by the Record Stockholder to be timely must be so delivered (A) no earlier than the one hundred and twentieth (120th) day prior to such annual meeting and (B) no later than 5:00 p.m. Eastern Time on the later of the ninetieth (90th) day prior to such annual meeting or the tenth (10th) day following the day on which Public Announcement (as defined below) of the date of such meeting is first made by the Corporation. In no event shall an adjournment, postponement, or rescheduling (or the Public Announcement thereof) of an annual meeting for which notice has been given or a Public Announcement of the meeting date has been made commence a new time period (or extend any time period) for providing the Record Stockholder’s notice. For purposes of this Section 1.12.1, the 2025 annual meeting of stockholders shall be deemed to have been held on June 2, 2025. Notwithstanding anything in this Section 1.12.1 to the contrary, in the event that the number of directors to be elected to the Board at an annual meeting is increased and there is no Public Announcement by the Corporation naming all of the nominees for director or specifying the size of the increased Board made by the Corporation at least ten (10) days prior to the last day a stockholder may deliver a notice in accordance with the first sentence of this paragraph, a stockholder’s notice required by this Section 1.12.1 shall also be considered timely, but only with respect to nominees for any new positions created by such increase, if it shall be delivered to the Secretary at the principal executive offices of the Corporation not later than 5:00 p.m. Eastern Time on the tenth (10th) day following the day on which such Public Announcement is first made by the Corporation.
(c) As to each person whom the Record Stockholder proposes to nominate for election or reelection as a director, in addition to the matters set forth in paragraph (e) below, such Record Stockholder’s notice shall set forth:
(i) the name, age, business address and residence address of such proposed nominee;
(ii) the principal occupation or employment of such proposed nominee;
(iii) the class, series and number of any shares of stock of the Corporation that are beneficially owned or owned of record by such proposed nominee, or his or her respective affiliates and associates; (iv) the date or dates such shares were acquired and the investment intent of such acquisition, as well as evidence of such date(s);
6
(v) all other information relating to such proposed nominee that would be required to be disclosed in solicitations of proxies for election of directors in an election contest (even if an election contest is not involved), or would be otherwise required, in each case pursuant to and in accordance with Section 14(a) (or any successor provision) under the Exchange Act;
(vi) whether such proposed nominee would qualify as an independent director under the requirements of the stock exchange upon which the Corporation’s Common Stock is primarily traded and the Policies (as defined below);
(vii) a description of all direct and indirect compensation and other material monetary agreements, arrangements and understandings during the past three (3) years, and any other material relationships, between or among any Proposing Person, on the one hand, and such proposed nominee, and his or her respective affiliates and associates, on the other hand, including, without limitation, all information that would be required to be disclosed pursuant to the U.S. federal securities laws or the rules and regulations promulgated thereunder (including Item 404 promulgated under Regulation S‑K) if any Proposing Person were the “registrant” for purposes thereof and the proposed nominee were a director or executive officer of such registrant;
(viii) the date or dates of first contact between any Proposing Person and such proposed nominee with respect to (A) the Corporation or (B) any proposed nomination of any person or persons for election or reelection to the Board;
(ix) a description of any position of such proposed nominee as an officer or director of, or any material relationship with, any Competitor (as defined below) within the past three (3) years;
(xi) a description of any business or personal interests that could place such proposed nominee in a potential conflict of interest with the Corporation or any of its affiliates and how the proposed nominee, if elected, intends to mitigate or reconcile any such potential conflict of interest; and
(xii) all completed and signed questionnaires, representations and agreements required by Section 1.12.2 of these Bylaws.
The Corporation may require any proposed nominee to furnish such other information as it may reasonably require to determine whether such proposed nominee would qualify as an independent director of the Corporation under the Exchange Act, applicable stock exchange rules and the Policies.
(d) As to any business, other than the nomination of a person for election or reelection as a director, that the Record Stockholder proposes to bring before the meeting, in addition to the matters set forth in paragraph (e) below, such Record Stockholder’s notice shall set forth:
(i) a brief description of the business desired to be brought before the meeting; (ii) the text of the proposal or business (including the text of any resolutions proposed for consideration and in the event that such business includes a proposal to amend the Bylaws, the text of the proposed amendment);
7
(iii) the reasons for conducting such business at the meeting; and
(iv) any material interest in such business of any Proposing Person, including any anticipated benefit to any Proposing Person therefrom.
(e) As to each Proposing Person, the Record Stockholder’s notice shall set forth:
(i) the current name and address of such Proposing Person, including, if applicable, their name and address as they appear on the Corporation’s stock ledger;
(ii) (1) the class or series and number of shares of stock of the Corporation that are directly or indirectly owned of record or beneficially owned by such Proposing Person, including any shares of any class or series of the Corporation as to which such Proposing Person has a right to acquire beneficial ownership at any time in the future, and (2) a certification regarding whether such Proposing Person has complied with all applicable federal, state and other legal requirements in connection with such Proposing Person’s acquisition of shares of capital stock or other securities of the Corporation, if any, and/or such Proposing Person’s acts or omissions as a stockholder or beneficial owner of the Corporation;
(iii) a description of any of the following that are held directly or indirectly by, on behalf of or for the benefit of such Proposing Person: (x) any Derivative Instrument (as defined below), (y) any rights to dividends on the shares of any class or series of shares of the Corporation that are separated or separable from the underlying shares of the Corporation; or (z) any Short Interest (as defined below), including, in each case, the date thereof, the class, series and number of securities involved therein, the material economic or voting terms thereof, and the identities of all persons party thereto;
(iv) any proportionate interest in shares of the Corporation or Derivative Instruments held, directly or indirectly, by a general or limited partnership or limited liability company of which such Proposing Person is, directly or indirectly, a general partner, manager or managing member or, directly or indirectly, controls a general partner, manager or managing member of such a general or limited partnership or limited liability company;
(v) any direct or indirect material interest of such Proposing Person in any material contract or agreement with the Corporation, any affiliate of the Corporation or any Competitor (including, in any such case, any employment agreement, collective bargaining agreement or consulting agreement);
(vi) a description of any of the following that are held directly or indirectly by, on behalf of or for the benefit of such Proposing Person: (x) any significant equity interests in any Competitor or (y) any Derivative Instruments or Short Interests in any Competitor (including, the case of any Derivative Instrument or Short Interest, the date such instrument or interest was acquired, the class, series and number of securities involved therein, the material economic or voting terms thereof, and the identities of all persons party thereto); (vii) any other material relationship between such Proposing Person, on the one hand, and the Corporation, any affiliate of the Corporation or any Competitor, on the other hand;
8
(viii) all information that would be required to be set forth in a Schedule 13D filed pursuant to Rule 13d-1(a) or an amendment pursuant to Rule 13d-2(a) pertaining to the Corporation and its securities, if such a statement were required to be filed under the Exchange Act by such Proposing Person, regardless of whether the requirement to file a Schedule 13D is applicable;
(ix) any other information relating to such Proposing Person that would be required to be disclosed in proxy materials or other filings required to be made in connection with solicitations of proxies or consents by such Proposing Person in support of the business or nomination proposed to be brought before the meeting pursuant to Section 14(a) (or any successor provision) under the Exchange Act;
(x) to the extent known by a Proposing Person, the names and addresses of any stockholder or beneficial owner that has provided or will provide financial support or material assistance in support of the nomination or business and a description of the nature of such support or assistance;
(xi) a description of any agreement, arrangement or understanding (including the identities of all the parties thereto) between or among such Proposing Person on the one hand and any other person or persons, on the other hand, with respect to, relating to, or in connection with the nomination or business;
(xii) a representation that the Record Stockholder is a holder of record of stock of the Corporation entitled to vote at such meeting and that such Record Stockholder (or a Qualified Representative thereof) will appear at the meeting to propose such business or nomination;
(xiii) a representation whether such Proposing Person intends (or is part of a group that intends) to (x) in the case of a proposal other than the nomination of persons for election to the Board, deliver a proxy statement and/or form of proxy to holders of at least the percentage of the Corporation’s voting shares required under applicable law to approve the proposal (an affirmative statement of such intent being a “Solicitation Notice”) and, if so, the name of each participant (as defined in Item 4 of Exchange Act Schedule 14A) in such solicitation, (y) in the case of a nomination or nominations, solicit the holders of shares representing at least 67% of the voting power of the shares entitled to vote on the election of directors in support of director nominees other than the Corporation’s nominees in accordance with Rule 14a-19, and the name of each participant (as defined in Item 4 of Exchange Act Schedule 14A) in such solicitation, and/or (z) otherwise solicit proxies from stockholders in support of such proposal or nomination;
(xiv) a description of any pending or, to such Proposing Person’s knowledge, threatened legal proceeding in which such Proposing Person is a party or participant involving the Corporation or, to such Proposing Person’s knowledge, any current or former officer, director, affiliate or associate of the Corporation; and
(xv) a description of any proxy (other than a revocable proxy given in response to a proxy solicitation made to more than ten (10) persons), contract, arrangement, or relationship pursuant to which the Proposing Person has a right to vote, directly or indirectly, any shares or other securities of the Corporation.
9
The disclosures to be made pursuant to the foregoing clauses (ii), (iii), (iv) and (vi) shall not include any information with respect to the ordinary course business activities of any broker, dealer, commercial bank, trust company or other nominee who is a Proposing Person solely as a result of being the stockholder directed to prepare and submit the notice required by these Bylaws on behalf of a beneficial owner.
(f) A stockholder providing written notice required by this Section 1.12.1 or Section 1.12.3, as applicable, shall update and supplement such notice, and any other information provided to the Corporation, in writing, so that the information provided or required to be provided in such notice is true and correct in all material respects as of (i) the record date for determining the stockholders entitled to notice of the meeting and (ii) 5:00 p.m. Eastern Time on the tenth (10th) business day prior to the meeting or any adjournment, postponement or rescheduling thereof. In the case of an update pursuant to clause (i) of the foregoing sentence, such update shall be received by the Secretary at the principal executive office of the Corporation not later than five (5) business days after the record date for determining the stockholders entitled to notice of the meeting, and in the case of an update pursuant to clause (ii) of the foregoing sentence, such update shall be received by the Secretary at the principal executive office of the Corporation not later than eight (8) business days prior to the date for the meeting and, if practicable, any adjournment, postponement or rescheduling thereof (and, if not practicable, on the first practicable date prior to the date to which the meeting has been adjourned, postponed or rescheduled). Notwithstanding the foregoing, if a Proposing Person (x) no longer plans to solicit proxies in accordance with its representation(s) pursuant to Section 1.12.1(e)(xiii) or (y) becomes aware of any inaccuracy or change in information submitted to the Corporation, then the stockholder providing the written notice shall inform the Corporation thereof and update such notice by delivering a writing to the Secretary at the principal executive offices of the Corporation no later than two (2) business days after the occurrence of such change or after such time the Proposing Person became so aware, as applicable. For the avoidance of doubt, the obligation to update as set forth in this paragraph shall not limit the Corporation’s rights with respect to any deficiencies in any notice provided by a stockholder, extend any applicable deadlines hereunder or enable or be deemed to permit a stockholder who has previously submitted notice hereunder to amend or update any proposal or nomination or to submit any new proposal, including by changing or adding nominees, matters, business and/or resolutions proposed to be brought before a meeting of the stockholders. If a stockholder providing written notice fails to provide any written update in accordance with this Section 1.12, the information as to which such written update relates shall be deemed not to have been provided in accordance with these Bylaws.
(g) Notwithstanding anything in Section 1.12 or any other provision of these Bylaws to the contrary, any person who a majority of the Whole Board has determined, in good faith, to have violated Section 2.11 of these Bylaws or a Board Confidentiality Policy (as defined below) while serving as a director of the Corporation in the preceding five (5) years shall be ineligible to be nominated for election or reelection as a member of the Board, absent a prior waiver for such nomination approved by two-thirds of the Whole Board.
1.12.2 Submission of Questionnaire, Representation and Agreement. To be eligible to be a nominee of any stockholder for election or reelection as a director of the Corporation, the person proposed to be nominated must complete, sign and deliver (in accordance with the time periods prescribed for delivery of notice under Section 1.12 of these Bylaws) to the Secretary at the
10
principal executive offices of the Corporation a questionnaires in substantially the same form as the Corporation requests of the Board’s nominees for director (which form shall be provided within ten (10) days following a request therefor by a stockholder) and a signed representation and agreement (in the form available from the Secretary upon written request):
(a) that such person is not and will not become a party to any Voting Commitment (as defined below) that (i) has not been disclosed to the Corporation or (ii) could limit or interfere with such person’s ability to comply, if elected as a director of the Corporation, with such person’s fiduciary duties under applicable law;
(b) that such person is not and will not become a party to any Compensation Arrangement (as defined below) that has not been disclosed to the Corporation;
(c) that such person, if elected as a director of the Corporation, will comply with all informational and similar requirements of applicable insurance policies and laws and regulations in connection with service or action as a director of the Corporation;
(d) a statement as to whether such person, if elected as a director of the Corporation, intends to comply with the Policies;
(e) that such person acknowledges and agrees that, if elected as a director of the Corporation, he or she must and will act in the best interests of the Corporation and its stockholders generally and not in the interests of any individual constituencies;
(f) that such person consents to being named as a nominee in any proxy materials relating to the Corporation’s meeting at which the nominee’s election as a director will be considered/voted upon, agrees to serve if elected as a director, and intends to serve as a director for the full term for which such individual is to stand for election;
(g) that such person’s candidacy or, if elected, Board membership, would not violate applicable state or federal law, the Certificate of Incorporation, these Bylaws, or the rules of any stock exchange on which shares of the Corporation’s Common Stock are traded; and
(h) that such person, if elected as a director, acknowledges and agrees that he or she must and will provide facts, statements, and other information in all communications with the Corporation and its stockholders that are or will be true and correct in all material respects, and that do not and will not omit to state a material fact necessary in order to make the statements made, in light of the circumstances under which they are made, not misleading.
1.12.3 Special Meetings of Stockholders.
(a) Only such business shall be conducted at a special meeting of stockholders as shall have been brought before the meeting pursuant to the Corporation’s notice of such meeting. Nominations of persons for election to the Board may be made at a special meeting of stockholders at which directors are to be elected pursuant to the Corporation’s notice of such meeting (i) by or at the direction of the Board or any committee thereof or (ii) by any stockholder of the Corporation who is a stockholder of record at the time of giving of notice of the special meeting, who shall be entitled to vote at the meeting and who complies with the notice and other procedures set forth in this Section 1.12 in all applicable respects. In the event the Corporation calls a special meeting of stockholders for the purpose of electing one or more directors to the Board, for nominations to be properly brought before such meeting by a stockholder (or a Qualified Representative thereof) pursuant to Section 1.12.3(a)(ii) of these Bylaws:
11
(i) the stockholder must have given timely notice thereof in writing to the Secretary of the Corporation setting forth such information, representations, certifications and agreements required by Section 1.12.1 and Section 1.12.2 and provide any updates or supplements to such notice at the times and in the forms required by this Section 1.12, in each case, with respect to stockholder nominations of persons for election to the Board at an annual meeting of stockholders;
(ii) each Proposing Person shall have complied with the applicable requirements of the Exchange Act and the rules and regulations promulgated thereunder (including, without limitation, the applicable requirements of Rule 14a-19), as such rules and regulations may be amended from time to time by the Securities and Exchange Commission, including any Securities and Exchange Commission Staff interpretations relating thereto; and
(iii) if the Proposing Person (or a group of which such Proposing Person is a part) provided notice pursuant to Rule 14a-19(b) promulgated under the Exchange Act, such Proposing Person must have delivered to the Secretary, no later than five (5) business days prior to the special meeting or any adjournment, rescheduling or postponement or other delay thereof, reasonable evidence sufficient to demonstrate that the requirements of Rule 14a-19 have been satisfied.
(b) To be timely, a stockholder’s notice required by this Section 1.12.3 of these Bylaws shall be delivered to the Secretary at the principal executive offices of the Corporation (i) no earlier than the one hundred and twentieth (120th) day prior to such special meeting and (ii) no later than 5:00 p.m. Eastern Time on the later of the ninetieth (90th) day prior to such special meeting or the tenth (10th) day following the day on which Public Announcement is first made of the date of the special meeting and of the nominees proposed by the Board to be elected at such meeting. In no event shall an adjournment, postponement or rescheduling (or the Public Announcement thereof) of a special meeting commence a new time period (or extend any time period) for providing such notice.
1.12.4 General.
(a) Except as otherwise expressly provided in any applicable rule or regulation promulgated under the Exchange Act, only such persons who are nominated in accordance with the procedures set forth in this Section 1.12 shall be eligible to be elected or reelected as directors at a meeting of stockholders and only such business shall be conducted at an annual meeting of stockholders as shall have been brought before the meeting in accordance with the procedures set forth in this Section 1.12. Except as otherwise provided by applicable law or these Bylaws, the Board or, at a meeting of stockholders (but subject to any rules and regulation adopted by, and the supervision of, the Board), the chairperson of the meeting shall have the power to determine whether a nomination or any other business proposed to be brought before the meeting was made or proposed, as the case may be, in accordance with the applicable requirements and procedures set forth in this Section 1.12 (including the stockholder and nominee, as applicable, acting in a manner consistent with any representation required hereby, satisfying the information requirements set forth herein with accurate and complete information and complying with all applicable laws, rules and regulations referred to herein) and, if any proposed nomination or business is not in compliance herewith, to declare that such defective proposal or nomination shall be disregarded (and any such nominee shall be disqualified from standing for election or re-election), notwithstanding that proxies in respect of such business or nominations may have been received by the Corporation.
12
If a stockholder provides notice pursuant to Rule 14a-19(b) promulgated under the Exchange Act and subsequently fails to comply with the requirements of Rule 14a-19(a)(2) and Rule 14a-19(a)(3) promulgated under the Exchange Act, including the provision to the Corporation of notices required thereunder in a timely manner, then any such nominee shall be disqualified and the Corporation shall disregard any proxies or votes solicited for such stockholder’s director nominees. Notwithstanding the foregoing provisions of this Section 1.12, unless otherwise required by applicable law, if the stockholder (or a Qualified Representative of the stockholder) does not appear at the annual or special meeting of stockholders of the Corporation to present a nomination or proposed business, such nomination shall be disregarded (and any such nominee shall be disqualified from standing for election or reelection), and such proposed business shall not be transacted, notwithstanding that proxies or votes in respect thereof may have been received by the Corporation. Notwithstanding the foregoing provisions of Section 1.12, unless otherwise permitted by applicable law, no stockholder shall solicit proxies in support of director nominees other than the Corporation’s nominees unless such stockholder has complied with Rule 14a-19 promulgated under the Exchange Act in connection with the solicitation of such proxies, including the provision to the Corporation of notices required thereunder in a timely manner.
(b) The number of nominees a stockholder may nominate for election at a meeting of stockholders (or in the case of a stockholder giving the notice on behalf of a beneficial owner, the number of nominees a stockholder may nominate for election at the meeting on behalf of such beneficial owner) shall not exceed the number of directors to be elected by the stockholders generally at such meeting. In addition, a stockholder may not designate any substitute or alternate nominees unless such stockholder provides timely notice of such substitute or alternate nominee(s) in accordance with Section 1.12.1, in the case of an annual meeting, or Section 1.12.2, in the case of a special meeting (and such notice contains all of the information, representations, agreements, questionnaires and certifications with respect to such substitute or alternate nominee(s) that are required by the Bylaws with respect to nominees for director election submitted by a stockholder).
(c) Notwithstanding the foregoing provisions of this Section 1.12, a stockholder shall also comply with all applicable requirements of the Exchange Act with respect to the matters set forth herein, for the avoidance of doubt including, but not limited to, Rule 14a-19 of the Exchange Act, and any failure to comply therewith shall be deemed a failure to comply with this Section 1.12. Nothing in this Section 1.12 shall be deemed to affect any rights of (i) stockholders to request inclusion of proposals in the Corporation’s proxy statement pursuant to Rule 14a-8 under the Exchange Act or (ii) the holders of any series of the Corporation’s Preferred Stock to elect directors pursuant to any applicable provisions of the Certificate of Incorporation.
(d) For purposes of these Bylaws the following definitions shall apply:
(i) “affiliate” and “associate” shall have the meanings ascribed thereto in Rule 405 under the Securities Act of 1933, as amended (the “Securities Act”); provided, however, that the term “partner” as used in the definition of “associate” shall not include any limited partner that is not involved in the management of the relevant partnership;
(ii) “Compensation Arrangement” shall mean any direct or indirect compensatory payment or other financial agreement, arrangement or understanding with any person or entity other than the Corporation, including any agreement, arrangement or understanding with respect to any direct or indirect compensation, reimbursement or indemnification in connection with candidacy, nomination, service or action as a nominee or as a director of the Corporation;
13
(iii) “Competitor” shall mean any entity that the Board determines, in good faith, provides products or services that compete with or are alternatives to the principal products produced or services provided by the Corporation or its affiliates, a list of which entities shall be maintained by the Corporation and provided within ten (10) days following a request therefor by a stockholder;
(iv) “Derivative Instrument” shall mean any derivative interest in the Corporation’s equity securities, including without limitation any option, warrant, convertible security, stock appreciation right, cash-settled equity swap, total return swap, synthetic equity position or similar derivative arrangement or similar right with an exercise or conversion privilege or a settlement payment or mechanism at a price related to any class or series of shares of the Corporation or with a value derived in whole or in part from the value of any class or series of shares of the Corporation, whether settled in cash or stock or other property or securities;
(v) “Policies” shall mean all publicly disclosed corporate governance, conflict of interest, stock ownership requirements, confidentiality and training policies and guidelines of the Corporation applicable to directors;
(vi) “Proposing Person” shall mean (1) the Record Stockholder providing the notice of business proposed to be brought before an annual meeting or the Record Stockholder (or stockholder, in the case of a special meeting) providing notice of nomination of persons for election to the Board at a stockholder meeting, (2) any beneficial owner on whose behalf the proposal or nomination is made, and (3) any affiliate or associate of the foregoing persons;
(vii) “Public Announcement” shall mean disclosure in a press release reported by the Dow Jones News Service, Associated Press or other national news service or in a document publicly filed by the Corporation with the Securities and Exchange Commission pursuant to Section 13, 14 or 15(d) of the Exchange Act or by such other means as is reasonably designed to inform the public or stockholders of the Corporation in general of such information;
(viii) a “Qualified Representative” of a stockholder shall mean a person who is (i) a duly authorized officer, manager, trustee or partner of such stockholder or (ii) authorized by a writing executed by such stockholder or an electronic transmission delivered by such stockholder to act for such stockholder as a proxy at the meeting of stockholders, which writing or electronic transmission, or a reliable reproduction of the writing or electronic transmission must be delivered to the Secretary at the principal executive offices of the Corporation by no later than 5:00 p.m. Eastern Time on the fifth (5th) business day before such meeting of stockholders;
(ix) “Short Interest” shall mean any short interest in any security of the Corporation that a person directly or indirectly, through any contract, arrangement, understanding, relationship or otherwise, has the opportunity to profit or share in any profit derived from any increase or decrease in the value of the subject security or any other agreement, arrangement or understanding (including without limitation any borrowing or lending of shares) the effect or intent of which is to mitigate loss to or manage risk or benefit of share price changes for, or to increase or decrease the voting power of, such person with respect to any share of stock of the Corporation; and
14
(x) “Voting Commitment” shall mean any agreement, arrangement or understanding with, or any commitment or assurance given to, any person or entity as to how a person will act or vote on any issue or question as a director of the Corporation.
1.12.5 Rule 14a-8. Nothing in this Section 1.12 shall be deemed to affect any rights of stockholders to have a proposal included in the Corporation’s proxy statement pursuant to Rule 14a-8 under the Exchange Act.
ARTICLE II: BOARD OF DIRECTORS
Section 2.1: Number; Qualifications. The total number of directors constituting the Whole Board shall be fixed from time to time in the manner set forth in the Certificate of Incorporation and the term “Whole Board” shall have the meaning specified in the Certificate of Incorporation. No decrease in the authorized number of directors constituting the Whole Board shall shorten the term of any incumbent director. Directors need not be stockholders of the Corporation.
Section 2.2: Election; Resignation; Removal; Vacancies. Election of directors need not be by written ballot. Subject to the special rights of holders of any series of the Corporation’s Preferred Stock to elect directors, each director shall hold office until the annual meeting at which such director’s term expires and until such director’s successor is elected and qualified or until such director’s earlier death, resignation, disqualification or removal. Any director may resign by delivering a resignation in writing or by electronic transmission to the Corporation at its principal office or to the Chairperson of the Board, the Chief Executive Officer, or the Secretary. Such resignation shall be effective upon delivery unless it is specified to be effective at a later time or upon the happening of an event. Subject to the special rights of holders of any series of the Corporation’s Preferred Stock to elect directors, directors may be removed only as provided by the Certificate of Incorporation and applicable law. All vacancies occurring in the Board and any newly created directorships resulting from any increase in the authorized number of directors shall be filled in the manner set forth in the Certificate of Incorporation.
Section 2.3: Regular Meetings. Regular meetings of the Board may be held at such places (if any), within or without the State of Delaware, and at such times as the Board may from time to time determine. Notice of regular meetings need not be given if the date, times and places thereof are fixed by resolution of the Board.
Section 2.4: Special Meetings. Special meetings of the Board may be called by the Chairperson of the Board, the Chief Executive Officer, the Lead Independent Director or a majority of the members of the Board then in office and may be held at any time, date or place (if any), within or without the State of Delaware, as the person or persons calling the meeting shall fix. Notice of the time, date and place (if any) of such meeting shall be given, orally, in writing or by electronic transmission (including electronic mail), by or at the direction of the person or persons calling the meeting to all directors at least four (4) days before the meeting if the notice is mailed, or at least twenty-four (24) hours before the meeting if such notice is given personally or by telephone, hand delivery or electronic transmission; provided, however, that if, under the circumstances, the Chairperson of the Board, the Lead Independent Director, the Chief Executive Officer or the majority members of the Board calling a special meeting deems that more immediate action is necessary or appropriate, notice may be delivered on the day of such special meeting.
15
Unless otherwise indicated in the notice, any and all business may be transacted at a special meeting.
Section 2.5: Remote Meetings Permitted. Members of the Board, or any committee of the Board, may participate in a meeting of the Board or such committee by means of conference telephone or other communications equipment by means of which all persons participating in the meeting can hear each other, and participation in a meeting pursuant to conference telephone or other communications equipment shall constitute presence in person at such meeting.
Section 2.6: Quorum; Vote Required for Action. At all meetings of the Board, a majority of the Whole Board shall constitute a quorum for the transaction of business. If a quorum shall fail to attend any meeting, a majority of those present may adjourn the meeting to another place, date or time. Except as otherwise provided herein or in the Certificate of Incorporation, or required by applicable law, the vote of a majority of the directors present at a meeting at which a quorum is present shall be the act of the Board.
Section 2.7: Organization. Meetings of the Board shall be presided over by (a) the Chairperson of the Board, or (b) in the absence of such person, the Lead Independent Director, or (c) in such person’s absence, by the Chief Executive Officer, if a director, or (d) in such person’s absence or if such person is not a director, by a director chosen by the Board at the meeting. The Secretary shall act as secretary of the meeting, but in such person’s absence the chairperson of the meeting may appoint any person to act as secretary of the meeting.
Section 2.8: Unanimous Action by Directors in Lieu of a Meeting. Any action required or permitted to be taken at any meeting of the Board, or of any committee thereof, may be taken without a meeting if all members of the Board or such committee, as the case may be, consent thereto in writing or by electronic transmission. After an action is taken, the writing or writings or electronic transmission or transmissions shall be filed with the minutes of proceedings of the Board or the committee thereof, as applicable. Such filing shall be in paper form if the minutes are maintained in paper form and shall be in electronic form if the minutes are maintained in electronic form.
Section 2.9: Powers. The Board may exercise all of the powers of the Corporation except as otherwise provided by the DGCL, the Certificate of Incorporation or these Bylaws.
Section 2.10: Compensation of Directors. Members of the Board, as such, may receive, pursuant to a resolution of the Board, fees and other compensation for their services as directors, including without limitation their services as members of committees of the Board. No such payment shall preclude any director from serving the Corporation in any other capacity and receiving compensation therefor.
Section 2.11: Confidentiality. Each director shall (i) maintain the confidentiality of any non‑public information learned in their capacities as directors, including communications among Board members in their capacities as directors, and (ii) shall not share any such information with any third-party person or entity who has not entered into a specific written agreement with the Corporation, as approved by the Board, providing otherwise with respect to such information. The Board may adopt a board confidentiality policy further implementing and interpreting this Section 2.11 (a “Board Confidentiality Policy”).
Section 2.12 Emergency Bylaws. This Section 2.12 shall be operative during any emergency condition as contemplated by Section 110 of the DGCL (an “Emergency”), notwithstanding any different or conflicting provisions in these Bylaws, the Certificate of Incorporation or the DGCL.
16
In the event of any Emergency the director or directors in attendance at a meeting of the Board or a standing committee thereof shall constitute a quorum. Such director or directors in attendance may further take action to appoint one or more of themselves or other directors to membership on any standing or temporary committees of the Board as they shall deem necessary and appropriate. In the event that no directors are able to attend a meeting of the Board or any committee thereof in an Emergency, then the Designated Officers in attendance shall serve as directors, or committee members, as the case may be, for the meeting and will have full powers to act as directors, or committee members, as the case may be, of the Corporation. Except as the Board may otherwise determine, during any Emergency, the Corporation and its directors and officers, may exercise any authority and take any action or measure contemplated by Section 110 of the DGCL. For purposes of this Section 2.12, the term “Designated Officer” means an officer identified on a numbered list of officers of the Corporation who shall be deemed to be, in the order in which they appear on the list, directors of the Corporation, or members of a committee of the Board, as the case may be, to the extent required to obtain a quorum at a meeting, which list of Designated Officers shall be approved by the Board from time to time but in any event prior to such time or times as an Emergency may have occurred.
ARTICLE III: COMMITTEES
Section 3.1: Committees. The Board may designate one or more committees, each committee to consist of one or more of the directors of the Corporation. The Board may designate one or more directors as alternate members of any committee, who may replace any absent or disqualified member at any meeting of the committee. In the absence or disqualification of a member of the committee, the member or members thereof present at any meeting of such committee who are not disqualified from voting, whether or not such member or members constitute a quorum, may unanimously appoint another member of the Board to act at the meeting in place of any such absent or disqualified member. Any such committee, to the extent provided in a resolution of the Board, shall have and may exercise all the powers and authority of the Board in the management of the business and affairs of the Corporation and may authorize the seal of the Corporation to be affixed to all papers that may require it; but no such committee shall have the power or authority in reference to the following matters: (a) approving, adopting, or recommending to the stockholders any action or matter (other than the election or removal of members of the Board) expressly required by the DGCL to be submitted to stockholders for approval or (b) adopting, amending or repealing any bylaw of the Corporation.
Section 3.2: Committee Rules. Each committee shall keep records of its proceedings and make such reports as the Board may from time to time request. Unless the Board otherwise provides, each committee designated by the Board may make, alter and repeal rules for the conduct of its business. In the absence of such rules, each committee shall conduct its business in the same manner as the Board conducts its business pursuant to Article II of these Bylaws. Except as otherwise provided in the Certificate of Incorporation, these Bylaws or the resolution of the Board designating the committee, any committee may create one or more subcommittees, each subcommittee to consist of one or more members of the committee, and may delegate to any such subcommittee any or all of the powers and authority of the committee.
ARTICLE IV: OFFICERS; CHAIRPERSON; LEAD INDEPENDENT DIRECTOR
Section 4.1: Generally. The officers of the Corporation shall consist of a Chief Executive Officer (who may be the Chairperson of the Board or the President), a President, a Secretary and a Treasurer and may consist of such other officers, including, without limitation, a Chief Financial Officer, and one or more Vice Presidents, Assistant Secretaries or Assistant Treasurers, as may from time to time be appointed by the Board.
17
All officers shall be elected by the Board; provided, however, that the Board may empower the Chief Executive Officer of the Corporation to appoint any officer other than the Chief Executive Officer, the President, the Chief Financial Officer or the Treasurer. Except as otherwise provided by applicable law, by the Certificate of Incorporation or these Bylaws, each officer shall hold office until such officer’s successor is duly elected and qualified or until such officer’s earlier resignation, death, disqualification or removal. Any number of offices may be held by the same person. Any officer may resign by delivering a resignation in writing or by electronic transmission to the Corporation at its principal office or to the Chairperson of the Board, the Chief Executive Officer, or the Secretary. Such resignation shall be effective upon delivery unless it is specified to be effective at some later time or upon the happening of some later event. Any vacancy occurring in any office of the Corporation by death, resignation, removal or otherwise may be filled by the Board (or, if empowered by the Board, the Chief Executive Officer) and the Board may, in its discretion, leave unfilled, for such period as it may determine, any offices. Each such successor shall hold office for the unexpired term of such officer’s predecessor and until a successor is duly elected and qualified or until such officer’s earlier resignation, death, disqualification or removal.
Section 4.2: Chief Executive Officer. Subject to the control of the Board and such supervisory powers, if any, as may be given by the Board, the powers and duties of the Chief Executive Officer of the Corporation are:
(a) to have general supervision, direction and control of the business and affairs of the Corporation; and
(b) to affix the signature of the Corporation to all deeds, conveyances, mortgages, guarantees, leases, obligations, bonds, certificates and other papers and instruments in writing which have been authorized by the Board or which, in the judgment of the Chief Executive Officer, should be executed on behalf of the Corporation; to sign certificates for shares of stock of the Corporation (if any); and to have general charge of the property of the Corporation and to supervise and control all officers, agents and employees of the Corporation.
The person holding the office of President shall be the Chief Executive Officer of the Corporation unless the Board shall designate another person to be the Chief Executive Officer.
Section 4.3: Chairperson of the Board. Subject to the provisions of Section 2.7 of these Bylaws, the Chairperson of the Board shall have the power to preside at all meetings of the Board and shall have such other powers and duties as provided in these Bylaws and as the Board may from time to time prescribe. The Chairperson of the Board shall not be deemed an officer of the Corporation unless otherwise determined by the Board.
Section 4.4: Lead Independent Director. The Board may, in its discretion, elect a lead independent director from among its members that are independent directors as determined under rules of the exchange upon which the Corporation’s Common Stock is primarily traded (such director, the “Lead Independent Director”). The Lead Independent Director shall preside at all meetings or sessions of independent directors and exercise such other powers and duties as may from time to time be assigned to him or her by the Board or as prescribed by these Bylaws.
18
Section 4.5: President. The person holding the office of Chief Executive Officer shall be the President of the Corporation unless the Board shall have designated one individual as the President and a different individual as the Chief Executive Officer of the Corporation. Subject to the provisions of these Bylaws and to the direction of the Board, and subject to the supervisory powers of the Chief Executive Officer (if the Chief Executive Officer is an officer other than the President), and subject to such supervisory powers and authority as may be given by the Board to the Chairperson of the Board, and/or to any other officer, the President shall have the responsibility for the general management and control of the business and affairs of the Corporation and the general supervision and direction of all of the officers, employees and agents of the Corporation (other than the Chief Executive Officer, if the Chief Executive Officer is an officer other than the President) and shall perform all duties and have all powers that are commonly incident to the office of President, or as the Board or the Chief Executive Officer may from time to time prescribe.
Section 4.6: Chief Financial Officer. The person holding the office of Chief Financial Officer shall be the Treasurer of the Corporation unless the Board shall have designated another person as the Treasurer of the Corporation. Subject to the direction of the Board and the Chief Executive Officer, the Chief Financial Officer shall perform all duties and have all powers that are commonly incident to the office of Chief Financial Officer, or as the Board or the Chief Executive Officer may from time to time prescribe.
Section 4.7: Treasurer. The person holding the office of Treasurer shall be the Chief Financial Officer of the Corporation unless the Board shall have designated another person as the Chief Financial Officer of the Corporation. The Treasurer shall have custody of all monies and securities of the Corporation. The Treasurer shall make such disbursements of the funds of the Corporation as are authorized and shall render from time to time an account of all such transactions. The Treasurer shall also perform such other duties and have such other powers as are commonly incident to the office of Treasurer, or as the Board or the Chief Executive Officer may from time to time prescribe.
Section 4.8: Vice President. Each Vice President shall have all such powers and duties as are commonly incident to the office of Vice President or as the Board or the Chief Executive Officer may from time to time prescribe. A Vice President may be designated by the Board to perform the duties and exercise the powers of the President in the event of the President’s absence or disability.
Section 4.9: Secretary. The Secretary shall issue or cause to be issued all authorized notices for, and shall keep, or cause to be kept, minutes of all meetings of the stockholders and the Board. The Secretary shall have charge of the corporate minute books and similar records and shall perform such other duties and have such other powers as are commonly incident to the office of Secretary, or as the Board or the Chief Executive Officer may from time to time prescribe.
Section 4.10: Delegation of Authority. The Board may from time to time delegate the powers or duties of any officer of the Corporation to any other officers or agents of the Corporation, notwithstanding any provision hereof.
Section 4.11: Removal. Any officer of the Corporation shall serve at the pleasure of the Board and may be removed at any time, with or without cause, by the Board; provided that if the Board has empowered the Chief Executive Officer to appoint any officer of the Corporation, then such officer may also be removed by the Chief Executive Officer, with or without cause. Such removal shall be without prejudice to the contractual rights of such officer, if any, with the Corporation.
19
ARTICLE V: STOCK
Section 5.1: Certificates; Uncertificated Shares. The shares of capital stock of the Corporation shall be uncertificated shares; provided, however, that the resolution of the Board that the shares of capital stock of the Corporation shall be uncertificated shares shall not apply to shares represented by a certificate until such certificate is surrendered to the Corporation (or the transfer agent or registrar, as the case may be). Notwithstanding the foregoing, the Board may provide by resolution or resolutions that some or all of any or all classes or series of its stock shall be certificated shares. Every holder of stock represented by certificates shall be entitled to have a certificate signed by, or in the name of the Corporation, by any two authorized officers of the Corporation (it being understood that each of the Chairperson of the Board, the Vice-Chairperson of the Board, the Chief Executive Officer, the President, the Chief Financial Officer, any Vice President, the Treasurer, any Assistant Treasurer, the Secretary and any Assistant Secretary of the Corporation shall be an authorized officer for such purpose), representing the number of shares registered in certificate form. Any or all of the signatures on the certificate may be a facsimile. In case any officer, transfer agent or registrar who has signed or whose facsimile signature has been placed upon a certificate shall have ceased to be such officer, transfer agent or registrar before such certificate is issued, it may be issued by the Corporation with the same effect as if such person were an officer, transfer agent or registrar at the date of issue.
Section 5.2: Lost, Stolen or Destroyed Stock Certificates; Issuance of New Certificates or Uncertificated Shares. The Corporation may issue a new certificate of stock or uncertificated shares in the place of any certificate previously issued by it, alleged to have been lost, stolen or destroyed, upon the making of an affidavit of that fact by the person claiming the certificate of stock to be lost, stolen or destroyed, and the Corporation may require the owner of the lost, stolen or destroyed certificate, or such owner’s legal representative to give the Corporation a bond sufficient to indemnify it, against any claim that may be made against it on account of the alleged loss, theft or destruction of any such certificate or the issuance of such new certificate or uncertificated shares.
Section 5.3: Other Regulations. Subject to applicable law, the Certificate of Incorporation and these Bylaws, the issue, transfer, conversion and registration of shares represented by certificates and of uncertificated shares shall be governed by such other regulations as the Board may establish (or such other rules and procedures as the Corporation’s transfer agent may require).
ARTICLE VI: INDEMNIFICATION
Section 6.1: Indemnification of Officers and Directors.
20
Each person who was or is made a party to, or is threatened to be made a party to, or is involved in any threatened, pending or completed action, suit or proceeding, whether civil, criminal, administrative, legislative, investigative, preliminary, informal or formal, or any other type whatsoever, including any investigation or any arbitration or other alternative dispute resolution (including but not limited to giving testimony or responding to a subpoena) and including any appeal of any of the foregoing (a “Proceeding”), by reason of the fact that such person (or a person of whom such person is the legal representative), is or was a director or officer of the Corporation designated by the Board to be entitled to the indemnification and advancement rights set forth in this Article VI or a Reincorporated Predecessor (as defined below) or, while serving as a director or officer of the Corporation or a Reincorporated Predecessor, is or was serving at the request of the Corporation as a director, officer, employee, agent or trustee of another corporation, or of a partnership, joint venture, trust or other enterprise or non-profit entity, including service with respect to employee benefit plans (for purposes of this Article VI, an “Indemnitee”), shall be indemnified and held harmless by the Corporation to the fullest extent permitted by the DGCL as the same exists or may hereafter be amended (but, in the case of any such amendment, only to the extent that such amendment permits the Corporation to provide broader indemnification rights than such law permitted the Corporation to provide prior to such amendment), against all expenses, costs, liability and loss (including attorneys’ fees, judgments, fines, ERISA excise taxes and penalties and amounts paid or to be paid in settlement) reasonably incurred or suffered by such Indemnitee in connection therewith, provided such Indemnitee acted in good faith and in a manner that the Indemnitee reasonably believed to be in or not opposed to the best interests of the Corporation, and, with respect to any criminal Proceeding, had no reasonable cause to believe the Indemnitee’s conduct was unlawful. Such indemnification shall continue as to an Indemnitee who has ceased to be a director or officer of the Corporation or a Reincorporated Predecessor (as defined below) or, while serving as a director or officer of the Corporation or a Reincorporated Predecessor, is or was serving at the request of the Corporation as a director, officer, employee, agent or trustee of another corporation, or of a partnership, joint venture, trust or other enterprise or non-profit entity, including service with respect to employee benefit plans and shall inure to the benefit of such Indemnitees’ heirs, executors and administrators. Notwithstanding the foregoing, subject to Section 6.5 of this Article VI, the Corporation shall indemnify any such Indemnitee seeking indemnity in connection with a Proceeding (or part thereof) initiated by such Indemnitee only if such Proceeding (or part thereof) was authorized by the Board or such indemnification is authorized by an agreement approved by the Board. As used in this Article VI, (i) the term the “Reincorporated Predecessor” means a corporation that is merged with and into the Corporation in a statutory merger where (a) the Corporation is the surviving corporation of such merger, and (b) the primary purpose of such merger is to change the corporate domicile of the Reincorporated Predecessor to Delaware, and (ii) an “officer” of the Corporation or of a Reincorporated Predecessor means an officer of the Corporation or of a Reincorporated Predecessor elected or appointed by the Board or governing body thereof, as applicable.
Section 6.2: Advancement of Expenses. Except as otherwise provided in a written indemnification agreement between the Corporation and the Indemnitee, the Corporation shall pay all reasonable expenses (including attorneys’ fees) incurred by an Indemnitee in defending any Proceeding in advance of its final disposition; provided, however, that the advancement of such expenses (i.e., payment of such expenses as incurred or otherwise in advance of the final disposition of the Proceeding) shall be made only upon delivery to the Corporation of an undertaking, by or on behalf of such Indemnitee, to repay such amounts if it shall ultimately be determined by final judicial decision from which there is no appeal that such Indemnitee is not entitled to be indemnified under this Article VI or otherwise. Any advances of expenses or undertakings to repay pursuant to this Section 6.2 shall be unsecured, interest free and without regard to Indemnitee’s ability to pay.
Section 6.3: Non-Exclusivity of Rights. The rights conferred on any person in this Article VI shall not be exclusive of any other right that such person may have or hereafter acquire under any statute, provision of the Certificate of Incorporation, Bylaws, agreement, vote or consent of stockholders or disinterested directors, or otherwise.
21
Section 6.4: Indemnification of Others and Additional Rights. The Corporation may grant rights to indemnification and to the advancement of expenses to any person who is or was a director, officer, employee or agent of the Corporation or Reincorporated Predecessor, or any person who is or was serving at the request of the Corporation as a director, officer, employee, agent or trustee of another corporation, partnership, joint venture, trust or other enterprise or non-profit entity, including employee benefit plans. Such rights may be greater than those provided in this Article VI.
Section 6.5: Right of Indemnitee to Bring Suit. The following shall apply to the extent not in conflict with any written indemnification agreement between the Corporation and the Indemnitee:
6.5.1 Right to Bring Suit. If a claim under Section 6.1 or 6.2 of this Article VI is not paid in full by the Corporation within sixty (60) days after a written claim has been received by the Corporation, except in the case of a claim for an advancement of expenses, in which case the applicable period shall be twenty (20) days, the Indemnitee may at any time thereafter bring suit against the Corporation to recover the unpaid amount of the claim. If the Indemnitee is successful in whole or in part in any such suit, or in a suit brought by the Corporation to recover an advancement of expenses pursuant to the terms of an undertaking, the Indemnitee also shall be entitled to be paid, to the fullest extent permitted by applicable law, the expense of prosecuting or defending such suit. In any suit brought by the Indemnitee to enforce a right to indemnification hereunder (but not in a suit brought by the Indemnitee to enforce a right to an advancement of expenses) it shall be a defense that the Indemnitee has not met any applicable standard for indemnification set forth in applicable law. In any suit brought by the Corporation to recover the advancement of expenses pursuant to the terms of an undertaking, the Corporation shall be entitled to recover such expenses upon a final adjudication that, the Indemnitee has not met any applicable standard for indemnification set forth in applicable law.
6.5.2 Effect of Determination. Neither the absence of a determination by or on behalf of the Corporation prior to the commencement of such suit that indemnification of the Indemnitee is proper in the circumstances because the Indemnitee has met the applicable standard of conduct set forth in applicable law, nor an actual determination by or on behalf of the Corporation that the Indemnitee has not met such applicable standard of conduct, shall create a presumption that the Indemnitee has not met the applicable standard of conduct or, in the case of such a suit brought by the Indemnitee, be a defense to such suit.
6.5.3 Burden of Proof. In any suit brought by the Indemnitee to enforce a right to indemnification or to an advancement of expenses hereunder, or brought by the Corporation to recover an advancement of expenses pursuant to the terms of an undertaking, the burden of proving that the Indemnitee is not entitled to be indemnified, or to such advancement of expenses, under this Article VI, or otherwise, shall be on the Corporation.
Section 6.6: Nature of Rights. The rights conferred upon Indemnitees in this Article VI shall be contract rights and such rights shall continue as to an Indemnitee who has ceased to be a director or officer and shall inure to the benefit of the Indemnitee’s heirs, executors and administrators.
Section 6.7: Amendment or Repeal. Any amendment, repeal or modification of any provision of this Article VI that adversely affects any right of an Indemnitee or an Indemnitee’s successors shall be prospective only, and shall not adversely affect any right or protection conferred on a person pursuant to this Article VI and existing at the time of such amendment, repeal or modification.
22
Section 6.8: Insurance. The Corporation may purchase and maintain insurance, at its expense, to protect itself and any director, officer, employee or agent of the Corporation or another corporation, partnership, joint venture, trust or other enterprise or non-profit entity against any expense, liability or loss, whether or not the Corporation would have the power to indemnify such person against such expense, liability or loss under the DGCL.
Section 6.9: Indemnification for Successful Defense. To the extent that an Indemnitee has been successful on the merits or otherwise in defense of any Proceeding (or in defense of any claim, issue or matter therein), such Indemnitee shall be indemnified under this Section 6.9 against expenses (including attorneys’ fees) actually and reasonably incurred in connection with such defense. Indemnification under this Section 6.9 shall not be subject to satisfaction of a standard of conduct, and the Corporation may not assert the failure to satisfy a standard of conduct as a basis to deny indemnification or recover amounts advanced, including in a suit brought pursuant to Section 6.5 (notwithstanding anything to the contrary therein); provided, however, that, any Indemnitee who is not a current or former director or officer (as such term is defined in the final sentence of Section 145(c)(1) of the DGCL) shall be entitled to indemnification under Section 6.1 and this Section 6.9 only if such Indemnitee has satisfied the applicable standard of conduct required for indemnification under Section 145(a) or Section 145(b) of the DGCL.
ARTICLE VII:NOTICES
Section 7.1: Notice.
7.1.1 Form and Delivery. Except as otherwise required by applicable law, notice may be given in writing directed to a stockholder’s mailing address as it appears on the records of the Corporation and shall be given: (a) if mailed, when notice is deposited in the U.S. mail, postage prepaid; and (b) if delivered by courier service, the earlier of when the notice is received or left at such stockholder’s address. So long as the Corporation is subject to the Securities and Exchange Commission’s proxy rules set forth in Regulation 14A under the Exchange Act, notice shall be given in the manner required by such rules. To the extent permitted by such rules, or if the Corporation is not subject to Regulation 14A, notice may be given by electronic mail directed to the stockholder’s electronic mail address as it appears on the records of the Corporation, and if so given, shall be given when directed to such stockholder’s electronic mail address unless the stockholder has notified the Corporation in writing or by electronic transmission of an objection to receiving notice by electronic mail or such notice is prohibited by Section 232(e) of the DGCL. If notice is given by electronic mail, such notice shall comply with the applicable provisions of Sections 232(a) and 232(d) of the DGCL. Notice may be given by other forms of electronic transmission with the consent of a stockholder in the manner permitted by Section 232(b) of the DGCL and shall be deemed given as provided therein.
7.1.2 Affidavit of Giving Notice. An affidavit of the Secretary or an Assistant Secretary of the Corporation or of the transfer agent or other agent of the Corporation that the notice has been given shall, in the absence of fraud, be prima facie evidence of the facts stated therein.
Section 7.2: Waiver of Notice. Whenever notice is required to be given under any provision of the DGCL, the Certificate of Incorporation or these Bylaws, a written waiver of notice, signed by the person entitled to notice, or waiver by electronic transmission by such person, whether before or after the time stated therein, shall be deemed equivalent to notice.
23
Attendance of a person at a meeting shall constitute a waiver of notice of such meeting, except when the person attends a meeting for the express purpose of objecting at the beginning of the meeting to the transaction of any business because the meeting is not lawfully called or convened. Neither the business to be transacted at, nor the purpose of, any regular or special meeting of the stockholders, directors or members of a committee of directors need be specified in any waiver of notice.
ARTICLE VIII: INTERESTED DIRECTORS
Section 8.1: Interested Directors. No contract or transaction between the Corporation and one or more of its directors or officers, or between the Corporation and any other corporation, partnership, association or other organization in which one or more of its directors or officers are directors or officers of such other corporation, or have a financial interest, shall be void or voidable solely for this reason, or solely because the director or officer is present at or participates in the meeting of the Board or committee thereof that authorizes the contract or transaction, or solely because his, her or their votes are counted for such purpose, if: (a) the material facts as to his, her or their relationship or interest and as to the contract or transaction are disclosed or are known to the Board or the committee, and the Board or committee in good faith authorizes the contract or transaction by the affirmative votes of a majority of the disinterested directors, even though the disinterested directors be less than a quorum, (b) the material facts as to his, her or their relationship or interest and as to the contract or transaction are disclosed or are known to the stockholders entitled to vote thereon, and the contract or transaction is specifically approved in good faith by vote of the stockholders, or (c) the contract or transaction is fair as to the Corporation as of the time it is authorized, approved or ratified by the Board, a committee thereof, or the stockholders.
Section 8.2: Quorum. Common or interested directors may be counted in determining the presence of a quorum at a meeting of the Board or of a committee which authorizes the contract or transaction described in Section 8.1.
ARTICLE IX: MISCELLANEOUS
Section 9.1: Fiscal Year. The fiscal year of the Corporation shall be determined by resolution of the Board.
Section 9.2: Seal. The Board may provide for a corporate seal, which may have the name of the Corporation inscribed thereon and shall otherwise be in such form as may be approved from time to time by the Board.
Section 9.3: Form of Records. Any records administered by or on behalf of the Corporation in the regular course of its business, including its stock ledger, books of account and minute books, may be kept on or by means of, or be in the form of, any other information storage device, method or one or more electronic networks or databases (including one or more distributed electronic networks or databases), electronic or otherwise, provided that the records so kept can be converted into clearly legible paper form within a reasonable time and otherwise comply with the DGCL. The Corporation shall so convert any records so kept upon the request of any person entitled to inspect such records pursuant to any provision of the DGCL.
Section 9.4: Reliance Upon Books and Records. A member of the Board, or a member of any committee designated by the Board shall, in the performance of such person’s duties, be fully protected in relying in good faith upon the books and records of the Corporation and upon such information, opinions, reports or statements presented to the Corporation by any of the Corporation’s officers or employees, or committees of the Board, or by any other person as to matters the member reasonably believes are within such other person’s professional or expert competence and who has been selected with reasonable care by or on behalf of the Corporation.
24
Section 9.5: Certificate of Incorporation Governs. In the event of any conflict between the provisions of the Certificate of Incorporation and these Bylaws, the provisions of the Certificate of Incorporation shall govern.
Section 9.6: Severability. If any provision of these Bylaws shall be held to be invalid, illegal, unenforceable or in conflict with the provisions of the Certificate of Incorporation, then such provision shall nonetheless be enforced to the maximum extent possible consistent with such holding and the remaining provisions of these Bylaws (including without limitation, all portions of any section of these Bylaws containing any such provision held to be invalid, illegal, unenforceable or in conflict with the Certificate of Incorporation, that are not themselves invalid, illegal, unenforceable or in conflict with the Certificate of Incorporation) shall remain in full force and effect.
Section 9.7: Time Periods. In applying any provision of these Bylaws which requires that an act be done or not be done a specified number of days prior to an event or that an act be done during a period of a specified number of days prior to an event, calendar days shall be used (unless otherwise specified herein), the day of the doing of the act shall be excluded, and the day of the event shall be included.
ARTICLE X: AMENDMENT
Notwithstanding any other provision of these Bylaws, any alteration, amendment or repeal of these Bylaws, and any adoption of new Bylaws, shall require the approval of the Board or the stockholders of the Corporation as expressly provided in the Certificate of Incorporation.
25
CERTIFICATION OF AMENDED AND RESTATED BYLAWS
OF
MAZE THERAPEUTICS, INC.
(a Delaware Corporation)
I, Courtney Phillips, certify that I am Secretary of Maze Therapeutics, a Delaware corporation (the “Corporation”), that I am duly authorized to make and deliver this certification, that the attached Bylaws are a true and complete copy of the Amended and Restated Bylaws of the Corporation in effect as of the date of this certificate.
Dated: February 3, 2025
/s/ Courtney Phillips
Courtney Phillips
General Counsel and Corporate Secretary SECOND AMENDMENT TO LOAN AND SECURITY AGREEMENT
26
Exhibit 10.17
This Second Amendment to Loan and Security Agreement (this “Amendment”) is entered into as of March 28, 2025, by and between BANC OF CALIFORNIA, a California state-chartered bank (“Bank”), and MAZE THERAPEUTICS, INC., a Delaware corporation (“Borrower”).
RECITALS
A. Borrower and Bank are parties to that certain Loan and Security Agreement dated as of June 27, 2022, as amended by that certain First Amendment and Waiver to Loan and Security Agreement dated as of March 25, 2024 (as the same may be further amended, restated, supplemented, or otherwise modified from time to time, collectively, the “Agreement”).
B. Borrower and Bank agree that Borrower has achieved the Funding Milestone.
C. Borrower and Bank wish to amend certain provisions of the Agreement in accordance with the terms of this Amendment.
NOW, THEREFORE, the parties agree as follows:
(c) Conversion into Term Loan. The aggregate principal amount of the Advances outstanding on the Revolving Maturity Date shall, at Borrower’s option, convert into a Term Loan (the “Term Loan”). Any Advances not converted to into a Term Loan shall be due and payable on the Revolving Maturity Date, together with any interest outstanding on such Advances. Any Term Loan that is outstanding on June 27, 2026, shall be payable in eighteen (18) equal monthly installments of principal, plus all accrued interest, beginning on July 27, 2026, and continuing on the same day of each month thereafter through the Maturity Date, at which time all amounts outstanding under this Agreement shall be immediately due and payable. Borrower may prepay all or any part of the Term Loan, but no amount, once repaid, may be reborrowed.
(b) Interest Rates. Except as set forth in Section 2.3(a), the Advances or Term Loan, as applicable, shall bear interest, on the outstanding daily balance thereof, at a variable annual rate equal to the greater of: (A) 0.75% above the Prime Rate then in effect; and (B) 4.50%.
(c) Payments. Interest under the Revolving Line or Term Loan, as applicable, shall be due and payable on the 27th calendar day of each month during the term hereof. Borrower authorizes Bank to, at its option, charge such interest, all Bank Expenses, all Periodic Payments, and any other amounts due and owing in accordance with the terms of this Agreement against any of Borrower’s deposit accounts or against the Revolving Line, in which case those amounts shall thereafter accrue interest at the rate then applicable hereunder. Any interest not
1
paid when due shall be compounded by becoming a part of the Obligations, and such interest shall thereafter accrue interest at the rate then applicable hereunder.
“Maturity Date” means December 27, 2027.
“Revolving Maturity Date” means June 27, 2026.
2
[REMAINDER OF PAGE INTENTIONALLY LEFT BLANK]
3
[SIGNATURE PAGE TO SECOND AMENDMENT TO LOAN AND SECURITY AGREEMENT]
IN WITNESS WHEREOF, the undersigned have executed this Amendment as of the first date above written.
MAZE THERAPEUTICS, INC.
By: /s/ Jason Coloma
Name: Jason Coloma, Ph.D.
Title: Chief Executive Officer
BANC OF CALIFORNIA
By:/s/ Steve Kent
Name: Steve Kent
Title: Vice President
Exhibit 19.1
INSIDER TRADING POLICY
THIS POLICY WAS APPROVED BY THE BOARD ON DECEMBER 9, 2024
Maze Therapeutics, Inc. (the “Company,” “we,” “us” or “our”) is committed to promoting high standards of honest and ethical business conduct and compliance with laws, rules and regulations. Because stock is an important part of the Company’s compensation program, our Board of Directors (“Board”) has adopted this Insider Trading Policy (this “Policy”) governing the purchase, sale and other dispositions (“trades”) of the Company’s securities by the individuals and entities covered by this Policy to promote compliance with insider trading laws, rules and regulations, as well as applicable stock exchange listing standards.
Insider trading happens when someone who is in possession of material nonpublic information (“MNPI”) trades securities on the basis of that information or discloses MNPI to someone else who trades on the basis of that information, also known as “tipping.”
If you are considering trading our stock or other securities, please keep these three key points in mind:
You are responsible for understanding and following this Policy and for the consequences of any actions you may take. Our Compliance Officer will assist with implementing, interpreting and enforcing this Policy, pre-clearing trading activities of certain people, and pre-approving any 10b5-1 Plans (as defined and discussed more fully later in this Policy).
This Policy applies to our employees, contractors, consultants and directors, as well as to their immediate family members, people sharing their households and anyone subject to their influence or control. An “immediate family member” under this Policy means any child, stepchild, parent, stepparent, spouse, domestic partner, sibling, mother-in-law, father-in-law, son-in-law, daughter-in-law, brother-in-law, or sister-in-law, and includes any person (other than a tenant or employee) sharing the household. We will refer to the individuals and entities to whom this Policy applies individually as “you” and “Insider” and collectively as “Insiders.” You are responsible for ensuring that your immediate family members, people sharing your household, and anyone subject to your influence or control complies with this Policy.
This Policy also applies to entities such as venture capital funds, partnerships, trusts and corporations which are associated or affiliated with our employees, contractors, consultants and directors. Notwithstanding the foregoing, in the event that you are serving as a director of the
Maze Therapeutics, Inc.
Insider Trading Policy Board at the request or direction of a venture capital fund or other entity and/or certain of its affiliates, this Policy does not cover such venture capital fund and its affiliates so long as such venture capital fund and/or its affiliates: (a) engage in the investment of securities in the ordinary course of their respective businesses; (b) have established insider trading controls and procedures in compliance with applicable securities laws; and (c) are aware such securities laws prohibit any person or entity who has MNPI concerning the Company from purchasing or selling securities of the Company or from communicating such information to any other person under circumstances in which it is reasonably foreseeable that such person is likely to purchase or sell securities.
Additional trading restrictions in this Policy apply to our officers (as defined in Rule 16a-1(f) of the Securities Exchange Act of 1934, as amended (the “Exchange Act”)) and directors (together with the officers, the “Section 16 Insiders”).
If your employment or service relationship with the Company ends, then you still may not trade our securities if you are aware of MNPI. You may not trade our securities until that MNPI has become public or is no longer material.
Additionally, the Company will not transact in its securities unless in compliance with U.S. securities laws.
The primary purpose of this Policy is to prevent people who are in possession of MNPI from trading in our stock or other securities on the basis of that MNPI or disclosing MNPI to someone else who trades on the basis of that information.
“Material information” is information about the Company, positive or negative, that a reasonable stockholder would consider important in making a decision to purchase or sell the Company’s securities. It is not always easy to identify material information, but there is one important factor: whether the information could be expected to make our stock price go up or down. Material information can relate to virtually any aspect of the Company’s business or its securities.
Examples of material information may include:
Maze Therapeutics, Inc. 2 Insider Trading Policy significant cybersecurity incidents or data breaches;
This list is illustrative only and is not intended to provide a comprehensive list of circumstances that could result in material information. Determination of what may constitute material information will depend upon the facts and circumstances in each particular situation.
“Nonpublic” for the purpose of the prohibition on trading when you have MNPI means information before it is publicly disclosed in a press release, a filing with the U.S. Securities and Exchange Commission (the “SEC”), or other widely disclosed announcement. Once information is publicly disclosed, it is still necessary to give the investing public sufficient time to absorb the information. For the purposes of this Policy, information will be considered publicly disclosed after the close of trading on the next full trading day following the date of public disclosure.
Please remember that we may possess MNPI or other confidential information relating to or belonging to our collaborators, partners or other third parties and that it is equally important that we treat this information with the same care with which we treat our own information.
This Policy applies to all transactions involving our securities, including common stock, restricted stock units (“RSUs”), options and warrants to purchase common stock and any other debt or equity securities the Company may issue from time to time, such as bonds, preferred stock, convertible notes, as well as to derivative securities relating to the Company’s securities, whether or not issued by the Company, such as exchange-traded options.
Insider Restrictions
The following is a list of prohibited activities for all Insiders:
Maze Therapeutics, Inc. 3 Insider Trading Policy Trade our securities while in possession of MNPI (other than pursuant to a 10b5-1 Plan (as defined below) entered into in accordance with this Policy).
Exceptions to Prohibited Activities
The trading restrictions of this Policy do not apply to the following:
Maze Therapeutics, Inc. 4 Insider Trading Policy 401(k) Plan.
Other Legal Restrictions
The trading prohibitions of this Policy are not the only stock-trading rules and regulations you need to follow. You should be aware of additional prohibitions and restrictions set by contract or by federal and state securities laws and regulations (e.g., contractual restrictions on the resale of securities, rules on short swing trading by Section 16 Insiders, compliance with Rule 144 under the Securities Act of 1933, as amended, and others). Any Insider who is uncertain whether other prohibitions or restrictions apply should ask our Compliance Officer.
To promote compliance with insider trading laws, we have designated periods where Insiders can trade in our securities, which are described below:
Trading Windows, Blackout Periods, and Pre-Clearance
Maze Therapeutics, Inc.
Maze Therapeutics, Inc. 6 Insider Trading Policy Under Rule 10b5-1 of the Exchange Act, an Insider may establish a written trading plan under which a broker is instructed to trade the Company’s securities based on pre-determined criteria (a “10b5-1 Plan”).
10b5-1 Plans
We allow Insiders to trade in our securities while in possession of MNPI, outside of a Trading Window or during a Blackout Period only under a 10b5-1 Plan.
If a 10b5-1 Plan is properly established, trades of the Company’s securities under that 10b5-1 Plan are not subject to this Policy. To be properly established, an Insider’s 10b5-1 Plan must be: (a) established in compliance with the requirements of Rule 10b5-1 of the Exchange Act; (b) established in compliance with the Company’s 10b5-1 Plan guidelines at a time when the Insider was not aware of any MNPI relating to the Company; (c) established when the Company is not in a Blackout Period; and (d) reviewed and approved by the Compliance Officer (or in the case of the Compliance Officer, by the Chief Executive Officer, Chief Financial Officer, or Head of Finance).
We recommend Section 16 Insiders trade in our securities only pursuant to a 10b5-1 Plan entered into in accordance with this Policy.
Other Trading Arrangements
Insiders are not allowed to enter into “non-Rule 10b5-1 trading arrangements” (as defined in Regulation S-K Item 408(c)) unless otherwise approved in advance by the Compliance Officer.
The consequences of violating the insider trading laws, including tipping, can be severe. Liability can extend both to the “tipper” – the Insider himself or herself – and the “tippee” – the person to whom the Insider disclosed MNPI. People who violate insider trading laws may be required to disgorge profits made or losses avoided by trading, pay the loss suffered by the persons who purchased securities from or sold securities to the tippee, pay civil fines of up to three times the profit made or loss avoided, pay a criminal penalty of up to $5 million for individuals and $25 million for entities and serve a prison term of up to 20 years. In addition, individual directors, officers and other supervisory personnel may also be required to pay major civil or criminal penalties for failure to take appropriate steps to prevent insider trading by those under their supervision, influence or control.
We may impose discipline on anyone violating this Policy, up to and including termination of employment, and we may issue stop transfer orders to our transfer agent to prevent any attempted trades that would violate this Policy.
The Compliance Officer will administer and interpret this Policy and enforce compliance as needed. The Compliance Officer may consult with the Company’s outside legal counsel as
Maze Therapeutics, Inc. 7 Insider Trading Policy needed.
The Compliance Officer may designate other individuals to perform the Compliance Officer’s duties under this Policy.
Neither the Company nor the Compliance Officer will be liable for any act made under this Policy. Neither the Company nor the Compliance Officer is responsible for any failure to approve a trade or for imposing any Blackout Period.
Any Insider who violates this Policy or any federal or state laws governing insider trading or tipping, or who knows of any such violation by any other Insider, must report the violation immediately to our Compliance Officer. To anonymously submit a concern or complaint regarding a possible violation of this Policy, you should follow the procedures outlined in our Whistleblower Policy. Anyone who violates this Policy may be subject to disciplinary measures, which may include termination of employment.
Our Board reserves the right in its sole discretion to modify or grant waivers to this Policy. Any amendments or waiver may be publicly disclosed if required by applicable laws, rules and regulations. For the avoidance of doubt, unless explicitly stated by the Board, any waiver, amendment or modification of the Policy by the Board shall not be considered a waiver of the Company’s Code of Business Conduct and Ethics.
We will not transact in our securities unless in compliance with applicable U.S. securities laws, rules and regulations and applicable Nasdaq listing standards.
The effective date of this Policy is January 30, 2025.
Maze Therapeutics, Inc. 8 Insider Trading Policy
Exhibit 21.1
Subsidiaries of the Registrant
None.
Exhibit 23.1
Consent of Independent Registered Public Accounting Firm
We consent to the incorporation by reference in the Registration Statement (Form S-8 No 333-284652) of Maze Therapeutics, Inc. of our report dated March 31, 2025, with respect to the financial statements of Maze Therapeutics, Inc. included in this Annual Report (Form 10-K) of Maze Therapeutics, Inc. for the year ended December 31, 2024.
/s/ Ernst & Young LLP
San Mateo, California
March 31, 2025
Exhibit 31.1
CERTIFICATION OF PERIODIC REPORT UNDER SECTION 302 OF
THE SARBANES-OXLEY ACT OF 2002
I, Jason Coloma, Ph.D., certify that:
Date: March 31, 2025
By: |
|
/s/ Jason Coloma |
|
|
Jason Coloma, Ph.D. |
|
|
Chief Executive Officer (Principal Executive and Principal Financial Officer) |
Exhibit 32.1
CERTIFICATION OF CHIEF EXECUTIVE OFFICER PURSUANT TO 18 U.S.C. SECTION 1350, AS ADOPTED PURSUANT TO SECTION 906 OF THE SARBANES-OXLEY ACT OF 2002
Pursuant to the requirement set forth in Rule 13a-14(b) of the Securities Exchange Act of 1934, as amended, (the “Exchange Act”) and Section 1350 of Chapter 63 of Title 18 of the United States Code (18 U.S.C. §1350), I, Jason Coloma, Ph.D., Chief Executive Officer of Maze Therapeutics Inc. (the “Company”), hereby certify that:
Date: March 31, 2025
By: |
|
/s/ Jason Coloma |
|
|
Jason Coloma, Ph.D. |
|
|
Chief Executive Officer (Principal Executive and Principal Financial Officer) |
|
|
|
|
|
|
|
|
|
Exhibit 97.1
Maze Therapeutics, Inc.
Compensation Recovery Policy
The Board of Directors (“Board”) has determined that it is in the best interests of Maze Therapeutics, Inc. (the “Company”) and its stockholders to adopt this Compensation Recovery Policy (this “Policy”) enabling the Company to recover certain incentive-based compensation from specified current and former Company executives in the event of an accounting restatement resulting from material noncompliance with any financial reporting requirements under the federal securities laws. Capitalized terms are defined in Section 14.
This Policy is designed to comply with the Final Rules and shall apply to Incentive-Based Compensation Received by Covered Persons on or after the effective date of our initial public offering.
This Policy shall be administered by the Administrator. The Administrator is authorized to interpret and construe this Policy and to make all determinations necessary, appropriate, or advisable for the administration of this Policy. The Administrator may retain, at the Company’s expense, outside legal counsel and such compensation, tax or other consultants as it may determine are advisable for purposes of administering this Policy.
This Policy applies to any Incentive-Based Compensation Received by a person (a) after beginning service as a Covered Person; (b) who served as a Covered Person at any time during the performance period for that Incentive-Based Compensation; and (c) was a Covered Person during the Clawback Period.
However, recovery is not required with respect to:
The Administrator will not consider the Covered Person’s responsibility or fault or lack thereof in enforcing this Policy with respect to recoupment under the Final Rules.
Subject to and in accordance with the provisions of this Policy, if there is a Triggering Event, the Administrator shall require a Covered Person to reimburse or forfeit to the Company the Recoupment Amount applicable to such Covered Person.
A Company’s obligation to recover the Recoupment Amount is not dependent on if or when the restated financial statements are filed.
The Recoupment Amount will be calculated in accordance with the Final Rules.
Subject to compliance with the Final Rules and applicable law, the Administrator will determine, in its sole discretion, the method for recouping the Recoupment Amount hereunder which may include, without limitation:
To the fullest extent permitted by law, any disputes under this Policy shall be submitted to mandatory binding arbitration (the “Arbitrable Claims”), governed by the Federal Arbitration Act (the “FAA”). Further, to the fullest extent permitted by law, no class or collective actions can be asserted in arbitration or otherwise. All claims, whether in arbitration or otherwise, must be brought solely in the Covered Person’s individual capacity, and not as a plaintiff or class member in any purported class or collective proceeding.
SUBJECT TO THE ABOVE PROVISO, ANY RIGHTS THAT A COVERED PERSON MAY HAVE TO TRIAL BY JURY IN REGARD TO ARBITRABLE CLAIMS ARE WAIVED. ANY RIGHTS THAT A COVERED PERSON MAY HAVE TO PURSUE OR PARTICIPATE IN A CLASS OR COLLECTIVE ACTION PERTAINING TO ANY CLAIMS BETWEEN A COVERED PERSON AND THE COMPANY ARE WAIVED.
The Covered Person is not restricted from filing administrative claims that may be brought before any government agency where, as a matter of law, the Covered Person’s ability to file such claims may not be restricted.
2
However, to the fullest extent permitted by law, arbitration shall be the exclusive remedy for the subject matter of such administrative claims. The arbitration shall be conducted in San Mateo County, California through JAMS before a single neutral arbitrator, in accordance with the JAMS Comprehensive Arbitration Rules and Procedures then in effect, provided however, that the FAA, including its procedural provisions for compelling arbitration, shall govern and apply to this Arbitration provision. The arbitrator shall issue a written decision that contains the essential findings and conclusions on which the decision is based. If, for any reason, any term of this Arbitration provision is held to be invalid or unenforceable, all other valid terms and conditions herein shall be severable in nature and remain fully enforceable.
Actions by the Administrator to recover the Recoupment Amount will be reasonably prompt.
The Administrator must cause the Company to recover the Recoupment Amount unless the Administrator shall have previously determined that recovery is impracticable and one of the following conditions is met:
The Administrator intends that this Policy will be applied to the fullest extent of the law. Without limitation to any broader or alternate clawback authorized in any written document with a Covered Person, (i) the Administrator may require that any employment agreement, equity award agreement, or similar agreement entered into on or after the effective date of our initial public offering shall, as a condition to the grant of any benefit thereunder, require a Covered Person to agree to abide by the terms of this Policy, and (ii) this Policy will nonetheless apply to Incentive-Based Compensation as required by the Final Rules, whether or not specifically referenced in those arrangements.
3
Any right of recoupment under this Policy is in addition to, and not in lieu of, any other remedies or rights of recoupment that may be available to the Company pursuant to the terms of any other clawback policy of the Company as then in effect, or any similar policy in any employment agreement, equity award agreement, or similar agreement and any other legal remedies or regulations available or applicable to the Company (including SOX 304). If recovery is required under both SOX 304 and this Policy, any amounts recovered pursuant to SOX 304 may, in the Administrator’s discretion, be credited toward the amount recovered under this Policy, or vice versa.
The Company shall not indemnify any Covered Persons against (i) the loss of any Recoupment Amount or any adverse tax consequences associated with any Recoupment Amount or any recoupment hereunder, or (ii) any claims relating to the Company enforcement of its rights under this Policy. For the avoidance of doubt, this prohibition on indemnification will also prohibit the Company from reimbursing or paying any premium or payment of any third-party insurance policy to fund potential recovery obligations obtained by the Covered Person directly. No Covered Person will seek or retain any such prohibited indemnification or reimbursement.
Further, the Company shall not enter into any agreement that exempts any Incentive-Based Compensation from the application of this Policy or that waives the Company’s right to recovery of any Recoupment Amount and this Policy shall supersede any such agreement (whether entered into before, on or after the effective date of our initial public offering).
All Covered Persons subject to this Policy must acknowledge their understanding of, and agreement to comply with, the Policy by executing the certification attached hereto as Exhibit A. Notwithstanding the foregoing, this Policy will apply to Covered Persons whether or not they execute such certification.
This Policy shall be binding and enforceable against all Covered Persons and their beneficiaries, heirs, executors, administrators or other legal representatives and shall inure to the benefit of any successor to the Company.
To the extent there is any ambiguity between this Policy and the Final Rules, this Policy shall be interpreted so that it complies with the Final Rules. If any provision of this Policy, or the application of such provision to any Covered Person or circumstance, shall be held invalid, the remainder of this Policy, or the application of such provision to Covered Persons or circumstances other than those as to which it is held invalid, shall not be affected thereby.
4
In the event any provision of this Policy is inconsistent with any requirement of any Final Rules, the Administrator, in its sole discretion, shall amend and administer this Policy and bring it into compliance with such rules.
Any determination under this Policy by the Administrator shall be conclusive and binding on the applicable Covered Person. Determinations of the Administrator need not be uniform with respect to Covered Persons or from one payment or grant to another.
The Administrator may make any amendments to this Policy as required under applicable law, rules and regulations, or as otherwise determined by the Administrator in its sole discretion.
The Administrator may terminate this Policy at any time.
“Administrator” means the Compensation Committee of the Board, or in the absence of a committee of independent directors responsible for executive compensation decisions, a majority of the independent directors serving on the Board.
“Board” means the Board of Directors of the Company.
“Clawback Measurement Date” is the earlier to occur of:
“Clawback Period” means the three (3) completed fiscal years immediately prior to the Clawback Measurement Date and any transition period between the last day of the Company’s previous fiscal year end and the first day of its new fiscal year (that results from a change in the Company’s fiscal year) within or immediately following such three (3)-year period; provided that any transition period between the last day of the Company’s previous fiscal year end and the first day of its new fiscal year that comprises a period of 9 to 12 months will be deemed a completed fiscal year.
“Company” means Maze Therapeutics, Inc., a Delaware corporation, or any successor corporation.
“Covered Person” means any Executive Officer (as defined in the Final Rules), including, but not limited to, those persons who are or have been determined to be “officers” of the Company within the meaning of Section 16 of Rule 16a‑1(f) of the rules promulgated under the Exchange Act, and “executive officers” of the Company within the meaning of Item 401(b) of Regulation S-K, Rule 3b‑7 promulgated under the Exchange Act, and Rule 405 promulgated under the Securities Act of 1933, as amended; provided that the Administrator may identify additional employees who shall be treated as Covered Persons for the purposes of this Policy with prospective effect, in accordance with the Final Rules.
5
“Exchange” means the Nasdaq Stock Market LLC or any other national securities exchange or national securities association in the United States on which the Company has listed its securities for trading.
“Exchange Act” means the Securities Exchange Act of 1934, as amended.
“Final Rules” means the final rules promulgated by the SEC under Section 954 of the Dodd-Frank Act, Rule 10D-1 and Exchange listing standards (including Nasdaq Rule 5608), as may be amended from time to time.
“Financial Reporting Measure” are measures that are determined and presented in accordance with the accounting principles used in preparing the Company’s financial statements, and any measures that are derived wholly or in part from such measures. Stock price and TSR are also financial reporting measures. A financial reporting measure need not be presented within the financial statements or included in a filing with the SEC.
“Incentive-Based Compensation” means compensation that is granted, earned or vested based wholly or in part on the attainment of any Financial Reporting Measure. Examples of “Incentive-Based Compensation” include, but are not limited to: non-equity incentive plan awards that are earned based wholly or in part on satisfying a Financial Reporting Measure performance goal; bonuses paid from a “bonus pool,” the size of which is determined based wholly or in part on satisfying a Financial Reporting Measure performance goal; other cash awards based on satisfaction of a Financial Reporting Measure performance goal; restricted stock, restricted stock units, performance share units, stock options, and SARs that are granted or become vested based wholly or in part on satisfying a Financial Reporting Measure goal; and proceeds received upon the sale of shares acquired through an incentive plan that were granted or vested based wholly or in part on satisfying a Financial Reporting Measure goal. “Incentive-Based Compensation” excludes, for example, time-based awards such as stock options or restricted stock units that are granted or vest solely upon completion of a service period; awards based on non-financial strategic or operating metrics such as the consummation of a merger or achievement of non-financial business goals; service-based retention bonuses; discretionary compensation; and salary.
“Policy” means this Compensation Recovery Policy.
Incentive-Based Compensation is deemed “Received” in the Company’s fiscal period during which the relevant Financial Reporting Measure specified in the Incentive-Based Compensation award is attained, irrespective of whether the payment or grant occurs on a later date or if there are additional vesting or payment requirements, such as time-based vesting or certification or approval by the Compensation Committee or Board, that have not yet been satisfied.
“Recoupment Amount” means the amount of Incentive-Based Compensation Received by the Covered Person based on the financial statements prior to the restatement that exceeds the amount such Covered Person would have received had the Incentive-Based Compensation been determined based on the financial restatement, computed without regard to any taxes paid (i.e., gross of taxes withheld).
6
“SARs” means stock appreciation rights.
“SEC” means the U.S. Securities and Exchange Commission.
“SOX 304” means Section 304 of the Sarbanes-Oxley Act of 2002.
“Triggering Event” means any event in which the Company is required to prepare an accounting restatement due to the material noncompliance of the Company with any financial reporting requirement under the securities laws, including any required accounting restatement to correct an error in previously issued financial statements that is material to the previously issued financial statements, or that would result in a material misstatement if the error were corrected in the current period or left uncorrected in the current period.
“TSR” means total stockholder return.
7
EXHIBIT A
Certification
I certify that:
Signature:
Name:
Title:
Date:
8